¿Te has preguntado cómo eliminar las manchas de los dientes causadas por el uso de tetraciclinas? Es posible que hayas escuchado hablar alguna vez sobre las manchas de tetraciclina pero no tengas claro qué son y, sobre todo, cómo resolverlas. Afortunadamente, hoy en día contamos con numerosos avances en la odontología y estética dental que nos permiten eliminar las manchas dentales y recuperar nuestra sonrisa natural.
En González y Casado, tu clínica dental de confianza en Madrid, somos expertos en tratamientos de alta estética dental. Queremos verte sonreír con confianza y mejorar tu autoestima con el tratamiento blanqueamiento número uno del mundo.
Las manchas por tetraciclinas son decoloraciones en los dientes que ocurren como resultado del uso de antibióticos del grupo de las tetraciclinas durante el desarrollo dental. El uso de tetraciclinas durante ciertos períodos críticos del desarrollo dental, especialmente en la infancia o durante el embarazo, puede llevar a la incorporación del medicamento en la estructura del diente. Esta integración da como resultado manchas que varían en color desde el amarillo claro hasta el marrón oscuro o incluso gris.
Las tetraciclinas son un grupo de antibióticos de amplio espectro antibacteriano, que se usaron eficazmente entre los años 60-80 para tratar muchas patologías como infecciones respiratorias, gastrointestinales, urinarias, etc. Esta amplia administración hizo que se detectara un antiestético efecto secundario en los dientes.
Las manchas de tetraciclina son discromías o alteraciones del color dentario. Son pigmentaciones de los dientes muy características: como bandas horizontales a lo largo de todos los dientes, que presentan colores marrones, grisáceos o amarillentas.
El uso de tetraciclina en el embarazo (durante el segundo y tercer trimestre) o en los niños menores de 8 años, puede provocar manchas permanentes en los dientes del niño, tanto en los dientes temporales como en los definitivos. Estas manchas no afectan a la resistencia o dureza del diente, pero sí a su estética.
Tratamiento tinciones por tetraciclina | Dr Cosimo Galletti
¿Por qué se produce esta decoloración dental?
Al parecer el antibiótico es capaz de unirse al calcio de los tejidos que se están formando en ese momento, ya sean dientes o hueso. Así que las tetraciclinas nos han dejado una generación de pacientes con tinciones dentales muy características y aberrantes. Se trata de colores que van del marrón al gris más oscuro. En algunas ocasiones los pacientes presentan bandas de diferentes colores.
No se trata de colores fisiológicos, sino de colores “inventados”, por lo que, a la hora de afrontar un caso de blanqueamiento, se debe hacer con una estrategia absolutamente protocolizada e individualizada para cada color en particular.
El grado de afección y, por lo tanto, de nivel y cantidad de manchas en los dientes depende de dos factores: de la cantidad de antibiótico suministrado y de la duración de ese tratamiento. En el tercer grado, las manchas toman un tono más oscuro de gris o tornan a un tono azulado. Cuarto grado: son las tinciones más graves, de color más fuerte y que afectan a todo el diente.

Opciones de Tratamiento para Manchas por Tetraciclinas
En Centre Dental Sant Fruitós, entendemos la importancia de una sonrisa blanca y saludable. Existen varias soluciones para tratar las manchas en dientes por tetraciclinas, cada una con sus ventajas y limitaciones.
Blanqueamiento Dental
El tratamiento por excelencia para un caso de manchas de tetraciclina en los dientes es el blanqueamiento dental. El blanqueamiento dental es un procedimiento estético que se utiliza para aclarar el color de los dientes. Este tratamiento blanqueante puede realizarse en la clínica, en casa o combinando ambas técnicas, que resulta el más eficaz.
El blanqueamiento dental es una excelente opción para eliminar las manchas de tetraciclinas en los dientes, y devolver la luminosidad y belleza a tu sonrisa. El blanqueamiento dental es un procedimiento seguro siempre y cuando se realice bajo la supervisión de un profesional en la odontología.
Existen varias formas de realizar un blanqueamiento dental, pero es importante tener claro que ha de hacerse siempre mediante un seguimiento y asesoramiento por parte de un odontólogo cualificado. Lo habitual es, antes de someterse a una higiene dental profesional para eliminar el sarro y las manchas superficiales que pueda haber en los dientes.
Los tipos de blanqueamiento dental que se suelen realizar son:
- Blanqueamiento dental ambulatorio: Para ello, se realiza una primera visita al especialista odontólogo que valorará las necesidades del paciente y tomará las medidas para fabricar las férulas de blanqueamiento. Posteriormente, el paciente deberá colocarse cada noche las férulas rellenas de un gel blanqueante (ambas cosas entregadas en la clínica), siguiendo las indicaciones del especialista.
- Blanqueamiento dental en clínica: En este caso, se coloca el gel en la clínica y se aplica sobre él una luz especial que se encargará de reforzar el efecto del gel.
El blanqueamiento tiene como objetivo aclarar el esmalte de los dientes y reduciendo así su tonalidad. De esta forma, se conseguirá quitar el tono amarillento o grisáceo de la tinción y llegar a tener una sonrisa más estética. El tratamiento es cómodo e indoloro para el paciente. Los resultados se aprecian nada más comenzar con éste y no tiene efectos secundarios. Para realizarlo, se producen unas férulas dentales a medida de la boca de cada paciente; en ellas se verterá una pequeña cantidad de gel blanqueador y se colocará en la boca, durante el tiempo que indiquemos en consulta.
El blanqueamiento dental combinado consiste en la aplicación de un gel sobre la superficie del diente. Para aumentar sus efectos, colocamos una lámpara de led de luz fría y resulta un tratamiento dental muy cómodo e indoloro para nuestros pacientes. Además, es un tratamiento sin efectos secundarios.
Carillas Dentales
Las carillas dentales son unas láminas de cerámica o composite que se colocan sobre la cara del diente. Quedan cimentadas para que no se muevan y consiguen una estética dental óptima, en forma y color. Son muchos los pacientes que acuden a nuestra clínica para poner solución a estas incómodas manchas y salen felices con su sonrisa después del tratamiento.
Las carillas dentales consisten en unas láminas que se colocan sobre la superficie exterior del diente, tapando el diente original como si de una máscara se tratase. Las carillas son finas capas de material que se adhieren a la superficie frontal de los dientes. Están diseñadas para cubrir las manchas y mejorar la apariencia general de los dientes.
Tan solo necesitamos dos sesiones de clínica para devolverte la sonrisa que deseas gracias a las carillas de porcelana.
Las carillas dentales son unas láminas finas que se adhieren a la cara exterior del diente para camuflar su aspecto natural.
Coronas Dentales
Para casos de manchas extremadamente severas, las coronas dentales pueden ser la mejor opción. Estas cubren completamente el diente afectado, proporcionando una solución estética completa. Para los casos más extremos, donde las manchas son profundas y el esmalte dental está severamente dañado, las coronas dentales pueden ser la mejor opción. Las coronas cubren completamente el diente, restaurando tanto su función como su apariencia.
Microabrasión Dental
Para manchas más superficiales, la microabrasión dental puede ser una opción viable. Este procedimiento consiste en la eliminación de una pequeña capa del esmalte dental afectado, utilizando una mezcla de ácido y material abrasivo.
Proceso de Tratamiento
El proceso de tratamiento comienza con una consulta detallada en la que evaluamos el grado de las manchas y discutimos las opciones de tratamiento con el paciente. A continuación, se elabora un plan de tratamiento personalizado, que puede incluir una o varias de las opciones mencionadas.
Para tratamientos con carillas o coronas, se realiza un diseño digital de la sonrisa para asegurar que los resultados sean lo más naturales y estéticamente agradables posible.
Mantenimiento Post-Tratamiento
Después de tratar las manchas por tetraciclinas, es fundamental seguir un régimen de mantenimiento adecuado para prolongar los resultados.
¿Cómo disminuir los efectos visuales de la tetraciclina?
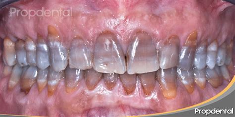
El caso que presentamos a continuación es el de una mujer con una coloración dental oscura, en color ámbar, anaranjado, más oscuro en el cuello de los dientes y con ligeras bandas de color más claro en el tercio medio e incisal.
En estos casos en los que el color dental es tan oscuro, cuando la luz incide en el diente no se refleja, se absorbe, así que la apariencia es de sonrisas oscuras.
El objetivo del tratamiento es limpiar el diente de esta tinción interna para permitir que la luz se refleje y darle luminosidad a la sonrisa, juventud y belleza.
El protocolo de tratamiento de blanqueamiento consistió en 2 fases, una en consulta con productos de blanqueamiento de muy alta concentración, y otra en domicilio con férulas individualizadas y productos de blanqueamiento de concentración media. El resultado final salta a la vista.
Tabla Resumen de Opciones de Tratamiento
| Tratamiento | Descripción | Ideal para |
|---|---|---|
| Blanqueamiento Dental | Aclara el esmalte dental con agentes blanqueadores. | Manchas leves a moderadas. |
| Carillas Dentales | Láminas delgadas que cubren la superficie del diente. | Manchas moderadas a severas que no responden al blanqueamiento. |
| Coronas Dentales | Cubren completamente el diente. | Manchas extremadamente severas y daño estructural del diente. |
| Microabrasión Dental | Elimina una fina capa de esmalte manchado. | Manchas superficiales. |
Prevención de Manchas por Tetraciclinas
Está claro que para evitar las manchas por tetraciclinas debemos evitar su uso, sobre todo en los más pequeños. Afortunadamente las manchas por tetraciclinas cada vez se ven menos, gracias a que ya no se emplea tanto. Prevenir las manchas en dientes por tetraciclinas implica evitar el uso de este antibiótico en mujeres embarazadas y en niños pequeños, siempre que sea posible. Es importante que los profesionales de la salud sean conscientes de este riesgo y busquen alternativas cuando sea viable.

Si eres uno de esos pacientes que las presenta, no dudes en ponerte en contacto con nosotros. En nuestra clínica podrás recuperar tu sonrisa, gracias a nuestro equipo profesional y las mejores y más avanzadas tecnologías en odontología.
En Dental Molins, entendemos la importancia de una sonrisa radiante y la confianza que puede aportar. Ofrecemos soluciones personalizadas para tratar las manchas por tetraciclinas, asegurando que cada paciente reciba el mejor tratamiento posible.
Si tienes manchas en los dientes y estás buscando una solución efectiva, te invitamos a visitar nuestra clínica para una consulta personalizada.
tags: #blanqueamiento #dental #para #tetraciclinas