Los bifosfonatos son potentes inhibidores de los osteoclastos y se utilizan como terapia de primera elección en enfermedades que afectan al metabolismo óseo, como la osteoporosis o la enfermedad de Paget, así como en pacientes oncológicos con hipercalcemia maligna, mieloma múltiple o en aquellos con metástasis óseas procedentes de cáncer de próstata o de mama. Debido a que los implantes dentales y la terapia con BF son un tratamiento muy común en adultos, existe gran interés en conocer si estos pacientes tienen riesgo de desarrollar osteonecrosis o mayor probabilidad de pérdida del implante dental por realizar tratamiento con BF.
En este artículo, exploraremos en detalle los efectos secundarios dentales asociados con Bonviva, un bifosfonato común, y proporcionaremos información esencial para pacientes y profesionales de la salud dental.
Toma de bisfosfonatos y tratamiento dental
¿Qué son los Bifosfonatos?
Los bifosfonatos (BF) son fármacos utilizados principalmente para tratar enfermedades que debilitan los huesos, como la osteoporosis o algunos tipos de cáncer. Actualmente, se estima en más de 190 millones la cantidad de viales de BF prescritos al año en todo el mundo. Actúan ralentizando el proceso de pérdida ósea y fortaleciendo la estructura del hueso. Los BF presentan en su composición química 2 átomos de fósforo unidos a un átomo de carbono (P-C-P) y 2 enlaces carbono-fosfato. El aumento de un grupo amino al final de la cadena incrementa el potencial del fármaco.
Principales beneficios:
- Fortalecimiento óseo: Ayudan a reducir el riesgo de fracturas en personas con huesos frágiles.
- Prevención de la pérdida de masa ósea: Inhiben la acción de las células que destruyen tejido óseo, manteniendo así la densidad ósea.
- Tratamiento de enfermedades específicas: Se utilizan también en el manejo de metástasis óseas o mieloma múltiple, ayudando a conservar la integridad del esqueleto.
Su acción principal consiste en inhibir la reabsorción ósea mediante la supresión de la actividad de los osteoclastos, induciendo la apoptosis de los mismos. En función de la presencia o no de nitrógeno en su molécula se pueden distinguir BF no nitrogenados y BF nitrogenados que, además de inhibir los osteoclastos, inhiben la proliferación celular y la angiogénesis.
La principal complicación observada es la necrosis ósea de los maxilares, que depende en gran medida de la potencia y de la vida media de los BF. Los más potentes son el ácido zoledrónico y el pamidronato utilizados por vía intravenosa, mientras que los administrados por vía oral para el tratamiento de enfermedades óseas no malignas (osteoporosis o la enfermedad de Paget), como el alendronato, son menos potentes y lesivos.

Paciente valorado por osteonecrosis de los maxilares relacionada con bifosfonatos tras tratamiento con alendronato para osteoporosis. Obsérvese la exposición ósea.
¿Cómo Afectan los Bifosfonatos a la Salud Bucal?
Aunque son medicamentos eficaces, los bifosfonatos pueden tener efectos secundarios a nivel bucodental si no se gestionan adecuadamente, especialmente en tratamientos prolongados o en dosis altas. La administración oral de bisfofonatos puede causar irritación local de la mucosa gastrointestinal superior, precaución en trastornos activos de la parte superior del aparato digestivo (esófago de Barrett diagnosticado, disfagia, otras enf. esofágicas, gastritis, duodenitis o úlceras). La osteonecrosis de los maxilares (ONM) es una de las complicaciones más graves.
Osteonecrosis de Mandíbula (ONM)
Se ha observado que, en algunos casos, puede producirse una pérdida de irrigación en el hueso maxilar, especialmente tras procedimientos dentales invasivos (como extracciones). Esta afección es poco común, pero conviene prevenirla. Es el resultado de la incapacidad del hueso para aumentar el recambio ante determinadas circunstancias como la masticación, la manipulación o las infecciones dentarias, que necesitan una mayor reserva funcional ósea.
Diferenciarla de otras patologías con exposiciones óseas implica las siguientes condiciones:
- Toma actual o tratamiento previo con bifosfonatos.
- Hueso necrótico expuesto en la región maxilofacial que persiste durante más de 8 semanas.
- No radiación mandibular.
Entidades que deben considerarse dentro del diagnóstico diferencial serían las siguientes: osteítis alveolar, sinusitis, gingivitis y periodontitis, caries, patología periapical y alteraciones de la articulación témporomandibular.

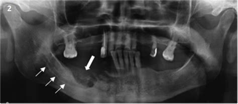
Ortopantomografía correspondiente al mismo paciente, donde se puede apreciar área de osteolisis en la región del ángulo mandibular derecho.
Factores de Riesgo de la ONM
Los factores de riesgo son múltiples y no bien establecidos, pero podemos hablar de los siguientes:
- Relacionados con los medicamentos:
- Potencia del bifosfonato. Los nitrogenados son los más potentes. El zoledronato es el más eficaz.
- Vía de administración.
- Dosis acumulada.
- Duración de la terapia. Relación exponencial entre el tamaño del hueso expuesto y la duración del uso.
- Relacionados con factores locales:
- Cirugía dentoalveolar. Incluyendo, pero no limitando: aumento de cresta ósea, extracciones, colocación de implantes dentales, cirugía periapical y periodontal que implique daño óseo.
- Anatomía local. Las lesiones aparecen en maxilares, y más en mandíbula.
- Enfermedad oral concomitante. En los pacientes con historia de enfermedad inflamatoria dental (por ejemplo, abscesos periodontales y dentales) incrementan por 7 el riesgo.
- Relacionados con factores demográficos y sistémicos:
- Edad.
- Raza: caucasiana.
- Cáncer.
- Osteopenia/osteoporosis si acompañan al diagnóstico de cáncer.
- Otros factores que pueden incrementar el riesgo:
- Terapia corticoidea.
- Diabetes.
- Tabaco.
- Alcohol.
- Higiene bucal deficiente.
- Agentes quimioterápicos: metotrexato, tamoxifeno.
Ejemplos de Bifosfonatos Comunes
A continuación, algunos de los nombres comerciales habituales:
- Alendronato (Fosamax®, Alendros®)
- Risedronato (Actonel®)
- Ibandronato (Bonviva®)
- Ácido zoledrónico (Aclasta®)
Estos nombres pueden variar según el país y la disponibilidad comercial. Siempre es importante seguir las indicaciones de tu médico y farmacéutico, y mantener a tu dentista informado de cualquier tratamiento activo.
Manejo y Prevención de la ONM
El manejo de la osteonecrosis maxilar requiere medidas preventivas y un enfoque coordinado entre médicos y dentistas.
Medidas Preventivas para Pacientes que Inician Terapia con Bifosfonatos
- Bifosfonatos IV y orales: revisión odontológica completa, extracción de todas las piezas dentales inviables o en mal estado, terminar con todos los procedimientos invasivos dentales y conseguir una buen estado periodontal.
- Se debe retrasar el inicio de la terapia con bifosfonatos hasta que el lugar de la extracción tenga curada la mucosa (1421 días).
Medidas Preventivas para Pacientes que ya Reciben Bifosfonatos
- En los pacientes oncológicos se debe mantener el tratamiento con bifosfonatos IV; mantienen una relación riesgo¿beneficio positiva, dado el buen control del dolor y la reducción de otras complicaciones óseas que consiguen.
- Se realizarán revisiones periódicas odontológicas y/o maxilofaciales. En piezas inviables debe extraerse la corona y tratar con endodoncia las raíces que se mantienen (las intervenciones deben ser tan conservadoras como sea posible).
- No pueden realizarse implantes dentales si el paciente utiliza bifosfonatos IV potentes (zolendronato, pamidronato) o si los toma con frecuencia (4 a 12 veces al año).
Los pacientes que reciben bifosfonatos orales no tienen contraindicada la cirugía dentoalveolar electiva. El umbral de riesgo lo marca la duración de la terapia (mayor a 3 años, y aún más después de 5 años).
Diagnóstico de la ONM
El diagnóstico es eminentemente clínico cumpliendo los criterios de la AAOMS.
Pruebas Complementarias
Dentro de las pruebas complementarias destacamos las siguientes:
- De imagen: radiografía ósea, tomografía axial computarizada, resonancia magnética nuclear, pueden ser inespecíficas hasta estadios muy avanzados, ayudan a evaluar la gravedad y extensión y en la planificación del tratamiento.
- Sanguíneas: la determinación matutina sin ayuno del telopéptido C terminal se considera que tiene la mejor correlación con el recambio óseo (CTX test).
Ha podido establecerse una gradación de riesgo, que unida con los datos clínicos del paciente podría ayudar en decisiones terapéuticas:
- CTX test< 100 pg/ml = riesgo alto
- CTX test 100150 pg/ml = riesgo moderado
- CTX test> 150 pg/ml = riesgo bajo
Nuestro Compromiso en DENTARÓ
En la clínica dental DENTARÓ, nos comprometemos a ofrecerte un enfoque integral de la salud. Sabemos que un tratamiento médico puede influir en tu boca, por eso cuidamos cada detalle para garantizar una atención segura, personalizada y coordinada con tu historial clínico.
Si estás tomando bifosfonatos o tienes dudas sobre cómo pueden afectar tu salud bucodental, contacta con nosotros.
tags: #bonviva #efectos #secundarios #dentales