¿Alguna vez has evitado sonreír en una foto? ¿Te has sentido inseguro al hablar o al reírte en público por la apariencia de tus dientes? Sabemos que la sonrisa es uno de los rasgos más poderosos de una persona. Es tu carta de presentación, lo primero que la gente ve de ti, y una sonrisa segura puede abrirte puertas que ni imaginas.
En ByB Dental nos especializamos en transformar sonrisas y, con ello, cambiar vidas. Nuestras carillas dentales te ofrecen la posibilidad de lograr una sonrisa perfecta y natural sin procedimientos largos ni complicados. Imagínate sonriendo con total confianza, sin preocuparte por manchas, desalineaciones o fracturas.

¿Qué son las Carillas Dentales?
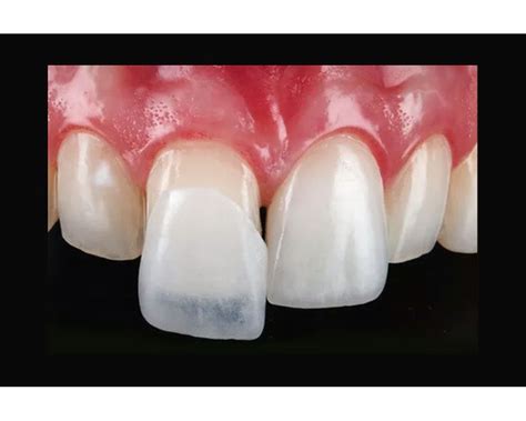
Las carillas dentales son unas finas láminas que se adhieren a la superficie frontal (visible) de los dientes con el objetivo de mejorar su apariencia. Estas láminas pueden estar hechas de diferentes materiales, como la porcelana, el composite o el disilicato de litio, y se diseñan a medida de cada paciente.
¿Para qué sirven las Carillas Dentales?
Las carillas dentales sirven para corregir pequeños defectos que afectan al color, el tamaño, la forma o la posición de los dientes. Entre las imperfecciones que pueden solucionar podemos destacar las siguientes:
- Dientes amarillos o con manchas
- Desgastes en el esmalte
- Diastemas (espacios entre los dientes)
- Leves malposiciones dentales
- Fisuras o fracturas
En cualquiera de los casos anteriores es necesario que el odontólogo realice una valoración del paciente para determinar si las alteraciones de sus dientes pueden ser corregidas con carillas.
¿Cuándo es Recomendable Ponerse Carillas en los Dientes?
A continuación, te detallamos los casos concretos en los que puede resultar recomendable ponerse carillas para mejorar la apariencia de la sonrisa:
- Dientes amarillos o con manchas: las carillas se pueden utilizar en pacientes que presentan dientes amarillos, decolorados o con manchas. Esto puede deberse a distintas circunstancias (alimentación, tabaco, envejecimiento, fluorosis, consumo de tetraciclinas…).
- Resistencia al blanqueamiento dental: las carillas son un excelente complemento al blanqueamiento. Cuando las tinciones son muy severas, el blanqueamiento puede no ser capaz de eliminarlas por completo. Por tanto, en muchos casos resulta recomendable ponerse carillas en los dientes después del blanqueamiento.
- Dientes desalineados: las carillas también pueden ofrecer un buen resultado estético a los pacientes que tienen ligeras malposiciones dentales, ya que en ocasiones permiten disimularlas. Eso sí, hay que tener en cuenta que para corregir la mayoría de las maloclusiones dentales es necesario recurrir a la ortodoncia.
- Dientes con formas o tamaños irregulares: las carillas se utilizan para corregir pequeños defectos que afectan a la forma de los dientes. Por ejemplo: unos caninos (colmillos) demasiado puntiagudos, un diente más pequeño de lo normal, etc.
- Diastemas: las carillas también están recomendadas para disimular los diastemas o espacios entre los dientes.
- Dientes desgastados: las carillas se pueden colocar en dientes que presentan desgastes en el esmalte. Esto puede tener su origen en una mordida inadecuada o en el bruxismo. Sin embargo, en estos casos suele ser necesario utilizar ortodoncia o colocar una férula de descarga previamente, dependiendo del caso. De no hacerlo, los desgastes volverán a aparecer.
- Dientes fisurados o fracturados: las carillas también pueden estar indicadas en determinados casos de fisuras o fracturas leves en los dientes.
Tipos de Carillas Dentales en ByB Dental
Existen diferentes tipos de carillas dentales en función del material y la técnica empleados en su confección. Cada una de ellas tiene sus ventajas, y la elección dependerá del caso concreto y las necesidades del paciente. En las clínicas Smysecret contamos con dos tipos de carillas dentales:

Carillas de Composite
Las carillas de composite son una opción más económica que las de porcelana o zirconio. Están hechas de un material resistente que se adhiere directamente a la superficie del diente. Se hacen en la propia clínica con un material llamado composite, altamente resistente. Las principales ventajas de las carillas de composite son su proceso de colocación sencillo, que no requieren tallar los dientes y su precio. El composite se aplica directamente sobre el diente, normalmente en una única sesión. Son más económicas que las carillas de porcelana o disilicato de litio, pero también suelen durar menos tiempo.
Carillas de Porcelana
Las carillas de porcelana son una opción popular debido a su durabilidad y apariencia natural. Están hechas de porcelana fina y se colocan directamente en el diente para corregir imperfecciones como manchas, fracturas y dientes desalineados. En este caso se fabrican unas finas láminas de porcelana en un laboratorio dental especializado es carillas dentales. Ofrece la máxima durabilidad para grandes transformaciones.
Carillas de Zirconio
Las carillas de zirconio son una opción de alta gama que ofrece una excelente durabilidad y resistencia.
Carillas Mínimamente Invasivas
Estas carillas están fabricadas con disilicato de litio, un material que se caracteriza por su alta calidad, resistencia y naturalidad. El principal beneficio de las carillas de mínima invasión es que su proceso de planificación, diseño y fabricación es guiado y 100% digital. Este protocolo disminuye el tiempo total de tratamiento, reduce el margen de error humano y permite que el tallado del esmalte sea mínimo (similar al grosor de un cabello). Por tanto, las carillas mínimamente invasivas requieren muy poca o ninguna preparación del diente antes de su colocación. Esto significa que el esmalte dental no se altera significativamente, lo que las convierte en una opción menos agresiva para el diente. Esto contrasta con el protocolo seguido en las tradicionales carillas de porcelana, que requieren un tallado mayor del diente.
El Proceso de Colocación de Carillas Dentales
El proceso de colocación de las carillas dentales es rápido y sencillo. En primer lugar, se prepara el diente para recibir la carilla y se toman medidas precisas para garantizar un ajuste perfecto. Luego, la carilla se coloca cuidadosamente en el diente y se adhiere de forma segura.
Dado que existen distintos tipos de carillas dentales, cada una de ellas sigue un protocolo de colocación específico. Sin embargo, todas comparten los principales pasos del proceso.
- Estudio bucodental completo: consta de una exploración oral y la realización de radiografías (panorámicas y periapicales) y fotografías (intraorales y extraorales).
- Preparación de los dientes: con algunas carillas hay que realizar una mínima reducción del esmalte dental. Este paso suele ser necesario en las carillas de porcelana, pero no en las de composite.
- Toma de impresiones: tras preparar los dientes, en el caso de que haya que hacerlo, se toman medidas de los mismos para confeccionar las carillas de manera personalizada.
- Fabricación de las carillas: la confección puede realizarse directamente en la clínica dental (en el caso de las de composite) o encargarse al laboratorio (en el caso de las de disilicato de litio).
- Colocación de las carillas: en función del proceso de confección, la técnica de colocación también varía. Las carillas de composite se crean directamente sobre el diente, en una sesión en la clínica dental. En cambio, las carillas mínimamente invasivas (disilicato de litio) se fabrican en el laboratorio y posteriormente se colocan en la clínica dental.
Ventajas de las Carillas Dentales
Las principales ventajas de las carillas dentales son las siguientes:
- Versatilidad: Las carillas son muy versátiles ya que permiten corregir múltiples problemas que afectan al aspecto estético de los dientes.
- Mejora de la estética: Al corregir los pequeños defectos de los dientes, las carillas dentales aportan a la sonrisa un aspecto más saludable, juvenil, cuidado y armónico.
- Mínimamente invasivas: Este es uno de los grandes beneficios que ofrecen algunas carillas actuales. Por ejemplo, las de composite no necesitan tallado.
- Mantenimiento sencillo: En términos generales, podemos decir que las carillas dentales no requieren cuidados difíciles o especiales. Es necesario mantener una buena higiene oral, tener precauciones al comer alimentos duros y acudir al dentista entre una y dos veces al año. Además, en la mayoría de los casos será necesario usar una férula de descarga para dormir. Esto ayudará a proteger las carillas de los desgastes y contribuirá a que duren más tiempo.
¿En qué casos no están recomendadas las carillas dentales?
A pesar de que las carillas están recomendadas en una gran cantidad de situaciones, lo cierto es que también presentan alguna contraindicación. Las más relevantes son las siguientes:
- Mordida borde a borde: en este tipo de mordida, los dientes superiores chocan directamente contra los inferiores cuando la persona cierra la boca. Es decir, los dientes superiores no quedan por delante de los inferiores, como ocurre en una oclusión correcta. La mordida borde a borde, por tanto, provoca que las carillas se rompan y se caigan. En estas situaciones, al igual que en otros casos de maloclusión, será necesario recurrir a la ortodoncia antes de colocar las carillas.
- Bruxismo que no recibe tratamiento: algo parecido sucede con el hábito de apretar y/o rechinar los dientes. Los pacientes con bruxismo tienden a presentar grandes desgastes en sus piezas dentales, lo que las debilita y hace más propensas a fracturas. Por ello, una persona que p...
Precios de las Carillas Dentales
¿Quieres saber cuánto cuestan las carillas dentales? El precio de las carillas puede variar en función del material, la cantidad de dientes tratados y la complejidad del caso. Además, contamos con planes de financiación para facilitar el acceso a los tratamientos.
A continuación, puedes ver los precios de las carillas dentales:
| Número de Carillas | Precio | Financiación |
|---|---|---|
| 6 carillas | Pago único 1.107€ | Importe mínimo: 432 €. Ejemplo de financiación para un importe de 1.107.00 € en 36 meses. |
| 8 carillas | Pago único 1.396€ | Importe mínimo: 576 €. Ejemplo de financiación para un importe de 1.396,00€ en 48 meses. |
| 10 carillas | Pago único 1.671€ | Importe mínimo: 720€. Ejemplo de financiación para un importe de 1.671,00€ en 60 meses. |
*Consulta los detalles de la financiación con Banco Cetelem S.A.U. Válida hasta el 31/12/2025.
En ByB Dental, no solo transformamos sonrisas, transformamos vidas. Una sonrisa perfecta es el primer paso hacia una mayor confianza personal, profesional y social. Te ayudamos a alcanzar ese equilibrio estético que siempre has deseado con resultados que se ven y se sienten naturales.
Contamos con varias clínicas en la provincia de Málaga para ofrecerte la máxima comodidad y cercanía. Analizamos tu caso al detalle para que según las características de tu sonrisa recomendarte el tipo de carillas que más se adapta a tu sonrisa.

La clínica dental ByB Dental en el centro de Málaga, fundada por la doctora Blanca Barrio, ofrece soluciones estéticas y funcionales para pacientes de todas las edades. Con una filosofía basada en la individualización de cada tratamiento y la implicación activa del paciente, este equipo se ha posicionado como un referente para quienes buscan resultados de alta calidad, con acabados estéticos y un trato cercano.
Desde el momento en que cruzas sus puertas, te recibe un ambiente cálido y relajante que redefine la experiencia odontológica tradicional. La doctora Barrio y su equipo se destacan por escuchar atentamente las historias, inquietudes y metas de cada paciente, convirtiendo cada visita en una oportunidad para mejorar no solo la estética dental, sino también la confianza personal.
ByB Dental, Dentista en Málaga Dirección: Calle Dos Aceras, 12.