La ortodoncia, más allá de ser simplemente una herramienta para corregir la alineación dental, se revela como un arte capaz de esculpir no solo la estructura bucal, sino también la expresión facial en su totalidad. La ortodoncia es una especialidad de la odontología que se ocupa de corregir la alineación y la mordida de los dientes.

Muchos pacientes se preguntan: «Doctor, ¿es cierto que los brackets te cambian la cara?». Sí, los brackets (frenillos) pueden producir cambios faciales. En este artículo, te contaremos todo lo que necesitas saber sobre cambios faciales con ortodoncia: por qué suceden, cómo es el proceso, qué transformaciones puedes esperar en tu sonrisa, labios y perfil, y también qué no hace la ortodoncia. Si alguna vez te miraste al espejo con dudas sobre tu tratamiento ortodóntico, este artículo es para ti.
¿Cómo la Ortodoncia Modifica el Rostro?
Cuando llevas brackets, aplicamos presión controlada sobre tus dientes para moverlos a la posición correcta. Esa presión se transmite al hueso que rodea al diente a través del ligamento periodontal (un tejido que actúa como amortiguador entre diente y hueso). El hueso, que es un tejido vivo, responde remodelándose: se reabsorbe donde el diente ejerce presión y se forma hueso nuevo donde hay espacio vacío conforme el diente avanza. ¿Y esto qué tiene que ver con la cara? Mucho. Los dientes frontales sirven de soporte a los labios.
Si tus incisivos superiores estaban muy hacia adelante y los echamos ligeramente hacia atrás con ortodoncia, tu labio superior ya no estará tan proyectado; adquirirá un perfil más plano. La posición de la mandíbula (maxilar inferior) define tu perfil y la forma de tu mentón. Una mandíbula desalineada (por ejemplo, muy hacia atrás o hacia adelante) hace que ciertas zonas de la cara se vean desproporcionadas (mentón muy metido o muy salido, por ejemplo). Los brackets pueden mover la mandíbula gradualmente a una posición más equilibrada con respecto al cráneo siempre que estemos dentro de los límites que la ortodoncia puede abordar.
La Ortodoncia y la Armonía Facial
La ortodoncia considera no solo tus dientes, sino toda tu estructura orofacial al planificar el tratamiento. Como ortodoncista, estudio fotografías, radiografías y modelos de tus dientes antes de empezar, precisamente para anticipar cómo impactarán los movimientos dentales en tu estética facial. Nuestro objetivo es mejorar tu sonrisa y tu perfil a la vez que corregimos la alineación dental y la mordida.
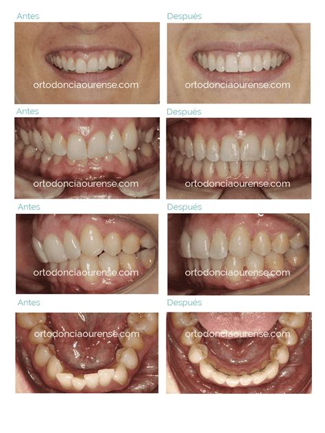
La sonrisa es una de las principales características faciales que las personas perciben. Una sonrisa hermosa y armoniosa puede mejorar la apariencia general de una persona y aumentar su autoestima. La ortodoncia puede ayudar a corregir problemas como los dientes apiñados, los dientes mal alineados, los dientes torcidos y la mordida abiertos o cruzados. La ortodoncia desempeña un papel significativo en la mejora de la apariencia facial. Más allá de la corrección dental, este tratamiento tiene el potencial de transformar la estructura facial, mejorando la simetría y realzando rasgos.
En España, la búsqueda de “cambios significativos en la cara gracias a la ortodoncia” tiene una media de 35.000 búsquedas mensuales. Al finalizar los tratamientos, todos mostraron sonrisas renovadas, mayor confianza en sí mismos y mejoras en su capacidad para hablar y masticar.
Tipos de Maloclusiones y su Impacto Facial
No todas las personas experimentarán los mismos cambios; todo depende de tu caso inicial. A continuación, veremos cómo cambia la cara con brackets según el tipo de problema de mordida o alineación que tengas. Si identificas tu caso, entenderás qué transformación facial por brackets es posible.
Mordida Abierta
Una mordida abierta ocurre cuando al cerrar la boca, quedan espacios abiertos entre los dientes frontales (superiores e inferiores) porque no contactan. En otras palabras, los dientes de adelante no encajan y es como si siempre estuvieras dejando un huequito al morder.

Las personas con mordida abierta a menudo tienen un aspecto de cara alargada, especialmente en la zona inferior del rostro. Al no poder cerrar bien los labios, la boca tiende a estar entreabierta en reposo, dando una apariencia de estar “boquiabierto” permanente. El mentón puede lucir más hacia abajo y la expresión facial cambia (a veces parece de asombro o cansancio debido a la postura labial). Con brackets, podemos cerrar la mordida abierta haciendo que los dientes frontales superiores e inferiores entren en contacto adecuado. Cambio visible: El antes y después es notable: de un rostro donde los labios no cerraban y se veía alargado, se pasa a un rostro más corto y armonioso.
Mordida Cruzada Anterior (Prognatismo)
Hablamos de mordida cruzada anterior cuando la mandíbula inferior muerde por delante de la superior. Es lo que coloquialmente muchos llaman “prognatismo” o tener la “mandíbula salida”. Este tipo de maloclusión hace que el mentón se vea muy prominente y la cara adquiera un perfil cóncavo (hundido a la altura de la boca pero con la barbilla marcada). De frente, puede notarse una mandíbula ancha o dominante.

Con ortodoncia podemos corregir en parte el prognatismo, especialmente si se trata de un problema dental (y no solo óseo). Cambio visible: Al finalizar, la zona del mentón se ve menos prominente. El perfil deja de ser tan cóncavo para volverse más recto o convexo suave (lo ideal). La gente suele notar que el paciente “suavizó su expresión” o que “ya no tiene la barbilla tan salida”.
Sobremordida Excesiva
La sobremordida excesiva ocurre cuando los incisivos superiores cubren demasiado a los inferiores al morder. En casos extremos, los dientes de abajo prácticamente ni se ven porque quedan tapados por completo por los de arriba; incluso pueden morder el paladar.

Las personas con sobremordida profunda tienden a tener el mentón retraído (mandíbula inferior pequeña o hacia atrás) y a veces un aspecto de cara más redonda o cuadrada con mejillas un poco hundidas. Con brackets corregimos la sobremordida elevando los dientes inferiores y/o bajando los superiores (simplificando la explicación) hasta que haya una mordida ideal. Cambio visible: El cambio estrella aquí es que el paciente, de tener un mentón poco definido o “metido”, pasa a lucir un perfil más recto, con el mentón más marcado.
Otros Cambios Faciales Posibles con Ortodoncia
- Apiñamiento dental severo: Al alinear los dientes con brackets, mejora la simetría de tu sonrisa y eso da inmediatamente una impresión facial más equilibrada.
- Dientes protruidos hacia adelante: Con ortodoncia, movemos esos dientes hacia adentro a su posición correcta. El cambio en el perfil es notable: el ángulo entre la base de la nariz y el labio superior se abre y los labios se ven más planos contra la cara.
- Arcadas dentales muy estrechas: Expandir un poco un paladar estrecho con ortodoncia o aparatos de expansión puede realzar los pómulos ligeramente, porque empuja los huesos maxilares hacia afuera.
¿Cambia la cara con Ortodoncia?
Tabla Comparativa: Impacto de las Maloclusiones en el Rostro
Para resumir estos conceptos, aquí tienes una tabla comparativa de cómo algunas maloclusiones típicas impactan el rostro antes vs. después del tratamiento ortodóncico:
| Problema dental (Maloclusión) | Apariencia facial ANTES (sin tratar) | Apariencia facial DESPUÉS (tras ortodoncia) |
|---|---|---|
| Mordida abierta | Cara alargada, boca entreabierta, expresión de asombro | Rostro más corto y armonioso, labios cerrados, expresión relajada |
| Mordida cruzada anterior (Prognatismo) | Mentón prominente, perfil cóncavo, mandíbula ancha | Mentón menos prominente, perfil más recto, contorno mandibular equilibrado |
| Sobremordida excesiva | Mentón retraído, cara redonda, mejillas hundidas | Mentón más definido, perfil más recto, mejillas con más soporte |
Mitos y Realidades sobre los Cambios Faciales con Ortodoncia
¿Los brackets cambian la forma de la nariz?
No, los brackets no cambian la forma de tu nariz: ni el tamaño, ni la anchura, ni la punta… Al fin y al cabo, la nariz es cartílago y hueso nasal, estructuras en las que la ortodoncia no interviene.
¿Y qué hay de los labios?
Sí, tus labios pueden cambiar ligeramente con la ortodoncia, principalmente en perfil y grosor aparente, porque dependen mucho de la posición de los dientes. Labios que estaban muy proyectados hacia adelante podrían aplanarse un poco, o labios que estaban hundidos pueden ganar soporte.
Conclusión
La ortodoncia no solo corrige la alineación dental; su impacto se extiende a la autoestima y confianza personal. Al transformar la sonrisa, este tratamiento contribuye a una imagen facial más armoniosa, generando un efecto positivo en la percepción individual. Una sonrisa mejorada no solo transforma la apariencia facial, sino que también tiene el potencial de cambiar tu vida.
tags: #cambio #de #cara #por #ortodoncia