Tener una sonrisa deslumbrante es el deseo de muchas personas. Las carillas dentales son una solución eficaz para lograr una sonrisa perfecta y radiante cuando el color, la forma o el tamaño de los dientes no son los adecuados. Pero, ¿alguna vez te has preguntado cómo se ponen las carillas dentales? En este artículo, te explicaremos el proceso completo, desde la consulta inicial hasta la colocación final, para que puedas convertir ese sueño en realidad.
Poner carillas dentales consiste en cubrir los dientes con unas finas láminas, normalmente de porcelana o de resina, para cambiar su aspecto y lograr una sonrisa más natural y bonita. Las carillas dentales son láminas delgadas, generalmente fabricadas en porcelana o resina compuesta, que se colocan sobre la parte frontal de los dientes.
Tipos de Carillas Dentales | Lo que nadie te cuenta | Composite, Porcelana y Zirconio 🦷✨"
Tipos de Carillas Dentales
Existen varios tipos de carillas dentales, y el método de colocación varía según el material y la técnica:
- Carillas de Porcelana: Están hechas de cerámica resistente que imita el esmalte dental.
- Carillas de Composite: Se colocan mediante la aplicación directa de resina compuesta sobre el diente.
- Carillas de Cerámica Ultrafinas o Microcarillas: Para las que no se requiere realizar el tallado previo.
- Carillas Inyectadas de Composite: Siguen un proceso innovador y preciso que permite una adaptación rápida y una estética excelente.
Dependiendo del estado inicial del diente y la encía, así cómo de las expectativas y necesidades del paciente se optará por un tipo de carilla concreto (porcelana, composite o microcarillas). En todos los casos se confeccionan totalmente a medida a partir de un diseño de sonrisa y su forma está, por tanto, personalizada.

Proceso de Colocación de Carillas Dentales
El proceso de colocación de carillas dentales generalmente se lleva a cabo en dos visitas al dentista, aunque esto puede variar según el tipo de carilla y la clínica dental. En la Clínica Dental Ferrus & Bratos de Madrid, por ejemplo, se ha desarrollado un protocolo específico para mejorar el proceso de colocación de carillas dentales y poder ofrecer unos resultados duraderos y de calidad en tan solo cuatro citas.
1. Consulta Inicial y Diagnóstico
Primero se realiza una consulta previa donde se diagnostica el problema del paciente y se determina cuál será el tratamiento o los tratamientos a seguir. Primero se ha de diagnosticar al paciente en la clínica, además de tomar fotografías y un escaneo digital de toda la dentadura y sonrisa. Gracias a la tecnología de Diseño Digital de Sonrisa (DSD), podemos planificar el resultado estético final antes de comenzar el tratamiento.
En esta fase inicial, tomamos fotografías detalladas de tu boca y realizamos un escáner intraoral con tecnología 3D. Esta etapa es clave para comprender tus necesidades y garantizar que los resultados se ajusten a lo que esperas. Revisamos tu salud bucal general. Por ello, realizamos un proceso de escucha activa con todos nuestros pacientes para poder ajustarnos a sus necesidades y expectativas.
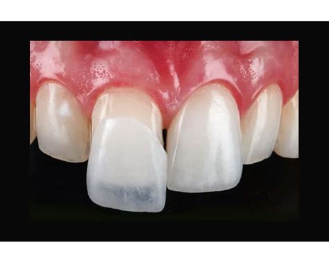
2. Preparación del Diente
En algunos casos, es necesario realizar un ligero tallado de la superficie externa de los dientes para asegurar que las carillas se adhieran de manera segura y estén alineadas correctamente. Es necesario preparar el diente para conseguir una adhesión eficiente de la carilla sobre la parte frontal del mismo. Sin embargo, las técnicas actuales son mínimamente invasivas y requieren un tallado practicamente imperceptible e incluso existen carillas sin tallado.
En la primera visita, se prepara el diente, a menudo realizando un pequeño tallado en la superficie para permitir un ajuste perfecto de la carilla. Gracias a su diseño ultrafino, las microcarillas se colocan con un desgaste mínimo del esmalte.
3. Impresión y Diseño de las Carillas
Las carillas dentales son un tratamiento odontológico que se realiza totalmente a medida. En todos los casos se confeccionan totalmente a medida a partir de un diseño de sonrisa y su forma está, por tanto, personalizada. Un aspecto positivo de elegir este tratamiento es que algunas clínicas lo realizan en una única sesión.
4. Colocación de las Carillas
Las carillas dentales, hechas a medida en los mejores laboratorios de alta estética, se adhieren cuidadosamente a la superficie externa de tus dientes. Ya sean de porcelana o composite, las carillas dentales van adheridas al diente natural de la persona mediante un cementado. En tu segunda visita, procedemos a colocar tus carillas definitivas mediante unas guías inteligentes. Gracias al diseño con guías 3D, el procedimiento es mínimamente invasivo, lo que reduce cualquier posible molestia y asegura un acabado natural.
El proceso de colocación y cementación es realmente sencillo y gracias a la guía inteligente, anteriormente mencionado, podemos llegar a colocar hasta 10 carillas en un solo paso. Las guías se fabrican utilizando lo último en tecnología de impresión 3D y materiales resistentes y biocompatibles.

5. Ajustes Finales
En la segunda visita, se colocan las carillas personalizadas y se ajustan para lograr un encaje perfecto. El diseño 100 % digital no solo aporta precisión, sino que también minimiza errores.
Tipos de Colocación Según el Material
- Carillas de Composite: Cuando se decide colocar carillas de composite, estas se colocan directamente sobre el diente en la consulta. Las carillas dentales de composite, o carillas de resina, son el tratamiento más rápido y sencillo de aplicar. Se colocan o se modelan directamente sobre el diente del paciente. Este tipo de carillas dentales son las más fáciles de colocar. Requieren de mínima preparación y es un tratamiento que aunque no se puede revertir en su totalidad, sí es fácilmente modificable.
- Carillas de Porcelana: La colocación de las carillas de porcelana requiere dos visitas al dentista.
- Carillas Inyectadas de Composite: Una vez aprobado, se imprime un molde en 3D en el que se inyecta el composite. Este molde se coloca directamente en la boca, logrando una adaptación exacta.
Duración del Tratamiento
La duración del tratamiento puede variar según la cantidad de carillas que se coloquen. En los casos en los que realizamos carillas sin tallado, no se necesita anestesia. Los efectos de la anestesia desaparecen rápidamente, lo que te permite volver a tu vida normal sin interrupciones.
Beneficios Funcionales y Estéticos
El principal objetivo de las carillas dentales es estético. Después de someterte a este tratamiento, comenzarás a sentir cambios en el aspecto de tus dientes. Si tienes una erosión en el esmalte, esta técnica mejorará su aspecto y lo notarás inmediatamente después de su colocación. También lucirás unos dientes más frescos, blancos y con un color más uniforme. Además de su impacto visual, las carillas también ofrecen beneficios funcionales, como la reducción de la sensibilidad dental.
Consideraciones Importantes
Las carillas dentales son una excelente opción para mejorar la estética de la sonrisa, pero no deben considerarse un tratamiento para problemas de salud dental. Si existen condiciones subyacentes, estas deben ser tratadas previamente por un especialista en odontología. Debido a la naturaleza del material empleado, se ha de tener en cuenta que el tratamiento con carillas de composite o resina es el menos duradero (unos 5-7 años aproximadamente) y el que tiene mayor probabilidad de deteriorarse o sufrir manchas o tinciones.
Es importante consultar con tu dentista para determinar si las carillas son adecuadas para ti.
En González y Casado, estamos comprometidos con la excelencia en alta estética dental pues nuestro anhelo es poder ayudarte a conseguir la sonrisa que siempre has deseado. Confía en transformar tu sonrisa y conseguir los resultados de calidad que te harán sentirte mejor que nunca.
| Tipo de Carilla | Material | Duración | Ventajas | Desventajas |
|---|---|---|---|---|
| Porcelana | Cerámica resistente | 10-15 años | Estética superior, resistente a manchas | Más costosas, requieren tallado dental |
| Composite | Resina compuesta | 5-7 años | Más económicas, colocación rápida | Menos duraderas, propensas a manchas |
| Microcarillas | Cerámica ultrafina | 10-15 años | Mínimo desgaste dental, estética natural | Pueden no ser adecuadas para todos los casos |