Los caninos, también llamados colmillos, son dientes esenciales en la boca, tanto funcional como estéticamente. Por ello, es fundamental que erupcionen completamente y en el plazo previsto. Cuando esto no sucede, nos encontramos ante un caso de caninos incluidos.
Un canino incluido es un diente que, a pesar de estar formado, no erupciona en el plazo previsto. Los caninos son unos de los dientes que se quedan retenidos con mayor frecuencia, por detrás de las muelas del juicio.

¿Por qué se produce la inclusión de un canino?
Los caninos incluidos pueden deberse a múltiples causas:
- Falta de espacio: Cuando no hay suficiente espacio en la arcada para que el canino erupcione, este puede quedar retenido en el hueso.
- Ausencia de incisivos laterales: La agenesia de los incisivos laterales también puede causar caninos incluidos, ya que estos dientes sirven de guía para la erupción del canino.
- Retraso en la caída de los caninos de leche: Si un canino temporal no se cae en el plazo adecuado, puede interrumpir el proceso de erupción normal del colmillo permanente.
- Pérdida prematura de los caninos de leche: Si un canino se cae antes del plazo adecuado y no se coloca un mantenedor de espacio, el resto de dientes de la arcada pueden ocupar el espacio vacío. Como los colmillos son los últimos dientes en erupcionar, cabe la posibilidad de que ya no encuentren espacio para hacerlo.
- Dientes supernumerarios: La presencia de dientes adicionales en la arcada puede obstruir el camino natural que tiene el canino para erupcionar, evitando que llegue hasta su posición correcta.
- Odontomas: Son tumores odontogénicos benignos que pueden alcanzar hasta los cuatro centímetros de diámetro, dificultando la erupción del colmillo.
- Genética: Al igual que sucede con otros problemas dentales, la predisposición genética es una de las principales causas de los caninos incluidos.
- Anquilosis dental: Esta alteración provoca la unión entre el diente y el hueso que lo rodea.
Diagnóstico del Canino Incluido
En la exploración clínica, el signo más visible de que el colmillo presenta un problema de erupción es su ausencia en la boca, una vez transcurrido el plazo en el que debe salir. Adicionalmente, el odontólogo puede identificar otras señales durante la exploración oral, como la persistencia del canino de leche en la boca más allá de la edad recomendada. Por otro lado, el colmillo incluido puede sentirse a la palpación.
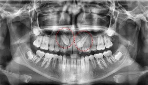
En lo que respecta a la exploración radiológica, será necesario realizar una radiografía panorámica y un TAC dental. De esa manera, el dentista podrá observar cuál es la situación del colmillo en la boca (posición, altura, inclinación…) así como su relación con los dientes vecinos.

Tratamiento Ortodóncico-Quirúrgico de Caninos Maxilares Impactados
Por lo general, resulta necesario tratar los caninos incluidos debido a las diversas complicaciones que pueden causar. Dicho esto, el tratamiento más adecuado para un canino incluido dependerá, fundamentalmente, de la posición del diente y la edad del paciente.
El tratamiento ortodóncico de un canino impactado en paladar representa un gran desafío para el Ortodoncista, ya que es una pieza dental fundamental en la estética facial y oclusión funcional. Es una condición clínica relativamente frecuente con mayor prevalencia en mujeres. Su etiología es multifactorial, de orden local, sistémico o genético.
Ante un diagnóstico de impactación canina, se debe realizar un abordaje temprano y eficiente para el éxito del tratamiento. Un manejo interceptivo y/o quirúrgico-ortodóncico realizado por un equipo transdisciplinario mejorará el pronóstico hasta su alineación en el arco dental.
El diagnóstico de un diente incluido es relativamente frecuente, pero hay diferentes términos clínicos dependiendo de las características. Así se definen términos como: inclusión, enclavamiento, retención e impactación; Todos están en un proceso anómalo en la erupción dental, pero existen grandes diferencias que involucran un análisis y diagnóstico particular e individualizado y que conlleva también un abordaje orto-quirúrgico determinado.
Pasos del Tratamiento
- En primer lugar, se realiza el tratamiento de ortodoncia para abrir un espacio en la encía, que permita alojar al canino.
- En segundo lugar, se realiza una fenestración dental, que es una cirugía en la que se abre una pequeña ventana en la encía.
- Unos días después de la intervención, el ortodoncista coloca un botón en el canino que ha sido descubierto, y se va traccionando poco a poco hasta conseguir su erupción.

Dicho esto, el tratamiento descrito puede variar en función del caso de cada paciente.
Postoperatorio
El postoperatorio por regla general es muy tolerable. Se producen molestias locales o dolor leve que responde muy bien al tratamiento analgésico que se acompaña también de tratamiento antibiótico. Se produce algo de edema o inflamación local.
Se toma en los primeros días una dieta blanda o suave, y se debe acompañar de una higiene local buena con cepillado en la zona con cepillos blandos, junto con colutorios de clorhexidina o agua con sal.
Las complicaciones son excepcionales. Entre ellas están la hemorragia o la infección local.
En resumen, se recomienda el tratamiento del canino incluido, el abstenerse puede producir complicaciones.
¿Se puede prevenir un diente incluido?
La completa prevención de los caninos incluidos es muy compleja, ya que hay distintos factores que escapan del control del paciente y de los dentistas. Sin embargo, se pueden tomar medidas preventivas:
- Revisiones regulares: Por lo general, la primera visita al ortodoncista debe producirse a los seis años de edad. Esto ayuda a comprobar si el proceso de erupción dental transcurre según lo previsto y a detectar problemas en una fase temprana, lo que también permite tomar medidas.
- Radiografías periódicas: Normalmente, en las visitas de revisión el odontólogo toma una serie de radiografías rutinarias al paciente. Esto permite una mejor observación de las estructuras bucodentales, lo que ayuda a detectar problemas que no se pueden advertir en una exploración oral.
- Ortodoncia interceptiva: La ortodoncia interceptiva engloba todos aquellos tratamientos de ortodoncia enfocados a niños de entre seis y nueve años. Está basada en aparatos que permiten actuar sobre el crecimiento de los huesos de la cara. Por ejemplo, la ortodoncia interceptiva sirve para ampliar las arcadas y crear el espacio necesario para que el canino erupcione, reduciendo el riesgo de que se quede retenido en el hueso.
- Mantenedores de espacio: Son unos sencillos aparatos que se colocan cuando un niño pierde un diente de leche antes de tiempo (por caries, golpes…).
Complicaciones clínicas frecuentes
Entre las complicaciones clínicas más frecuentes están las reabsorciones radiculares, anquilosis, dilaceración apical, formación de quistes, desplazamientos dentarios, necrosis pulpar, entre otros.
La exposición quirúrgica del canino impactado y la compleja mecánica de tracción para su alineación, pueden provocar complicaciones en los tejidos de soporte, largo tiempo de tratamiento y altos costos para el paciente.
¿Qué ocurre cuando tenemos un CANINO INCLUIDO? ¿Cuál es el mejor tratamiento?✅
Tratamiento en Adultos
En el paciente adulto los tratamientos suelen ser más complejos y la posibilidad de traccionar será determinado por el diagnóstico y así decidir.
Si esta anquilosado la única posibilidad será la exodoncia que debe ser realizada también por un cirujano con experiencia en estos abordajes y normalmente hacer una regeneración ósea de la zona donde estaba alojado el diente incluido.
Si se decide la tracción la experiencia del ortodoncista es clave para conseguir los resultados y no dañar los dientes vecinos con fuerzas inadecuadas. En algunas ocasiones el canino puede responder a la tracción, pero en un momento determinado quedarse bloqueado y no responder, por ello es fundamental un seguimiento estrecho en el proceso de tracción.
Con un buen diagnóstico y plan de tratamiento son muchos los caninos incluidos en adulto que se consiguen colocar en arcada.
En cualquier caso, el tratamiento de un diente incluido requiere de un buen diagnóstico con los registros de imagen radiológica y 3D adecuados, para establecer el mejor tratamiento ortodóncico-quirúrgico.
tags: #canino #impactado #ortodoncia