La primera vez que noté una molestia en una muela al pasar el hilo dental, descubrí que tenía una muela picada por el lateral. En ese momento sentí preocupación y muchas dudas: ¿por qué apareció una caries en el costado del diente? ¿Cómo aliviar el dolor hasta ir al dentista? ¿Tendrá solución con un empaste o necesitaré un tratamiento más complejo? Soy odontólogo y también he sido paciente, por eso quiero ayudarte sobre este problema.
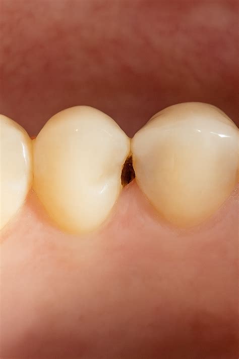
Popularmente a cualquier diente con caries le decimos «diente picado» o «muela picada». No importa el lugar exacto: significa que las bacterias de la placa han destruido parte del esmalte y la dentina, formando un agujero. Cuando hablamos de «muela picada por el lateral», nos referimos a una caries dental que se ha desarrollado en el costado de una muela. En términos odontológicos, suele tratarse de una caries interproximal (entre dos dientes) o de una caries en la cara lateral externa o interna de la pieza.
En mi experiencia clínica he visto que este tipo de caries pasa desapercibido más tiempo que otras. Al estar en un lateral, es menos visible a simple vista cuando te cepillas, y a veces la primera señal es el dolor o la sensibilidad.

¿Por qué Apareció una Caries en el Lateral de mi Muela?
Una muela se pica por el lateral cuando las bacterias de la placa actúan en esa superficie desprotegida. Esta fue mi primera pregunta.
- Higiene oral insuficiente en los laterales: Si no utilizas hilo dental o cepillos interdentales, es fácil que quede placa bacteriana entre las muelas. Esa placa genera ácidos que van desmineralizando el esmalte lateral poco a poco.
- Consumo frecuente de azúcares y carbohidratos: Una dieta alta en dulces, refrescos azucarados o snacks facilita que las bacterias produzcan ácido. Las caries se alimentan de nuestros descuidos dietéticos.
- Fisuras o espacios retentivos: A veces la forma de nuestros dientes tiene pequeños surcos o áreas donde la comida se queda atrapada. Si una muela tiene una fisura lateral o hay un hueco entre muelas mal alineadas, esa zona se vuelve un nido para la placa.
- Falta de flúor: El flúor ayuda a fortalecer el esmalte y prevenir caries.
- Recesión de encías: En personas con encías retraídas (por ejemplo, por periodontitis), la raíz del diente queda más expuesta. La raíz no tiene esmalte protector, por lo que las caries radiculares pueden aparecer en el lateral cercano a la encía.
¿Cómo Puedes Identificar una Muela Picada por el Lateral?
Aquí te mostramos algunas señales que pueden indicar la presencia de caries lateral:
- Sensibilidad al comer o beber: Al tomar algo frío, caliente o muy dulce, puedes sentir una punzada de sensibilidad en la muela afectada. En mi caso, un sorbo de agua fría me hacía ver «estrellas» en esa muela.
- Dolor localizado: Un dolor de muela que aparece al masticar o al hacer presión en cierta pieza es un signo clásico. Cuando la caries lateral avanza, el dolor puede volverse constante, incluso sin estímulo. Recuerdo que antes de tratarme, sentía un dolor sordo en la mandíbula al acostarme por las noches, justo del lado de la muela picada.
- Mancha u orificio visible: Si logras mirar con un espejo, quizás veas una manchita marrón u oscura en el lateral de la muela, cerca del borde de la encía o entre los dientes. A veces, hasta se percibe un agujerito o una zona áspera al pasar la lengua.
- Mal aliento o sabor desagradable: Una muela con caries puede producir halitosis. Las bacterias al descomponer el diente generan mal olor y un sabor amargo o metálico en la boca.
- Inflamación de encía cercana: En ocasiones la encía junto a la caries se irrita.
Ten en cuenta que en fases iniciales puede que no sientas nada. Las caries incipientes en el lateral son silenciosas. Por eso, si sospechas que tienes una muela picada lateral (por una mancha, o porque tu higiene no ha sido la mejor últimamente), lo más inteligente es acudir al dentista.
Te SORPRENDERÁ lo que ESCONDEN estas muelas - CARIES INTERDENTAL O INTERPROXIMALES
Qué Hacer Ante una Muela Picada
Al descubrir mi caries lateral, me pregunté de inmediato si debía ir al dentista o podía esperar. Mi recomendación profesional y personal es acudir al dentista cuanto antes.
- No esperes a que empeore: Una caries nunca se detiene por sí sola. Cuanto más esperes, más profundo cavará el agujero la bacteria. Si la caries aún está limitada al esmalte o dentina superficial, el tratamiento será sencillo (un empaste pequeño). Pero si llega al nervio dental, podrías necesitar una endodoncia (tratamiento de conducto) e incluso existe riesgo de absceso (infección con pus).
Medidas de Alivio en Casa
Mientras llega el día de tu cita dental, hay formas de aliviar molestias.
- Puedes tomar un analgésico de venta libre (como ibuprofeno o paracetamol) siguiendo las indicaciones del prospecto, para controlar el dolor.
- Un enjuague bucal de agua tibia con sal varias veces al día me ayudó a disminuir la inflamación y a mantener la zona limpia temporalmente.
- Algunos pacientes utilizan clavo de olor (que contiene eugenol, un anestésico natural) colocándolo cerca de la muela para adormecer un poco la zona; es un remedio casero que puede brindar alivio momentáneo.
- Es crucial que sigas limpiando tus dientes, aunque con cuidado. Cepilla suavemente alrededor de la muela picada después de cada comida, y usa hilo dental con delicadeza para eliminar restos en esa área. Muchos piensan que por dolerles, es mejor no tocar la muela; al contrario, mantenerla libre de restos de comida ayuda a que el dolor no se agrave por presión de partículas atascadas o infecciones en la encía.
- Por experiencia te digo que conviene masticar del lado contrario a la muela afectada y evitar alimentos muy fríos, calientes o azucarados hasta resolver el problema.
Lo más importante es entender que estas medidas son temporales. Pueden ayudarte a sobrellevar el dolor unos días, pero no eliminan la caries.
Tratamientos para las Caries Laterales
Dependiendo de la profundidad de la caries lateral, el dentista propondrá distintos tratamientos.
- Empaste dental: Un empaste dental es la solución más habitual si la caries no es muy extensa. También se le llama obturación o «relleno». Consiste en remover toda la parte del diente picada (el tejido cariado) con instrumental rotatorio (el famoso torno bajo anestesia local para que no sientas dolor) y luego rellenar el hueco con un material. Los materiales más usados hoy son la resina compuesta (que se ve del color del diente) o amalgama en algunos casos. En mi caso, el empaste fue con resina compuesta y apenas se nota.
- Endodoncia: Si la caries lateral ha llegado muy profundo y ha afectado la pulpa dental (es decir, el nervio de la muela), es probable que necesites una endodoncia. Popularmente se le dice «matar el nervio». Yo afortunadamente no necesité este paso, pero he realizado muchos en pacientes con caries avanzadas. El procedimiento implica abrir un acceso en el diente, retirar la pulpa infectada, desinfectar los conductos radiculares y luego rellenarlos con un material sellador.
- Corona dental: Cuando una muela pierde mucha estructura por la caries (sea tras un empaste muy grande o después de una endodoncia), el dentista puede recomendarte una corona. La corona es una «fundita» a medida, hecha de porcelana, zirconio u otro material, que cubre todo el diente. Actúa como un casco protegiendo lo que queda de la muela. Yo suelo aconsejar coronas si más del 50% de la muela está restaurada o débil. En caries laterales amplias, a veces la pared lateral del diente queda muy delgada tras limpiar la caries, y una corona evita que se fracture al morder.
- Extracción e implante: Este es el último recurso y espero que no sea tu caso. Si la muela picada está totalmente destruida o tiene una infección severa incontrolable, quizá no se pueda salvar y haya que extraer la muela. Perder una pieza dental es lo que todos queremos evitar, pero a veces es la opción más segura (por ejemplo, caries muy profundas bajo la encía, muela partida por la mitad, absceso que ha dañado el hueso). Tras la extracción, para que no te quedes sin muela, la solución más moderna es un implante dental: un tornillo de titanio que se coloca en el hueso a modo de raíz artificial, sobre el cual luego se atornilla una corona que imita al diente. También existen los puentes dentales como alternativa.

Prevención de Caries Laterales
Después de pasar por esta experiencia, cambié algunos hábitos para evitar que se repita.
- Higiene interdental diaria: Ahora soy muy disciplinado con el hilo dental cada noche. También puedes usar cepillos interdentales o irrigadores de agua, lo que mejor se adapte a ti.
- Cepillado con fluoruro: No basta con cepillarse rápido. Dedícale al menos 2 minutos, abarcando todas las caras del diente (frente, detrás, arriba). Usa una pasta dental con flúor para ayudar a remineralizar el esmalte.
- Dieta baja en azúcar y ácido: He reducido mucho las golosinas y bebidas carbonatadas. Intenta limitar la cantidad de azúcares que consumes, y si los comes, no los estés «picoteando» todo el día. Mejor comer un postre de una vez y luego cepillarse, que ir comiendo caramelos cada hora.
- Visitas regulares al dentista: Hazte una revisión dental y limpieza profesional cada 6 a 12 meses. El dentista puede detectar caries incipientes en los laterales antes de que duelan.
- Sellantes y flúor tópico: Si tienes tendencia a caries, pregunta a tu odontólogo por los sellantes dentales (una capa protectora plástica que se aplica especialmente en molares jóvenes) o aplicaciones de flúor en consulta.
Estos consejos me han funcionado personalmente y son los que doy a mis pacientes.
Preguntas Frecuentes sobre Caries Dentales
¿Es Necesario Ir al Dentista Aunque No Duela?
Sí. Aunque no tengas mucho dolor ahora, una muela picada no se cura sola y eventualmente empezará a doler. Acudir pronto al dentista evita que la caries avance. Piensa que, sin dolor, quizás aún está superficial y se soluciona con un empaste sencillo. Si esperas a que duela intensamente, es señal de que el daño es mayor (posiblemente necesitando endodoncia).
¿Cómo Saber si Tengo Caries sin Ir al Dentista?
Si notas sensibilidad o dolor al morder en un punto específico, o ves una mancha oscura en el costado de la muela, son indicios. Pasar hilo dental puede ayudarte a detectar caries interdentales: si el hilo se rompe, sale con mal olor o con manchas marrones, puede haber caries entre esas piezas. De todos modos, la forma más segura es visitar al dentista para una evaluación con examen clínico y radiografías.
¿Se Pueden Eliminar las Caries con Remedios Caseros?
No. Las caries, una vez que han creado un agujero en el diente, no pueden revertirse con remedios caseros ni pasta de dientes. Lo único que puede eliminar la caries es el instrumental del dentista, limpiando la zona afectada y rellenando el hueco. Los remedios caseros (como enjuagues de sal o el clavo de olor que mencioné) solo alivian síntomas temporalmente.
¿Duele el Tratamiento de Caries?
¡Por fortuna, no tiene por qué doler! Los procedimientos como el empaste o la endodoncia se realizan con anestesia local, así que no sentirás dolor durante el tratamiento. Puede haber un poco de molestia o sensibilidad después, cuando pasa la anestesia, especialmente si se trató el nervio o si la zona estaba inflamada. En mi caso, tras el empaste sólo sentí una pequeña sensibilidad al masticar por un par de días, pero nada de dolor fuerte. El dentista suele recomendarte analgesia suave post-tratamiento si cree que lo vas a necesitar.
¿Qué Pasa si No se Trata una Caries?
Ignorar una muela picada puede llevarte a problemas serios. La caries avanzará hasta el nervio causando un dolor intenso (pulpitis) y luego el nervio puede morir. Tras eso, las bacterias siguen propagándose y pueden formar un absceso dental, que es una infección con pus muy dolorosa y peligrosa (puede hinchar la cara e incluso derivar en un problema de salud general si la infección se disemina). Además, podrías perder la muela si la destruye por completo o si la infección daña el hueso de soporte.
No tratar una caries también puede afectar a los dientes vecinos: es común que una caries interproximal salte al diente de al lado con el tiempo. Y como mencioné antes, el tratamiento tardío suele ser más costoso y complejo.
Estadísticas sobre Caries
Las caries afectan actualmente al 21% de la población (según datos del Instituto Nacional de Estadística), siendo una de las patologías dentales más comunes.
| Grupo de Edad | Prevalencia de Caries |
|---|---|
| Niños | Alta |
| Adolescentes | Alta |
| Adultos | Moderada |
| Adultos Mayores | Alta |