La sonrisa es una de las características más valoradas a nivel estético, reflejando nuestra personalidad e impactando la percepción de los demás. Los avances en odontología estética han permitido que hombres y mujeres accedan a tratamientos efectivos para mejorar la apariencia de sus dientes de manera sencilla. En este sentido, las carillas dentales se han convertido en una solución popular y accesible.

En Clínica Dental Molins, sabemos que los hombres también valoran una sonrisa perfecta, y por eso ofrecemos tratamientos de carillas dentales que se adaptan a sus necesidades y expectativas. Si necesitas un tratamiento de carillas dentales en Madrid, estás en la mejor opción para ello.
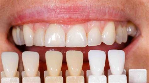
¿Qué son las Carillas Dentales?
Las carillas dentales son láminas finas de porcelana o composite que se colocan en la parte frontal de los dientes para mejorar su apariencia. Están diseñadas a medida para cada paciente, lo que asegura un ajuste perfecto y una apariencia completamente natural.

¿Por Qué los Hombres Optan por las Carillas Dentales?
Aunque históricamente se pensaba que los tratamientos estéticos dentales eran más solicitados por mujeres, hoy en día los hombres también buscan opciones que les permitan lucir una sonrisa más atractiva. Algunas de las razones más comunes incluyen:
- Dientes Manchados o Descoloridos: El consumo de café, tabaco, vino tinto y otros alimentos o bebidas puede afectar el color natural de los dientes.
- Dientes Desgastados o Astillados: Con el paso del tiempo, los dientes pueden desgastarse o astillarse debido al uso constante.
- Mejorar la Estética de la Sonrisa: Algunos hombres desean mejorar la simetría de su sonrisa.
- Solución Rápida y No Invasiva: A diferencia de otros tratamientos dentales, como los brackets o las coronas, las carillas son un tratamiento estético menos invasivo.
Tipos de Carillas Dentales
Debes saber que existen dos tipos en función del material empleado: de porcelana y composite.
El Procedimiento: Paso a Paso
El procedimiento para la colocación de carillas dentales es sencillo y generalmente se realiza en varias visitas a la clínica dental.
- Consulta Inicial y Evaluación: El primer paso es realizar una consulta con el dentista para evaluar la salud bucal y determinar si las carillas dentales son la opción más adecuada.
- Diseño Personalizado: Una vez aprobado el tratamiento, se toma una impresión de los dientes del paciente para crear carillas a medida.
- Preparación del Diente: Antes de colocar las carillas, el dentista realiza una ligera abrasión en la superficie del diente para que la carilla se adhiera de manera firme. Con las técnicas mínimamente invasivas, la preparación del diente es mínima. Esto significa que solo una pequeña cantidad de esmalte se elimina para permitir que las carillas se adhieran correctamente. Las carillas de porcelana ultrafinas, como las que utilizamos en Clínica Barbieri Gijón, requieren aún menos preparación del diente.
- Colocación de la Carilla: Una vez que la carilla ha sido diseñada y fabricada, se coloca sobre el diente con un adhesivo especial. Después, se utiliza una luz ultravioleta para asegurar que el adhesivo se fije correctamente.
- Revisión y Ajuste Final: Después de colocar las carillas, el dentista realiza una revisión final para asegurarse de que todo esté en su lugar y que el paciente esté satisfecho con los resultados.
Beneficios de las Carillas Dentales
Las carillas dentales ofrecen una serie de beneficios tanto estéticos como funcionales.
- Mejora de la Estética de la Sonrisa: Las carillas proporcionan una mejora instantánea en la apariencia de los dientes.
- Durabilidad: Las carillas de porcelana son extremadamente duraderas y resistentes al desgaste. Cuando se cuidan adecuadamente, las carillas dentales pueden durar muchos años. Las carillas de porcelana, en particular, son conocidas por su estabilidad de color y resistencia en comparación a las carillas de composite.
- Sonrisa Natural: A diferencia de otros tratamientos dentales, las carillas de porcelana tienen una apariencia muy natural.
- Solución Rápida y Eficaz: El procedimiento para colocar carillas dentales es relativamente rápido y no requiere un largo período de recuperación.
Casos de Éxito: Antes y Después
En Clínica Dental Ferrus & Bratos, se ofrecen fotos del antes y después tras un tratamiento con carillas dentales para que puedas comprobar el cambio que ya disfrutan muchos de nuestros pacientes. A continuación, se presentan algunos ejemplos notables:
Caso 1: María Isabel
María Isabel acudió a la clínica con el objetivo de mejorar su sonrisa. Tras un estudio personalizado, se le propuso un tratamiento combinado de ortodoncia y estética dental. Después de 23 meses de ortodoncia y un blanqueamiento dental combinado, se logró un tono más claro y uniforme de la sonrisa.

Caso 2: Agustín
Agustín presentaba un oscurecimiento dental por tetraciclinas. Se comenzó con un tratamiento de ortodoncia invisible durante 12 meses y antes de colocarse las carillas de porcelana le realizamos un blanqueamiento dental para garantizar el resultado más óptimo.

Caso 3: Manuel
Manuel vino con una maloclusión moderada y con el objetivo de corregir todos los aspectos de su sonrisa que no le gustaban. Por ello, tras un primer estudio completo de su salud bucodental trazamos un tratamiento completo que combinaba ortodoncia invisble, blanqueamiento y carillas dentales.

Carillas de Disilicato de Litio: Un Caso Práctico
Un paciente de mediana edad acudió a consulta odontológica con el objetivo de mejorar la estética de su sonrisa, manifestando incomodidad por el color heterogéneo de sus dientes y la presencia de espacios interdentales. Se observó una coloración dental no homogénea y espacios interdentales entre las paletas dentales.
Se propuso la colocación de carillas de disilicato de litio, láminas finas de cerámica que se adhieren a la superficie frontal de los dientes para corregir alteraciones de color, forma y tamaño. Se realizó una leve preparación de los dientes para eliminar una fina capa de esmalte dental, un procedimiento mínimamente invasivo. Las carillas se confeccionaron a medida en un laboratorio dental especializado, utilizando tecnología de última generación. Una vez confeccionadas, se procedió a su cementación sobre los dientes preparados.
Carillas Dentales FirstFit: Innovación en Estética Dental
Una de las innovaciones más emocionantes en el campo de las carillas dentales es la técnica First Fit. ¡Con FirstFit hemos aumentado el número de casos estéticos en un 66%!
- Colocación precisa: Las carillas se fabrican de manera personalizada y se colocan con precisión utilizando guías especiales. Este método asegura un ajuste perfecto y minimiza la necesidad de ajustes adicionales.
Ventajas y Desventajas de las Carillas Dentales
A continuación, se presenta una tabla comparativa de los diferentes tipos de carillas dentales:
| Tipo de Carilla | Ventajas | Desventajas | Indicaciones |
|---|---|---|---|
| Porcelana | Muy resistentes, apariencia natural, el paciente participa activamente en el diseño, puede ver un previo en boca antes de las definitivas. | Más caras, proceso irreversible, requieren múltiples citas. | Dientes desgastados o fracturados, con espacios o diastemas, con formas o tamaños irregulares, manchados o descoloridos que no responden a tratamientos de blanqueamiento, corrección de pequeñas malposiciones dentales. |
| Composite | El paciente participa activamente en el diseño, en un tratamiento provisional. | Menos duraderas, más propensas a manchas y desgaste. | Dientes desgastados o fracturados, con espacios o diastemas, con formas o tamaños irregulares, manchados o descoloridos que no responden a tratamientos de blanqueamiento, en un tratamiento provisional. |
| Microcarillas | Más caras que las tradicionales, proceso irreversible, no adecuadas para todos los casos. | Son necesarios importantes tallados del diente. | Dientes desgastados o fracturados, con espacios o diastemas, con formas o tamaños irregulares. |
Mantenimiento de las Carillas Dentales
El mantenimiento de las carillas dentales es fundamental para prolongar su durabilidad y conservar su apariencia estética. Es importante evitar hábitos que puedan dañar las carillas, como morder objetos duros, utilizar los dientes para abrir envases o rechinar los dientes. Los pacientes también deben considerar el uso de protectores nocturnos si tienen el hábito de apretar o rechinar los dientes durante el sueño.
Famosos con Carillas Dentales
Antes y Después: Transformación de Sonrisa con Carillas Dentales #carillasdentales
Muchos famosos han transformado su sonrisa gracias a las carillas dentales. Algunos ejemplos notables incluyen:
- Miley Cyrus: Su cambio fue muy notable después de un tratamiento de ortodoncia y carillas de porcelana.
- David Bustamante: Un claro ejemplo de cómo los hombres también pueden cuidar de su estética dental.
- Cristiano Ronaldo: La ortodoncia previa y las carillas de porcelana supusieron un antes y un después en su sonrisa.
- Zac Efron: Corrigió un diastema interincisivo bastante notable gracias a las carillas dentales.
