Las carillas dentales se han convertido en uno de los tratamientos de Estética Dental más solicitados por personajes famosos de diversos ámbitos. Y es que con estas finas láminas de porcelana es posible conseguir una sonrisa armónica, modificando el tamaño, la forma y el color de los dientes, lo que mejora la estética del rostro.
Carillas dentales en Córdoba: la transformación de sonrisa de Adrián en Cleardent
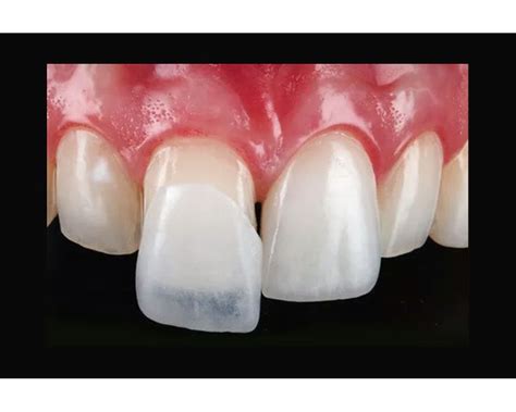
¿Qué son las Carillas Dentales?
Las carillas dentales son láminas muy finas que se colocan en la parte delantera de la dentadura para corregir pequeños defectos en nuestra sonrisa. Este tratamiento puede solucionar problemas como un color amarillento en los dientes, esmalte dental sin brillo, espacios entre dientes separados o incluso tapar pequeñas fracturas.
Existen dos tipos principales de carillas:
- Carillas de composite: Se confeccionan a medida, utilizando una pasta que se adhiere al diente después de haber sido pulido.
- Carillas de porcelana: Son delgadas láminas que se adhieren a la cara frontal del diente.
La elección del material depende de las necesidades y preferencias del paciente. En las clínicas dentales, los expertos estudiarán el esmaltado para asegurar un resultado natural.

El Blanqueamiento Dental: Otro Secreto de los Famosos
El paso del tiempo, el consumo de tabaco o café y diferentes enfermedades bucodentales pueden hacer que tus dientes se vuelvan amarillos y aparezcan manchas. Sin duda, el blanqueamiento es otro de los secretos dentales de los famosos para lucir sonrisas relucientes y brillantes. En las clínicas dentales existen varias alternativas aunque la más habitual es el blanqueamiento dental con luz fría.
Famosos Españoles que Han Transformado su Sonrisa con Carillas
En el ámbito nacional, no son pocas las caras conocidas que han dado un giro de 180 grados a su sonrisa gracias a la colocación de carillas estéticas. Personalidades del mundo del cine y de la música son conocidas por sus espléndidas sonrisas.
Penélope Cruz
La actriz nacida en Alcobendas es reconocida internacionalmente por su talento en películas tanto en Hollywood como en la industria del cine español. Los incisivos centrales de la española presentaban un apiñamiento leve, y el resto de sus piezas no tenían el mismo tamaño. Sin duda, Penélope tiene una de las sonrisas más brillantes de la industria cinematográfica, no solo en España sino en todo el mundo. Su sonrisa se caracteriza por piezas perfectamente alineadas y un toque nacarado que la hace brillar.
Paula Echevarría
La elegante actriz asturiana es más conocida por sus papeles en «Terciopelo» o «Gran Colección» y ha tenido un matrimonio muy popular con el cantante David Bustamante hace muchos años, tuvo varios tratamientos de embellecimiento, especialmente su sonrisa, que fue blanqueamiento dental y colocación de carillas dentales. Paula es otro ejemplo de una sonrisa radiante.
David Bustamante
La sonrisa que vimos por primera vez en OT y la que ahora muestra David Bustamante ha cambiado con creces. La ex pareja de Paula Etxebarría, el famoso cantante David Bustamante, es conocido por su sonrisa blanca e impecable. Podemos ver la evolución de la sonrisa en sus fotografías a lo largo de los años, gracias a unas estupendas carillas dentales.
Patricia Conde
La presentadora era otro de los rostros televisivos con diastema entre sus incisivos superiores centrales. La estrella de Valladolid TV es otra famosa hispana que tiene lo mejor y lo mejor gracias a la ortodoncia como los huecos que sufrió y la colocación de carillas de porcelana en este caso una sonrisa atractiva.
Julián López
Uno de los grandes cómicos por excelencia, el actor Julián López, es otro célebre español en el que más claramente podemos apreciar el antes y el después de los implantes de carillas dentales.
Transformaciones de Sonrisas en Celebridades Internacionales
Las carillas dentales no solo son populares entre los famosos españoles, sino que también han transformado las sonrisas de muchas celebridades internacionales.
Cristiano Ronaldo
Cristiano Ronaldo es uno de los futbolistas más destacados y exitosos de todos los tiempos. La sonrisa del portugués es una de esas que destacan por el gran cambio que dio tras pasar por un dentista. De hecho, sufría de agenesia congénita en uno de sus incisivos. Al principio, el futbolista se decantó por el uso de brackets para solucionar su oclusión, pero después finalizó su tratamiento con ortodoncia invisible, y posteriormente se colocó carillas dentales.
Miley Cyrus
La sonrisa de Miley Cyrus se caracterizaba por el apiñamiento dental que presentaba. Conocida por su gran papel en Hannah Montana y ahora como una sensación del pop, Miley Cyrus a menudo ocupa un lugar central. No se puso carillas hasta que tenía alrededor de 17 años y estaba de gira. Las carillas enmascararon algunos problemas de alineación, hicieron que sus dientes se vieran más largos y también iluminaron sus dientes en una variedad de tonos.
Tom Cruise
Este actor y productor de cine es el rostro más conocido dentro de las películas de Misión: Imposible. En sus primeras apariciones, el joven actor mostraba unos dientes irregulares, oscurecidos y hacia afuera. Antes de las carillas, sus dientes estaban muy manchados y mal colocados. Ahora, Tom está mostrando una brillante sonrisa nacarada en la pantalla grande.
Tom Cruise lleva carillas de porcelana desde hace años, lo que le ha proporcionado una de las sonrisas más reconocibles de Hollywood. Sus dientes estaban descoloridos debido a las manchas del tabaco y el café, pero decidió ponerse carillas para tener esa sonrisa icónica de «Hollywood».
Morgan Freeman
Morgan Freeman es un icónico actor famoso por su versatilidad y habilidades en la actuación. El rostro de Morgan Freeman rejuveneció con creces después de su rehabilitación oral. Por un lado, repuso los dientes faltantes con implantes dentales. La sonrisa del intérprete estaba un poco oscurecida, como consecuencia del bruxismo que le generaba desgaste dental. Para tales casos, las carillas no solo dan un aspecto más joven a los dientes al devolverles su color blanco, sino que protege las piezas del desgaste.
Otros Famosos que Han Optado por Carillas
- Lindsay Lohan: Tenía los dientes manchados, astillados y pequeños. Gracias a las carillas, ahora tiene una sonrisa más brillante.
- Zac Efron: En High School Musical, Zac Efron tenía una sonrisa con dientes separados. Hoy, sin embargo, la brecha se ha ido, y ha sido reemplazada por una sonrisa recta y blanca.
- Demi Moore: Antes tenía una sonrisa manchada y ligeramente desalineada y ahora sus dientes son perfectos.
Ortodoncia Invisible: Otra Opción Popular entre los Famosos
Muchos famosos han reconocido utilizar el sistema Invisalign para corregir su dentadura. Si no lo cuentan, es difícil darse cuenta. El éxito de la ortodoncia invisible es el conjunto de fundas transparentes que van corrigiendo la dentadura sin que nadie lo note.
Algunos famosos que han usado Invisalign son:
- Mariló Montero
- David Broncano
- Nuria Roca
- El rey Juan Carlos de España
- La reina Máxima de Holanda
Consideraciones Finales sobre las Carillas Dentales
Las carillas dentales son una excelente opción para quienes buscan una sonrisa impecable, como la de muchas celebridades. El tratamiento generalmente dura entre dos y tres semanas, distribuyéndose en tres o cuatro visitas a la clínica dental. Si se prefiere una opción más rápida, las carillas de composite son una solución ideal, completándose en una sola sesión.
Si crees que unas carillas dentales te serían de buen provecho para mejorar tu sonrisa al igual que estas celebridades, no dudes en ponerte en contacto con una clínica dental.
| Famoso | Tratamiento Dental |
|---|---|
| Penélope Cruz | Carillas de porcelana |
| Cristiano Ronaldo | Ortodoncia, carillas de porcelana |
| Miley Cyrus | Carillas de porcelana |
| Tom Cruise | Carillas de porcelana |
| Lindsay Lohan | Carillas de porcelana |