Las carillas dentales son un tratamiento estético popular que mejora la apariencia de los dientes, corrigiendo problemas como dientes separados, manchados o desalineados, malposiciones leves o erosiones en el esmalte. Si estás considerando este tratamiento, es fundamental conocer los distintos factores que influyen en el precio y los materiales disponibles.

¿Qué son las Carillas Dentales?
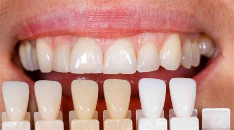
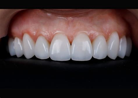
Las carillas dentales son láminas finas que se colocan sobre la parte frontal de los dientes para mejorar su apariencia. Se adaptan perfectamente a la forma y color natural de tus dientes y se usan para corregir problemas estéticos como manchas, desgastes, separaciones o pequeñas malposiciones.
Una carilla dental es más que un simple tratamiento estético. Es una solución mínimamente invasiva que puede ayudarte a recuperar seguridad, presencia y armonía en tu sonrisa, especialmente cuando son carillas de porcelana de alta calidad.
Tipos de Carillas Dentales
Existen diversos tipos de carillas dentales, cada uno con características específicas y un rango de precios diferente:
1. Carillas de Composite
Las carillas de composite están fabricadas con resina compuesta y se pueden colocar en una sola visita. Su aplicación es rápida y el material se puede modelar directamente sobre el diente. Una de las ventajas de este material es que es el más económico.

Ventajas:
- Económicas
- Colocación rápida
- Reparables
Desventajas:
- Menos duraderas (aproximadamente 5 años)
- Pueden mancharse con el tiempo
- Menos estéticas que las de porcelana
2. Carillas de Porcelana
Las carillas de porcelana o cerámica son traslúcidas, lo que permite imitar la apariencia del esmalte natural. Este material es más resistente y duradero que la resina y, a diferencia de esta, no se mancha, por lo que su apariencia dura más tiempo. Dentro de las carillas de porcelana encontramos las Lumineers y e.max, que son ultrafinas.

Ventajas:
- Mayor durabilidad (10-15 años)
- Resistentes a las manchas
- Apariencia natural
Desventajas:
- Más costosas
- Requieren mayor preparación del diente
3. Carillas de Zirconio
Las carillas de zirconio son una alternativa más reciente, hechas de una cerámica de alta resistencia. Proporcionan un resultado muy natural y duradero, siendo una opción popular entre los pacientes que buscan alta estética y durabilidad.

Precios de las Carillas Dentales
El precio de las carillas dentales varía significativamente dependiendo de varios factores:
- Tipo de material utilizado: La resina compuesta es más económica, mientras que la porcelana y el zirconio son más costosos debido a su mayor resistencia, durabilidad y estética natural.
- Número de dientes tratados: El precio del tratamiento se calcula según el número de dientes que se vayan a tratar. A mayor número de carillas, mayor será el costo.
- Tecnología y equipamiento utilizados: La tecnología empleada durante el tratamiento influye en el resultado final y, por ende, en el precio.
- Laboratorio o técnico protésico: Los laboratorios con técnicos especializados en imitar con exactitud el aspecto de los dientes naturales suelen tener costos más elevados.
- Experiencia y formación del odontólogo: Los profesionales con mayor experiencia y formación pueden tener tarifas más altas.
A continuación, se presenta una tabla con los precios aproximados por unidad:
| Tipo de Carilla | Precio Aproximado por Diente |
|---|---|
| Composite | 250 € - 600 € |
| Porcelana (E-max, Lumineers) | 300 € - 1200 € |
Es importante tener en cuenta que estos precios son orientativos y pueden variar según la clínica y la ubicación geográfica. En España, el precio de un tratamiento con carillas dentales puede partir de unos 1.120 euros, dependiendo del número de carillas necesarias.
¿Cómo se Colocan las Carillas Dentales?
El proceso de colocación de carillas dentales generalmente involucra los siguientes pasos:
- Consulta inicial: El odontólogo examina los dientes, toma radiografías y discute los objetivos estéticos del tratamiento.
- Preparación de los dientes: En algunos casos, se requiere desgastar una fina capa de esmalte para asegurar una correcta adhesión de la carilla.
- Toma de impresiones: Se toman medidas precisas de los dientes para fabricar las carillas a medida.
- Colocación de carillas provisionales: Mientras se fabrican las carillas definitivas, se pueden colocar carillas provisionales.
- Colocación de las carillas definitivas: Se retiran las carillas provisionales y se colocan las carillas definitivas con un cemento especial.
- Ajuste y pulido: Se ajustan las carillas para asegurar un ajuste perfecto y una apariencia natural.
Carillas Dentales | ¿Qué son y Cuánto cuestan? | Precios actuales

Ventajas de las Carillas Dentales
Las carillas dentales ofrecen múltiples beneficios a quienes buscan mejorar la estética de su sonrisa:
- Mejora estética: Corrigen problemas de color, tamaño, forma y posición de los dientes.
- Sonrisa más blanca: Recuperan la apariencia natural de los dientes.
- Tratamiento mínimamente invasivo: En muchos casos, el tallado del diente es mínimo o inexistente.
- Resultados duraderos: Con los cuidados adecuados, las carillas pueden durar muchos años.
- Solución a varios problemas: Permiten solucionar varios problemas coexistentes en un único tratamiento.
Cuidados Posteriores
Es importante cuidar las carillas tal y como lo harías con tus dientes naturales para mantener su funcionalidad a largo plazo:
- Cepillarse los dientes dos veces al día con un cepillo de cerdas suaves y pasta dental con flúor.
- Evitar el consumo de alimentos y bebidas que manchen.
- Utilizar un protector bucal si practicas deportes de contacto.
- Evitar morder objetos duros como hielo, caramelos o lápices.
- Si sufres de bruxismo, habla con tu odontólogo para que te proporcione un protector.
Con una rutina de higiene meticulosa y los cuidados adecuados, las carillas dentales proporcionarán una sonrisa hermosa y duradera.