Una sonrisa hermosa es una de las mejores tarjetas de presentación. Los avances en odontología estética han hecho posible transformar sonrisas de manera eficaz y rápida. Si estás considerando mejorar tu sonrisa, es fundamental conocer las diferencias entre los tipos de carillas para tomar una decisión informada.
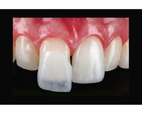
Las carillas dentales son finas láminas de material que se adhieren a la superficie frontal de los dientes para mejorar su apariencia. Están diseñadas para corregir una variedad de problemas estéticos, como dientes descoloridos, desgastados, astillados, desalineados o con espacios entre ellos. Estas láminas pueden estar hechas de diferentes materiales, siendo los más comunes el composite y la porcelana.
En este artículo, exploraremos a fondo las carillas de composite, sus ventajas, desventajas, durabilidad y cuidados necesarios, para ayudarte a decidir si son la opción adecuada para ti.
DIFERENCIAS | ¿Carillas de composite o carillas de porcelana?
¿Qué son las Carillas de Composite?
Las carillas de composite están hechas de una resina compuesta, un material plástico que se puede moldear directamente sobre el diente. Este procedimiento, conocido como «bonding», se realiza en una sola visita al dentista. El composite se aplica en capas y se endurece con una luz especial, permitiendo al dentista esculpir y pulir el material hasta obtener el resultado deseado.
Cuando hablamos de «composite» nos referimos a la mezcla de resina de plástico y partículas de cerámica que se utiliza en su fabricación. Se trata de una resina especial que se mimetiza perfectamente con el esmalte de los dientes, adaptándose a ellos y a los tejidos que los rodean sin ningún tipo de problema. Con este material se realiza la fina capa que colocaremos sobre las piezas dentales para mejorar su apariencia.
Las carillas de composite se utilizan, principalmente, para corregir problemas estéticos leves. En una primera visita, el paciente tratará de explicar al dentista qué resultados le gustaría obtener, mientras que el especialista examinará los dientes para conocer qué lo más adecuado hacer dependiendo del problema.
En la segunda visita al dentista, se colocarán las carillas de forma completamente indolora. Para ello, en primer lugar, se limpiará el diente y se aislará de los demás. De esta forma, se conseguir construir un nuevo diente sin tener que quitar ni tallar el natural que permanecerá tras las carillas.
El propósito principal de las carillas de composite es mejorar la estética dental, permitiendo elegir color, forma y tamaño de tus piezas dentales.

Principales usos en estética dental
Las carillas de composite son efectivas para mejorar la apariencia de la sonrisa, sirven para:
- Eliminar manchas producidas tanto por medicamentos, problemas con el esmalte dental o causadas por la alimentación.
- Cerrar pequeños espacios entre los dientes.
- Mejorar el color de los dientes y darle un aspecto más natural.
- Mejorar el aspecto de dientes dañados, astillados o fracturados.
- Corregir apiñamiento leve o dientes ligeramente torcidos.
- Mejorar la apariencia de dientes muy pequeños, o muy grandes, o con una forma irregular.
Ventajas de las Carillas de Composite
Las carillas de composite ofrecen una serie de ventajas que las convierten en una opción atractiva para quienes buscan mejorar su sonrisa:
- Coste Efectivo: Una de las principales ventajas de las carillas de composite es su precio. Son significativamente más económicas que las carillas de porcelana, lo que las convierte en una opción accesible para muchas personas.
- Procedimiento Rápido: El tratamiento con carillas de composite se puede completar en una sola visita al dentista, ya que no requieren la fabricación en laboratorio. Esto es ideal para quienes buscan una solución rápida.
- Reparables: En caso de daño o fractura, las carillas de composite se pueden reparar fácilmente sin necesidad de reemplazar toda la carilla.
- Menos Invasivas: La colocación de carillas de composite requiere la eliminación de menos estructura dental en comparación con las carillas de porcelana.
- Aspecto natural: El composite se puede moldear y colorear para que coincida perfectamente con el tono y la forma de los dientes circundantes.
- Personalización: El paciente puede elegir distintas variables de las carillas como la forma e incluso el color.
- Tratamiento reversible: Las carillas dentales pueden aplicarse y, posteriormente, ser quitadas.
- Invasión mínima: No es un tratamiento agresivo.
- Alta estética:
Desventajas de las Carillas de Composite
A pesar de sus ventajas, las carillas de composite también tienen algunas desventajas importantes:
- Durabilidad: Aunque son resistentes, las carillas de composite no son tan duraderas como las de porcelana. Su vida útil es menor, generalmente entre 5 y 7 años.
- Estética: Aunque pueden lucir muy naturales, las carillas de composite no tienen la misma translucidez y brillo que las de porcelana. Con el tiempo, pueden mancharse y perder su color original.
- Resistencia al Desgaste: Las carillas de composite son más propensas al desgaste y la abrasión, especialmente en pacientes con hábitos de bruxismo o mordida fuerte.
- Posibles limitaciones en términos de durabilidad: A pesar de su durabilidad y resistencia, las carillas de composite pueden tener limitaciones en cuanto a su longevidad en comparación con algunas alternativas.
- Cambio de color con el tiempo y susceptibilidad a manchas: Aunque las carillas de composite son resistentes a las manchas y la decoloración en cierta medida, con el tiempo pueden experimentar un cambio de color leve. Esto puede deberse a la exposición a alimentos y bebidas con pigmentos fuertes, como café, té o vino tinto.
- Mayor propensión a astillarse o romperse en comparación con porcelana: Aunque el composite utilizado en las carillas es resistente, es importante destacar que son más propensas a astillarse o romperse en comparación con las carillas de porcelana, que son más duras y menos porosas. Las actividades como morder objetos duros o abrir envases con los dientes pueden aumentar el riesgo de daños en las carillas de composite.
- Necesidad de mantenimiento y reemplazo eventual: A medida que pasa el tiempo, es probable que las carillas de composite requieran mantenimiento y eventual reemplazo. Esto se debe a su exposición continua a la tensión diaria y al desgaste normal. Además, si experimentas algún daño o cambio significativo en tu salud dental, es posible que necesites reemplazar las carillas para mantener una apariencia estética óptima.
- Uso limitado:
- Menor resistencia a la tinción:
Duración de las Carillas de Composite
La duración de las carillas de composite es un factor importante a considerar. El tiempo de duración de estas carillas dependerá en gran medida de los hábitos de los pacientes, tanto alimenticios como de limpieza dental.
En condiciones óptimas y con los cuidados adecuados, las carillas de composite pueden durar hasta 10 años. Sin embargo, varios factores pueden influir en su durabilidad.
Factores que influyen en la durabilidad
- La calidad de la resina con la que estén elaboradas.
- La experiencia y técnica aplicada por el dentista especialista en cosmetología dental.
- El grosor de la carilla. Mientras más gruesa resultan más duraderas, pero ello también implica que el diente necesita mayor preparación.
- Una rutina de cuidado dental adecuada y cumplir con las visitas para las revisiones periódicas con el dentista .
- Los hábitos alimenticios.
Cómo Cuidar las Carillas de Composite
Independientemente del tipo de carillas que elijas, el cuidado y mantenimiento adecuados son esenciales para garantizar su longevidad y mantener tu sonrisa en su mejor estado.

Higiene bucal para prolongar su duración
Una rutina de higiene dental es esencial para cuidar las carillas de composite. Cepillarse al menos dos veces al día, con una técnica y un cepillo de dientes adecuado ayudará a mantener en mejor estado las carillas a largo plazo. Complementar el cepillado con hilo dental, evita la acumulación de comida entre los dientes. Además, se debe evitar el uso de pasta de dientes abrasiva.
Para aumentar su durabilidad, se aconseja no morder cáscaras duras, no cortar materiales como el plástico, el hilo o la cinta adhesiva y tener una correcta rutina de limpieza dental.
- Higiene Oral: Mantén una buena higiene oral cepillándote los dientes al menos dos veces al día y usando hilo dental diariamente. Esto ayuda a prevenir la acumulación de placa y reduce el riesgo de enfermedades periodontales.
- Visitas Regulares al Dentista: Programa visitas regulares a tu dentista para chequeos y limpiezas profesionales. Esto permite detectar cualquier problema a tiempo y mantener tus carillas en óptimas condiciones.
Hábitos alimenticios y su impacto
Los alimentos duros, pegajosos o crujientes pueden dañar las carillas. También debes evitar morder o cortar objetos con los dientes y rechinarlos.
- Evita Alimentos y Bebidas que manchan: Limita el consumo de alimentos y bebidas que pueden manchar tus carillas, como café, té, vino tinto y alimentos con colores intensos.
- Evita Hábitos Dañinos: Evita morder objetos duros, como hielo o lápices, y evita usar tus dientes para abrir paquetes o botellas, ya que esto puede dañar tus carillas.
- Protección Nocturna: Si tienes el hábito de rechinar los dientes (bruxismo), consulta a tu dentista sobre el uso de una férula nocturna para proteger tus carillas y evitar el desgaste.
Recomendaciones para evitar manchas
Ciertos hábitos como fumar pueden provocar manchas en las carillas. Además, el consumo en exceso de bebidas como el café, el té, refrescos oscuros y otros alimentos con colorantes, como la salsa de tomate o la mostaza.
Comparativa: Carillas de Composite vs. Porcelana
Las carillas de composite son la opción más barata entre los tipos de carillas, mientras que las de porcelana son las de mayor precio.

Para ayudarte a tomar una decisión informada, aquí te presentamos una tabla comparativa entre las carillas de composite y las de porcelana:
| Característica | Carillas de Composite | Carillas de Porcelana |
|---|---|---|
| Precio | Más económicas | Más caras |
| Durabilidad | 5-7 años | 10-15 años o más |
| Estética | Buena, pero puede mancharse | Excelente, aspecto natural y resistente a manchas |
| Resistencia | Menor | Mayor |
| Procedimiento | Una sola visita | Varias visitas |
| Reversibilidad | Más reversible | Irreversible |
| Reparación | Fácil de reparar | Requiere reemplazo |
En cuanto a la durabilidad, las de porcelana resultan más resistentes y pueden llegar a durar entre 15 y 20 años, mientras que las de composite tienen una duración menor, que va entre 5 y 10 años. Las carillas de porcelana requieren de varias sesiones para completar el proceso de colocación, mientras que en una sola consulta puedes salir con una sonrisa nueva si eliges las carillas de composite.
Como ya mencionamos, las carillas de composite son menos duraderas que las de porcelana, pero si se daña o se agrieta alguna pieza de composite se puede reparar, a diferencia de la porcelana que necesitará ser reemplazada. En cuanto al aspecto, aunque ambas opciones lucen bien, definitivamente las carillas de porcelana se parecen mucho más a los dientes naturales en forma y color.
Consideraciones Estéticas
Si la estética es tu principal preocupación y deseas una sonrisa que luzca lo más natural posible, las carillas de porcelana son la mejor opción. Su capacidad para reflejar la luz y su resistencia a las manchas garantizan una apariencia hermosa y duradera.
Consideraciones de Durabilidad
Para aquellos que buscan una solución a largo plazo y están dispuestos a invertir más inicialmente, las carillas de porcelana son la mejor elección. Su durabilidad y resistencia las hacen una inversión que puede durar más de una década con el cuidado adecuado.
Consideraciones de Coste
Si tu presupuesto es limitado y necesitas una solución más económica, las carillas de composite pueden ser la opción adecuada. Aunque tienen una vida útil más corta, el menor coste inicial puede ser más manejable para muchas personas.
Consideraciones de Procedimiento
Si prefieres un tratamiento rápido y menos invasivo, las carillas de composite son ideales. El hecho de que se puedan colocar en una sola visita es una gran ventaja para quienes tienen un horario apretado o desean resultados inmediatos.