El desgaste dental es un problema común que afecta la estructura de los dientes, debilitando el esmalte y generando problemas funcionales y estéticos. El desgaste dental es la pérdida de estructura dental causada por el envejecimiento dental, el contacto incorrecto entre los dientes, el apretamiento inconsciente (bruxismo), por patologías o por malos hábitos.

Causas del Desgaste Dental
Los dientes pueden llegar a desgastarse por muchos motivos y lo cierto es que puede afectar a nuestra salud bucodental, tanto a nivel estético como funcional. El desgaste de los dientes puede tener diversas causas. A continuación, se detallan las causas más comunes:
- Envejecimiento dental: Con el tiempo, el esmalte dental tiende a adelgazar, volviéndose más susceptible al desgaste.
- Bruxismo: El bruxismo o apretamiento dental es un habito perjudicial para el sistema masticatorio. Si alguna vez has notado que tus dientes se desgastan o incluso te duelen por la mañana, podría ser debido al bruxismo, que consiste en apretar o rechinar los dientes, especialmente durante la noche. Crea grandes desgastes cuando además se mueve la mandíbula de forma inconsciente.
- Cepillado dental excesivo: Cada persona se cepilla los dientes con una intensidad diferente. Si la fuerza es excesiva o el cepillo demasiado duro vamos a lesionarnos.
- Erosión: Es la pérdida de estructura debido a agentes químicos como bebidas carbonatadas, jugos ácidos o el vinagre. Algunas sustancias, sobre todo de naturaleza abrasiva o ácida, pueden provocar debilitamiento del esmalte y dentina.
- Trastornos alimenticios y reflujo: La anorexia y la bulimia llevan al paciente a vomitar de forma recurrente causando erosiones dentales en las caras posteriores de los dientes.
- Problemas de mordida: Cuando tus dientes no encajan correctamente al morder (maloclusión), algunas áreas de tus dientes pueden sufrir un desgaste excesivo. En estos pacientes la oclusión no es correcta y pueden darse rozamientos y presiones sobre los dientes que acaben provocando desgastes. Una mordida mal alineada o una maloclusión pueden ejercer presión desigual sobre los dientes, provocando desgaste en áreas específicas.
- Malos hábitos: Alimentos duros, caramelos, pan crujiente o incluso el hábito de morder objetos no alimentarios, como bolígrafos, pueden causar daño directo al esmalte de tus dientes. Por ejemplo: morderse las uñas o usar los dientes para morder objetos muy duros como los bolígrafos.
- Recesión gingival: La recesión gingival es un proceso en el que las encías se retraen, dejando expuesta la raíz de los dientes.
- Condiciones médicas y medicamentos: Ciertas condiciones médicas, como el reflujo ácido crónico o trastornos alimentarios, pueden contribuir al desgaste dental. Algunos medicamentos pueden tener efectos secundarios que afectan la salud dental, como la sequedad bucal.
Impacto del Desgaste Dental
El desgaste dental no es solo un problema estético.
- Impacto en la autoestima: La apariencia de los dientes desgastados o cortos puede afectar tu confianza al sonreír.
- Problemas funcionales: El desgaste dental no solo afecta la estética, sino que también compromete la funcionalidad de la boca.
- Sensibilidad dental: La sensibilidad dental es uno de los primeros signos de desgaste dental. Los dientes pueden volverse más sensibles a temperaturas extremas, como alimentos fríos o calientes. El desgaste dental puede provocar sensibilidad dental, ya que las capas más sensibles del diente quedan expuestas.
- Problemas en la articulación temporomandibular (ATM): El desgaste dental puede influir en la mordida y la alineación de los dientes, lo que a su vez puede contribuir a problemas en la articulación temporomandibular (ATM).
- Mayor riesgo de caries y fracturas: El esmalte dental desempeña un papel crucial en la protección contra las caries. Cuando los dientes están desgastados, el esmalte se adelgaza, exponiendo las capas más internas del diente a bacterias y ácidos. Los dientes desgastados son más propensos a fracturas, especialmente durante la masticación de alimentos duros.
- Dificultad al masticar y problemas del habla: Con el tiempo, el desgaste dental puede afectar la función masticatoria, haciendo que sea más difícil morder y masticar los alimentos correctamente. En casos avanzados de desgaste dental, la forma alterada de los dientes puede afectar la pronunciación y la calidad del habla.
Tratamientos para el Desgaste Dental
Siempre evaluamos las causas del desgaste para llevar a cabo el tratamiento más idóneo. Y si te estás preguntando si se pueden reparar los dientes desgastados la respuesta es que sí. Arreglar dientes desgastados es, por suerte, totalmente factible gracias a los avances en odontología y estética dental. Pero, antes de reparar los dientes desgastados es importante conocer cuál fue la causa del desgaste ya que, dependiendo de la causa, será necesario abordar también la causa para evitar que siga habiendo desgaste.
La buena noticia es que el desgaste dental tiene solución. En Institut Joan Autrán, utilizamos lo último en tecnología y técnicas dentales para restaurar tanto la forma como la función de tu sonrisa.

Carillas Dentales Vs Diseño de Sonrisa | Lo que tienes que saber antes de decidir
Opciones de Tratamiento
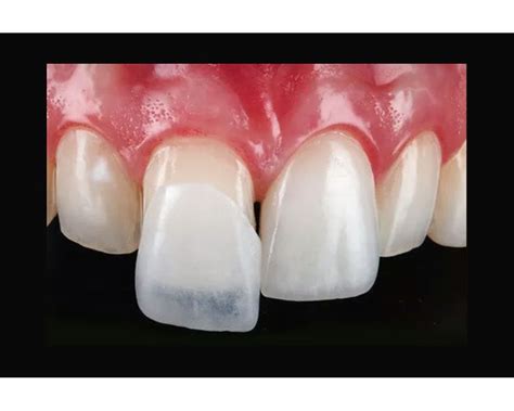
- Carillas dentales: Las carillas dentales son láminas delgadas de porcelana o composite que se adhieren a la parte frontal de los dientes. Si necesitamos alargar los dientes uno de los mejores métodos para hacerlo es colocando encima carillas dentales. Las carillas en bruxistas son una solución estética ideal para personas con dientes pequeños o desgastados, incluyendo a quienes sufren de bruxismo. Al restaurar la forma y tamaño de los dientes, las carillas, especialmente de materiales resistentes como la porcelana, mejoran la apariencia y funcionalidad. Para protegerlas, se recomienda usar una férula nocturna, lo que permite una solución duradera y eficaz para una sonrisa armoniosa pese al bruxismo.
- Composite: Disponemos del material en la clínica y está indicado para desgastes pequeños. Carillas de composite: la resina o composite se usa para reconstruir dientes desgastados, gracias además a su variedad de colores que imitan el color natural de los dientes.
- Cerámica: Indicada para desgastes más severos, dada su alta resistencia. Microcarillas y carillas de porcelana o cerámica: en este caso las carillas consisten en unas finas láminas de porcelana cerámica que se fabrican, previo escaneo de la dentadura y diseño del resultado final, para luego ser colocadas sobre los dientes. Estas ofrecen unos resultados altamente estéticos, muy naturales, resistentes gracias a la naturaleza del material y muy duraderos.
- Coronas dentales: En casos más severos de desgaste, las coronas pueden ser la mejor opción. Este tratamiento cubre completamente el diente afectado, devolviendo su tamaño, forma y resistencia. Las coronas dentales son fundas que se colocan sobre los dientes desgastados para restaurar su forma y fuerza. Circonio: Se utiliza para dientes que tienen muy poca estructura remanente, ya que es el material más resistente.
- Incrustaciones de cerámica: Son fragmentos o bloques que se diseñan para cubrir la parte del diente perdido y devolverle así su función.
- Empastes dentales: Los empastes dentales, ya sean de amalgama o composite, se utilizan para reparar dientes con caries o desgaste leve a moderado.
- Ortodoncia: Si el desgaste es causado por una maloclusión, nuestra opción de ortodoncia invisible es ideal. Por otro lado, si el paciente presenta problemas de oclusión dental, será necesario realizar antes del tratamiento estético para dientes desgastados una ortodoncia. Así, se corregirá el posicionamiento y alineación de los dientes para prevenir más desgaste y asegurar el éxito del tratamiento estético. Si hay una maloclusión que haya acelerado el desgaste, recomendaremos realizar un tratamiento de ortodoncia previo al de restauración dental.
- Blanqueamiento dental: Si tus dientes están desgastados no solo en forma, sino también en color, podemos realizar un tratamiento de blanqueamiento dental para devolverles su brillo original.
- Férulas de descarga: Si el desgaste es causado por el bruxismo, tenemos soluciones personalizadas, como férulas de descarga, que te ayudarán a prevenir el daño futuro y a mejorar la calidad de tu sueño. En la mayoría de casos se realiza una férula de descarga al finalizar el tratamiento para conservar los resultados. Para pacientes con dientes desgastados por bruxismo el tratamiento inicial debe ser prevenir que se sigan desgastando prescribiendo el uso de una férula de descarga. Esta férula, fabricada a medida, se coloca sobre la arcada superior dental para dormir y se encarga de relajar la musculatura facial y proteger los dientes.
- Ajuste de oclusión: Realizamos ajustes de oclusión para corregir problemas de mordida y distribución desigual de la fuerza entre los dientes.
- Rehabilitación completa: Para desgastes severos y generalizados que precisen de una rehabilitación completa, realizaremos un diseño digital previo y lo imprimimos en una maqueta de cera para probarlo antes de fabricar la cerámica y/o circonio.
Consideraciones Adicionales
Es fundamental el diagnóstico temprano, ya que con una detección temprana del bruxismo puede que no sea necesario tratar el desgaste dental por ser muy poco. Si el paciente lo requiere, entonces además de la férula será necesario un tratamiento estético con carillas dentales.
Para prevenir el desgaste dental basta con tener en cuenta las causas que hemos listado en este artículo. Recuerda: no uses tus dientes para morder objetos duros (o tus uñas), no abuses de alimentos o bebidas que puedan ser abrasivas y si presentas bruxismo o lo sospechas, no esperes y acude a tu dentista para realizar un diagnóstico temprano.
En Institut Joan Autrán, el presupuesto es 100% personalizado. Solicita tu cita y comienza el camino hacia una sonrisa renovada, saludable y llena de confianza.
Desventajas de las Carillas Dentales
A pesar de sus múltiples beneficios, es importante tener en cuenta que este tratamiento no está exento de posibles desventajas o inconvenientes.
- Sensibilidad dental: Una de las desventajas más comunes tras la colocación de las carillas dentales es la sensibilidad dental. Al igual que con otros tratamientos dentales, algunos pacientes experimentan una mayor sensibilidad al frío, al calor o a ciertos alimentos tras la colocación de las carillas. Esta sensibilidad es generalmente temporal y suele desaparecer con el tiempo.
- Desgaste irreversible del diente natural: Para colocar las carillas dentales, el dentista generalmente debe desgastar una pequeña capa de esmalte dental para que la carilla se adhiera correctamente. Aunque este proceso es mínimamente invasivo, implica que una parte del diente natural se elimina permanentemente. Esto significa que una vez colocadas las carillas, no se podrá revertir el procedimiento y el diente será vulnerable a posibles daños en el futuro.
- Posibilidad de fractura: Aunque las carillas dentales son bastante resistentes, no son indestructibles. Las carillas de porcelana, por ejemplo, son muy fuertes, pero pueden romperse o astillarse si se exponen a golpes fuertes o si se muerden objetos duros como hielo o caramelos. Las carillas de resina compuesta, por otro lado, son más flexibles, pero tienen una vida útil más corta y pueden desgastarse más rápidamente con el tiempo.
- Costo elevado: El costo de las carillas dentales puede ser una de las principales desventajas para algunas personas. Aunque las carillas de porcelana ofrecen una estética excepcional, su precio es considerablemente más alto que las carillas de resina compuesta. Además, el procedimiento puede implicar varios pasos, como consultas previas, el diseño de las carillas y la colocación final, lo que aumenta el coste total.
- No apto para todos los casos: Aunque las carillas dentales son una excelente opción estética para muchas personas, no son adecuadas para todos los casos. Por ejemplo, aquellas personas que padecen bruxismo (rechinamiento excesivo de los dientes) pueden no ser candidatas ideales para las carillas, ya que el rechinar de los dientes puede dañar las carillas rápidamente.
- Mantenimiento requerido: Aunque las carillas dentales son relativamente fáciles de cuidar, requieren un mantenimiento adecuado para garantizar su durabilidad. Al igual que con los dientes naturales, es necesario mantener una buena higiene bucal, evitando el consumo excesivo de alimentos y bebidas que puedan manchar las carillas (como el café, el té o el vino tinto).
- Cambio de color: Con el tiempo, las carillas dentales, especialmente las de resina compuesta, pueden experimentar un cambio de color debido a la exposición a alimentos, bebidas o hábitos como el fumar. Aunque las carillas de porcelana tienden a ser más resistentes a las manchas, no son completamente inmunes a este fenómeno.
A pesar de las desventajas mencionadas, las carillas dentales siguen siendo una de las opciones más solicitadas para quienes desean mejorar la apariencia de su sonrisa de manera rápida y eficaz. Si las desventajas de las carillas dentales te hacen dudar, existen otras opciones que pueden ofrecerte una sonrisa perfecta sin algunos de los inconvenientes mencionados. Por ejemplo, los blanqueamientos dentales o las carillas sin necesidad de tallado (más modernas y menos invasivas) pueden ser alternativas que se adapten mejor a tus necesidades.
Tratamientos para Dientes Pequeños o Desgastados
Los dientes pequeños o desgastados pueden ser tratados mediante diversas soluciones estéticas y funcionales, dependiendo de la causa subyacente y el nivel de desgaste. Entre los tratamientos más comunes se encuentran las carillas dentales, que permiten restaurar el tamaño y mejorar la apariencia de los dientes mediante finas láminas de porcelana o composite. Otra opción es la reconstrucción dental con resinas compuestas, que se utilizan para añadir volumen y reparar áreas dañadas. En casos más severos, las coronas dentales pueden ser necesarias para proteger y fortalecer los dientes. Además, es importante abordar las causas del desgaste, como el bruxismo o una mala mordida, a través de férulas nocturnas o ajustes de la mordida, garantizando así la durabilidad de los tratamientos y la salud dental a largo plazo.
Cómo Agrandar Dientes Pequeños con Carillas
Agrandar dientes pequeños con carillas es un tratamiento estético que permite mejorar tanto el tamaño como la forma de los dientes de manera rápida y efectiva. Las carillas, que son finas láminas de porcelana o composite, se adhieren a la superficie frontal de los dientes para aumentar su longitud, ancho o volumen, creando una sonrisa más equilibrada y armoniosa. Este procedimiento es mínimamente invasivo, ya que requiere poco desgaste del diente natural y ofrece resultados duraderos y de aspecto natural. Además de agrandar los dientes, las carillas pueden corregir imperfecciones como manchas o pequeñas fracturas, proporcionando una solución completa para mejorar la estética dental.
Opciones para Mejorar la Estética Dental en Dientes Pequeños
Existen diversas opciones para mejorar la estética dental en dientes pequeños, adaptadas a las necesidades y objetivos de cada paciente. Las carillas dentales son una de las soluciones más populares, ya que permiten aumentar el tamaño de los dientes de forma natural y armoniosa, corrigiendo al mismo tiempo otros problemas estéticos como manchas o irregularidades. Otra opción es la colocación de coronas dentales, recomendadas en casos de mayor desgaste o debilidad estructural, ya que cubren completamente el diente y le proporcionan mayor resistencia. Para quienes buscan una opción menos invasiva, las resinas compuestas son una alternativa, ya que se moldean directamente sobre el diente para mejorar su tamaño y forma.