La estética dental es una rama especializada de la odontología que se dedica a mejorar la apariencia y la belleza de la sonrisa. El objetivo principal es conseguir la sonrisa perfecta.
Las carillas dentales son un tratamiento de odontología estética para mejorar el aspecto de tu sonrisa. El tratamiento con carillas dentales es uno de los más demandados y efectivos en el ámbito de la odontología estética. Esto se debe a que asegura una sonrisa natural y atractiva, corrigiendo alteraciones del color, la forma o la posición de los dientes.
En este artículo, te proporcionaremos información detallada sobre las carillas dentales disponibles en Elche, los precios asociados y los diferentes materiales utilizados para su fabricación.

¿Qué son las Carillas Dentales?
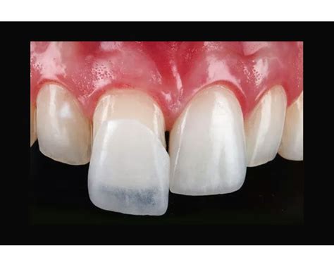
Las carillas son un tratamiento de odontología estética para mejorar el aspecto de tu sonrisa. Las Carillas son unas láminas ultrafinas que se fabrican a medida de cada paciente y se adhieren a la cara visible del diente, en un procedimiento sencillo e indoloro.
Las carillas dentales son una capa superficial que se pega sobre nuestro diente natural para mejorar el aspecto, forma y color. Se colocan sobre la superficie del diente, dando la forma deseada. Actualmente los dientes de menor tamaño no son un problema ya que podemos modificar tanto su tamaño como su color.
¿Cuándo son recomendables las carillas dentales?
Está pensado para aquellos pacientes que buscan mejorar el aspecto de su sonrisa y que a la vez ésta se vea natural. Para cambiar el color original de los dientes (que estén como amarillentos o amarronados y quieran que estén más blancos), para tapar imperfecciones o fracturas, para cubrir espacio entre dientes si estos están separados, o para corregir posición, forma y tamaños de los dientes.
Son una opción altamente recomendada para aquellos que desean mejorar la apariencia estética de su sonrisa. Proporcionan resultados duraderos, naturales y atractivos.
Las carillas dentales son una opción altamente recomendada para aquellos que desean mejorar la apariencia estética de su sonrisa. Proporcionan resultados duraderos, naturales y atractivos.
Las carillas dentales son láminas delgadas hechas de porcelana o resina compuesta que se adhieren a la parte frontal de los dientes para mejorar su apariencia estética.
Cuando queramos cambiar tamaño y/o forma de nuestros dientes. Primero tomamos unas fotos y unos moldes de la boca y junto con el Protésico hacemos un mock up o simulación para que el paciente pueda ver cómo va a quedar la boca con las carillas. Con esta simulación el Paciente puede hacer modificaciones de tamaño, forma, etc… ya que son como unas “carillas provisionales” de plástico. Después cuando las hemos modificado y el paciente está satisfecho con el resultado de la simulación tomamos moldes y fotografías para que el especialista en prótesis sepa exactamente como queremos el trabajo y proceda a su fabricación.
Los candidatos ideales para carillas dentales son aquellos que tienen dientes sanos, pero desean mejorar su apariencia estética. Es importante tener una buena salud bucal y estar libre de problemas dentales, como caries o enfermedad periodontal, antes de someterse al procedimiento.
Depende de la finalidad y del estado bucal del paciente. Las carillas brindan estética a los dientes, mientras que la ortodoncia aporta funcionalidad a la boca, como en problemas de mordida o malposiciones. En algunas ocasiones son complementarias tras el tratamiento de ortodoncia, para mejorar la estética, una vez los dientes ya se encuentran en mejor posición.
La preferencia se determinará después de una evaluación inicial, en un acuerdo con el paciente. Ambos tratamientos mejoran la estética de la sonrisa y son complementarios, aunque son diferentes. El blanqueamiento elimina manchas poco profundas, en tanto que las carillas además de modificar la coloración, pueden corregir pequeñas anomalías relacionadas con la forma, tamaño y posición.
Las coronas, también conocidas como fundas dentales, al igual que las carillas, tienen el objetivo de embellecer la dentadura, pero también se utilizan al haber alteraciones graves, como sucede con los dientes partidos. Las coronas conllevan una preparación más minuciosa y menos conservadora del diente al tener que tallar más cantidad de diente.
¿Conoces los TIPOS de CARILLAS DENTALES? ✨ El mejor tratamiento ESTÉTICO para tu sonrisa👄
Tipos de Carillas Dentales y Materiales
Las hay de disilicato de litio, zirconio, composite o cerámica. En IGB dental utilizamos principalmente las del primer tipo porque son más duraderas debido a los materiales de mayor calidad y porque suponen un avance en la salud bucodental y odontología digital CADCAM.
Si estás pensando en mejorar la estética de tu sonrisa ven a visitarnos y nuestros especialistas te aconsejarán de forma individualizada cuál es la opción más adecuada para hacer realidad tus deseos.
Carillas de Composite
Este tipo de carillas ofrecen también un buen resultado aunque son menos resistentes. Son más adecuadas para pacientes jóvenes, ya que son reversibles.
Estas carillas están hechas de un material de resina compuesta que se adhiere directamente a los dientes. Son una opción más económica y requieren menos preparación dental.
Carillas de composite: este tipo de carillas se coloca directamente sobre el diente. Es decir, cuando acuda a la consulta del odontólogo extenderá de manera directa la resina sintética y comenzará a darle la forma adecuada, tallará sobre el diente a tratar para que parezca natural.
Es una capa de resina sintética que se coloca en la cara externa del diente y permanece adherida al endurecerse. Se va moldeando y dando forma y color en la misma sesión.
Al ir sobre el diente se realizan sin la necesidad de desgastar los dientes. Son reversibles, por lo que si no te gusta te las puedes quitar y volver a la situación inicial. Se realizan en un solo día. Se pueden retocar de manera sencilla. La desventaja es que con el tiempo pueden sufrir cambios de color que se solucionan con pequeños retoques.
Si la corrección del defecto relacionado con la forma, el color, el tamaño o la posición se debe realizar en una única pieza dental, es preferible utilizar composite, pues resulta más fácil conseguir que el color de la carilla sea igual al del resto de los dientes.
Ventajas de las carillas de composite
- Alta estética.
- Se hacen a mano sobre el diente.
- Colocación rápida, sencilla e indolora.
- No desgastan los dientes.
- Se pueden quitar y retocar.
- Son las más económicas.
Desventajas de las carillas de composite
- Pueden observarse manchas a partir de los 2 años.
Carillas de Porcelana
Son carillas dentales fabricadas con porcelana de alta calidad, que ofrecen una apariencia natural y una resistencia superior.
Porcelana. A su vez este modelo de carillas pueden estar hechas de tres tipos diferentes: zirconio (más opacas), feldespáticas (más gruesas pero menos resistentes) y ultrafinas (más delgadas y resistentes).
Carillas de porcelana: para colocar unas carillas de porcelana es necesario realizar varias visitas al odontólogo. En la primera visita, el médico valorará y examinará la zona a tratar, expondrá las opciones de tratamiento y tomará el molde de los dientes, así como fotos para determinar el color y que la sonrisa parezca natural. Toda la información se envía al laboratorio para preparar las carillas. En la segunda visita, el médico mostrará las carillas al paciente y las colocará.
Es una fina lámina de porcelana adherida a la superficie de la pieza dental tratada, que sustituye la cara visible del diente.
Con estas láminas adheridas se consigue mejorar la posición, el color, el tamaño y la forma del diente. Son fabricadas por el laboratorio minuciosamente para conseguir la mayor estética, brillo y luminosidad. Son recomendables en pacientes que necesiten pequeños cambios de forma o de color.
Ventajas de las carillas de porcelana
- Estética inmejorable.
- Proceso indoloro y sin anestesia local.
- Son necesarias dos sesiones.
- Durabilidad de entre 10 y 15 años.
- No se manchan.
- Resistencia a las fracturas.
Carillas de Zirconio Estratificado
Las carillas dentales de zirconio estratificado están compuestas por una base de zirconio, un material cerámico muy resistente y duradero. Este enfoque permite combinar la fortaleza del zirconio con la apariencia natural de la cerámica, resultando en carillas que son tanto robustas como estéticamente agradables.
Carillas de Disilicato de Litio
Las carillas de disilicato de litio están hechas de un material cerámico de alta resistencia conocido como disilicato de litio. Este material tiene una apariencia translúcida similar al esmalte dental natural, lo que lo hace ideal para crear carillas que se integran bien con los dientes circundantes.
Son realizadas con un material cerámico llamado disilicato de litio fuerte y resistente. Este tipo de restauración está indicado para aquellas personas que tienen afecciones más graves como fracturas de los dientes, una zona amplia a restaurar o separación entre dientes. El procedimiento requiere dos visitas al dentista: la primera para hacer un molde de los dientes y la siguiente para su colocación con un cemento de resina. Se colocan varias piezas juntas. Suponen una solución estética recomendable, en pacientes con recesión gingival.
Estas carillas son finas láminas (de un grosor aproximado de unos 0’3 milímetros) fabricadas con disilicato de Litio, que deriva de la combinación de cerámica y vidrio (con disilicato LS2).
Estas novedosas carillas se han ido imponiendo como principal opción en los tratamientos de carillas dentales, debido a su novedoso e innovador material, referente en el sector dental. El disilicato de Litio ofrece una alta resistencia y durabilidad, al tiempo que ofrece a los laboratorios poder trabajar de forma más rápida y eficiente gracias a la tecnología cadcam, lo cual nos permite un diseño digital y posterior terminación mediante fresadoras de última generación.
Mediante un proceso de control de nucleación y cristalización del vidrio, a través de aplicación de calor. Si necesita más información sobre este proceso puedes pedir cita y un médico te explicará todas tus dudas en persona sin compromiso.
Se colocan en una sesión, en un tratamiento sencillo e indoloro. Las carillas son tan finas que en algunos casos no es necesario tallar el diente. La carilla se adhiere sobre la cara visible del diente con un adhesivo especial, que puede ser retirado ante cualquier motivo sin que el diente se vea afectado.
Ventajas de las carillas de disilicato de litio
- Estética inmejorable, nadie nota que las llevas.
- Son muy finas y cómodas, al ajustarse al diente y a la encía.
- Tallado mínimo del diente.
- Fácil colocación en pocas sesiones.
- Es una técnica reversible en ocasiones porque el diente apenas se toca.
- Larga duración, resistencia y flexibilidad.
- Mantienen el color y la forma.
Desventajas de las carillas de disilicato de litio
- Son las más costosas.
Ventajas Generales de las Carillas Dentales
- Mejora estética: Las carillas dentales transforman la apariencia de la sonrisa al cubrir imperfecciones y proporcionar dientes más blancos, alineados y simétricos.
- Durabilidad: Las carillas de porcelana son altamente resistentes a las manchas y tienen una vida útil prolongada, a menudo de 10 a 15 años o más.
- Conservación del esmalte dental: A diferencia de otros procedimientos estéticos, las carillas dentales requieren una mínima eliminación del esmalte dental natural.
- Un único tratamiento para varios problemas.
Duración de las Carillas Dentales
Son tratamientos de larga duración, más duran cuanto más cuidamos nuestros dientes.
La duración de las carillas dentales dependerá del material con el que estén hechas y del cuidado que lleves a cabo, pueden durar entre unos 6 y 10 años, con un buen cuidado y con control odontológico.
Las carillas de porcelana son más duraderas, entre 10 y 15 años, y conservan mejor sus propiedades de color y brillo. Por su parte las carillas de composite tienen una duración media de entre 5 y 10 años, con el problema de que conservan pero sus características de color y brillo.
No hay un periodo exacto, se trata de tener una buena higiene y pasar revisiones anuales. Dado la resistencia del material es muy difícil que puedan dañarse o sufrir fracturas. Ante cualquier inconveniente se debe retirar la pieza y colocar una nueva.
Esto depende de factores como el uso y el cuidado que le demos. La duración media suele ser de entre 10 y 15 años y con un buen cuidado, incluso más.
No, estas carillas no cambian de color con el tiempo, ni siquiera con el té, el vino o el tabaco.
Proceso de Colocación de las Carillas Dentales
Durante la primera visita, el dentista evaluará la salud dental, discutirá tus objetivos estéticos y explicará el proceso de las carillas dentales.
En algunos casos, se debe preparar ligeramente la superficie de los dientes para que las carillas se adhieran correctamente. Una vez que las carillas estén listas, se realizará una cita de colocación.
Al igual que ocurre con las carillas de cerámica, para colocar las carillas de composite primero es necesario examinar la boca del paciente, mediante un estudio previo. En este caso las carillas de composite se hacen a mano directamente sobre el diente del paciente. Aunque el trabajo es más complejo y preciso los resultados logran una gran naturalidad.
Primero se coloca el adhesivo en la estructura dentaria, luego se realiza una fotopolimerización, se coloca el composite y, por último, se hace un pulido final, logrando un acabado natural.
En principio se hace un estudio de las proporciones faciales y se hace un encerado proporcionando al paciente una prueba llamada mock-up para que pueda ver como quedarían en boca las carillas. Una vez que el paciente aprueba el tratamiento, se crea una guía de silicona transparente con unos orificios que servirá para inyectar el composite sobre cada diente. Mediante la aplicación de una luz especial, el material quedará adherido al diente, permitiendo al paciente disfrutar de su nueva sonrisa.
La implementación es muy similar a las carillas de disilicato de litio.
El proceso de colocación no es doloroso, de hecho, no se requiere de anestesia local. Lo que puede ocurrir es que después se sienta algo de malestar alrededor de la encía o incluso un poco de sensibilidad, aunque en un par de días, todo debería volver a la normalidad.

Cuidados Posteriores a la Colocación de Carillas Dentales
Después de colocar carillas dentales, se recomienda evitar alimentos y bebidas que puedan manchar los dientes, como café, té, vino tinto y alimentos altamente pigmentados. También se debe evitar morder objetos duros o usar los dientes como herramientas para abrir o romper cosas.
Deben tratarse de la misma manera que los dientes originales: cepillarse tres veces al día y utilizar el hilo dental. Es aconsejable utilizar una pasta dental con fluoruro no abrasivo y protector bucal nocturno en casos de bruxismo, para no dañar la carilla.
¿Cuándo no es recomendable el uso de las carillas dentales?
- Bruxismo
- Mala higiene
- Maloclusiones
Precios de las Carillas Dentales en Elche
Dependiendo del tipo de carilla que elija poner pueden ser más económicas o algo más caras.
Los precios pueden variar entre 180-250€ por cada carilla de composite, entre 350-450€ las de porcelana y las de disilicato de Litio.
Lo ideal es determinar, tras una evaluación inicial, qué es lo mejor para el paciente. Las carillas de porcelana tienen una mayor durabilidad que las de composite, pero son más costosas. Por su parte, sobre las de disilicato de litio podemos destacar que es un material novedoso que, además de la estética, otorga una gran fortaleza, mayor durabilidad y permite trabajar de manera rápida y efectiva, por lo que irá desplazando a otros materiales.
| Tipo de Carilla | Precio Aproximado por Carilla |
|---|---|
| Composite | 180-250€ |
| Porcelana | 350-450€ |
| Disilicato de Litio | 350-450€ |
¿Podemos ayudarte?
Si necesitas más información sobre este proceso puedes pedir cita y un médico te explicará todas tus dudas en persona sin compromiso.
Ven a vernos y te ofrecemos de forma gratuita estudio y diagnóstico con radiografía y/o escáner para conocer el estado de salud de tu boca y dientes
Clínica Especialistas en sonrisas perfectas.