La salud bucal es esencial para una vida plena y saludable, y una sonrisa radiante mejora nuestra autoestima y confianza. Las carillas dentales son una solución estética efectiva para mejorar la apariencia de los dientes en poco tiempo. A continuación, te proporcionamos una guía detallada sobre los materiales, precios, tipos, ventajas y desventajas de las carillas dentales.

¿Qué son las Carillas Dentales?
Las carillas dentales son láminas ultrafinas de porcelana o resina que se colocan en la parte visible del diente natural para mejorar su apariencia. Se adaptan perfectamente a la pieza dental y se fijan con una resina especial, logrando un resultado muy natural y duradero. Son una opción ideal para aquellos que buscan mejorar la estética de la sonrisa de forma rápida y efectiva.
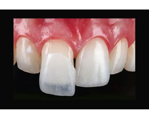
Las carillas dentales se colocan en la superficie frontal de los dientes con la finalidad de mejorar su aspecto. Las carillas dentales son unas láminas muy finas, generalmente inferiores a un milímetro de espesor, que se fijan sobre la parte visible de uno o varios dientes. Su objetivo es corregir problemas estéticos (fracturas leves, cambios de color…) o patológicos (originados por caries). Pueden estar hechas de diferentes materiales, pero suelen ser de porcelana o composite.
¿Cuándo se Recomienda la Colocación de Carillas Dentales?
La colocación de carillas dentales se recomienda cuando se quiere mejorar la estética dental. Los pacientes que desean corregir problemas de color, tamaño, forma o posición de los dientes pueden optar por este tratamiento estético. Es importante mencionar que la colocación de carillas dentales no es un tratamiento médico, sino estético. Por lo tanto, es esencial que el paciente tenga una buena salud bucal antes de someterse a este procedimiento.
Algunos casos comunes en los que es recomendable el uso de carillas dentales son:
- Desgaste dental: principalmente para dientes que han sufrido desgaste por bruxismo.
- Daño o roturas: para restaurar la apariencia de dientes que están astillados, fracturados o tienen imperfecciones menores.
- Desalineación leve y pequeños espacios: como alternativa a la ortodoncia en casos de desalineaciones leves o para cerrar pequeños huecos entre los dientes.
- Manchas o decoloración: ideal para dientes que han cambiado de color o tienen machas profundas y no responden bien a técnicas de blanqueamiento dental.
- Mejora estética general: para aquellos que desean tener una sonrisa más uniforme y atractiva.
En todos estos casos, es fundamental la evaluación por parte de un profesional dental, quien podrá determinar si las carillas son la opción más adecuada según las necesidades y condiciones específicas del paciente.
🚩 Carillas dentales: ¿Negocio o Salud?
Tipos de Carillas Dentales
Existen varios tipos de tratamiento con carillas dentales disponibles para satisfacer las necesidades de cada paciente.
Carillas de Composite
Las carillas dentales de composite están hechas de una resina sintética que se adhiere a la superficie de la pieza dental del paciente con un adhesivo especial. Son ideales para corregir pequeñas imperfecciones y para aquellos que buscan una solución más temporal o menos invasiva. Las carillas de composite son la opción más económica y accesible.
Las principales ventajas de las carillas de composite son su proceso de colocación sencillo, que no requieren tallar los dientes y su precio. El composite se aplica directamente sobre el diente, normalmente en una única sesión. Son más económicas que las carillas de porcelana o disilicato de litio, pero también suelen durar menos tiempo.
La vida útil de las carillas dentales de composite es de entre 5 a 7 años.
Carillas de Porcelana o Cerámica
Las carillas dentales de porcelana o cerámica son las más populares y de mayor calidad. Están hechas de una cerámica extremadamente resistente y duradera y se adhieren a la superficie del diente utilizando un cemento especial. Las carillas de porcelana son muy resistentes a las manchas y al desgaste, y proporcionan un resultado muy natural y armonioso. Las carillas de porcelana representan el estándar de oro en odontología estética. Las carillas de porcelana requieren solo dos citas una vez el diseño de sonrisa y estudio están definidos.
La vida útil de las carillas de porcelana es de entre 10 a 15 años.
Carillas de Zirconio
Las carillas de zirconio son una alternativa más reciente y se están convirtiendo en una opción popular entre los pacientes. Están hechas de una cerámica de alta resistencia, el zirconio, y proporcionan un resultado muy natural y duradero. El zirconio representa la tecnología más avanzada en carillas dentales.
La vida útil de las carillas de zirconio es de entre 10 y 15 años.

Tipos de carillas dentales.
Proceso de Colocación de Carillas Dentales
La colocación de carillas dentales es un procedimiento sencillo y mínimamente invasivo que generalmente se realiza en dos o tres visitas al dentista.
El proceso de colocación de las carillas comienza con una consulta inicial donde el dentista evalúa el caso del paciente. Si se considera apto, los siguientes pasos suelen ser:
- Consulta inicial: El dentista examinará los dientes del paciente, tomará radiografías y discutirá los objetivos estéticos del tratamiento.
- Preparación de los dientes: El dentista preparará los dientes para la colocación de las carillas. En la segunda visita, el dentista prepara los dientes para la colocación de las carillas, lo que implica retirar una fina capa de esmalte de la superficie del diente para que la carilla pueda adherirse de manera efectiva. Esto puede implicar la eliminación de una pequeña cantidad de esmalte dental de la superficie del diente, lo que permitirá que la carilla se adhiera mejor. Es lo que se conoce como tallado dental.
- Colocación de las carillas: En la siguiente visita, el dentista colocará las carillas en los dientes preparados. En la tercera y última visita, el dentista retira las carillas provisionales y coloca las carillas definitivas con un cemento especial. Antes de hacerlo, comprobará que encajen perfectamente en los dientes y que el color y la forma sean adecuados.
- Ajuste y pulido: Una vez colocadas las carillas, el dentista las ajustará para asegurarse de que encajen correctamente y se sientan cómodas en la boca. Luego, se realiza un ajuste y pulido final para lograr un resultado perfecto y natural.
En general, el proceso de colocación de carillas dentales es un procedimiento seguro y efectivo que mejora significativamente la apariencia de los dientes y la sonrisa del paciente.
Ventajas de las Carillas Dentales
Las carillas dentales ofrecen múltiples ventajas a aquellos que buscan mejorar la apariencia estética de su sonrisa:
- Mejora significativa en la apariencia de los dientes.
- Las carillas, especialmente las de porcelana y zirconio, destacan por su resistencia a las manchas y durabilidad, requiriendo poco mantenimiento más allá de una buena higiene bucal.
- Tratamiento de estética dental poco invasivo: su colocación es realmente sencilla y generalmente indolora.
- Versatilidad, ya que permiten corregir múltiples problemas que afectan al aspecto estético de los dientes.
- Aportan a la sonrisa un aspecto más saludable, juvenil, cuidado y armónico.
Desventajas de las Carillas Dentales
A pesar de sus ventajas, las carillas dentales también tienen algunas desventajas:
- Precio relativamente alto, especialmente para las de porcelana y zirconio.
- Proceso irreversible en algunos casos de carillas de porcelana que requieren tallado previo de los dientes.
- No son una solución para problemas dentales más complejos como dientes muy desalineados o problemas de maloclusión.
Precio de las Carillas Dentales
El precio de las carillas dentales puede variar dependiendo de diversos factores. No obstante, para tener una idea aproximada del presupuesto, el precio medio de las carillas de composite es de 295 euros por diente. Es importante destacar que estos precios son aproximados y que el coste final dependerá de cada caso particular y del número de dientes a tratar.
El coste de las carillas dentales en Madrid puede variar significativamente dependiendo del material, la cantidad de piezas y la técnica empleada. Es importante tener en cuenta que el seguro dental no suele cubrir el coste de las carillas dentales.
Algunos valores de referencia, teniendo en cuenta el precio de una carilla por diente, son:
| Tipo de Carilla | Precio Aproximado por Diente (€) |
|---|---|
| Carillas de Porcelana | 400 - 1.000 |
| Carillas de Composite | 150 - 400 |
| Carillas de Zirconio | 500 - 1.000 |
En España, el precio de un tratamiento con carillas dentales parte de unos 1.120 euros. Sin embargo, hay que tener en cuenta que el precio del tratamiento varía en función del número de carillas que se necesiten.
En la Clínica Dental Dobleese, los precios de las carillas dentales varían según el tipo de material y la complejidad del tratamiento.
Como habrás podido comprobar, en el precio de las carillas dentales influyen varios factores.
¿Las Carillas Dentales son Dolorosas?
No, el procedimiento de colocación de carillas no es doloroso. Se realiza bajo anestesia local, por lo que no sentirás molestias durante el tallado ni la cementación. Después del tratamiento, puede haber sensibilidad dental leve durante los primeros días, especialmente a temperaturas frías o calientes, pero esta sensibilidad suele desaparecer en una o dos semanas.
Cuidados y Duración de las Carillas Dentales
La duración de las carillas dentales está determinada por diversos factores, como los cuidados que siga el paciente en cuanto a higiene oral, alimentación, tabaco, hábitos, revisiones con el dentista, etc. Adicionalmente, la durabilidad del tratamiento también depende del material con el que están fabricadas las carillas y de la técnica de colocación (directa o indirecta).
Dichas indicaciones se centran en cepillarse los dientes después de cada comida, usar la seda dental, evitar el tabaco, utilizar una férula protectora por las noches y acudir al dentista con la regularidad establecida por este (normalmente, entre una y dos veces al año). Adicionalmente, es aconsejable tener ciertas precauciones al comer alimentos muy duros, disminuir el consumo de comidas o bebidas con mucha coloración y tener cuidado con ciertos movimientos al masticar.
Las carillas de porcelana no se manchan ni se tiñen. Las carillas de porcelana y zirconio son altamente resistentes a las manchas gracias a su superficie lisa y no porosa. No se tiñen con café, té, vino tinto ni tabaco como los dientes naturales.
¿Qué hacer si una Carilla Dental se Daña?
Aunque las carillas son resistentes, no son indestructibles. No necesariamente, si una carilla se daña, solo esa pieza necesita ser reemplazada. En este caso, si la carilla está intacta, se vuelve a adherir. Si se ha roto, sencillamente se vuelve a hacer otra en pocos días.
¿Es un Proceso Irreversible?
El proceso de colocación de carillas es irreversible porque requiere tallar el esmalte dental. Una vez colocadas, los dientes siempre necesitarán algún tipo de restauración (nuevas carillas o coronas).