Las carillas dentales son una solución estética que sirve para mejorar la apariencia de los dientes. Sonrisa más saludable, juvenil y armónica. Las carillas dentales permiten solucionar las pequeñas imperfecciones que afectan al color, la forma, el tamaño y la posición de tus dientes.

¿Qué son las carillas dentales?
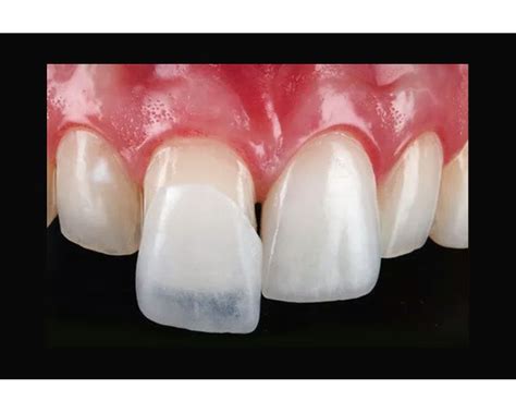
Las carillas dentales son unas finas láminas que se adhieren a la superficie frontal (visible) de los dientes con el objetivo de mejorar su apariencia. Estas láminas pueden estar hechas de diferentes materiales, como la porcelana, el composite o el disilicato de litio, y se diseñan a medida de cada paciente.
En Clínica Ferrus & Bratos, entendemos que elegir un procedimiento de estética dental es una elección relevante. Por ello, hemos preparado esta guía detallada sobre los tipos de carillas dentales y sus precios, con el fin de ayudarte a decidir según tus necesidades estéticas y capacidad presupuestaria.
¿Para qué sirven las carillas dentales?
Las carillas dentales sirven para corregir pequeños defectos que afectan al color, el tamaño, la forma o la posición de los dientes. Entre las imperfecciones que pueden solucionar podemos destacar las siguientes:
- Dientes amarillos o con manchas.
- Desgastes en el esmalte.
- Diastemas (espacios entre los dientes).
- Leves malposiciones dentales.
- Fisuras o fracturas.
En cualquiera de los casos anteriores es necesario que el odontólogo realice una valoración del paciente para determinar si las alteraciones de sus dientes pueden ser corregidas con carillas.

¿Cuándo es recomendable ponerse carillas en los dientes?
A continuación, te detallamos los casos concretos en los que puede resultar recomendable ponerse carillas para mejorar la apariencia de la sonrisa:
- Dientes amarillos o con manchas: las carillas se pueden utilizar en pacientes que presentan dientes amarillos, decolorados o con manchas.
- Resistencia al blanqueamiento dental: las carillas son un excelente complemento al blanqueamiento.
- Dientes desalineados: las carillas también pueden ofrecer un buen resultado estético a los pacientes que tienen ligeras malposiciones dentales, ya que en ocasiones permiten disimularlas.
- Dientes con formas o tamaños irregulares: las carillas se utilizan para corregir pequeños defectos que afectan a la forma de los dientes.
- Diastemas: las carillas también están recomendadas para disimular los diastemas o espacios entre los dientes.
- Dientes desgastados: las carillas se pueden colocar en dientes que presentan desgastes en el esmalte.
- Dientes fisurados o fracturados: las carillas también pueden estar indicadas en determinados casos de fisuras o fracturas leves en los dientes.
Tipos de Carillas Dentales
Existen diferentes tipos de carillas dentales en función del material y la técnica empleados en su confección. Cada una de ellas tiene sus ventajas, y la elección dependerá del caso concreto y las necesidades del paciente.
Carillas de Composite
Las carillas de composite las utilizamos para arreglar pequeñas imperfecciones. Suelen ser restauraciones de piezas anteriores que son menos visibles. Este tipo de carillas son más económicas que las de porcelana y las utilizamos para arreglar pequeñas imperfecciones. El composite es uno de los materiales más usados en odontología ya que permite imitar muy fielmente el tono real de los dientes.
Las principales ventajas de las carillas de composite son su proceso de colocación sencillo, que no requieren tallar los dientes y su precio. El composite se aplica directamente sobre el diente, normalmente en una única sesión. Son más económicas que las carillas de porcelana o disilicato de litio, pero también suelen durar menos tiempo.

Carillas de Porcelana
Las carillas de porcelana ofrecen una calidad, estética y durabilidad superior (alrededor de 15 años). Por ello, su precio también es más alto. Las carillas de porcelana son translúcidas, así que dejan pasar la luz, dejando ver el diente real sobre el que van adheridas. Las carillas de porcelana no se manchan ni se tiñen.
Las carillas Emax están hechas de disilicato de litio, un material altamente estético y duradero. En determinados casos, incluso es posible colocar este tipo de carillas sin tallado dental.

Carillas de Zirconio
Están fabricadas con óxido de zirconio, un material cerámico resistente y no poroso, que imita perfectamente el esmalte natural del diente y resiste la decoloración y las manchas.
¿Conoces los TIPOS de CARILLAS DENTALES? ✨ El mejor tratamiento ESTÉTICO para tu sonrisa👄
Procedimiento para colocar las carillas dentales
Dado que existen distintos tipos de carillas dentales, cada una de ellas sigue un protocolo de colocación específico. Sin embargo, todas comparten los principales pasos del proceso.
- Estudio bucodental completo: consta de una exploración oral y la realización de radiografías (panorámicas y periapicales) y fotografías (intraorales y extraorales).
- Preparación de los dientes: con algunas carillas hay que realizar una mínima reducción del esmalte dental.
- Toma de impresiones: tras preparar los dientes, en el caso de que haya que hacerlo, se toman medidas de los mismos para confeccionar las carillas de manera personalizada.
- Fabricación de las carillas: la confección puede realizarse directamente en la clínica dental (en el caso de las de composite) o encargarse al laboratorio (en el caso de las de disilicato de litio).
- Colocación de las carillas: en función del proceso de confección, la técnica de colocación también varía.
Precios de las Carillas Dentales
El precio de las carillas dentales en Madrid puede variar significativamente dependiendo del material, la cantidad de piezas y la técnica empleada. Como habrás podido comprobar, en el precio de las carillas dentales influyen varios factores.
Aunque te acabamos de ofrecer el precio medio para este año 2024, lo cierto es que el coste del tratamiento con carillas depende de varios factores:
- Tipo de carilla (material): No es lo mismo colocar una carilla de cerámica estratificada que una carilla CAD-CAM o una carilla Lumineers.
- Número de dientes: Las carillas dentales no se colocan en todas las piezas dentales, sino que se utilizan solamente en los dientes que son visibles al sonreír.
- Laboratorio o técnico protésico que realiza las carillas.
En España, el precio de un tratamiento con carillas dentales parte de unos 1.120 euros. El coste de este tratamiento oscila entre los 290 € y los 430€ por carilla.
A continuación, puedes ver los precios de las carillas dentales ofrecidos por una clínica:
| Número de carillas | Pago único | Descripción |
|---|---|---|
| 6 carillas | 1.107€ | 1ª cita gratis, estudio de sonrisa sin compromiso, férula de descarga no incluida |
| 8 carillas | 1.396€ | 1ª cita gratis, estudio de sonrisa sin compromiso, férula de descarga no incluida |
| 10 carillas | 1.671€ | 1ª cita gratis, estudio de sonrisa sin compromiso, férula de descarga no incluida |
En la Clínica Dental Dobleese, entendemos que el costo de las carillas dentales puede ser significativo. Por ello, ofrecemos opciones de financiación del tratamiento dental para facilitar su acceso.
Ventajas de las Carillas Dentales
Las ventajas de las carillas dentales son numerosas para aquellos que desean mejorar su sonrisa. Algunas son:
- Mejora significativa en la apariencia de los dientes.
- Tratamiento de estética dental poco invasivo: su colocación es realmente sencilla y generalmente indolora.
- Las carillas, especialmente las de porcelana y zirconio, destacan por su resistencia a las manchas y durabilidad, requiriendo poco mantenimiento más allá de una buena higiene bucal.
Desventajas de las Carillas Dentales
- Precio relativamente alto, especialmente para las de porcelana y zirconio.
- Proceso irreversible en algunos casos de carillas de porcelana que requieren tallado previo de los dientes.
- No son una solución para problemas dentales más complejos como dientes muy desalineados o problemas de maloclusión.
¿En qué casos no están recomendadas las carillas dentales?
A pesar de que las carillas están recomendadas en una gran cantidad de situaciones, lo cierto es que también presentan alguna contraindicación. Las más relevantes son las siguientes:
- Mordida borde a borde.
- Bruxismo que no recibe tratamiento.
- No contar con una adecuada higiene bucodental.