Si te estás planteando mejorar tu sonrisa y te encuentras en Palma de Mallorca, las carillas dentales podrían ser la solución que estás buscando. Este tratamiento de estética dental ha ganado popularidad gracias a su capacidad para corregir de forma sencilla y eficiente problemas como manchas, decoloración, desgaste, fracturas o espacios entre los dientes.
En Palma de Mallorca, encontrarás clínicas especializadas que ofrecen este servicio con un enfoque personalizado para cada paciente. En Clínica Dental Castañer, somos especialistas en estética dental con más de 50 años de experiencia, ofreciendo tratamientos personalizados para cada paciente. Para unas carillas dentales en Palma de Mallorca, Clínica Joana Rosselló es una referencia en estética dental avanzada. En pleno centro de la ciudad, cuentan con un equipo multidisciplinar que diseña cada caso de forma personalizada.
En Clínica Pronova mejoramos tu sonrisa ayudándote a sentirte a gusto contigo mismo y con los que te rodean. Si deseas más información sobre este tema, o que valoremos tu caso, no dudes en solicitar una primera cita gratuita.

¿Qué son las Carillas Dentales?
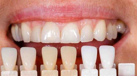
Las carillas dentales son unas delgadas láminas de cerámica o composite que se adhieren a la superficie frontal del diente para mejorar el aspecto de su sonrisa en Palma de Mallorca. Las carillas dentales son una excelente elección para cambiar el aspecto de los dientes de una manera natural y poco invasiva. Las carillas dentales son unas delgadísimas láminas que se colocan sobre la superficie del diente mediante adhesivos altamente estables, y que permiten cambiar el color, la forma y la posición de los dientes.
Es uno de los tratamientos más delicados de la odontología, puesto que el odontólogo debe conseguir que la carilla mejore su aspecto de una forma natural.
Carillas Dentales Vs Diseño de Sonrisa | Lo que tienes que saber antes de decidir
Tipos de Carillas Dentales en Palma de Mallorca
Existen principalmente dos tipos de carillas dentales:
Carillas de Composite en Palma
Las carillas de composite son una solución menos invasiva que no requiere desgaste dental previo. Son más económicas que las carillas de porcelana, suelen durar de 3 a 5 años, y pueden realizarse en una sola sesión. Son perfectas para corregir pequeños defectos estéticos y fracturas menores.
Ventajas de las Carillas de Composite:
- Tratamiento reversible y menos invasivo
- Se realizan en una sola visita
- Más económicas
- Fáciles de reparar si se dañan
Carillas de Porcelana en Mallorca
Las carillas cerámicas representan la excelencia en estética dental. Fabricadas con materiales de alta calidad, duran entre 10 y 20 años, gracias a su resistencia. Generalmente más costosas debido al material y proceso de fabricación, siendo una inversión a largo plazo para su sonrisa.
Ventajas de las Carillas de Porcelana:
- Aspecto natural y duradero
- Resistentes a manchas y decoloración
- Mantienen el brillo permanentemente
- Resultados estéticamente superiores
- Conservan la estética durante mucho tiempo sin mancharse ni perder brillo

Carillas Lumineers
Las carillas dentales Lumineers son carillas de porcelana de última generación y ultra-delgadas, tanto como una lente de contacto. Estas carillas se adhieren al diente prácticamente sin tocarlo o modificarlo.
¿Cuándo se Recomiendan las Carillas Dentales?
En nuestra clínica dental en Palma de Mallorca, recomendamos las carillas dentales para solucionar diversos problemas estéticos:
- Fracturas dentales y dientes astillados
- Dientes con manchas resistentes al blanqueamiento
- Alteraciones de forma y tamaño dental
- Mejorar el color de los dientes de forma permanente
- Corregir pequeñas malposiciones y cerrar espacios
- Reducir la visibilidad de encías al sonreír
- Tapar espacios negros entre dientes por retracción gingival
Proceso de Colocación de Carillas Dentales en Clínica Castañer
- Estudio y Diseño de la Sonrisa: Realizamos un estudio personalizado mediante fotografías faciales y dentales, además de impresiones para crear modelos de escayola. Diseñamos su sonrisa ideal considerando sus características faciales y expectativas.
- Simulación en Boca: Creamos una simulación del resultado final con material acrílico para que pueda visualizar cómo quedará su sonrisa antes del tratamiento definitivo.
- Preparación Dental y Fabricación: Procedemos al tallado mínimo (entre 0.2 y 0.6 mm según el caso) y colocación de provisionales mientras nuestro laboratorio dental de vanguardia fabrica sus carillas definitivas.
- Colocación Definitiva: La adhesión final es el paso más importante del tratamiento. Utilizamos técnicas avanzadas que garantizan la durabilidad y estética del resultado.
- Evaluación Previa: Antes de decidir someterse al tratamiento con carillas dentales, es fundamental someterse a una evaluación dental exhaustiva. Lo primero es realizar una evaluación minuciosa de tu boca, no sólo a nivel estético, si no también en cuestión de salud.
- Aquí es donde ponemos el plan en marcha. En este caso normalmente, aplicamos una anestesia local, para garantizar tu máximo confort durante la colocación de las carillas. Una vez preparada la superficie de los dientes, una a una, las carillas son cementadas a la parte frontal mediante un adhesivo.
- La primera es transcurridos unos 15 días. Contacta con nosotros y pide tu cita.

Precios de Carillas Dentales en Palma de Mallorca
El precio de las carillas dentales en Palma de Mallorca depende del tratamiento llevado a cabo. Realizar un tratamiento de carillas dentales en Mallorca puede oscilar entre 295€ y 695€ por carilla. El precio de las carillas varía dependiendo del material, del prestigio de la clínica y de las técnicas utilizadas. El precio de las carillas de composite es más bajo porque se realizan en una sola sesión, pero suelen tener más riesgo de fractura o de cambio de color. En P&P Clinic Mallorca, los precios de las carillas dentales sin tallado varían según el tipo seleccionado. Las Emax, de mayor calidad y resistencia, son ligeramente más costosas que las de porcelana. Los precios de las microcarillas dentales sin tallado en Palma de Mallorca varían según el paciente y las imperfecciones a corregir.
En Clínica Castañer ofrecemos precios competitivos para carillas dentales en Palma:
| Tipo de Carilla | Precio Orientativo | Características |
|---|---|---|
| Carillas de Composite | 380€ - 450€ | Tratamiento en 1 sesión, reversible |
| Carillas de Porcelana | 600€ - 910€ | Máxima estética, durabilidad superior |
Ventajas Adicionales de las Carillas Dentales
- Tratamiento rápido: Resuelto en 3 visitas aproximadamente
- Comodidad total: Son tan finas que no notará que las lleva
- Tratamiento personalizado: Adaptado a la fisonomía de cada paciente
- Mantenimiento sencillo: El mismo cuidado que sus dientes naturales
- Resultados duraderos: Las carillas de porcelana mantienen color y brillo permanentemente
- Tratamiento eficaz, rápido y natural: Las carillas dentales son una solución efectiva para corregir problemas cosméticos en los dientes, como manchas, decoloración, desgaste, fracturas, espacios o dientes desiguales.
- Durabilidad: Las carillas de porcelana son muy resistentes y pueden durar muchos años con los cuidados adecuados. En el caso de las carillas dentales de porcelana, pueden durar hasta 20 años, aunque algunos pacientes las han mantenido por períodos más extensos.
- Proceso poco invasivo: En comparación con otros procedimientos estéticos dentales, como las coronas, las carillas dentales requieren un desgaste mínimo del esmalte dental.
- Su mayor ventaja es la conservación de la estructura dental original, lo que ayuda a mantener la salud y funcionalidad de tus dientes a largo plazo.
- Ofrecen un cambio de color permanente, una sonrisa armónica y duradera, y no presentan interfase visible entre encías y dientes. Además, las carillas son ideales para corregir pequeñas roturas, tamaños irregulares, manchas debidas a hábitos como fumar o consumir café, separación excesiva o dientes torcidos.
Preguntas Frecuentes sobre Carillas Dentales
- ¿Cuánto duran las carillas dentales? Las carillas de porcelana pueden durar entre 10 y 15 años con el cuidado adecuado, mientras que las carillas de composite requieren mantenimiento cada 5-7 años.
- ¿Las carillas dentales duelen? El procedimiento es prácticamente indoloro. Las carillas de composite no requieren anestesia, mientras que para las de porcelana se utiliza anestesia local mínima durante la preparación.
- ¿Puedo comer normalmente con carillas? Sí, las carillas permiten comer con normalidad.
- ¿Se pueden financiar las carillas dentales? Generalmente sí.
- ¿Qué pasa si me arrepiento tras el tratamiento? Las carillas de composite pueden ser retiradas o reparadas con más facilidad de que las de porcelana.
- ¿Se puede llevar ortodoncia con carillas dentales? Sí, las carillas y la ortodoncia son tratamientos compatibles.