En la búsqueda de una sonrisa perfecta, las carillas dentales se han convertido en una solución estética muy popular. Este tratamiento ofrece la posibilidad de cambiar el color, la forma y la posición de los dientes de manera efectiva y duradera. En este artículo, exploraremos en detalle todo lo que necesitas saber sobre las carillas dentales en Reus, incluyendo los precios, los materiales disponibles y los factores que influyen en la elección del tipo de carilla más adecuado para ti.
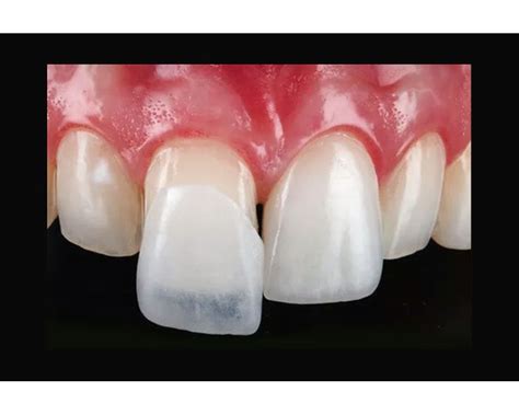
Las carillas dentales son láminas delgadas que se adhieren a la parte frontal de los dientes para mejorar su apariencia estética. Son duraderas, no se notan y requieren menos preparación que las fundas o coronas dentales, por eso son más conservadoras. Éstas se adhieren sobre el esmalte con un cemento o resina especial.
Se trata de un tratamiento estético que tiene la finalidad de mejorar nuestra sonrisa, embellecer la dentadura y, en algunos casos, protegerla de ácidos y otras agresiones. En Clínica Ferrus & Bratos, entendemos que elegir un procedimiento de estética dental es una elección relevante.
Por ello, hemos preparado esta guía detallada sobre los tipos de carillas dentales y sus precios, con el fin de ayudarte a decidir según tus necesidades estéticas y capacidad presupuestaria. Esta guía te proporcionará toda la información necesaria sobre los tipos de carillas dentales y precios, para que tomes decisiones informadas y ajustadas a tu presupuesto y expectativas estéticas.

Tipos de Carillas Dentales
Respecto a la variedad de carillas que existen en el mercado, existen dos de ellas que están bien diferenciadas. Existen varios tipos de carillas, unas más convencionales y económicas y otras realizadas en laboratorio. Cada una de ellas dependerá del material con el que se usen.
Carillas de Composite
Las carillas de composite utilizan un material parecido al que se usa en la colocación de empastes. Este tipo de carillas dentales se realizan directamente sobre el esmalte dental con una resina especial para darle la forma deseada al diente. Las carillas de composite se hacen en el mismo momento de la cita con el dentista, por lo que el paciente invierte muy poco tiempo aunque esto depende de cuantas se tenga que realizar.
La colocación de las carillas de composite, en algunas ocasiones puede no suponer la inyección de anestesia. Resultan ser las carillas dentales más económicas y sencillas de colocar puesto que se pueden realizar en solo una cita. Por lo tanto, no supone una gran inversión en tiempo y dinero, aunque si suelen requerir más revisiones, para pulir, que las que necesitan las de cerámica. En pacientes jóvenes que aún no han terminado de desarrollar la estructura dental se aconseja generalmente la colocación de carillas de composite hasta que se hayan desarrollado totalmente.
Son recomendadas para quienes buscan una alternativa rápida, económica y con buenos resultados visuales. Su ventaja principal es que se colocan en una sola sesión y permiten mejorar pequeñas imperfecciones sin modificar en exceso el diente original. Además, su coste reducido en comparación con otras opciones las convierte en una elección popular entre quienes buscan optimizar su sonrisa sin un gran desembolso. Son particularmente útiles en casos donde se busca una transformación notable pero asequible.
Carillas de Porcelana (Alta Estética)
Las carillas de alta estética se fabrican en un laboratorio antes de colocárselas al paciente. Se trata de láminas cosméticas de alta estética de larga duración y cubren la parte externa del diente para otorgarle un mejor aspecto físico a la dentadura. Con las carillas de cerámica, el diente obtiene un grosor de 0,5 y 0,8 mm.
En el caso de las carillas de cerámica, su elaboración se realiza en un laboratorio dental y suponen un mejor aspecto estético. En la primera visita, el médico valorará y examinará la zona a tratar, expondrá las opciones de tratamiento y tomará el molde de los dientes, así como fotos para determinar el color y que la sonrisa parezca natural. Toda la información se envía al laboratorio para preparar las carillas. En la segunda visita, el médico mostrará las carillas al paciente y las colocará.
Como hemos dicho antes, las carillas de alta estética suponen un alto nivel estético. Además, resisten a las manchas de café, té o el tabaco mejor que en el caso de las carillas de composite. Respecto a su durabilidad, las carillas de alta estética tienen una larga duración. Respecto a la colocación de las mismas, es necesario manipular el diente, aunque mínimamente, para colocar la carilla en el mismo. Por lo tanto, puede ser que se aplique anestesia local por las molestias que el proceso pueda causar.
Son ideales para quienes desean un acabado más natural y de larga duración. Su proceso de fabricación incluye la selección de tonalidades, simulaciones digitales y un tallado preciso, garantizando un resultado estético superior. Aunque su inversión es mayor, su durabilidad y naturalidad respaldan el coste.
Las carillas de alta estética son un tratamiento estético que proporciona al paciente un embellecimiento para su dentadura. Las carillas de alta estética son de larga duración y resistencia debido a su largo y cuidado proceso de elaboración. Tras realizar las pruebas previas necesarias al paciente, el laboratorio pasa a su fabricación según los parámetros faciales y dentales del paciente. Estas láminas se adhieren a la parte visible, es decir, la externa de los dientes, con una resina especial.
Carillas Dentales Vs Diseño de Sonrisa | Lo que tienes que saber antes de decidir
Proceso de Colocación de Carillas de Alta Estética
A diferencia de las carillas de composite que, en la mayoría de las ocasiones son realizadas en la misma clínica dental, las carillas de alta estética se elaboran en el laboratorio. Para la colocación de carillas de alta estética se requieren visitas previas a la colocación para realizar todas las pruebas necesarias y mandarlas al laboratorio. Fotografiar los dientes para analizar los rasgos faciales y caso dental del paciente.
Una vez el laboratorio envíe las carillas definitivas, se procede a su colocación. En esta segunda visita, el especialista retira las carillas provisionales y coloca las definitivas. De esta manera, tanto el paciente como el Doctor, podrán comprobar la colocación de las mismas en la boca.
Una vez el laboratorio mande las carillas definitivas, el especialista procederá a instalarlas en el paciente. Esto se hace con el fin de eliminar cualquier tipo de molestia o dolor que pueda resultar en el paciente, durante el proceso.
Durabilidad de las Carillas Dentales
Las carillas dentales de porcelana tienen una duración mayor que las de composite, pudiendo resistir en perfectas condiciones hasta 15 años, y además no pierden su color ni se tiñen. Esta duración depende en gran medida de que el paciente siga las instrucciones de su odontólogo relativas a mantenimiento y cuidados.
En contraposición, la duración de las carillas dentales de composite es de un máximo de cinco años aproximadamente. Para llegar a este plazo, es necesario acudir a revisiones de mantenimiento y que el dentista realice el pulido de las carillas dentales. Además, será más fácil que las carillas dentales duren cinco años en buen estado si el paciente sigue unos buenos hábitos en cuanto a higiene y dieta.
Precios de las Carillas Dentales en Reus
El coste de las carillas dentales en Madrid puede variar significativamente dependiendo del material, la cantidad de piezas y la técnica empleada. En nuestra clínica, ofrecemos una relación calidad-precio clara que asegura resultados sobresalientes. El presupuesto total dependerá del número de carillas requeridas (normalmente entre 8 y 10 por arcada) y del material elegido.
El precio de las carillas dentales puede oscilar entre 250 € y 1200 € por unidad. Es importante recordar que en los tratamientos dentales con importe inferior a 1000 € NO se incluye el Seguro Caser Sonrisa Esencial en el precio. Para poder beneficiarte del precio reducido de este servicio, es necesario que adquieras previamente el Seguro Caser Sonrisa Esencial por 104,40 € (anual). Además de una importante reducción en el precio, también te incluye: 40 servicios gratuitos, hasta 50% de dto.
En Ferrus & Bratos, cada tratamiento se personaliza para adaptarse a tu sonrisa y expectativas. En nuestra clínica colaboramos con laboratorios de prestigio para diseñar piezas totalmente individualizadas. Su resistencia y similitud con el diente natural las convierten en la opción ideal para quienes desean una sonrisa armónica y de larga duración.
Consideraciones Adicionales
- No se pueden blanquear: No, las carillas dentales no se pueden blanquear. Por ello, antes de colocarse una carilla es necesario asegurarse de que el color es el adecuado.
- Grosor y translucidez: La mayoría de las carillas estéticas que colocamos en nuestra clínica dental de Madrid son E-max o Lumineers. Esto quiere decir que tienen un grosor mínimo y que, además, son translúcidas para aportar naturalidad.
- Salud bucodental: No contar con una adecuada higiene bucodental no solamente es perjudicial para la salud dental, sino también para usar carillas dentales. La acumulación de sarro conlleva la aparición de inflamaciones en las encías o filtraciones.
¿Son las Carillas Dentales Adecuadas para Ti?
Es importante que el Odontólogo revise tu caso y te indique la mejor opción, puesto que no todo el mundo puede optar a colocarse una carilla de alta estética de primeras si tiene algún problema bucodental asociado. Si aun crees que las carillas están contraindicadas o pueden resultar un problema para ti, lo más adecuado es que acudas a un dentista especializado en Estética Dental avanzada.
De esta manera, podrás saber con certeza cuál es el tratamiento que más se adapta a tus necesidades. En Ferrus & Bratos te orientamos con claridad y profesionalismo para que elijas con seguridad. La forma más sencilla de saber si este es el tratamiento indicado para ti es conociendo la opinión de nuestros pacientes con carillas dentales.
Una de las dudas más comunes que recibimos es: cuesta colocar carillas en todos los dientes visibles? En realidad, no hay una única “mejor” alternativa, sino la que mejor se adapte a tu situación particular. Depende de tus necesidades.
Esperamos que esta guía te haya servido para resolver tus dudas acerca de las carillas o saber si es el tratamiento que quieres llevar a cabo. Reserva tu valoración gratuita hoy mismo en Ferrus & Bratos y transforma tu sonrisa. Nuestro equipo está listo para ayudarte a lograr el cambio que deseas.