Descubrir la mejor versión de nuestra sonrisa es un viaje emocionante y profundamente personal. Entre las opciones más demandadas y efectivas para lograr ese cambio están las carillas dentales, una solución innovadora que puede transformar completamente tu sonrisa en tan solo unas pocas visitas.

¿Qué son las carillas dentales?
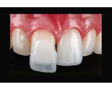
Las carillas dentales son finas láminas de porcelana o de materiales compuestos que se colocan sobre la superficie frontal de los dientes para mejorar su apariencia. Su principal objetivo es mejorar el aspecto de los dientes, ya sea para modificar su tamaño, color, forma o posición. Por tanto, tienen una finalidad puramente estética.
¿Quién puede llevar carillas dentales y cuándo se recomiendan?
Está indicado para cuando existe alguna pequeña anomalía en los dientes. Esta técnica permite corregir diversas imperfecciones como dientes manchados, desalineados, desgastados, irregulares o con espacios interdentales. Su aplicación no solo mejora la estética dental, sino que también ofrece una solución duradera y resistente.
Ventajas de elegir carillas dentales
- Estética mejorada: Las carillas se diseñan a medida para adaptarse al color, la forma y el tamaño deseado, ofreciendo una apariencia natural y armoniosa. Imitamos texturas, color e irregularidades de un diente real para evitar que tus dientes parezcan artificiales y conseguir la sonrisa natural que quieres. Nadie notará que llevas carillas dentales.
- Solución duradera: Con el cuidado adecuado, las carillas pueden durar muchos años, manteniendo tu sonrisa brillante y joven. Las carillas de porcelana no se manchan ni se tiñen.
- Proceso mínimamente invasivo: A diferencia de otros procedimientos estéticos, las carillas requieren una preparación mínima del diente, preservando la mayor cantidad de estructura dental natural. Un tratamiento rápido y muy conservador con el diente.
Tipos de Carillas Dentales
Hay varios tipos de carillas dentales, cada uno con sus propias ventajas y desventajas.
Carillas de composite
Este tipo de carillas se coloca directamente sobre el diente. Es decir, cuando acuda a la consulta del odontólogo extenderá de manera directa la resina sintética y comenzará a darle la forma adecuada, tallará sobre el diente a tratar para que parezca natural. Son hechas con una resina sintética que se adhiere al diente y es moldeado y trabajado en el propio diente.
- Son más económicas.
- Tienen pocas contraindicaciones, siendo recomendadas para personas de cualquier edad.
- No requiere desgastar tejido del diente conservando intacto el esmalte dental, ya que solo se adhieren a la cara exterior de la pieza.
- Su aplicación es rápida y se pueden colocar varias en una sola sesión.
- Son más fáciles de modelar, lo que permite una mejor adaptación a la forma y tamaño del diente natural.
Carillas de porcelana
Para colocar unas carillas de porcelana es necesario realizar varias visitas al odontólogo. Son realizadas con un material cerámico llamado disilicato de litio fuerte y resistente. Este tipo de restauración está indicado para aquellas personas que tienen afecciones más graves como fracturas de los dientes, una zona amplia a restaurar o separación entre dientes.
Las carillas Emax están hechas de disilicato de litio, un material altamente estético y duradero.
- Son muy resistentes y se asemejan mucho al diente natural.
- Requieren solo dos citas una vez el diseño de sonrisa y estudio están definidos.

Tipos de carillas dentales
Procedimiento de Colocación
El procedimiento de colocación depende del tipo de carillas que vaya a llevar el paciente (porcelana, composite, disilicato de litio…).
Carillas de composite
- Utilizando un adhesivo odontológico y una luz especial, el odontólogo fija la carilla una vez que ha efectuado los ajustes pertinentes.
- Esto significa que no se necesita realizar maniobras invasivas en la encía.
Carillas de porcelana
- En la primera visita, el médico valorará y examinará la zona a tratar, expondrá las opciones de tratamiento y tomará el molde de los dientes, así como fotos para determinar el color y que la sonrisa parezca natural.
- Toda la información se envía al laboratorio para preparar las carillas.
- En la segunda visita, el médico mostrará las carillas al paciente y las colocará.
- El procedimiento requiere dos visitas al dentista: la primera para hacer un molde de los dientes y la siguiente para su colocación con un cemento de resina. Se colocan varias piezas juntas.
Precio Carillas Dentales: ¿cuánto cuesta ponerse carillas?
En la Clínica Dental Dobleese, los precios de las carillas dentales varían según el tipo de material y la complejidad del tratamiento. Como habrás podido comprobar, en el precio de las carillas dentales influyen varios factores.
En la Clínica Dental Dobleese, entendemos que el costo de las carillas dentales puede ser significativo. Por ello, ofrecemos opciones de financiación del tratamiento dental para facilitar su acceso.
| Tipo de Carilla | Material | Características |
|---|---|---|
| Composite | Resina sintética | Económica, fácil de modelar, aplicación rápida |
| Porcelana | Disilicato de litio | Resistente, estética natural, duradera |
*Incluye carilla sobre diente de disilicato de litio. Revisión y seguimiento. **Importe mínimo: 144€. Ejemplo de financiación para un importe de 604,00€ en 12 meses. Comisión de formalización del 2,00%: 12,08€ a pagar en la primera cuota. Importe financiado: 604,00€. Primera cuota de 64,47€. 10 cuotas de 52,39€ y una última cuota de 52,35€. TIN 7,45% TAE 11,82%. Total intereses: 24,64€. Coste total del crédito: 36,72€. Importe total adeudado y precio total a plazos: 640,72€. Precio de adquisición al contado: 604,00€. Sistema de amortización francés. Financiación ofrecida por Banco Cetelem S.A.U.
Duración de las Carillas Dentales
La duración de las carillas dentales está determinada por diversos factores, como los cuidados que siga el paciente en cuanto a higiene oral, alimentación, tabaco, hábitos, revisiones con el dentista, etc. Adicionalmente, la durabilidad del tratamiento también depende del material con el que están fabricadas las carillas y de la técnica de colocación (directa o indirecta).
Por ello, no resulta posible determinar de antemano cuánto tiempo duran las carillas dentales. Lo que sí podemos decirte es que, con unos cuidados y unos mantenimientos adecuados, son un tratamiento pensado para durar a largo plazo.
Cuidados Necesarios
Los cuidados necesarios con las carillas dentales son similares a los de los dientes naturales. Es importante seguir una buena higiene oral para evitar la caries y las enfermedades periodontales, ya que estos pueden afectar la durabilidad y eficacia de las carillas.
- Higiene bucodental: El cuidado diario es fundamental para mantener estas piezas en perfecto estado.
- Revisiones periódicas: El composite es un material que por sus características se puede deteriorar con mayor facilidad que las carillas de porcelana hechas de disilicato de litio.

Cuidado de las carillas dentales
¿Por qué elegir Clínica de Ortodoncia Merino para tus carillas dentales?
En Clínica de Ortodoncia Merino, tu dentista de confianza en Santander, nos enorgullece combinar la excelencia clínica con un enfoque personal y cercano hacia cada paciente. Nuestro equipo de profesionales está dedicado a entender tus necesidades y deseos para asegurar que el resultado no solo cumpla, sino que supere tus expectativas.
Utilizando tecnología punta y materiales de la más alta calidad, nos comprometemos a brindarte una experiencia y resultados excepcionales.
Si estás considerando mejorar tu sonrisa con carillas dentales, te invitamos a ponerte en contacto con nosotros.