Las carillas dentales son una solución estética popular para mejorar la apariencia de la sonrisa al corregir imperfecciones como el color, la forma o la alineación de los dientes. Se trata de un tratamiento estético que permite conseguir una sonrisa perfecta. Las carillas dentales son unas finas láminas de composite o porcelana que se fijan en la parte externa del diente. Con esta técnica se logra corregir ciertas deformaciones e irregularidades, como dientes partidos, cortos o pequeños, también las piezas rotadas o inclinadas. Se logran unos resultados excelentes, con un método que no es ni invasivo, ni agresivo.

Las carillas dentales se colocan en la superficie frontal de los dientes con la finalidad de mejorar su aspecto. Son uno de los tratamientos dentales estéticos más demandados actualmente, tanto por su sencillez como por su precio. Su principal objetivo es mejorar el aspecto de los dientes, ya sea para modificar su tamaño, color, forma o posición. Por tanto, tienen una finalidad puramente estética.
¿Qué son las Carillas Dentales?
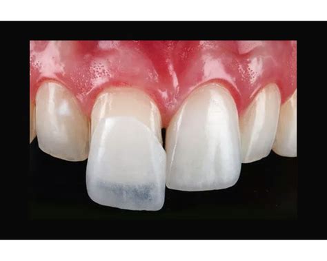
Las carillas dentales son unas láminas muy finas -generalmente inferiores a un milímetro de espesor- que se fijan sobre la parte visible de uno o varios dientes. Su objetivo es corregir problemas estéticos (fracturas leves, cambios de color…) o patológicos (originados por caries). Pueden estar hechas de diferentes materiales, pero suelen ser de porcelana o composite.
Las carillas dentales son consideradas un procedimiento dental irreversible, ya que implican la remoción de una pequeña cantidad de esmalte dental natural para colocarlas.
🚩 Carillas dentales: ¿Negocio o Salud?
¿Quién puede llevar carillas dentales y cuándo se recomiendan?
Para aquellos pacientes, adultos, jóvenes o de mayor edad, con suficiente esmalte y dentina dental, con el fin de que la carilla tenga una superficie de unión resistente. También deben tener una buena salud bucal, con dientes y encías saludables, e higiene dental, ya que las carillas se colocan en la superficie de los dientes originales. Está pensado para aquellos pacientes que buscan mejorar el aspecto de su sonrisa y que a la vez ésta se vea natural.
Para cambiar el color original de los dientes (que estén como amarillentos o amarronados y quieran que estén más blancos), para tapar imperfecciones o fracturas, para cubrir espacio entre dientes si estos están separados, o para corregir posición, forma y tamaños de los dientes.
El procedimiento de colocación depende del tipo de carillas que vaya a llevar el paciente (porcelana, composite, disilicato de litio…). A la hora de elegir un tipo de carillas u otro es necesario acudir a la clínica dental y que sea el odontólogo quien aconseje el tipo de carilla más conveniente, en función de las necesidades de cada paciente.

Tipos de Carillas Dentales
Existen diferentes tipos de carillas, cada una diseñada para satisfacer necesidades estéticas específicas y adaptarse a diferentes condiciones dentales. Las más destacadas son:
Carillas de Composite
Las carillas dentales de composite son una opción estética mínimamente invasiva para mejorar la apariencia de los dientes. Están fabricadas con un material derivado de la resina que se puede moldear directamente en la superficie dental del paciente. Este material es flexible y se puede personalizar en forma, color y translucidez para integrarse perfectamente con los dientes naturales.
Una de las ventajas del composite es que permite crear las carillas en una sola sesión, ya que el especialista trabaja el material directamente sobre el diente en la clínica, evitando gastos de laboratorio y citas adicionales. Por lo general, estas últimas suelen confeccionarse en la propia clínica dental con un material fotocurable, igual que el que se usa para hacer los empastes. En este caso las carillas de composite se hacen a mano directamente sobre el diente del paciente. Aunque el trabajo es más complejo y preciso los resultados logran una gran naturalidad.
Primero se coloca el adhesivo en la estructura dentaria, luego se realiza una fotopolimerización, se coloca el composite y, por último, se hace un pulido final, logrando un acabado natural.
Ventajas de las carillas de composite:
- Alta estética.
- Se hacen a mano sobre el diente.
- Colocación rápida, sencilla e indolora.
- No desgastan los dientes.
- Se pueden quitar y retocar.
- Son las más económicas.
Desventajas de las carillas de composite:
- Estabilidad en el tiempo: aunque se trate de un material que ofrece buenos resultados estéticos inicialmente, con el tiempo tiende a perder parte de su brillo y puede cambiar de color.
- Dependencia de la habilidad del profesional: el resultado final de las carillas de composite depende en gran medida de la experiencia y destreza del profesional que las aplica.
- Requieren mantenimiento: Las carillas de composite, además de perder color con el tiempo, pueden necesitar reparaciones o ajustes periódicos.
- Sí, pueden observarse manchas a partir de los 2 o 5 años según los hábitos del paciente (tabaco, café, té, etc.). Pero, en las visitas de mantenimiento al dentista, hacemos un pulido y valoración por cualquier posible cambio de las carillas.
Carillas de Porcelana
Las carillas de porcelana son una opción estética de alta calidad utilizada para mejorar la apariencia de los dientes de manera duradera y natural. Son recomendables en pacientes que necesiten pequeños cambios de forma o de color. Con estas láminas adheridas se consigue mejorar la posición, el color, el tamaño y la forma del diente.
Una de las principales ventajas de las carillas de porcelana es su durabilidad. Son mucho más resistentes que las de composite, lo que reduce la necesidad de reparaciones o retoques frecuentes. Además, ofrecen una estética natural, ya que sus propiedades ópticas permiten que se integren perfectamente con los dientes, proporcionando un resultado impecable.
Estas carillas son especialmente recomendadas para casos de fracturas dentales, dientes cortos o pequeños, microdoncias (dientes más pequeños de lo normal), dientes conoides (con forma de cono), alteraciones severas del color o cuando se ha realizado previamente una restauración con composite y se busca un cambio más duradero.
Tipos de carillas de porcelana:
- Carillas de cerámica feldespática: Estas carillas son muy translúcidas y ofrecen una excelente mimetización con los dientes naturales, lo que las hace perfectas cuando el diente original tiene un color claro similar al que se desea lograr con la carilla.
- Carillas de disilicato de litio: Son más opacas y resistentes que las feldespáticas, por lo que son la opción ideal cuando es necesario trabajar sobre dientes oscuros y lograr un cambio significativo en el color. Gracias a su opacidad, evitan que el color original del diente se transparente.
Ventajas de las carillas de porcelana:
- Estética inmejorable.
- Proceso indoloro y sin anestesia local.
- Son necesarias dos sesiones.
- Durabilidad de entre 10 y 15 años.
- No se manchan.
- Resistencia a las fracturas.
Proceso de colocación de las carillas de porcelana:
- Primera visita: Se estudia la sonrisa del paciente de forma individualizada, tomando fotografías, vídeos y moldes para diseñar un modelo provisional.
- Segunda visita: En algunos casos, se realiza un ligero tallado del diente para adaptarlo a la carilla de porcelana.
Carillas de Zirconio
Están fabricadas con óxido de zirconio, un material cerámico resistente y no poroso, que imita perfectamente el esmalte natural del diente y resiste la decoloración y las manchas. Son ideales para quienes buscan resultados óptimos sin comprometer la funcionalidad de la sonrisa.
Ventajas de las carillas de zirconio:
- Resistencia a la decoloración y las manchas.
- Imitan perfectamente el esmalte natural del diente.
Carillas de Disilicato de Litio
Estas carillas son finas láminas (de un grosor aproximado de unos 0’3 milímetros) fabricadas con disilicato de Litio, que deriva de la combinación de cerámica y vidrio (con disilicato LS2). Estas novedosas carillas se han ido imponiendo como principal opción en los tratamientos de carillas dentales, debido a su novedoso e innovador material, referente en el sector dental. El disilicato de Litio ofrece una alta resistencia y durabilidad, al tiempo que ofrece a los laboratorios poder trabajar de forma más rápida y eficiente gracias a la tecnología cadcam, lo cual nos permite un diseño digital y posterior terminación mediante fresadoras de última generación.
Mediante un proceso de control de nucleación y cristalización del vidrio, a través de aplicación de calor. Si necesita más información sobre este proceso puedes pedir cita y un médico te explicará todas tus dudas en persona sin compromiso.
Se colocan en una sesión, en un tratamiento sencillo e indoloro. Las carillas son tan finas que en algunos casos no es necesario tallar el diente. La carilla se adhiere sobre la cara visible del diente con un adhesivo especial, que puede ser retirado ante cualquier motivo sin que el diente se vea afectado.
Ventajas de las carillas de disilicato de litio:
- Estética inmejorable, nadie nota que las llevas.
- Son muy finas y cómodas, al ajustarse al diente y a la encía.
- Tallado mínimo del diente.
- Fácil colocación en pocas sesiones.
- Es una técnica reversible en ocasiones porque el diente apenas se toca.
- Larga duración, resistencia y flexibilidad.
- Mantienen el color y la forma.
Desventajas de las carillas de disilicato de litio:
- Son las más costosas.
¿Cómo se colocan las carillas dentales?
El proceso de colocación de las carillas comienza con una consulta inicial donde el dentista evalúa el caso del paciente. Si se considera apto, los siguientes pasos suelen ser:
- Preparación del diente: para algunas carillas de porcelana esto puede incluir el tallado de una pequeña cantidad del diente para asegurar un ajuste adecuado.
- Escaneo intraoral 3D o toma de impresiones: este escáner realiza una captura detallada y rápida de los dientes del paciente, creando un modelo exacto que se envía a un laboratorio para la fabricación de las carillas.
- Aplicación: una vez que las carillas están listas, se adhieren a los dientes utilizando un adhesivo especial y se tratan con luz para solidificar el pegamento.
Duración de las Carillas Dentales
La duración de las carillas dentales está determinada por diversos factores, como los cuidados que siga el paciente en cuanto a higiene oral, alimentación, tabaco, hábitos, revisiones con el dentista, etc. Adicionalmente, la durabilidad del tratamiento también depende del material con el que están fabricadas las carillas y de la técnica de colocación (directa o indirecta). Por ello, no resulta posible determinar de antemano cuánto tiempo duran las carillas dentales. Lo que sí podemos decirte es que, con unos cuidados y unos mantenimientos adecuados, son un tratamiento pensado para durar a largo plazo.
Las carillas de composite suelen tener una duración de entre 5 y 7 años, dependiendo del cuidado del paciente y de la calidad del material utilizado. Las carillas de porcelana suelen tener una duración de 10 a 15 años o incluso más, dependiendo de los cuidados del paciente y la calidad del material utilizado. Con una buena higiene bucal, revisiones periódicas con el dentista y evitando hábitos como morder objetos duros o rechinar los dientes, es posible que las carillas de porcelana se mantengan en excelentes condiciones durante muchos años sin necesidad de retoques.
Cuidados de las Carillas Dentales
Deben tratarse de la misma manera que los dientes originales: cepillarse tres veces al día y utilizar el hilo dental. Es aconsejable utilizar una pasta dental con fluoruro no abrasivo y protector bucal nocturno en casos de bruxismo, para no dañar la carilla.
¿Puedo comer y beber normalmente con carillas dentales?
Sí, puedes comer y beber normalmente con carillas. Sin embargo, es recomendable evitar alimentos y bebidas extremadamente duras o pigmentadas que puedan dañar las carillas o causar manchas.
Costos de las Carillas Dentales
El costo de las carillas puede variar dependiendo de varios factores, incluyendo el material utilizado, el número de carillas necesarias y la ubicación geográfica. En general, el costo por carilla puede oscilar entre cientos y miles de dólares. El precio de las carillas varía según el material elegido.
Los precios pueden variar entre 180-250€ por cada carilla de composite, entre 350-450€ las de porcelana y las de disilicato de Litio. El precio de las carillas de porcelana en España suele rondar entre los 400-850€, mientras que el precio de las carillas de composite suele ser de unos 200€ cada pieza.
Ejemplo de financiación:
*Incluye carilla sobre diente de disilicato de litio. Revisión y seguimiento. **Importe mínimo: 144€. Ejemplo de financiación para un importe de 604,00€ en 12 meses. Comisión de formalización del 2,00%: 12,08€ a pagar en la primera cuota. Importe financiado: 604,00€. Primera cuota de 64,47€. 10 cuotas de 52,39€ y una última cuota de 52,35€. TIN 7,45% TAE 11,82%. Total intereses: 24,64€. Coste total del crédito: 36,72€. Importe total adeudado y precio total a plazos: 640,72€. Precio de adquisición al contado: 604,00€. Sistema de amortización francés. Financiación ofrecida por Banco Cetelem S.A.U.
Alternativas a las Carillas Dentales
Dependiendo del resultado que estemos buscando, o el tratamiento que necesitemos, existen algunas alternativas a las carillas:
- Empaste dental: útil para corregir imperfecciones. Es menos invasivo y más económico que las carillas.
- Coronas dentales: cubren el diente entero y se utilizan en casos de caries severas o daño considerable. Las coronas conllevan una preparación más minuciosa y menos conservadora del diente al tener que tallar más cantidad de diente.
- Blanqueamiento dental: puede ser una solución efectiva para mejorar el color de los dientes sin intervenciones invasivas. El blanqueamiento elimina manchas poco profundas, en tanto que las carillas además de modificar la coloración, pueden corregir pequeñas anomalías relacionadas con la forma, tamaño y posición.
- Tratamientos de ortodoncia: incluye ortodoncia invisible o brackets para corregir casos estéticos más complejos, como apiñamientos dentales. Las carillas brindan estética a los dientes, mientras que la ortodoncia aporta funcionalidad a la boca, como en problemas de mordida o malposiciones. En algunas ocasiones son complementarias tras el tratamiento de ortodoncia, para mejorar la estética, una vez los dientes ya se encuentran en mejor posición.

Carillas Dentales: Ventajas y Desventajas
Las ventajas de las carillas dentales son numerosas para aquellos que desean mejorar su sonrisa. Algunas son:
- Mejora significativa en la apariencia de los dientes.
- Las carillas, especialmente las de porcelana y zirconio, destacan por su resistencia a las manchas y durabilidad, requiriendo poco mantenimiento más allá de una buena higiene bucal.
- Tratamiento de estética dental poco invasivo: su colocación es realmente sencilla y generalmente indolora.
Carillas dentales: desventajas
- Precio relativamente alto, especialmente para las de porcelana y zirconio.
- Proceso irreversible en algunos casos de carillas de porcelana que requieren tallado previo de los dientes.
- No son una solución para problemas dentales más complejos como dientes muy desalineados o problemas de maloclusión.
tags: #carillas #dentales #transparentes