La elección del cemento para restauración dental, adecuado al tratamiento odontológico, viene determinado por diferentes factores que hay que tener en consideración. Hoy queremos hacer un repaso a los elementos que intervienen, y analizar las opciones que existen.
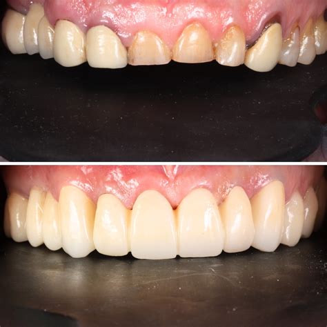
Las carillas dentales se colocan en la superficie frontal de los dientes con la finalidad de mejorar su aspecto. Son uno de los tratamientos dentales estéticos más demandados actualmente, tanto por su sencillez como por su precio. Las carillas dentales son unas láminas muy finas -generalmente inferiores a un milímetro de espesor- que se fijan sobre la parte visible de uno o varios dientes. Su principal objetivo es mejorar el aspecto de los dientes, ya sea para modificar su tamaño, color, forma o posición. Por tanto, tienen una finalidad puramente estética.

Ejemplo de carillas de disilicato de litio
¿Quién puede llevar carillas dentales y cuándo se recomiendan?
El procedimiento de colocación depende del tipo de carillas que vaya a llevar el paciente (porcelana, composite, disilicato de litio…). A la hora de elegir un tipo de carillas u otro es necesario acudir a la clínica dental y que sea el odontólogo quien aconseje el tipo de carilla más conveniente, en función de las necesidades de cada paciente. El precio de las carillas varía según el material elegido.
La duración de las carillas dentales está determinada por diversos factores, como los cuidados que siga el paciente en cuanto a higiene oral, alimentación, tabaco, hábitos, revisiones con el dentista, etc. Adicionalmente, la durabilidad del tratamiento también depende del material con el que están fabricadas las carillas y de la técnica de colocación (directa o indirecta). Por ello, no resulta posible determinar de antemano cuánto tiempo duran las carillas dentales.
Dependiendo de la necesidad funcional, la prótesis puede estar fabricada en diferentes materiales. Sin embargo, cada cemento confiere, habitualmente, unas propiedades diferentes. Además, la restauración puede tener una extensión completa, o limitada.
Cemento de Resina: Panavia V5

Sistema de jeringas Panavia V5
Ahora, con Panavia V5, la máxima seguridad de cementado es aún más sencilla. Panavia V5 es un cemento estético libre de aminas. Debido a esto, se garantiza la estabilidad de color en la restauración. Panavia V5 es un cemento de resina de fraguado dual (excepto el color Opaque, que es simplemente autopolimerizable). Esta solución desarrollada por Kuraray, pionero en lanzar un cemento de resina al mercado, contiene una carga de relleno del 61% peso y 38% en volumen. Además, su grosor de micra es de 12μm. Esto que facilita la evacuación del cemento sobrante.
Sistema de Cementación eCEMENT
eCEMENT es un sistema de cementación de resina diseñado para simplificar la colocación de restauraciones de disilicato de litio (ej. IPS e.max®*). El disilicato de litio es una cerámica de vidrio a base de sílice disponible en formas prensadas y fresadas, con opacidades altas y medias, y translucidez alta y baja. El sistema eCEMENT contiene cemento de resina fotopolimerizable y de polimerización dual, lo que garantiza que todas sus restauraciones de disilicato de litio tendrán una retención y estética excepcionales. Imprimación de porcelana para silanizar el disilicato de litio (p. ej.
Aunque muchas marcas han sacado su “versión” del material, el Disilicato es como las madres ¡no hay más que uno! Hace algunos años existía una diferencia: el que se inyectaba era bastante más resistente (si no recuerdo mal eran más de 100 Mpade resistencia más) pero hoy en día esto ya no es así. Ambos tipos de materiales permiten puente de, máximo, 3 piezas (aunque se han hecho hasta 5) y, como mucho, una pieza póntica. Decir por último que los dos admiten el modelado de cerámica «encima».
Consideraciones adicionales:
- Primero: en los grosores que permite cada uno. Los actuales sistemas de fresado dental de materiales blandos (como es el disilicato) no dan su mejor acabado por debajo de 0,4 mm en materiales rígidos. Por lo que el e-Max CAD solo lo podemos trabajar a partir de 0,4 mm.
- Segundo: en el ajuste que da. - Diseñando con CAD y fresando el diseño en cera. Esta cera, tanto fresada como modelada, luego se inyecta en Disilicato de Litio y nos da grosores más finos con la misma resistencia que el fresado o incluso un poquito más.
Cementos Dentales Kerr: Una Guía de Selección
En este artículo, te presentamos una guía con una cuidadosa selección de cementos dentales Kerr. Esta marca trabaja de manera constante en la odontología estética, a través de la educación y las soluciones sostenibles basadas en la información clínica, posicionándose así como una compañía con sinónimo de integridad para los profesionales de todo el mundo dental. ¿Suena interesante verdad?
PASO A PASO PARA CEMNTACION DE CARILLAS DE DISILICATO DE LITIO
Maxcem Elite
Maxcem Elite es el cemento de resina de autograbado y autoadhesivo utilizado en restauraciones indirectas. Es compatible con los substratos más comunes como por ejemplo cerámicas anteriores o posteriores, restauraciones metálicas y PFM y materiales CAD/CAM. En Dentaltix, encontrarás el Kit Estándar de Maxcem Elite que puedes ver en la fotografía.
Kerr recomienda utilizar este cemento dental para Puentes, para Inlay, Onlay y Coronas, Postes. Está recomendado su uso con materiales Metal, Metal-Cerámica y Circonio-Alúmina. Puede utilizarse tambien para Carillas, Puentes Maryland.
Este cemento dental tiene el sistema de amina libre propiedad de Kerr iniciador y matriz de resina optimizada. Ofrece una amplia versatilidad adhesiva. Dispensación simplificada. Aplicaciones de fotopolimerización. Este cemento es una gran opción ya que ofrece resultados de color estéticos de larga duración además de ofrecer una amplia variedad de trabajo con substratos.
Kerr recomienda utilizar este cemento dental para Puentes, para Inlay, Onlay, carillas, Postes. Está recomendado su uso con materiales Metal, Metal-Cerámica, cerámica de vidrio y composite.
Temp Bond
El cemento Temp Bond es un cemento temporal que se mezcla y fluye con gran facilidad así como resulta muy fácil de extraer y mejora la comodidad del paciente y minimiza así los potenciales daños. Aporta más comodidad para el paciente reduciendo los posibles daños que pueden ocasionarse.
El color rosa que presenta este cemento dental, se difumina en estado gel, lo cual indica al odontólogo el intervalo óptimo de tiempo para limpiar el cemento sobrante.
Kerr recomienda utilizar este cemento dental para Puentes, para Inlay, Onlay y Coronas, Postes. Está recomendado su uso con materiales Metal, Metal-Cerámica y Circonio-Alúmina. Puede utilizarse tambien para Carillas, Puentes Maryland.
Sin embargo el cemento temporal Temp Bond no es compatible con Metal Cerámica, cerámica de vidrio, composite y circonio/alúmina.
Temp Bond NE
El cemento temporal Temp Bond NE, es un cemento dental sin eugenol que no afecta la polimerización de la resina de los cementos ni de los acrílicos, por lo que es ideal para los pacientes alérgicos al eugenol.
Sin embargo el cemento temporal Temp Bond NE no es compatible con Metal Cerámica, cerámica de vidrio, composite y circonio/alúmina.
TempBond Clear
TempBond Clear es un cemento temporal de autocurado a base de óxido de zinc para coronas temporales, puentes o férulas para el ensayo y la cementación de restauraciones permanentes. Facilidad a la hora de su utilización, lo que permite manejarlo sin mucho esfuerzo.

Kit estándar de Maxcem Elite
Tabla Resumen de Indicaciones de Cementos Dentales Kerr
En las siguientes tablas podrás ver más visualmente las indicaciones de cada cemento dental de Kerr, siendo el tick verde la recomendación más óptima, el tick amarillo como recomendación secundario y el aspa roja como no recomendado.
| Cemento Dental | Puentes | Inlay/Onlay | Coronas | Carillas | Postes | Metal | Metal-Cerámica | Cerámica de Vidrio | Composite | Circonio/Alúmina |
|---|---|---|---|---|---|---|---|---|---|---|
| Maxcem Elite | ✓ | ✓ | ✓ | ✓ | ✓ | ✓ | ✓ | ✓ | ||
| Temp Bond | ✓ | ✓ | ✓ | ✓ | ✓ | ✓ | ✓ | ✗ | ✗ | ✗ |
| Temp Bond NE | ✓ | ✓ | ✓ | ✓ | ✓ | ✓ | ✓ | ✗ | ✗ | ✗ |
| TempBond Clear | ✓ | ✓ | ✓ | ✓ | ✓ | ✓ | ✓ | ✗ | ✗ | ✗ |
Las características de los cementos dentales son muy variadas y es muy útil tener varios tipos de cementos que en tu clínica dental para que puedas atender las necesidades de tus pacientes de la manera más eficiente posible.