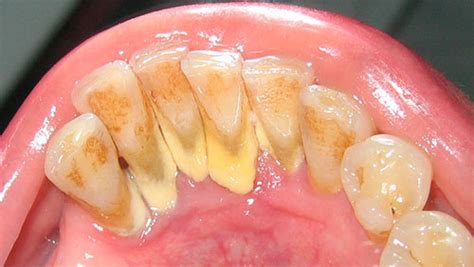
El sarro, también conocido como “cálculo dental” u “odontolito”, es una sustancia mineralizada y dura que se acumula sobre los dientes cuando no se elimina la placa bacteriana. Colegiado nº 28007842, odontóloga experta en tratamientos ortodónticos desde 2005, explica que el sarro aparece tanto por fuera como por dentro de la línea de las encías, y su posición puede afectar en su color.

Acumulación de sarro dental en los dientes.
¿Cómo se Origina el Sarro Dental?
El sarro se forma a partir de la placa bacteriana, pero tiene una textura diferente y no es fácil de eliminar. La placa es una mezcla de saliva, bacterias, alimentos y ácidos que las bacterias producen a partir del azúcar y el almidón. Es pegajosa, pero el cepillado regular y el uso de hilo dental la eliminan.
Cuando no se ha eliminado esa placa bacteriana, se produce el sarro, una sustancia muy dura e imposible de eliminar con un cepillado normal, y que posee una superficie rugosa que favorece el proceso de acumulación de más placa bacteriana sobre los dientes.
El sarro solamente puede eliminarse en la consulta dental, una vez formado, el cepillado y el uso de hilo dental no lo eliminan. Ya sabemos que el sarro se forma a partir de la placa bacteriana y ésta no es mas que una película transparente formada por restos de alimentos y bacterias que anidan en nuestra boca. Para eliminarla, basta con realizar una correcta higiene diaria, ya que de lo contrario podrá producirse una inflamación de las encías o gingivitis, y formación de sarro.
Color del Sarro Dental
El color del sarro depende de la edad y de dónde aparece en la boca. El sarro se distingue por su color, que puede ir de blanquecino a pardo.
- Sarro supragingival: El sarro sobre la línea de las encías, también denominado cálculo supragingival, es amarillo o tostado.
- Sarro subgingival: El cálculo subgingival es el sarro que aparece debajo de la línea de las encías, el cual puede ser marrón, negro o verde.

Tipos de sarro dental: supragingival y subgingival.
El sarro puede ser de color amarillento, marrón o verdoso en casos más severos. El sarro negro se compone de las mismas sustancias que las variantes más claras, pero incluye otros materiales procedentes de los fluidos circundantes.
¿Por qué sarro verde?
Si te has dado cuenta de que tienes sarro verde en los dientes, puede que te hayas quedado un poco preocupado, y es totalmente normal. Normalemente, el sarro tiene un tono amarillento o marrón, pero en algunos casos, puede adquirir un color verde. Esto puede deberse a:
- Pigmentos de alimentos o bebidas: Si consumes muchos alimentos o bebidas que tienen colorantes, como las espinacas, el té verde o incluso ciertos jugos, estos pigmentos pueden adherirse a la placa y cambiar el color del sarro. Cuanto más tiempo pasa sin eliminarse, más pronunciado se vuelve ese color verde.
- Tabaco y cigarrillos electrónicos: Sabemos que el tabaco puede manchar los dientes de amarillo o marrón, pero en algunos casos, los productos químicos del tabaco (o incluso de los cigarrillos electrónicos) pueden combinarse con la placa y dar lugar a ese tono verdoso.
- Bacterias cromogénicas: A lo mejor no lo has oído antes, pero estas bacterias pueden ser responsables de las manchas verdes en tus dientes. Son bacterias que producen pigmentos de colores y suelen aparecer cuando no se mantiene una buena higiene bucal.
- Mala higiene dental: Esto es clave. Si no te cepillas los dientes adecuadamente o no usas hilo dental con regularidad, la acumulación de placa puede progresar hasta formar sarro, y aquí es donde el color verde puede aparecer, especialmente si está relacionado con los factores anteriores.
Es importante aclarar que el sarro verde no está relacionado directamente con infecciones por hongos, sino que suele deberse a la acumulación de pigmentos de alimentos o bacterias.
EVITA LAS CARIES – Causas, PREVENCIÓN y tratamiento de la caries dental | Dentalk! ©
Problemas de Salud Causados por el Sarro Dental
Los problemas de salud que se originan de la presencia de sarro son:
- Halitosis o mal aliento.
- Caries dentales: Se producen por la desmineralización del esmalte por parte de los ácidos que producen las bacterias presentes en la boca del paciente. Si la caries es pequeña se puede solucionar con una obturación. Las bacterias presentes en el sarro dental son capaces de provocar, de manera directa o indirecta caries mediante la desmineralizaciones de los tejidos duros.
- Enfermedades periodontales o de los tejido de soporte del diente:
- Gingivitis: Afecta principalmente a los tejidos blandos y consiste en la inflamación de la encía. El principal síntoma es el sangrado. Las bacterias presentes en el sarro dental son capaces de provocar, de manera directa o indirecta inflamación de la encía.
- Periodontitis: Es la fase mas avanzada de la gingivitis. Cursa con inflamación de la encía y con pérdida de hueso de los tejidos que soportan los dientes. Pérdida del tejido gingival que sostiene al diente como consecuencia de la inflamación crónica de la encía.
La acumulación de sarro en los dientes, especialmente a nivel radicular, es nociva para los tejidos que lo rodean. El verdadero problema es el sarro en general, sea del color que sea. ¿Por qué? Porque el sarro es como una capa dura que se adhiere a tus dientes y favorece la acumulación de bacterias. Si no se elimina, puede tener consecuencias bastante graves para tu salud bucodental.

Enfermedades relacionadas con el sarro dental: caries, gingivitis, periodontitis.
Síntomas del sarro negro
Reconocer los síntomas del sarro negro en los dientes es crucial para tomar acción a tiempo. Algunos de los signos más comunes incluyen:
- Manchas negras o marrones en la superficie de los dientes
- Mal aliento persistente
- Encías sangrantes o inflamadas
- Sensibilidad dental
- Apariencia rugosa en la superficie de los dientes
Estos síntomas no solo afectan la estética de tu sonrisa, sino que también pueden indicar la presencia de enfermedades periodontales, que pueden llevar a problemas más graves si no se tratan a tiempo.
¿Cómo se Puede Eliminar el Sarro Dental?
La placa bacteriana es una sustancia blanca que se forma en la superficie del esmalte dental y que puede ser retirada con el cepillado dental normal.
Sin embargo, el sarro no puede ser eliminado con un cepillado normal, y es necesario la realización de una limpieza dental con ultrasonidos para su completa eliminación. Una vez que esta película de restos se calcifica y endurece, precisamos de ayuda profesional para su eliminación -limpieza con ultrasonidos, curetas, etc.-.
El sarro o cálculo dental tiene que ser eliminado en la clínica dental mediante una profilaxis dental profesional. Existen diferentes métodos para quitar el sarro:
- Profilaxis Dental Profesional:
- Primero se emplea una punta de ultrasonidos para eliminar las piedras o cálculos de sarro depositados sobre los dientes. El ultrasonidos emplea una vibración y agua a presión para ir removiendo este sarro.
- A continuación se emplea la seda dental y las tiras de pulir interproximales para eliminar el sarro que queda entre los dientes.
- Por último se emplea la pasta de profilaxis para dejar la superficie completamente lisa y pulida con el fin de evitar que vuelva a formarse sarro.
- Ultrasonidos: El empleo de ultrasonidos es especialmente útil cuando el sarro está ubicado por encima de la línea de las encías (unión del diente con la encía). Logran desprender el cálculo en fragmentos sin dañar la superficie dentaria. Es muy importante que el proceso sea profusamente refrigerado con agua, pues los ultrasonidos producen un aumento térmico que podría causar dolor y daño en la estructura dentaria.
- Curetaje o Raspado Radicular: Este tipo de limpieza es una limpieza más profunda para retirar el sarro que se encuentra debajo de la encía. Se retira mediante un instrumento llamado cureta. El procedimiento se realiza bajo anestesia local para evitar molestias. Es posible que después del tratamiento puedas notar algún dolor leve, que desaparece con la ingesta de antiinflamatorio o analgésicos. Durante el proceso puede aumentar sensibilidad dental, por ello se pueden emplear productos que reduzcan la sensibilidad. Las curetas dentales son dispositivos manuales con formas muy variadas, de tal manera que consiguen adaptarse perfectamente a la superficie de los dientes. Permiten llegar bien a los espacios que hay en el surco de la encía. Allí se acumula el denominado sarro subgingival, especialmente nocivo para los tejidos gingivales al estar colonizado frecuentemente por patógenos periodontales muy dañinos.
- Fresas: Existen también fresas de diseños específicos para la eliminación de placa y sarro. Se acoplan a las turbinas y los motores dentales a diversas revoluciones.
- Aeropulverizadores: Los aeropulverizadores de polvo de glicina son de gran ayuda para eliminar la placa bacteriana y las manchas. Se trata de un método poco invasivo y muy efectivo tras la eliminación grosera del sarro con los métodos descritos en los puntos anteriores.
- Pulido: Es importante insistir en la importancia del pulido de la superficie dentaria tras la realización de cualquier tipo de procedimiento de eliminación de sarro (tartrectomía). De no ser así, se volvería a acumular nuevamente la placa y el sarro de manera aún más rápida y severa, favorecida por las rugosidades que pueden producirse al limpiar.
¿Duele la Realización de un Proceso de Profilaxis Dental?
La respuesta es no, es un proceso completamente indoloro. En todo caso puede aparecer una leve sensibilidad dental si eres propenso a la sensibilidad dental, que desaparece al poco tiempo.
En ocasiones, el sarro se acumula de manera subgingival (debajo de la encía), generando una bolsa periodontal, y creando problemas de periodontitis. En estos casos el tratamiento indicado es un Curetaje o Raspado radicular.
¿Se Puede Prevenir la Presencia de Sarro?
El primer paso es evitar el acúmulo de placa bacteriana, realizando una correcta higiene oral.
El sarro debe prevenirse diariamente mediante una correcta higiene bucodental:
- Cepillado: Cepillado tras las comidas, de 2 a 3 veces al día, con especial atención en la remoción de la placa tras el sueño y el desayuno, y antes de irse a dormir por la noche. El cepillado debe ser enérgico, pero atraumático, con cepillos manuales con cerdas no agresivas o cepillos eléctricos. Se deben cepillarse correctamente todas las caras dentarias e, idealmente, debe hacerse siempre en el mismo orden para asegurarnos que quedan siempre todas las superficies barridas y limpias.
- Hilo dental: Complementar el ritual de limpieza, al menos en una ocasión al día, con higiene interdental. Se recomienda utilizar hilo dental, seda o cinta, y/o irrigadores.
- Técnica de Bass: Existen diferentes técnicas para la higiene dental. Una de las más eficaces y extendidas es la técnica de Bass, que permite eliminar adecuadamente el sarro en la zona gingival sin dañarla.
- Pasta de dientes: La pasta de dientes facilita la eliminación mecánica de la placa, pero la cantidad de pasta que se colocar en el cepillo debe ser siempre reducida (un guisante).
- Colutorios: Utilizar colutorios o enjuagues bucales puede ser muy útil cuando hay gingivitis, si bien no es, ni mucho menos, lo más importante.
Además los problemas estéticos derivados de su aspecto desagradable, su presencia puede traer consecuencias negativas para la salud oral.
El sarro está compuesto de bacterias muertas mineralizadas y proteínas salivales. Se puede prevenir la acumulación de placa y sarro con una buena higiene dental, cepillándose dos veces al día con pasta de dientes y usando hilo dental.
Una buena higiene bucal diaria y visitas regulares al dentista, al menos cada 6 meses, para revisiones y limpiezas profesionales, previenen la formación del sarro negro.

Higiene bucal para prevenir el sarro dental.
Diferencia entre Placa y Sarro
En Clínica Dental Peláez y Blanco han comprobado como la mayoría de sus pacientes cuando les visitan, no tienen muy claro si el sarro y la placa bacteriana son realidades distintas o vienen a ser lo mismo. Aunque si que es cierto que son problemas que están relacionados entre sí, hoy vamos a contaros cuál es la principal diferencia entre placa y sarro.
¿Qué es la Placa Bacteriana?
Podemos hablar de la placa bacteriana como una especie de resto pegajoso e incoloro que se adhiere constantemente sobre nuestras piezas dentales. Se forma por las bacterias, el azúcar de ciertos alimentos y la saliva, que combinados con otros minerales dan lugar a la creación de esta capa que ataca a nuestro esmalte.
Todos tenemos placa bacteriana porque las bacterias se forman constantemente en nuestra boca. Cuando comemos o mientras dormimos se está generando placa bacteriana, por ello es muy importante cepillar los dientes y pasar el hilo dental después de cada comida para evitar su formación y no tener una higiene oral deficiente. Únicamente con una buena higiene bucal podemos garantizar que no se acumule una gran cantidad de placa, ya que comienza a formarse entre las cuatro y doce horas siguientes a cada cepillado.
Tipos de Placa Bacteriana
Existen diferentes tipos de placa bacteriana según su ubicación y su impacto en la salud bucodental:
- Placa supragingival: Se encuentra en la superficie de los dientes y en la línea de las encías. Si no se elimina, puede causar caries y gingivitis.
- Placa subgingival: Se acumula por debajo de la línea de las encías y es más difícil de detectar. Puede provocar enfermedades periodontales graves.
- Placa madura: Es aquella que ha permanecido sin eliminar durante varios días, lo que facilita la proliferación de bacterias dañinas.
- Placa cariogénica: Contiene bacterias que generan ácidos, atacando el esmalte y favoreciendo la aparición de caries.
¿Qué es el Sarro?
Si no conseguimos eliminar la placa bacteriana a través del cepillado, se endurece y da lugar a lo que conocemos por sarro. La facilidad de acumular sarro dental varía en función de la genética y la edad de cada persona, aunque el principal motivo es la falta de higiene dental. Cuando se ha originado el sarro, también conocido como cálculo o tártaro dental, este resulta prácticamente imposible de eliminar por medio de un cepillado normal. Su eliminación definitiva deberá realizarla un dentista o un higienista a través de una limpieza bucal.
El principal problema que existe con la transformación de la placa en sarro, es la acumulación durante ese tiempo de bacterias en nuestra boca. No solo es un problema estético, si no que nos encontramos ante un grave problema para la salud que acabará afectan tanto a dientes como a encías.
Tipos de Sarro Dental
Dependiendo de su ubicación en la boca, el sarro se clasifica en:
- Sarro supragingival: Se encuentra en la superficie de los dientes, por encima de la línea de las encías. Es de color blanco o amarillento y suele ser más fácil de detectar y eliminar.
- Sarro subgingival: Se forma debajo de la línea de las encías y es más difícil de ver. Tiene un color oscuro debido a la acumulación de pigmentos provenientes de la sangre y bacterias. Su presencia puede causar inflamación y enfermedades periodontales graves.
Diferencias Clave
En general podemos decir que la principal diferencia es que la placa bacteriana es el paso previo al sarro, es decir, que el sarro se origina por la acumulación de capas de placa bacteriana. Otros elementos diferenciadores pueden ser:
- La placa dental es incolora y pegajosa y, por lo general, se acumula en la línea de las encías o entre los dientes. Por su parte, el sarro tiene un color más amarillento y en ocasiones puede llegar a conseguir un tono marrón, que son los colores que surgen cuando se van calcificando las capas de placas en los dientes. El sarro suele acumularse en la línea de las encías.
- La placa bacteriana se forma a partir de restos de comida, la propia saliva y el azúcar, junto con otros minerales. El sarro es una capa calcificada de placa bacteriana sin eliminar.
- Para eliminar la placa bacteriana se puede utilizar el cepillo de dientes, mientras que para eliminar el sarro se requiere de ayuda profesional, ya que es muy resistente.
- La placa suele aparecer entre las 4 y 12 horas después de haber lavado los dientes, mientras que para que aparezca el sarro puede pasar uno o varios días.
¿Cómo Saber si Tienes Placa o Sarro?
Para identificar si tienes placa bacteriana o sarro en los dientes, es importante observar su apariencia y cómo afectan a tu salud bucodental.
La placa bacteriana no tiene color y se acumula en la superficie de los dientes. Puede provocar mal aliento y una sensación de suciedad en la boca, sobre todo al final del día. Si no se elimina con una adecuada higiene dental, se endurece y se convierte en sarro.
El sarro es una acumulación calcificada de placa que forma una capa dura y amarillenta en los dientes y encías. Su eliminación sólo es posible mediante una limpieza dental profesional.
Señales de que Puedes Tener Sarro
- Manchas amarillentas o marrones en la base de los dientes.
- Encías inflamadas o que sangran con facilidad.
- Sensación de aspereza en los dientes.
- Mal aliento persistente.
Ante estos signos, es recomendable acudir a una clínica dental para una revisión y limpieza dental profesional.
Principales Problemas Causados por la Placa Bacteriana y el Sarro
No llevar una buena higiene bucodental y dejar que la placa bacteriana se acumule llegando incluso a transformarse en sarro puede dar lugar a algunos de los siguientes problema:
- La acumulación de bacterias causa daño al esmalte dental
- Favorece el desarrollo de caries
- La aparición de enfermedades periodontales
- Sangrado de encías
- Retracción de encías
- Sensibilidad
¿Cómo Eliminar la Placa Bacteriana y el Sarro?
La forma de eliminar la placa no es la misma que la del sarro. Como te hemos comentado, la placa bacteriana es una acumulación de bacterias en forma de biofilm pegajoso e incoloro que se puede eliminar en casa, mientras que el sarro es más resistente por lo que se necesitará la ayuda de un profesional.
¿Cómo Eliminar la Placa Bacteriana?
Para poder eliminar y prevenir la acumulación de placa bacteriana es necesario llevar una buena higiene bucodental.
- Cepíllate los dientes después de cada comida. Usa un cepillo y pasta de dientes adecuados. Si por genética tienes facilidad de acumular placa y sarro puedes preguntar a tu dentista el tipo de pasta de dientes que debes utilizar, así conseguirás una buena rutina de higiene.
- Usa hilo dental. Es importante pasar el hilo dental para evitar que la placa bacteriana se acumule entre los dientes, ya que es una zona a la que no es fácil llegar con el cepillo. Debes seguir una higiene diaria que complemente el cepillado y prevenga la acumulación de bacterias.
- Usa un enjuague bucal. Los enjuagues bucales también ayudan a mantener una buena limpieza diaria una vez has terminado de cepillarte y lavarte los dientes.
- Limpieza de prótesis, brackets y ortodoncia. Si usas un aparato de ortodoncia como invisalign debes limpiarlo adecuadamente para que la suciedad no se traspase a los dientes, en nuestro blog tenemos artículos donde te explicamos detalladamente como hacerlo. Además podrás encontrar artículos con consejos sobre cómo llevar una buena higiene dental con ortodoncia, o los pasos para limpiar una prótesis dental.
- Revisiones en consulta cada 6 meses. Recuerda visitar la clínica para que te hagan una revisión dental y asegurarte de que todo va bien con tu dentadura. Lo ideal es que esta revisión se haga cada seis meses, pero depende de tu propensión a los problemas dentales. No conviene esperar más de un año entre revisión y revisión.
¿Cómo Eliminar el Sarro?
Para eliminar el sarro se necesita ayuda profesional, ya que está demasiado incrustada como para hacerlo tú mismo desde casa. Lo mejor es que pidas cita en tu clínica de confianza y allí te hagan una limpieza dental profunda, con aparatos especializados para poder eliminar todo el sarro acumulado.
En nuestra clínica dental tenemos profesionales especializados en la limpieza dental. Si no te gusta ir al dentista danos una oportunidad, creamos un ambiente relajado y cercano para que te sientas como en casa. No dejes correr el tiempo y aprovecha nuestras promociones. En nuestra clínica la primera consulta es gratuita, y te haremos un diagnóstico sobre tu condición bucodental para que sepas los pasos a seguir para tener una dentadura perfecta.
Espero que ya no te queden dudas sobre la diferencia entre el la placa y el sarro. Si tienes más dudas sobre tratamientos dentales pásate por nuestro blog.
| Característica | Placa Bacteriana | Sarro Dental |
|---|---|---|
| Textura | Pegajosa, blanda | Dura, calcificada |
| Color | Incolora o blanquecina | Amarillento, marrón o negro |
| Eliminación | Cepillado e hilo dental | Limpieza dental profesional |
| Composición | Bacterias, saliva, restos de comida | Placa endurecida con minerales |
| Prevención | Higiene bucal diaria | Higiene bucal rigurosa y limpieza profesional |