El sarro, también conocido como cálculo dental o tártaro, es un problema común que afecta la salud bucodental de muchas personas. Se trata de la acumulación de placa bacteriana que se ha endurecido en los dientes debido al depósito de minerales.

¿Qué es el Sarro y Cómo se Forma?
El sarro es la mineralización completa de la placa bacteriana que se adhiere firmemente a la superficie dentaria. Como hemos mencionado, el sarro se forma cuando la placa bacteriana se mezcla con saliva y restos de comida y se endurece. La placa es una película incolora y pegajosa, formada por bacterias, proteínas y azúcares que se forma y adhiere sobre los dientes y muelas.
Este proceso se ve acelerado por sustancias en la saliva que facilitan la cristalización de los minerales. ¿Sabías que pocas horas después de haberte cepillado los dientes empieza de nuevo a formarse el sarro? Estos cálculos son sobre todo fosfato de calcio, fosfato de magnesio y carbonato de calcio.
Diferencia entre Placa Bacteriana y Sarro
La diferencia fundamental entre la placa bacteriana y el sarro duro radica en su composición y resistencia. Mientras que la placa bacteriana es una biopelícula blanda que puede eliminarse mediante el cepillado dental regular, el sarro duro presenta una estructura mineralizada que no puede removerse con métodos de higiene bucal convencionales.
Causas de la Aparición del Sarro en los Dientes
La acumulación de placa bacteriana se relaciona con diferentes problemas bucodentales. La principal causa de la formación de sarro es una higiene oral inadecuada.
- Higiene bucal inadecuada: La base de la formación de sarro es una higiene bucal deficiente. Cuando los dientes no se cepillan adecuadamente o no se utiliza hilo dental regularmente, la placa bacteriana se acumula en los dientes y, con el tiempo, se endurece formando sarro. Especialmente crítico es el cepillado antes de dormir, ya que durante la noche la producción de saliva disminuye, lo que facilita la acumulación de placa.
- Dieta rica en azúcares y almidones: Los alimentos y bebidas ricos en azúcares y almidones contribuyen a la formación de ácidos en la boca. Estos ácidos favorecen la proliferación de bacterias y, por lo tanto, la formación de placa que eventualmente se convierte en sarro.
- Genética y factores individuales: Algunas personas producen saliva que favorece la acumulación de minerales en la placa, acelerando la formación de sarro. Además, ciertos factores genéticos pueden predisponer a las personas a una mayor formación de sarro.
- Fumar: Los productos del tabaco no solo manchan los dientes, sino que también afectan la saliva, facilitando la acumulación de placa y su posterior mineralización en sarro. El tabaquismo altera significativamente la composición salival y reduce la capacidad de autolimpieza natural de la boca, favoreciendo la formación de sarro duro.
- Edad: Con el tiempo, la acumulación de placa se vuelve más probable, y la eficacia de las técnicas de higiene bucal puede disminuir.
- Secado de boca y medicamentos: Ciertos medicamentos y condiciones que reducen la producción de saliva pueden contribuir a la formación de sarro.
Hay otro factor muy influyente en la formación del sarro. Las personas que tienen saliva con un pH más ácido son más propensas a las caries porque contribuye a debilitar el esmalte. Aunque la dieta no es el único factor que contribuye a la formación de sarro, ciertos alimentos y bebidas pueden promover su desarrollo al favorecer la acumulación de placa.
007 CÓMO SE PUEDE PREVENIR LA FORMACIÓN DE SARRO EN LOS DIENTES
Consecuencias de la Acumulación de Sarro Dental
Además de problemas estéticos, que pueden ocasionar baja autoestima por tener los dientes amarillentos, la acumulación de sarro dental provoca problemas de salud bucodental a medio y largo plazo.
- Gingivitis: La gingivitis es una enfermedad en la que se irritan e inflaman las encías, causando un gran daño a los tejidos blandos dentro de la cavidad bucal. Además, produce una gran sensibilidad que dificulta llevar a cabo actividades tan rutinarias como comer o beber. La presencia de sarro duro detrás de los dientes provoca una respuesta inflamatoria constante en las encías circundantes. Esta inflamación se manifiesta como gingivitis, caracterizada por encías de color rojo intenso, hinchadas y sensibles al tacto.
- Periodontitis: Podría considerarse como una de las peores consecuencias de la acumulación de sarro. Esta enfermedad pone en peligro la salud de la boca en general. Puede causar el aflojamiento de los dientes. Cuando el sarro duro provoca retracción gingival, las raíces dentales quedan expuestas, generando sensibilidad al frío, calor o alimentos ácidos. El sarro duro actúa como un irritante mecánico constante que «empuja» progresivamente la encía hacia abajo, exponiendo mayor superficie radicular. En casos avanzados donde la enfermedad periodontal ha progresado significativamente, pueden aparecer molestias o dolor durante la masticación.
- Caries: Son una de las consecuencias más comunes de la acumulación de sarro. El problema de las caries es que pueden ser muy perjudiciales si no se tratan enseguida. Las bacterias presentes en el sarro producen ácidos que deterioran el esmalte dental.
- Halitosis: Un síntoma que ayuda a saber si tienes sarro en tus dientes, incluso si no está en la parte visible, es la halitosis o mal aliento. El mal aliento crónico constituye uno de los primeros indicadores de acumulación de sarro duro detrás de los dientes. Este síntoma se produce porque el cálculo dental proporciona una superficie rugosa ideal para la adherencia y proliferación de bacterias anaerobias, que liberan compuestos sulfurados volátiles responsables del olor desagradable. Un indicador de la presencia de sarro en los dientes, a diferencia de la placa bacteriana, es el mal aliento o halitosis.
- Otros problemas: Aumento de la sensibilidad en los dientes, sobre todo al frío y/o al calor. Existe una relación entre el sistema digestivo y la salud oral. Por lo tanto, la presencia de un mayor número de bacterias en la boca puede favorecer trastornos estomacales o intestinales.
¿Cómo Detectar el Sarro?
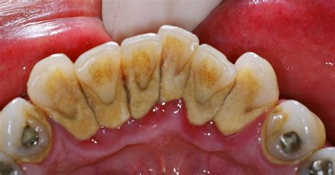
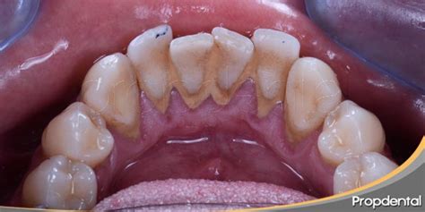
A diferencia de la placa que es una película incolora, el sarro presenta minerales siendo fácilmente visible si se localiza por encima de la línea de las encías. El indicador de sarro más común es observar un color marrón o amarillento en los dientes o encías. En general, el dentista puede detectar la presencia de sarro a simple vista mediante una exploración.
El sarro duro detrás de los dientes presenta inicialmente una coloración amarillenta que puede evolucionar hacia tonos marrones o incluso negros, dependiendo de factores como el tabaquismo, el consumo de té, café o ciertos alimentos.
¿Por Qué se Acumula Sarro Duro Específicamente Detrás de los Dientes Inferiores?
La anatomía oral explica por qué el sarro duro detrás de los dientes inferiores es tan común. Las glándulas sublinguales y submandibulares, ubicadas debajo de la lengua, secretan constantemente saliva rica en minerales directamente hacia la superficie lingual de los incisivos inferiores. La superficie lingual de los dientes inferiores representa una de las zonas más desafiantes para mantener una higiene bucal adecuada.
La posición de la lengua, la limitada visibilidad durante el cepillado y la dificultad para maniobrar el cepillo en esta área contribuyen a una limpieza incompleta. Muchas personas concentran sus esfuerzos de higiene bucal en las superficies dentales más visibles, descuidando inadvertidamente las zonas posteriores y linguales.
Prevención del Sarro
Si bien el sarro no se elimina con una buena higiene mental, sí se previene con esta. Es imprescindible realizar un buen cepillado de los dientes, al menos durante un tiempo de 5 minutos. Los cepillos eléctricos tienen mayor efectividad de limpieza que los cepillos manuales. Asimismo, se aconseja el uso del hilo dental o cepillos interproximales, así como un enjuague bucal para reforzar la eficacia de la limpieza oral.
La prevención del sarro es una parte crucial del cuidado bucodental.

A continuación, se detallan estrategias efectivas para prevenir la formación de sarro y mantener una salud oral óptima:
- Cepillado efectivo: Se recomienda cepillar los dientes al menos dos veces al día, durante dos minutos cada vez, utilizando una pasta dental con fluoruro. Prestar especial atención a los molares posteriores y a las áreas cerca de la línea de las encías, donde el sarro tiende a acumularse más.
- Usar hilo dental: El uso diario del hilo dental es esencial para prevenir la formación de sarro.
- Enjuagues bucales antisépticos: Los enjuagues con agentes antisépticos pueden ayudar a reducir la cantidad de bacterias en la boca, disminuyendo la formación de placa y sarro.
- Dieta y nutrición: Reducir el consumo de alimentos y bebidas con alto contenido de azúcares y almidones puede disminuir significativamente la formación de placa. Aumentar el consumo de manzanas y otras frutas y verduras también contribuye a reducir la aparición de sarro.
- Dejar de fumar: Dado que fumar es un factor de riesgo significativo para la formación de sarro, dejar de fumar puede reducir drásticamente la acumulación de sarro y mejorar la salud bucal general.
- Visitas regulares al dentista: Se recomienda visitar al dentista al menos una vez cada seis meses para realizar un mantenimiento y comprobar que todo marcha bien.
- Productos de higiene específicos: Considera el uso de pastas dentales y enjuagues bucales diseñados para controlar la placa y prevenir el sarro.
Tratamiento Profesional del Sarro
A diferencia de la placa bacteriana, el sarro dental no puede eliminarse con un buen cepillado, ya que siempre quedan restos. Es fundamental comprender que el sarro duro no puede eliminarse mediante métodos caseros de higiene bucal. Su estructura mineralizada requiere instrumental especializado y técnicas profesionales específicas para su remoción segura.
En primer lugar, el dentista hará uso de la punta de ultrasonidos para eliminar los depósitos de cálculo. Posteriormente, el higienista empleará la seda dental, pasándola por todas las superficies de las piezas. Además, aplicará tiras de pulir y la pasta de profilaxis, que eliminarán cualquier mancha superficial. Si el paciente presentase más resistencias, el odontólogo utilizará un aeropulidor con spray de bicarbonato. La profilaxis es un proceso totalmente indoloro para el paciente, que no requiere de anestesia.
No obstante, en ocasiones, una profilaxis puede no ser suficiente para eliminar todo el sarro dental, especialmente si se acumula debajo de la línea de la encía. En estos casos, la persona podría padecer periodontitis. Cuando el sarro duro ha progresado causando gingivitis o enfermedad periodontal, en las clínicas dentales implementan protocolos de tratamiento integral que pueden incluir curetajes radiculares, terapia antimicrobiana y seguimiento periodontal especializado.
En el caso de que el sarro se haya acumulado bajo las encías, es necesario realizar un curetaje o raspado dental. Este implica una limpieza más profunda, que sí suele requerir la aplicación de anestesia local.
Datos Adicionales
| Aspecto | Características |
|---|---|
| Color Inicial | Blanquecino |
| Color con el Tiempo | Amarillento o amarronado |
| Localización | Base de los dientes, sobre todo en los dientes inferiores anteriores (lado de la lengua) y molares superiores (lado de la mejilla). También entre las piezas dentales y el borde de las encías. |
| Composición | 70-90% sales minerales (elementos inorgánicos), proteínas, carbohidratos y lípidos (elementos orgánicos). |
Recuerda, el sarro en los dientes no es solo un problema estético, sino también un enemigo formidable de la salud bucodental. La prevención y el tratamiento temprano del sarro duro detrás de los dientes representan inversiones fundamentales en tu salud bucodental a largo plazo.