La salud dental es fundamental no solo para mantener una sonrisa atractiva, sino también para asegurar una buena funcionalidad en la boca. En este artículo, exploraremos diversas opciones para corregir dientes que son más largos que otros, mejorando así la estética y la funcionalidad de tu sonrisa.

Tratamientos para dientes pequeños o desgastados
Los dientes pequeños o desgastados pueden ser tratados mediante diversas soluciones estéticas y funcionales, dependiendo de la causa subyacente y el nivel de desgaste. Entre los tratamientos más comunes se encuentran las carillas dentales, que permiten restaurar el tamaño y mejorar la apariencia de los dientes mediante finas láminas de porcelana o composite. Otra opción es la reconstrucción dental con resinas compuestas, que se utilizan para añadir volumen y reparar áreas dañadas. En casos más severos, las coronas dentales pueden ser necesarias para proteger y fortalecer los dientes.
Además, es importante abordar las causas del desgaste, como el bruxismo o una mala mordida, a través de férulas nocturnas o ajustes de la mordida, garantizando así la durabilidad de los tratamientos y la salud dental a largo plazo.
Cómo agrandar dientes pequeños con carillas
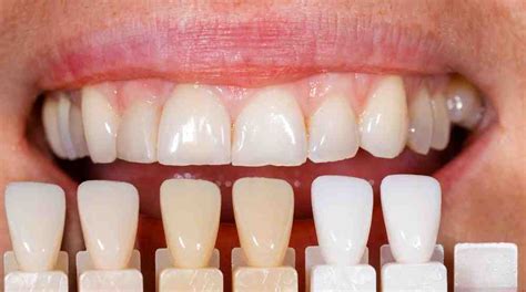
Agrandar dientes pequeños con carillas es un tratamiento estético que permite mejorar tanto el tamaño como la forma de los dientes de manera rápida y efectiva. Las carillas, que son finas láminas de porcelana o composite, se adhieren a la superficie frontal de los dientes para aumentar su longitud, ancho o volumen, creando una sonrisa más equilibrada y armoniosa. Este procedimiento es mínimamente invasivo, ya que requiere poco desgaste del diente natural y ofrece resultados duraderos y de aspecto natural. Además de agrandar los dientes, las carillas pueden corregir imperfecciones como manchas o pequeñas fracturas, proporcionando una solución completa para mejorar la estética dental.
Opciones para mejorar la estética dental en dientes pequeños
Existen diversas opciones para mejorar la estética dental en dientes pequeños, adaptadas a las necesidades y objetivos de cada paciente. Las carillas dentales son una de las soluciones más populares, ya que permiten aumentar el tamaño de los dientes de forma natural y armoniosa, corrigiendo al mismo tiempo otros problemas estéticos como manchas o irregularidades. Otra opción es la colocación de coronas dentales, recomendadas en casos de mayor desgaste o debilidad estructural, ya que cubren completamente el diente y le proporcionan mayor resistencia. Para quienes buscan una opción menos invasiva, las resinas compuestas son una alternativa, ya que se moldean directamente sobre el diente para mejorar su tamaño y forma.
Las carillas en bruxistas son una solución estética ideal para personas con dientes pequeños o desgastados, incluyendo a quienes sufren de bruxismo. Al restaurar la forma y tamaño de los dientes, las carillas, especialmente de materiales resistentes como la porcelana, mejoran la apariencia y funcionalidad. Para protegerlas, se recomienda usar una férula nocturna, lo que permite una solución duradera y eficaz para una sonrisa armoniosa pese al bruxismo.
Arreglar dientes separados
Los dientes separados o diastemas pueden ser causados por varios factores. Aunque los dientes separados no suelen ser un problema de salud dental grave, muchas personas buscan soluciones para mejorar su apariencia estética y lograr una sonrisa más uniforme.
Opciones para arreglar dientes separados sin brackets
- Arreglar dientes con carillas de porcelana: Las carillas de porcelana son una solución estética muy popular para los dientes separados. Son láminas finas de porcelana que se colocan sobre la superficie de los dientes, cubriendo los espacios y mejorando la forma de los dientes. Este tratamiento es ideal para quienes buscan una solución rápida y duradera para corregir dientes separados de forma estética.
- Arreglar dientes con composite y arreglo de dientes con resina: El composite es una opción más económica y rápida que las carillas de porcelana. Este material se aplica directamente sobre el diente, permitiendo que el dentista esculpa la forma del diente y cierre los espacios entre ellos. No es tan duradero como las carillas, pero es más económico.
- Arreglar dientes con alineadores transparentes: Si los espacios entre los dientes son más amplios o si deseas una solución que también corrija otros problemas de alineación, los alineadores transparentes son una excelente alternativa. Estos alineadores son prácticamente invisibles y pueden mover los dientes de manera gradual para corregir el espacio. Son cómodos y discretos, y ofrecen la ventaja de poder quitárselos durante las comidas o al cepillarse los dientes, lo que facilita el mantenimiento de la higiene dental.
Arreglar dientes apiñados o torcidos
Los dientes apiñados ocurren cuando hay falta de espacio en la boca para que todos los dientes se alineen correctamente. Esto puede resultar en una sonrisa desordenada, con dientes que se superponen o están torcidos. Los dientes apiñados no solo afectan la estética, sino que también pueden dificultar la limpieza adecuada de los dientes, lo que aumenta el riesgo de caries y problemas de encías.
¿Cómo arreglar dientes apiñados sin ortodoncia tradicional?
- Alineadores transparentes: Los alineadores transparentes son una opción popular para quienes desean corregir dientes apiñados sin los brackets tradicionales o arreglar un diente torcido. La principal ventaja de los alineadores es que son prácticamente invisibles y se pueden quitar para comer o para cepillarse los dientes, lo que facilita el mantenimiento de una buena higiene dental.
- Carillas de porcelana: En algunos casos, las carillas de porcelana pueden ser una solución estética para los dientes apiñados, especialmente si el apiñamiento no es severo.
- Laminados dentales (composite): Los laminados dentales de composite pueden ser una solución rápida y económica para dientes apiñados ligeros. Aunque no resuelve problemas graves de alineación, puede ser una opción útil para casos menos complejos.
Arreglar dientes rotos y desgastados
Un diente roto no solo afecta la estética de la sonrisa, sino que también puede causar dolor, molestias y dificultar la masticación. Afortunadamente, existen varios tratamientos que permiten restaurar un diente roto, mejorando tanto su apariencia como su funcionalidad.
Opciones para arreglar un diente roto
- Carillas dentales: Si la fractura es pequeña o superficial, las carillas pueden ser una solución estética y duradera, ya que se adaptan perfectamente al color y la forma del diente.
- Corona dental: En casos en los que la fractura del diente es más profunda o extiende a la raíz, una corona dental puede ser la mejor opción. Las coronas son fundas que cubren todo el diente, restaurando su forma y funcionalidad.
- Empastes de resina compuesta: Si el diente roto tiene una fractura leve o está afectado solo en una pequeña parte, un empaste de resina compuesta puede ser suficiente. Este tratamiento es ideal para dientes frontales, donde la apariencia estética es más importante.
- Implantes dentales: En casos más severos en los que el diente se ha roto de tal manera que no es posible restaurarlo, se puede optar por un implante dental. Este tratamiento implica la inserción de una raíz artificial en el hueso de la mandíbula. Los implantes son una opción a largo plazo, ya que son duraderos y ofrecen una solución permanente para dientes perdidos o irrecuperables.
¿Se pueden arreglar los dientes desgastados por bruxismo?
Sí. Si lo que quieres es arreglar dientes por bruxismo, te recomendamos usar protector bucal. El uso de un protector bucal durante la noche es fundamental para prevenir el desgaste adicional causado por el bruxismo. Este dispositivo protege los dientes de los efectos del rechinamiento durante el sueño y ayuda a aliviar la tensión en la mandíbula.

Alinear los dientes: Opciones y alternativas
Veamos qué tratamientos existen actualmente para conseguir unos dientes bien alineados.
- Opción 1: Ortodoncia con brackets
Ya sean brackets metálicos convencionales, estéticos o de zafiro, este sistema permite una alineación perfecta gracias a la aplicación controlada de fuerzas sobre los dientes. Es un tratamiento seguro y muy eficaz, tanto en niños como en adultos. La duración suele oscilar entre los 8 y los 24 meses, siendo 18 meses la media habitual. A ello hay que añadir el uso posterior de retenedores para mantener los resultados.- Ventajas
- Alta eficacia en la mayoría de los casos.
- Resultados duraderos si se usa retenedor.
- No produce desgaste dental.
- Es la opción más económica en ortodoncia.
- Al ser un sistema fijo, depende más del ortodoncista que del paciente.
- Inconvenientes
- Aunque económico dentro de la ortodoncia, sigue teniendo un coste elevado.
- Requiere una higiene bucal muy rigurosa.
- Puede producir caries si no se limpian bien los dientes.
- Posibles heridas por el roce de los aparatos.
- Sin retenedores, los resultados no se mantienen.
- Es el sistema menos estético, aunque cada vez más aceptado en adultos.
- Ventajas
- Opción 2: Ortodoncia con alineadores transparentes Invisalign®
Este tratamiento utiliza férulas removibles y transparentes que aplican presión progresiva sobre los dientes. Es discreto, cómodo y muy eficaz. La duración del tratamiento suele ser similar a la ortodoncia con brackets (entre 8 y 24 meses) y permite tratar prácticamente los mismos problemas de alineación.- Ventajas
- El sistema más estético (casi invisible).
- Muy cómodo y fácil de llevar.
- No provoca llagas ni heridas.
- Fácil de limpiar y compatible con una buena higiene.
- Se pueden retirar para comer y cepillarse.
- Alta efectividad si se usan al menos 22 horas al día.
- Inconvenientes
- Deben retirarse para comer, lo que puede resultar incómodo.
- Es el sistema más caro.
- Su eficacia depende mucho de la constancia del paciente.
- Ventajas
- Opción 3: Carillas dentales
Este es el único tratamiento que alinea visualmente los dientes sin necesidad de ortodoncia. Las carillas son láminas cerámicas que se colocan sobre los dientes naturales para corregir forma, tamaño, color y alineación leve. Son ideales para personas con dientes ligeramente desalineados, fracturados, oscuros o desiguales.- Ventajas
- Permiten conseguir la estética deseada (blancos, naturales, simétricos).
- Se integran perfectamente si están bien hechas.
- Materiales cerámicos resistentes a manchas.
- Ofrecen resultados espectaculares en poco tiempo.
- Inconvenientes
- No aptas para casos con desalineación moderada o severa.
- En muchos casos requieren tallado dental, irreversible.
- Precio superior al de la ortodoncia.
- Difícil reparación en caso de rotura.
- Requieren cuidados específicos al comer.
- No se recomiendan en casos de bruxismo.
- Necesitan mantenimiento e higiene meticulosa.
- Ventajas
Alinear los dientes es posible, incluso sin ortodoncia, dependiendo del caso.
Contorneado dental estético
El contorneado dental es un tratamiento que permite eliminar pequeñas cantidades de esmalte para modificar ligeramente la forma, la longitud y la superficie de los dientes. Su objetivo es mejorar la armonía, simetría y proporción de la sonrisa corrigiendo defectos leves como puntas irregulares, bordes astillados o diferencias mínimas de longitud entre piezas dentales.
El contorneado dental estético es un procedimiento indicado principalmente para los dientes anteriores (incisivos y caninos), ya que son los más visibles al sonreír. Al actuar únicamente sobre el esmalte -la capa más externa del diente-, no afecta al tejido interno ni requiere anestesia.
No obstante, la técnica debe realizarse con sumo cuidado y precisión, para no eliminar más esmalte del necesario.
Arreglar dientes: precios
Si quieres saber cuánto cuesta arreglarse los dientes, debes tener en cuenta que depende del tipo de tratamiento que se elija y de la complejidad del caso.
- Ortodoncia: Los brackets tradicionales cuestan entre 1.500 € y 3.000 €, mientras que los alineadores transparentes pueden llegar a costar hasta 6.000 €.
- Carillas dentales: El precio de una carilla de porcelana varía entre 400 € y 1.000 € por diente.
- Coronas dentales: Suelen costar entre 500 € y 2.000 € por diente.
- Implantes dentales: Los implantes pueden costar entre 1.000 € y 3.000 € por diente.
La siguiente tabla resume los precios aproximados de cada tratamiento:
| Tratamiento | Precio aproximado |
|---|---|
| Ortodoncia (brackets) | 1.500 € - 3.000 € |
| Ortodoncia (alineadores transparentes) | Hasta 6.000 € |
| Carilla de porcelana | 400 € - 1.000 € por diente |
| Corona dental | 500 € - 2.000 € por diente |
| Implante dental | 1.000 € - 3.000 € por diente |
COMO ELEGIR A TU ORTODONCISTA... 5 TIPS!!!
Consideraciones finales
Recuerda que cada caso es único y que la mejor opción de tratamiento dependerá de tus necesidades específicas y la evaluación de un profesional dental cualificado. Consultar con un dentista experimentado te permitirá tomar una decisión informada y lograr la sonrisa que siempre has deseado.