Tener los dientes blancos se ha convertido en un símbolo de salud, belleza e higiene. Una sonrisa luminosa y bien cuidada no solo resulta atractiva, sino que también transmite confianza y bienestar. Por ello, los tratamientos de blanqueamiento dental han ganado popularidad; sin embargo, muchas personas que llevan implantes dentales, coronas o carillas se preguntan si pueden someterse a este procedimiento.
Es importante tener claro que el blanqueamiento dental es un tratamiento odontológico, por lo que siempre debe realizarse bajo supervisión profesional. A continuación, exploraremos las opciones y consideraciones para blanquear fundas dentales y mantener una sonrisa radiante.

Blanqueamiento Dental con Implantes: Sí, Pero con Matices
Antes de tomar una decisión, hay que saber que los implantes dentales y las prótesis que los acompañan -como coronas o carillas- están fabricados con materiales cerámicos inorgánicos. Esto significa que su color no puede modificarse una vez colocados. Dicho de otro modo, estas prótesis no se blanquean.
Esto supone una limitación importante a la hora de realizar un blanqueamiento, ya que el color de los implantes no cambiará y puede condicionar el resultado estético global. Si, por ejemplo, llevas una corona implanto-soportada en un diente visible, como un incisivo, y esta tiene un tono más oscuro, aclarar tus dientes naturales podría hacer que la diferencia sea aún más evidente.
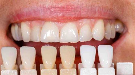
Por tanto, si tienes coronas de tono A2 en los dientes anteriores, no tendría mucho sentido blanquear tus piezas naturales hasta un tono A1, ya que las coronas seguirán viéndose más oscuras.
¿Entonces no puedo blanquearme los dientes si tengo implantes?
No necesariamente. En muchos casos es posible realizar un blanqueamiento dental, siempre que se tenga en cuenta el color de las prótesis existentes.
Si los implantes están en zonas posteriores, que no se ven al sonreír, no hay inconveniente en realizar el tratamiento. También puede hacerse cuando la diferencia de tono entre los dientes naturales y los implantes no es demasiado marcada, o cuando el paciente está dispuesto a sustituir la corona del implante una vez se alcance el color deseado en el resto de la dentadura.
En definitiva, es posible realizar un blanqueamiento parcial, siempre que se ajuste a las limitaciones impuestas por el color invariable de las prótesis. En muchos casos se pueden aclarar los dientes naturales hasta cierto punto sin que las coronas o carillas existentes resulten un problema estético evidente.
¿Y si el implante tiene un tono más oscuro que mis dientes?
Si deseas una sonrisa más blanca pero llevas un implante con un tono más oscuro que el que te gustaría lucir, tienes dos opciones: sustituir la corona por una nueva que coincida con el color conseguido en el resto de los dientes tras el blanqueamiento, o bien optar por un tratamiento integral de estética dental que unifique el tono mediante carillas o coronas.
Las carillas dentales permiten cubrir los dientes naturales con láminas cerámicas de color y forma personalizados, proporcionando una sonrisa uniforme y estética. En los casos en que las piezas están muy desgastadas o dañadas, puede optarse directamente por coronas. Ambas soluciones permiten corregir el tono, la forma y la alineación.
Incluso es posible colocar una carilla sobre la corona existente si está bien posicionada y estructuralmente estable, lo que evita tener que retirarla. Eso sí, al igual que los implantes, las carillas y coronas cerámicas no cambian de color y no requieren blanqueamientos, pero sí una higiene adecuada y revisiones periódicas para mantener su estado óptimo.
Consejos para cuidar tus carillas dentales | Clínica dental Avodent
Blanqueamiento Dental en Casa con Férulas
El blanqueamiento dental en casa con férulas es un procedimiento para blanquear tus dientes que no hace daño al esmalte. La cubeta tiene la forma de tus dientes. Recomendación del odontólogo: no realices ningún blanqueamiento dental casero que pueda dañar el esmalte de tus diente.
El precio del blanqueamiento dental en casa con férulas es un poco más elevado que el blanqueamiento led en clínica. Consulta nuestras tarifas y costes de tratamientos dentales en nuestra página web.
- No es necesario poner gel blanqueador en la cubeta para los dientes posteriores como los molares.
- El gel blanqueador no debe desbordarse y tocar las encías pudiendo causar irritación.
- Durante ese tiempo no podrás injerir alimentos ni bebidas.
Recomendación del odontólogo: el blanqueamiento con cubetas lo puedes realizar de 8 a 15 días. Antes de colocar las cubetas en la boca nuestros dientes debe de estar limpios. Es importante no utilizar pasta de dientes con colorante ya que puedes teñir los dientes.
Es importante lavar la cubeta y limpiarla con nuestro cepillo de dientes con agua. Antes de volver a usar las cubetas es muy recomendable volver a lavarlas y secarlas para retirar cualquier residuo hubiera podido quedar. Recomendación del dentista: no existen blanqueamientos dentales milagrosos. Antes de comenzar con un tratamiento es muy importante que un especialista te aconseje.

Cuidado y Mantenimiento de las Férulas Dentales
Es importante enjuagar la férula o aparato dental transparente tan pronto como se retire de la boca, para que las bacterias no empiecen a proliferar en su superficie. Es conveniente usar un cepillo de dientes diferente al habitual o incluso utilizar un cepillo específico de prótesis. No es recomendable usar pasta de dientes en el cepillo para limpiar la férula, la que la mayoría de las pastas contienen componentes abrasivos que pueden acelerar su desgaste.
Secar el protector bucal antes de guardarlo es esencial para evitar que se acumulen bacterias. Todas estas instrucciones son para limpiar la férula a diario. Usar un limpiador de prótesis específico. Los formatos que se pueden encontrar son pastillas que se disuelven en agua.
Como método casero se puede usar una mezcla de vinagre blanco y agua oxigenada. La férula debe estar en remojo durante un máximo de 30 minutos. Lavarla cada pocos días con agua y detergente para lavavajillas o con jabón neutro. También es importante mantener limpio el estuche o caja donde guardamos la férula para evitar que las bacterias se acumulen en el recipiente.
El mes pasado os hablamos sobre qué son las férulas de descarga y, a raíz del post, nos han llegado varios mensajes preguntándonos cómo deben cuidarse en casa. Cada vez que nos quitemos la férula y antes de guardarla, debemos lavar la férula con agua corriente (que no esté caliente), con 2-3 gotas de jabón líquido neutro y un cepillo especial para prótesis que podéis comprar en farmacias. Después, hay que enjuagarla con abundante agua y secarla muy bien con papel.
Es importante secar correctamente la férula para no dar lugar a la humedad ni a la aparición de microorganismos. Para ello, puedes envolverla con suficiente papel y dejarla unos segundos. Seguidamente, con un poco más de papel, puedes secar las partes más estrechas donde se colocan los dientes para evitar pequeñas gotas de agua.
De vez en cuando, aproximadamente una vez cada tres-cuatro semanas, es conveniente utilizar las pastillas efervescentes limpiadoras especiales para férulas. Se usan mezcladas con agua tibia en un vaso y dejando la férula dentro unos cinco minutos; pasado ese tiempo se cepillan bien con su cepillo y se enjuagan de nuevo con abundante agua fría secándolas correctamente. Esto permite una limpieza más profunda.
En casos más extremos donde se han llegado a formar placas de cal, podemos dejarlas un día sumergidas en vinagre diluido. Mantener en buen estado las fundas depende única y exclusivamente de ti y de cómo de bien las cuides.
El primer paso antes de colocarnos la férula es cepillarse bien los dientes. Al llevar la férula durante varias horas, la saliva y los restos de comida se quedan entre los dientes y puede ocasionar problemas bucodentales como, por ejemplo, la aparición de caries.
Cuando nos vayamos a quitar la funda de los dientes, como hemos mencionado anteriormente, hay que lavarla correctamente. Una vez lavada la férula y bien seca, debemos guardarla en el estuche especial que nos dieron en el dentista junto a ella. Es fundamental no dejarla tirada por cualquier sitio, ni encima de la mesita de noche sin la funda, para evitar que se depositen en ella restos de suciedad, polvo o cualquier otra partícula.
Las fundas para la férula son especiales, porque tienen la ventilación justa y necesaria para su conservación. Si pierdes la tuya o no te dieron, puedes comprarla en una farmacia.
- No utilices otros productos aparte de los mencionados en el punto anterior, pueden deteriorar tu férula y, con el tiempo, hacer que se rompa. Por ejemplo, la pasta de dientes no es un buen producto para limpiar la férula.
- Tampoco se recomienda sumergirla en agua caliente, puesto que puede derretir alguno de sus componentes.
- Mantén la funda siempre en su estuche y lejos de fuentes de calor, como, por ejemplo, estufas o aparatos de aire caliente.
El estuche o funda donde guardamos la férula también debemos limpiarlo de vez en cuando.
¿Cómo Blanquear las Carillas Dentales?

Las carillas dentales pueden perder su brillo original o mancharse, si eso te ha pasado te estarás preguntando si es posible blanquear las carillas dentales. ¡Sigue leyendo y descúbrelo!
Las carillas dentales son finas láminas de material, generalmente de porcelana o composite, que se adhieren a la parte frontal de los dientes. Aunque están diseñadas para ser resistentes, no son inmunes al desgaste o a la acumulación de manchas, lo que hace necesario un mantenimiento adecuado para conservar su apariencia.
Las carillas de porcelana suelen ser más resistentes a las manchas que las de composite, pero ambas requieren cuidados específicos para mantener su brillo. Si estás preocupado por la apariencia de las carillas dentales, a continuación encontrarás información muy útil. Es importante que te mantengas informado sobre las causas del oscurecimiento de las carillas y, en especial, qué puedes y qué no puedes hacer al respecto.
¿Qué factores causan manchas en las carillas?
Ciertos hábitos y algunos factores contribuyen a que las carillas pierdan su blancura con el pasar del tiempo. Conocer esos hábitos y factores te ayudará a tomar acciones para alargar la buena apariencia de las carillas.
- El consumo frecuente de bebidas como café, té, vino tinto, y alimentos como frutos rojos o salsas oscuras, puede manchar las carillas, especialmente si son de composite. Aunque la porcelana es más resistente, una exposición prolongada a esos alimentos y bebidas puede eventualmente afectar su color.
- El tabaquismo es otro factor significativo en la decoloración de las carillas. La nicotina y el alquitrán presentes en los productos de tabaco son conocidos por dejar manchas amarillentas en los dientes y carillas.
- Medicamentos, como los antibióticos tetraciclinas, pueden causar decoloración en los dientes y potencialmente afectar las carillas.
- Acumulación de placa. Una higiene bucal deficiente puede causar la formación de placa en la superficie de las carillas, lo que puede darles un aspecto opaco.
- Adicionalmente, con el pasar del tiempo, las carillas pueden sufrir desgaste, especialmente las de composite. Este desgaste puede hacer que la superficie de las carillas se vuelva más rugosa, lo que facilita la acumulación de manchas y la pérdida de brillo.
Mantenimiento y Limpieza de las Carillas
Mantener las carillas blancas y brillantes requiere de un cuidado adecuado y tener hábitos para prevenir la acumulación de manchas. Entre las acciones a realizar están la de mantener una excelente higiene bucal. Esto incluye cepillarse los dientes al menos dos veces al día con una pasta dental no abrasiva y el uso de hilo dental.
También es importante usar productos diseñados específicamente para el cuidado de las carillas, como enjuagues bucales que ayudan a mantenerlas libres de manchas sin dañar su superficie y las pastas dentales formuladas para carillas que pueden ayudar a mantener su brillo sin causar abrasión.
Además, es fundamental visitar al odontólogo para controles regulares y limpiezas profesionales que mantengan las carillas en su mejor estado. Durante esos controles, el odontólogo podría realizar un pulido suave para eliminar manchas superficiales y restaurar el brillo de las carillas. Este procedimiento es especialmente útil para carillas de composite, que son más susceptibles a manchas.
Opciones y Alternativas para Carillas Manchadas
Es importante tener en cuenta que las carillas, ya sean de porcelana o composite, no responden a los agentes blanqueadores que se usan en los dientes naturales. De hecho, usar productos blanqueadores en carillas puede causar daños en su superficie, haciéndolas más propensas a mancharse en el futuro.
Si el problema es que las carillas se han manchado significativamente, se puede optar por su reemplazo, especialmente si son de composite y han perdido su brillo. Otra opción es la renovación del color mediante la aplicación de nuevas capas de composite.
Aunque no es posible blanquear las carillas de la misma manera que los dientes naturales, existen métodos efectivos para mantenerlas libres de manchas y en óptimas condiciones. La clave está en la higiene bucal adecuada, la reducción del consumo de alimentos y bebidas que puedan mancharlas, y las visitas regulares al odontólogo. Con los cuidados adecuados, las carillas pueden mantener su apariencia estética durante muchos años, asegurando una sonrisa blanca y saludable.
En resumen, aunque las carillas dentales no se pueden blanquear de la misma forma que los dientes naturales, sí existen estrategias efectivas para mantenerlas con un aspecto brillante y saludable. La clave está en una buena higiene bucal, una dieta consciente y visitas regulares al dentista.
Recomendaciones Adicionales
- Evita alimentos y bebidas muy pigmentadas, como el café, el vino tinto y las moras.
- Sea cual sea el tipo de tratamiento para blanquear los dientes elegido, el paciente debe cambiar sus hábitos de consumo y alimentación, ya que no se recomienda ingerir comidas que tiñen los dientes, como café, vino o tomate; ni mantener hábitos que manchan los dientes, como fumar, sobretodo en las horas y días posteriores.
- Por último, siempre se debe poner en manos de profesionales especializados en blanquear los dientes que ofrezcan garantías.
Consideraciones Finales
Esta es una cuestión que sale a menudo en la consulta. Muchos pacientes quieren mejorar el color de sus dientes pero no saben de qué manera afecta la presencia de prótesis y obturaciones al blanqueamiento dental. Si quieres arreglarte la boca y has pensado “cuando ya lo tenga todo arreglado entonces me blanqueo los dientes”, es mejor que nos lo digas antes. Si tienes algún evento (te casas, la comunión del niño, la boda de tu prima, etc) y quieres lucir sonrisa, no esperes a la semana de antes, no nos dará tiempo a hacerlo.
Es fundamental no dejarla tirada por cualquier sitio, ni encima de la mesita de noche sin la funda, para evitar que se depositen en ella restos de suciedad, polvo o cualquier otra partícula.
¿Te gustaría descubrir cómo mantener tus prótesis dentales fijas limpias y con un aspecto estético impecable?
Aprenderás sobre la importancia de cuidar adecuadamente tus prótesis dentales fijas, las causas comunes de su decoloración y manchas, así como consejos prácticos y técnicas de blanqueamiento, tanto profesionales como naturales.Las prótesis dentales fijas son una excelente opción para restaurar sonrisas y recuperar la funcionalidad dental. Estas prótesis, también conocidas como coronas o puentes, están diseñadas para ser duraderas y resistentes. Las prótesis dentales fijas pueden mancharse por varias razones. Una de las principales causas es el consumo frecuente de alimentos y bebidas que tienden a manchar los dientes, como el café, el té, el vino tinto y los alimentos con colorantes fuertes. El tabaco también puede provocar la decoloración de las prótesis dentales fijas.Mantener las prótesis dentales fijas limpias es esencial para preservar su apariencia y funcionalidad. Cepilla tus prótesis dentales fijas al menos dos veces al día utilizando un cepillo de dientes suave y pasta dental no abrasiva. Utiliza hilo dental o un limpiador interdental para eliminar los restos de comida y la placa que se acumula alrededor de las prótesis dentales fijas. Evita el consumo excesivo de alimentos y bebidas que puedan manchar tus prótesis dentales fijas. Visita regularmente a tu dentista para realizar revisiones y limpiezas profesionales. Si tus prótesis dentales fijas han perdido su color y brillo, existen técnicas de blanqueamiento que pueden ayudarte a restaurar su apariencia. Una opción común es el blanqueamiento dental en el consultorio dental. Otra opción es el blanqueamiento en casa utilizando kits de blanqueamiento dental recomendados por tu dentista. Es importante tener en cuenta que el blanqueamiento dental puede tener resultados variables en las prótesis dentales fijas, ya que su material puede no responder de la misma manera que el esmalte dental natural.Además de las técnicas de blanqueamiento dental mencionadas, existen algunos remedios caseros y naturales que puedes probar para mantener tus prótesis dentales fijas con un aspecto más blanco y brillante. Bicarbonato de sodio. Prepara una pasta mezclando bicarbonato de sodio con agua y cepilla suavemente tus prótesis dentales fijas con esta mezcla. Vinagre de manzana. Remoja tus prótesis dentales fijas en una solución de vinagre de manzana diluido durante unos minutos. Luego, cepíllalas suavemente y enjuágalas bien. Fresas. Tritura algunas fresas y aplícalas sobre tus prótesis dentales fijas durante unos minutos. Luego, cepíllalas suavemente y enjuágalas. Recuerda que estos remedios caseros y naturales pueden tener resultados limitados y no deben reemplazar una buena higiene oral ni las visitas regulares al dentista.En Laborprothesis, como fabricantes de prótesis dentales fijas, nos esforzamos constantemente para lograr que la sonrisa de cada uno de tus pacientes luzca más natural que nunca.