La desmineralización dental es un problema común que afecta la salud bucal y puede ser el primer paso hacia la formación de caries. Se trata de la pérdida de minerales esenciales, como el calcio y el fósforo, en el esmalte dental, la capa más externa y protectora del diente. El esmalte dental no posee células vivas, por lo que una vez que se daña, no puede regenerarse por sí solo.
Afortunadamente, hay varias estrategias que puedes implementar para recuperar el calcio de tus dientes y, en última instancia, mejorar la salud bucal. En este artículo, te explicaremos qué es la descalcificación dental, sus causas, síntomas más comunes y cómo puedes tratarla.

Importancia del Calcio en los Dientes
El calcio es un mineral necesario para diferentes procesos del cuerpo, incluyendo la formación del sistema óseo y los dientes, así como el buen funcionamiento del sistema nervioso. Ese mineral se concentra en un 99 % en los huesos y dientes. En el caso de estos últimos se muestra en forma de “hidroxiapatita”, un elemento formado por calcio y fosfatos que le permite dar la forma y dureza características de las piezas dentales.
La absorción del calcio y fosfato es fundamental desde los primeros meses de gestación y se realiza con ayuda de la vitamina D. Una absorción balanceada de estos elementos ayudará al buen desarrollo de la dentadura temporal del niño y una vez que nazca al de la permanente.
¿Qué es la Descalcificación de los Dientes?
La hipocalcemia o trastorno por deficiencia de calcio, también llamada popularmente descalcificación, es una condición médica que consiste en la disminución o falta de calcio en el organismo. Esta se caracteriza por generar el debilitamiento de los huesos y tejidos duros. Incluso puede afectar de forma negativa la actividad nerviosa y muscular.
Entre sus síntomas se encuentran el entumecimiento de la boca, manos y pies, uñas débiles, dolor de espalda y otros. Pero, además, produce grandes consecuencias en tu cavidad bucal, como la descalcificación de los dientes. Esta afección debilita la estructura dentaria debido a una deficiencia de minerales como el calcio y el fósforo. Se produce cuando el proceso de mineralización del esmalte es ineficiente o se interrumpe.
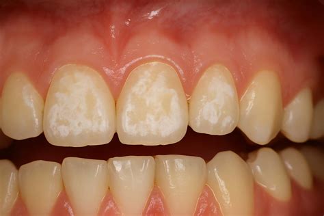
En resumen, la descalcificación de los dientes es la pérdida de calcio, lo que lleva a problemas de salud bucal. Usualmente se ven marcas blancas en la superficie de los dientes, en niños grandes y adultos esto puede ser resultado de la placa pegada al diente por mucho tiempo. El esmalte que protege tus dientes del desgaste diario está formado por varios minerales, entre ellos calcio y fósforo. La descalcificación debilita el esmalte, produciendo esas manchas blancas.
Síntomas de la Descalcificación Dental
Los síntomas más comunes de descalcificación dental son:
- Los bajos niveles de calcio en el organismo producen el ablandamiento progresivo de los dientes, lo que a su vez aumenta la probabilidad del desarrollo de caries.
- En la primera etapa aparecen manchas blancas en los dientes. Estos se vuelven opacos.
- A largo plazo, las manchas blancas pueden cambiar de color a una tonalidad amarillenta o marrón. Son bastante notorias.
- En casos graves se produce un gran aumento de la movilidad de los dientes. Incluso pueden desprenderse algunas piezas dentales.
- En algunos casos puedes llegar a sentir dolores agudos debido a las caries. Estos son más frecuentes en los niños.

Causas de la Descalcificación Dental
La falta de calcio y otros minerales en los dientes puede producirse por diversos factores. Entre ellos:
- El consumo frecuente de bebidas azucaradas y ácidas: Las bebidas, como los zumos de frutas (en especial los envasados) poseen grandes cantidades de azucares y ácidos. Estos elementos afectan gravemente el esmalte de tus dientes y, si los consumes con frecuencia, irán disminuyendo la presencia de minerales como el calcio y el fósforo en la superficie dentaria. De esta forma se crean un ambiente ideal para la proliferación de bacterias en la boca y en la superficie de las piezas. A largo plazo, es posible que aparezcan pequeños agujeros casi imperceptible en tus dientes, lo que hace que tomen un aspecto calcáreo o calcificado. Esto aumenta en gran proporción las posibilidades de que desarrolles caries. También es común que manifiestes una mayor sensibilidad a alimentos muy fríos o calientes.
- Higiene bucal deficiente: Tener una mala higiene bucal hace la placa bacteriana que se produce en tus dientes aumente. Esto genera una descalcificación y desmineralización en las piezas.
- Mala nutrición: Si no tienes una alimentación balanceada que te proporcione las cantidades de calcio y fósforo que requiere tu organismo puede presentar descalcificación. Es importante que consumas alimentos ricos en estos minerales o algunos suplementos que los contengan. Así podrás tener una dentadura fuerte y saludable.
- Reflujo gástrico: Si sufres de acidez estomacal y tienes reflujo toma en cuenta que el ácido estomacal desmineraliza progresivamente tus dientes.
- Bajos niveles de saliva: La saliva tiene funciones muy importantes dentro de la boca. Esta actúa como un limpiador natural.
- Durante la gestación: En los niños más pequeños la descalcificación generalmente se debe a problemas durante su desarrollo cuando estaban en gestación. Si pasa esto no hay nada que los padres puedan hacer, solo manejar la condición con mucho cuidado.
- Falta de intervención profesional: Saltarse las limpiezas regulares con tu dentista puede llevar a la acumulación de placa. Por otro lado, el ortodoncista debe saber cómo poner los brákets para evitar la descalcificación o detectar si está sucediendo este problema.
- Factores genéticos y condiciones médicas: La genética es un factor que influye en la formación del esmalte dental. Por lo cual hay personas que pueden tener cierta predisposición a tener un esmalte más delgado o más débil, y eso las hace más susceptibles a que ocurra la descalcificación. También existen condiciones genéticas como la amelogénesis imperfecta, la cual tiene un impacto en la formación del esmalte dental, y esto incrementa el riesgo de que se produzca descalcificación. Algunas condiciones médicas, como el reflujo gastroesofágico crónico o los trastornos alimenticios, pueden causar que el ácido del estómago llegue a boca y erosione el esmalte dental. También la falta de vitaminas como el calcio, fósforo y vitamina D, aumentan el riesgo de descalcificación severa.
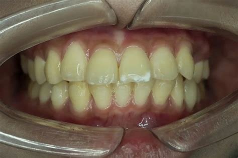
- Uso prolongado de brackets u otros aparatos ortodónticos: A pesar de que los brákets son un tratamiento de ortodoncia y ortopedia maxilar muy efectivo, al momento de retirarlos puede haberse producido una descalcificación en la zona que ocupaban. Por eso algunos pacientes notan una mancha blanca en el centro de sus dientes. Tener brackets u otros aparatos de ortodoncia puede ser muy beneficioso para conseguir una dentadura alineada, pero también puede dificultar la higiene de los dientes, en especial en el lugar donde están ubicados estos dispositivos. Generalmente en esa zona se acumulan bacterias y restos de comida, que si no se eliminan, producen ácidos que causan desmineralización en los dientes. Los aparatos ortodónticos pueden contribuir a la formación de placa dental, la cual a su vez puede alterar el pH de la boca. En consecuencia, se crea un ambiente más ácido, dentro de la boca, ideal para la desmineralización del esmalte. También se pueden formar las descalcificaciones cuando debido al tratamiento de ortodoncia la persona no sigue una buena rutina de higiene bucal.
Diagnóstico de la Descalcificación Dental
El principal problema cuando sufres descalcificación es que deja los dientes quebradizos. Lo que puede significar que los dientes estarán más susceptibles a la caries, pero en casos más extremos puede hacer que el diente esté tan vulnerable que empiece a desmoronarse. El dentista con un examen visual puede darte el diagnóstico. Lo mejor para evitar este tipo de problemas es seguir una buena rutina de higiene dental. Debes asegurarte de que los dientes afectados estén limpios y libres de placa.
Tratamientos para la Descalcificación Dental
La descalcificación dental puede producirse a cualquier edad. Pero los niños, los ancianos y las embarazadas son los que tienen mayor probabilidad de presentar esta condición. A pesar de esto no existen tratamientos médicos específicos para curar esta condición. Pero afortunadamente hay algunas formas de prevenirla y tratarla para mejorarla progresivamente.
Остаются ли белые пятна после брекетов?
Mejora tu Higiene Bucal
La mejor forma para prevenir y tratar las consecuencias de la falta de calcio en tus dientes es teniendo una buena rutina de higiene bucodental, incluyendo cepillado, uso de hilo dental y enjuague bucal. De esta forma puedes prevenir la acumulación de placa bacteriana sobre tus dientes y eliminar los residuos de azúcares, almidón y ácidos.
Tener una buena higiene dental no solo implica cepillar tus dientes, sino también asistir de forma periódica a citas con tu dentista en Salamanca y realizarte por lo menos una limpieza dental profesional cada 9 meses. Si tienes niños debes enseñarles buenos hábitos de limpieza bucal y asegurarte de que cumplan con sus rutinas. Debes asegurarte que cuando visites a tu odontólogo este te ofrezca la opción de enjuagar tu boca con enjuague bucal que posea una alta concentración de fluoruro.
Usa Productos de Higiene Dental Específicos
Existen pastas dentales y enjuagues bucales que poseen fluoruro, calcio, fosfatos y otros componentes que te ayudan a proteger tu boca de la descalcificación dental por agentes externos como el ácido estomacal. Este tipo de productos también te ayudan a reponer el esmalte debilitado y favorecen la absorción de minerales en los dientes, lo que te ayudará a mantenerlos más fuertes y saludables.
Otro elemento con el que debes estar atento es con tu cepillo de dientes. Asegúrate que las cerdas de este no sean demasiado duras, ya que empezarías a desgastar progresivamente el esmalte de tus dientes y se volverían mucho más sensibles y vulnerables ante los ataques de las bacterias.
Modera el Consumo de Alimentos Azucarados y Ácidos
Reduce el consumo de alimentos y bebidas con un gran contenido de azúcar, almidón o demasiado ácidos. Los zumos de lima y naranja, la bebidas energéticas, el vinagre, el vino, la soya y el café son algunos alimentos que debes consumir de forma moderada y poco frecuente para evitar la descalcificación de tus dientes. En el caso de los niños asegúrate de que no ingieran caramelos o dulces con mucha frecuencia.
Alimentos como la manzana, el apio, la zanahoria y la pera son muy recomendados, ya que poseen fibra. Esta ayuda a remover placa e impurezas de los dientes y además refrescan el aliento. Por otro lado, las legumbres y hortalizas poseen grandes cantidades de fósforo, así que debes incluir buenas cantidades de estas en tus comidas.
Consume Alimentos Ricos en Calcio y Otros Nutrientes
Todos los alimentos que contengan lactosa pueden proporcionarte buenos porcentajes de calcio y vitamina D. El queso, el yogur y la leche reducen la probabilidad de padecer de descalcificación y aumentan la dureza de los dientes. El calcio proveniente de estos alimentos se mezcla con la placa y luego se adhiere a los dientes, creando una capa protectora y a largo plazo refuerza y reconstruye el esmalte dental.
También es importante que consumas alimentos ricos en vitamina C. Esta te ayuda a mantener las encías y otros tejidos saludables. Aunque existen muy pocos alimentos que contienen flúor, el tomate, las patatas, las sardinas y las cerezas cuentan con pequeños porcentajes de este elemento tan beneficioso para los dientes. Siempre debes recordar la importancia de la nutrición en la salud bucodental y cómo afecta al estado de tus dientes.
Consume Suplementos
En caso de que no puedas consumir las cantidades necesarias de calcio y fosfatos por medio de alimentos, puedes hacerlo tomando suplementos que contengan esos minerales, pero es importante que consultes con tu médico cuál es la mejor opción para ti y si de verdad lo requieres. En caso de que tu dentista te lo indique también puedes consumir tabletas de flúor o aplicar un gel de flúor sobre tus dientes.
Mantén una Producción de Saliva Óptima
El proceso de mineralización de los dientes puede verse afectado por factores como un pH demasiado ácido en la boca, altos niveles de placa bacteriana sobre la superficie de las piezas y otros. Pero uno de los elementos capaz de regularlos es la saliva. La saliva posee múltiples funciones dentro de tu boca. Una de ellas es que actúa como un agente limpiador que elimina las fuentes de acidez dentro de la cavidad oral. Además posee iones de calcio y fosfato que promueven la remineralización de los dientes.
Para mantener una buena producción de saliva es importante que consumas mucha agua. También puedes masticar goma sin azúcar o consumir frutos secos.
Otros tratamientos
En caso de que tu deficiencia de calcio y fosfatos sea a causa de una enfermedad o condición. Puedes optar por colocarte carillas dentales para que no se vean las manchas en los dientes y reforzarlos. El uso de este tratamiento va a depender del diagnóstico de un dentista especialista que te indicará si eres un buen candidato o no.
Consecuencias de no Tratar la Descalcificación Dental
El efecto de la descalcificación en los dientes puede a veces llevar a la extracción, pero solo en los casos más complicados. Lo mejor es seguir las recomendaciones de tu dentista para proteger los dientes vulnerables.
- Desarrollo de caries dental: La descalcificación tiende a debilitar el esmalte de forma progresiva. Si no se trata a tiempo, esto provoca que las bacterias de la boca ejerzan una acción más agresiva sobre los dientes, ya que pueden penetrar más profundo, y esto lleva a la formación de caries.
- Debilitamiento estructural del diente: Cuando hay pérdida de minerales, esto debilita la estructura del diente, haciéndolo más susceptible a romperse, fracturarse o astillarse. Si la descalcificación es severa, esto se traduce en mayor debilitamiento de las piezas dentales, hasta el punto de que se pueden caer los dientes.
- Problemas estéticos: Uno de los signos de descalcificación de los dientes, es la aparición de manchas blancas de tono opaco en el esmalte. Al no tratar la descalcificación, con el paso del tiempo estas manchas claras tienden a volverse más oscuras, y tomar un color marrón o amarillento, que afecta la apariencia de la sonrisa.
¿Se puede revertir la descalcificación dental?
Si te diagnostican descalcificación dental hay poco que puedes hacer para eliminar esas manchas blancas en los dientes, usualmente son permanentes. Aunque puedes disminuir este problema siguiendo buenas prácticas de higiene bucal y visitando a un dentista con regularidad. Hay soluciones cosméticas que evitarán que se vean estas manchas en tus dientes, como las carillas dentales, blanqueamientos dentales, reminerilización y composite.
Recuerda que tus dientes son una de las primeras cosas que la gente ve en ti. Y aunque puedes pensar que estas manchas blancas son casi imperceptibles, debes preocuparte por ellas, ya que si no las controlas podrías terminar con otros problemas de salud.
Conclusión
La desmineralización dental es un problema común que puede prevenirse y tratarse con una buena higiene bucal, una dieta equilibrada y el uso de productos con flúor. Detectar la desmineralización en sus etapas tempranas es clave para evitar problemas mayores. Si notas signos de desmineralización o tienes dudas sobre la salud de tu esmalte dental, no dudes en consultar a tu dentista.