La búsqueda de una sonrisa perfecta es una aspiración común. Una dentadura perfecta no solo es importante para una buena apariencia, sino que también es esencial para la salud dental y general. La retirada de las mascarillas en los lugares privados y públicos hizo que las sonrisas dejaran de estar escondidas. Esto ha aumentado la preocupación general por mantener unos dientes sanos, relucientes y blancos y ha favorecido a que los pacientes acudan a las clínicas dentales en busca de unos dientes perfectos.
Pero, ¿qué se considera una dentadura perfecta? En este artículo, exploraremos las características de una sonrisa ideal y los tratamientos disponibles para lograrla.
Tengo Los Dientes Torcidos 😬 ¿Me puedo hacer Diseño de Sonrisa? 🦷 ¿Me Desgastan? - Odontología Láser
¿Qué se considera unos dientes perfectos?
Realmente, el concepto de perfección no existe de manera objetiva. Cada persona tiene una idea de belleza, por lo que depende, meramente, de los gustos individuales de cada uno.
Sin embargo, hay una serie de factores que se consideran importantes a la hora de evaluar si una sonrisa es perfecta:
- Salud bucodental general: Para que sean los dientes perfectos, deben estar sanos.
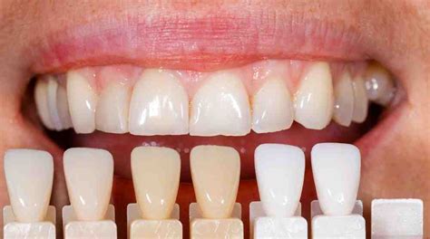
- Color de los dientes: El tono dental perfecto no es blanco nuclear, sino el color que tenga su esmalte de forma natural.
- Alineación dental: Otro factor es la alineación dental, ya que si se observa que las piezas dentales están colocadas de tal forma que provocan apiñamientos o diastemas se puede estar ante un problema en la mordida que afecte a la salud y la funcionalidad bucal del paciente.
- Simetría dental en forma, tamaño y color: Tener en la sonrisa las piezas simétricas en color, forma y tamaño da una apariencia de dientes perfectos.
- Encías sanas: Las encías son clave para dar presencia de sonrisa ideal. Por ello hay que cuidarlas y mantenerlas en el mejor estado para evitar la aparición de enfermedades periodontales.
Los dentistas consideran que una mordida es perfecta cuando todos los dientes están derechos y muerden en su respectivo lugar. Todo esto significa que la dentadura tiene una funcionalidad correcta, por lo que la articulación de la mandíbula y los tejidos circundantes están equilibrados. Este tipo de mordida es garantía de salud bucodental y en la mayor parte de los casos se consigue gracias a la labor de un ortodoncista.
¿Cómo saber si tienes una mordida perfecta?
Para saber si tus dientes son perfectos compáralos con los equivalentes de la otra mandíbula. Tan importante es que los dientes sean simétricos como que se encuentren bien alineados. Si hay reagrupamientos antiestéticos, antes de proceder al blanqueamiento o al uso de carillas hay que colocar al paciente una ortodoncia para alinear los dientes. Unos dientes perfectos no deben verse por completo al sonreír.
Además el línea gingival de los incisivos tiene que estar a la misma altura que la de los caninos y la de los incisivos laterales más baja. El color de las encías para ser el ideal tiene que ser rosado, y a la hora de sonreír, se considera ideal que se enseñen 1 o 2 mm de encía.
¿Qué ocurre si la mordida no es perfecta?
Una alteración en la mordida tiene efectos importantes para la salud general, que no se limitan a problemas dentales. Una mala colocación de la mandíbula o de los dientes puede repercutir en la alteración de tu morfología facial o una sonrisa imperfecta. Como aprecias, una alteración en la mordida tiene efectos importantes para la salud general, que no se limitan a problemas dentales.
¿Qué efectos tiene una mordida incorrecta?
- Altera el estado de otros dientes
- Masticación incorrecta
- Lengua dolorida
- Bruxismo
- Sobrecarga de los músculos faciales
- Acumulación de placa bacteriana
- Dificultad al respirar
- Alteraciones del habla
Si la mordida incorrecta está relacionada con los dientes apiñados, estos son más difíciles de limpiar. El bruxismo es el hábito de rechinar o apretar los dientes.

Tratamientos para conseguir unos dientes perfectos
Para mejorar o corregir la mordida existen actualmente muchos procedimientos. Si quieres mejorar la estética y funcionalidad de tu boca, ahora en Clínicas Den hemos preparado tres planes de precios, adaptados a cada caso clínico, para consigas la sonrisa de tus sueños.
Algunos de los tratamientos disponibles son:
- Blanqueamiento dental
- Carillas dentales
- Gingivectomía
- Ortodoncia invisible
Blanqueamiento dental
El blanqueamiento dental es el tratamiento de estética dental utilizado para devolver el tono natural a los dientes, consiguiendo que tengan una coloración más blanca y dando la luminosidad que necesita su sonrisa.
Gracias a Philips Zoom conseguimos que queden sus dientes perfectos, eliminando manchas marrones, grisáceas, amarillas y blanquecinas y unificando el tono de su sonrisa a través de un proceso rápido e indoloro. Disponemos de la mejor tecnología para el blanqueamiento dental.

Carillas dentales
El tratamiento con carillas dentales, además de conseguir mejoras en el tono dental, permite igualar el tamaño y la forma de los dientes. En Clínica Dr. Javier Sola trabajamos con dos tipos de carillas que se escogen en función de las características individuales de cada paciente: las carillas de porcelana y las carillas de composite.

Gingivectomía
La gingivectomía es un procedimiento quirúrgico realizado bajo anestesia local donde se recorta ligeramente la encía para modificar su forma o eliminar el exceso de encía que rodea un diente. Con ello conseguiremos reducir la encía y por tanto obtener una sonrisa más bonita.
Ortodoncia invisible
Puede convertirse en tu mejor aliado para conseguir unos dientes perfectos. Con este tratamiento conseguirás alienar tus dientes de manera eficaz. En nuestra Clínica CRISTINA VIYUELA somos pioneros y especialistas en el tratamiento de ortodoncia invisible Invisalign.
Con un tratamiento de ortodoncia no solo mejoraras la posición de tus dientes y te quedaran perfectamente alineados, si no que mejoraras la funcionalidad de tus dientes, evitando así patologías futuras, que pueden ser desde caries, acumulo de placa, entre otras.

Hábitos saludables para una dentadura perfecta
Además de los tratamientos dentales, es fundamental adoptar hábitos saludables para mantener una dentadura perfecta:
- Buenos hábitos de higiene bucodental: La placa o las caries pueden terminar en casos de halitosis, endodoncias o extracción de las diferentes piezas dentales.
- Revisiones periódicas en el dentista: Acudir a nuestro dentista de manera regular es la mejor forma de contar con una dentadura sobresaliente.
- Reduce el consumo de tabaco: El tabaco es realmente perjudicial para la salud de tus encías y dientes.
- Reducir el consumo de dulces: Las tortas industriales, los caramelos, las golosinas, los dulces tienen mucho daño en el esmalte dental y no se debe abusar de ellos.
- Evitar las bebidas azucaradas: Es importante reducir o evitar los refrescos, las bebidas gaseosas energéticas o cualquier líquido que contenga demasiada azúcar, como jugos de frutas, té o café.
Si lo que quieres realmente es tener una sonrisa de anuncio, empieza por lo básico, teniendo una buena higiene en casa y acudiendo a un dentista de confianza en el que te haga un plan de tratamiento teniendo en cuenta tu perfil y la forma de tu cara, ya que no todas las personas somos iguales y no todos los dientes tienen las mismas formas.