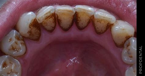
El sarro negro en los dientes es un problema dental común que afecta tanto la salud bucal como la apariencia de la sonrisa. Es crucial entender qué es, por qué aparece y cómo eliminarlo para mantener una boca sana.

¿Qué es el Sarro Negro?
El sarro, también conocido como cálculo dental, es una acumulación endurecida de placa bacteriana que se adhiere a los dientes. El sarro negro es una sustancia compuesta por minerales que se acumula en diversas áreas de los dientes. Cuando la placa no se elimina adecuadamente mediante el cepillado y el uso del hilo dental, se mineraliza y se convierte en sarro.
El sarro es una de las afecciones bucales más comunes y una de las causas principales de patologías bucodentales. A pesar de ser tan común, muchos pacientes desconocen qué es realmente el sarro y por qué debemos prevenir su aparición. El sarro se identifica fácilmente como una pasta amarillenta o marrón que se adhiere a nuestros dientes, pero es en realidad la calcificación de la placa dental.
La placa se origina a través del contacto entre la saliva y las bacterias derivadas de los alimentos. Esta puede erradicarse fácilmente con un buen cepillado y mediante el uso complementario de hilo dental, enjuagues bucodentales, irrigadores y cualquier otro utensilio odontológico.
Diferencia entre Placa Bacteriana y Sarro Duro
La diferencia fundamental entre la placa bacteriana y el sarro duro radica en su composición y resistencia. Mientras que la placa bacteriana es una biopelícula blanda que puede eliminarse mediante el cepillado dental regular, el sarro duro presenta una estructura mineralizada que no puede removerse con métodos de higiene bucal convencionales.

Causas del Sarro Negro
- Mala higiene dental: La falta de cepillado y uso del hilo dental permite que la placa se acumule y se endurezca, formando sarro.
- Tabaco: Fumar o masticar tabaco es una de las principales causas del sarro negro.
- Enfermedad de las encías: El sarro que se acumula en la línea de las encías puede causar gingivitis, una forma leve de enfermedad de las encías.
- Dieta: La dieta rica en azúcares y carbohidratos refinados proporciona nutrientes abundantes para las bacterias orales, intensificando la producción de ácidos y la formación de placa bacteriana.
- Factores anatómicos y hábitos: La superficie lingual de los dientes inferiores representa una de las zonas más desafiantes para mantener una higiene bucal adecuada. La posición de la lengua, la limitada visibilidad durante el cepillado y la dificultad para maniobrar el cepillo en esta área contribuyen a una limpieza incompleta. Muchas personas concentran sus esfuerzos de higiene bucal en las superficies dentales más visibles, descuidando inadvertidamente las zonas posteriores y linguales.
La causa de su aparición es la falta de higiene en los dientes, provocando que los alimentos que se ingieren no logren ser extraídos ni erradicados por completo y se queden adheridos en la boca. Ocurre a causa de ciertos problemas dentales como caries o patologías periodontales, pero, sobre todo, por una mala higiene bucal.
Síntomas del Sarro Negro
Reconocer los síntomas del sarro negro en los dientes es crucial para tomar acción a tiempo. Algunos de los signos más comunes incluyen:
- Manchas negras o marrones en la superficie de los dientes
- Mal aliento persistente
- Encías sangrantes o inflamadas
- Sensibilidad dental
- Apariencia rugosa en la superficie de los dientes
Estos síntomas no solo afectan la estética de tu sonrisa, sino que también pueden indicar la presencia de enfermedades periodontales, que pueden llevar a problemas más graves si no se tratan a tiempo.
Consecuencias de no Tratar el Sarro Dental
El sarro dental puede causar multitud de problemas si no se trata, y es importante saber cómo puede afectar a tu salud bucal el hecho de ignorarlo. Cuanto más tiempo dejes que el sarro dental permanezca en tu boca, más bacterias se acumularán a su alrededor.
Estas bacterias pueden causar diversas enfermedades de las encías, como la gingivitis y la periodontitis, que son afecciones graves que pueden provocar dolor o incluso la pérdida de los dientes. No sólo eso, sino que los estudios también han relacionado el sarro dental no tratado con otros problemas sistémicos, como las enfermedades cardíacas y la diabetes.
Además, cuando la placa se deja en los dientes, puede empezar a corroer el esmalte. Esto provoca la decoloración de los dientes e incluso caries. El sarro dental también atrapa partículas de comida entre los dientes, lo que provoca mal aliento y un sabor desagradable en la boca.
Tratamientos para Eliminar el Sarro Negro
Eliminar el sarro negro requiere una combinación de tratamientos profesionales y cuidados personales en el hogar.
- Limpieza dental profesional: La forma más efectiva de eliminar el sarro negro es mediante una limpieza dental profesional realizada por un dentista o higienista dental.
- Raspado y alisado radicular: En casos de sarro subgingival (debajo de la línea de las encías), se puede requerir un raspado y alisado radicular. Para eliminar el sarro que ha crecido más profundamente debajo de los tejidos blandos que sostienen los dientes, es necesario un tratamiento distinto, que recibe el nombre de raspado y alisado radicular, o curetaje, que sí necesita anestesia local.
En Clínica Dental Letamendia, empleamos tecnología de ultrasonidos de última generación para quitar el sarro de los dientes de manera precisa y confortable. El proceso incluye también el uso de instrumental manual especializado (curetas) para el refinado de superficies radiculares y la eliminación de sarro en áreas de difícil acceso.
Cuando el sarro duro ha progresado causando gingivitis o enfermedad periodontal, en Clínica Dental Letamendia implementamos protocolos de tratamiento integral que pueden incluir curetajes radiculares, terapia antimicrobiana y seguimiento periodontal especializado.

¿Cómo Eliminar Sarro Dental?
La primera forma de eliminar el sarro es mediante buenos hábitos de higiene bucal, como cepillarse los dientes y usar el hilo dental con regularidad. Cepillarse los dientes dos veces al día durante dos minutos cada vez debería ayudar a aflojar la acumulación de placa para que no se convierta en depósitos más duros de sarro. Usar el hilo dental al menos una vez al día ayuda a eliminar las partículas de comida y la placa de entre los dientes, que puede convertirse en sarro si no se limpia.
Si el cepillado regular y el uso del hilo dental no parecen funcionar, hay otras formas de eliminar el sarro dental. Las limpiezas profesionales dos veces al año con tu dentista o higienista pueden reducir significativamente la acumulación de sarro. Durante estas visitas, tu profesional dental utilizará instrumentos especiales para eliminar el sarro que haya por encima y por debajo de la línea de las encías y que puedas haber pasado por alto durante el cuidado en casa.
Prevención del Sarro Negro
La prevención es clave para evitar la acumulación de sarro negro.
- Cepillado adecuado: Cepíllate los dientes al menos dos veces al día con una pasta dental fluorada.
- Uso de hilo dental: La utilización de hilo dental, enjuagues e irrigadores, entre otros, te ayudará a limpiar correctamente las áreas a las que, con un cepillado común, no puedes acceder: entre los dientes y bajo la línea gingival.
- Dieta balanceada: Limita el consumo de alimentos y bebidas azucaradas y pigmentadas.
- Visitas regulares al dentista: Programa limpiezas dentales profesionales y exámenes al menos dos veces al año. La frecuencia ideal para limpiezas dentales profesionales varía según cada paciente, pero generalmente recomendamos intervalos de seis meses.
- Técnica de cepillado: La prevención efectiva del sarro duro detrás de los dientes requiere una técnica de cepillado meticulosa que incluya movimientos específicos para alcanzar la superficie lingual de los dientes inferiores. El uso diario de hilo dental o cepillos interdentales es fundamental para eliminar la placa bacteriana de espacios que el cepillo no puede alcanzar.

Remedios Caseros para Tratar el Sarro Dental
Hay algunos remedios caseros de eficacia probada que seguramente te ayudarán a eliminar el molesto sarro dental en poco tiempo.
- Pasta de bicarbonato de sodio: Mezcla una cucharadita de bicarbonato de sodio con agua caliente hasta formar una pasta espesa. A continuación, cepíllate los dientes con la mezcla durante dos minutos antes de enjuagarte bien la boca.
- Vinagre de sidra de manzana: Mezcla partes iguales de vinagre de sidra de manzana y agua en una taza, y luego utilízalo como enjuague bucal durante dos minutos cada día, más o menos. Recuerda que no debes tragar esta mezcla.
- Oil pulling con aceite de coco: Haz buches con aceite de coco en la boca durante unos 15-20 minutos por sesión. El aceite ayuda a eliminar las bacterias y la placa que quedan en los dientes y las encías.
Advertencia: La mayoría de estos remedios caseros tienen en común una cosa: aplicarlos puede implicar un severo daño en el esmalte dental. Además, ninguna de estas recomendaciones para eliminar el sarro será efectiva sin una higiene dental completa de forma regular.
¿Por Qué se Acumula Sarro Duro Detrás de los Dientes Inferiores?
La anatomía oral explica por qué el sarro duro detrás de los dientes inferiores es tan común. Las glándulas sublinguales y submandibulares, ubicadas debajo de la lengua, secretan constantemente saliva rica en minerales directamente hacia la superficie lingual de los incisivos inferiores.
El sarro se acumula preferentemente en los dientes inferiores debido a su proximidad a las glándulas salivales sublinguales y submandibulares, que secretan minerales directamente hacia esta zona.
Te 𝙀𝙭𝙥𝙡𝙞𝙘𝙤 como 𝗤𝗨𝗜𝗧𝗔𝗥 el 𝗦𝗔𝗥𝗥𝗢 💩 de los DIENTES . Así LIMPIAN los DIENTES los DENTISTAS (3 𝗠𝗲𝘁𝗼𝗱𝗼𝘀)
El Sarro se Puede Eliminar de Manera Segura en el Consultorio Dental
El dentista o higienista usará herramientas de raspado dental o un dispositivo ultrasónico para retirarlo de los dientes, así como en/y por debajo del borde de las encías. Si le preocupa el coste, existen muchas opciones para obtener tratamientos dentales a precios accesibles, como por ejemplo en las facultades de Odontología.
Tabla Resumen: Sarro Negro en los Dientes
| Aspecto | Causas | Síntomas | Tratamientos | Prevención |
|---|---|---|---|---|
| Acumulación endurecida de placa bacteriana, color negro o marrón. | Mala higiene, tabaco, enfermedades de las encías, dieta alta en azúcares. | Manchas oscuras, mal aliento, encías inflamadas, sensibilidad dental. | Limpieza profesional, raspado y alisado radicular. | Cepillado, hilo dental, dieta balanceada, visitas regulares al dentista. |