En la actualidad, la búsqueda de una sonrisa perfectamente alineada es una preocupación común para muchas personas. Sin embargo, para muchos, la idea de corregir la alineación dental tradicionalmente ha estado asociada con la imagen de aparatos metálicos visibles y a menudo incómodos. Afortunadamente, existen alternativas innovadoras y discretas para lograr una sonrisa recta y saludable.

Alineación Dental sin Brackets: Una Alternativa Moderna
La alineación dental sin brackets es un enfoque innovador en odontología desde hace ya unos años que ofrece una alternativa discreta y cómoda para corregir la alineación de los dientes sin el uso de los tradicionales brackets metálicos. Esta opción es versátil y efectiva para corregir una amplia gama de problemas dentales, desde apiñamiento hasta problemas de mordida.
Problemas Dentales que se Pueden Corregir
- Apiñamiento dental: Se produce cuando los dientes están desalineados debido a la falta de espacio en la mandíbula.
- Separación entre los dientes (diastema): Puede corregirse mediante la alineación dental sin brackets.
- Problemas de mordida: Como la mordida cruzada, abierta o sobremordida, pueden tratarse con éxito mediante la alineación dental sin brackets.
- Mejora estética: Incluso aquellos que buscan mejorar la estética de su sonrisa sin problemas dentales graves pueden ser candidatos ideales para la alineación sin brackets.
Proceso de Alineación Dental sin Brackets
El proceso de alineación dental sin brackets sigue una serie de pasos para asegurar un tratamiento efectivo y personalizado:
- Evaluación inicial: Un ortodoncista experto evaluará la salud bucal y determinará la idoneidad del paciente para la alineación dental sin brackets.
- Diseño del plan de tratamiento: Se diseñará un plan de tratamiento personalizado que aborde las necesidades específicas del paciente.
- Fabricación de los alineadores transparentes: Los alineadores transparentes se fabricarán a medida para el paciente.
- Inicio del tratamiento: El paciente comenzará el tratamiento siguiendo las instrucciones proporcionadas por el equipo dental.
- Seguimiento regular: El paciente asistirá a visitas de seguimiento regulares.
- Seguimiento posterior al tratamiento: Se proporcionará al paciente un retenedor personalizado para ayudar a mantener los resultados a largo plazo.

Alineadores Transparentes: ¿Cómo Funcionan?
Los alineadores transparentes son dispositivos removibles que se fabrican a medida para cada paciente. Estos alineadores aplican presión gradual en los dientes para moverlos a la posición deseada. La duración del tratamiento varía según las necesidades individuales de cada paciente y la complejidad del caso. En general, el tratamiento suele durar entre 6 meses y 2 años.
Durante el tratamiento, es importante mantener una buena higiene bucal. Esto incluye cepillarse los dientes al menos dos veces al día, usar hilo dental regularmente y limpiar los alineadores según las instrucciones proporcionadas por el ortodoncista.
Si bien es posible experimentar cierta incomodidad al principio o después de cambiar a un nuevo juego de alineadores, el tratamiento de alineación dental sin brackets tiende a ser menos doloroso que los tratamientos tradicionales con brackets metálicos.
Los alineadores transparentes son removibles, lo que significa que se pueden quitar para comer y beber. Después de completar el tratamiento, se proporcionará al paciente un retenedor personalizado para ayudar a mantener los resultados a largo plazo.
Retenedores: Fijos y Extraíbles
Los retenedores son esenciales para mantener los dientes en su nueva posición después del tratamiento de ortodoncia. Existen dos tipos principales de retenedores:
- Retenedores fijos: Se sujetan con cemento dental a la cara interna de los dientes para evitar que se desplacen.
- Retenedores extraíbles: Son ideales para tratar de corregir la sonrisa, ya que es posible retirarlos en ocasiones especiales.

Aparatos para Enderezar los Dientes sin Brackets
Además de los alineadores transparentes y los retenedores, existen otros aparatos que pueden ayudar a enderezar los dientes sin brackets:
- Aparato de Herbst: Corrige las imperfecciones de la mandíbula para alinear la dentadura. Posibilita que la mandíbula se desarrolle hacia adelante para corregir la mordida.
- Arco facial: Ejerce presión sobre los dientes y el maxilar superiores, desplazando todo el conjunto hacia la posición correcta.
- Disyuntor de paladar: Se utiliza para ensanchar el arco dental superior si la boca infantil es demasiado pequeña para dar cabida a todos los futuros dientes adultos.
¿Es Posible Enderezar los Dientes de Forma Natural?
Aunque algunas personas exploran métodos naturales como la presión con la lengua o los dedos, estos enfoques carecen de la precisión y seguridad de los tratamientos profesionales. No hay garantía de que ningún tratamiento que no se base en tecnología dental comprobada funcione. Los métodos caseros suelen presentar riesgos y no ofrecen resultados visibles. Las opciones profesionales, como los alineadores transparentes, son más seguras y eficaces.
Técnicas No Médicas Comunes (y sus Riesgos)
- Presión con la lengua: Presione la lengua a lo largo de los lados de los dientes y contra el paladar con regularidad. Sin embargo, esta técnica no ofrece resultados estéticos notables.
- Ejercicios de masticación: Pueden ayudar a alinear los dientes y fortalecer los músculos mandibulares. Opte por alimentos que requieran una masticación abundante.
- Uso de hilo dental o ligas: Atar cuerdas o ligas puede ejercer una presión considerable sobre los dientes, pero no hay forma de controlar la fuerza aplicada. Esto puede provocar dientes flojos, astillados o rotos.
Si estás considerando hacer este bricolaje, podrías estar poniendo en peligro tu salud bucal y arriesgarte a perder uno o más dientes.
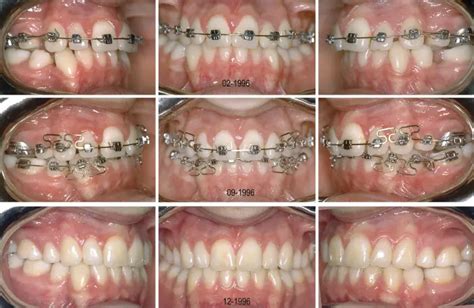
Brackets vs Invisibles | La verdad
Alineadores Transparentes: Una Opción Segura y Comprobada
Los alineadores transparentes ofrecen una forma segura y comprobada de enderezar sus dientes, a partir de precios accesibles. Estos alineadores transparentes personalizados son fáciles de limpiar y mantener. Al cepillarse los dientes, use agua tibia y un cepillo de dientes para limpiar sus alineadores transparentes. Recuerde usar sus alineadores por la noche. Siga las instrucciones que le proporcionamos.
Beneficios Adicionales de los Alineadores Transparentes
- Mejora de la higiene dental: Al optar por alineadores invisibles, los dientes se van colocando en su posición correcta, facilitando una limpieza dental más eficaz.
- Prevención del desgaste dental: Al corregir la mordida con alineadores invisibles, se distribuye de manera equitativa la presión ejercida sobre los dientes al masticar.
- Reducción de la inflamación de las encías: Una alineación correcta reduce las áreas de difícil acceso donde se acumulan las bacterias, disminuyendo así la inflamación y el riesgo de gingivitis y periodontitis.
- Comodidad y conveniencia: Otra gran ventaja de los alineadores invisibles es que son removibles, lo que permite a los pacientes mantener sus hábitos de higiene dental habituales sin la interferencia de brackets o alambres metálicos.
Preguntas Frecuentes
- ¿Es posible enderezar los dientes de forma natural? No, los métodos caseros suelen presentar riesgos y no ofrecen resultados visibles. Las opciones profesionales, como los alineadores transparentes, son más seguras y eficaces.
- ¿Cómo puedo enderezar mis dientes en casa? Las opciones para alinear los dientes en casa incluyen soluciones profesionales como los alineadores transparentes. Se deben evitar los métodos caseros como el hilo dental o las gomas elásticas debido a sus posibles riesgos.
- ¿Puedo empujar mis dientes hacia atrás con mis dedos? No, empujar los dientes con los dedos no es una forma efectiva de enderezarlos.
- ¿Puedo arreglar mis dientes sin brackets? Sí, puedes arreglar tus dientes sin aparatos tradicionales. Los alineadores transparentes son una excelente alternativa.
Ortodoncia Invisible: Una Opción Estética para Adultos
La ortodoncia invisible es una forma moderna de corrección dental, innovadora y discreta, sea cuál sea tu edad. En este tipo de tratamiento, los alineadores que se utilizan ofrecen la oportunidad de mejorar la alineación de tus dientes sin que apenas se note.
Causas de los Dientes Torcidos o Maloclusión
La mala posición de los dientes puede tener causas genéticas o ser causada por influencias externas. A menudo, son factores y hábitos a una edad temprana, los que pueden provocar una deformidad. Estos incluyen, por ejemplo:
- Dientes torcidos por el chupete
- Cuando la lengua presiona los dientes frontales
- Rechinar los dientes
- Chuparse los pulgares o masticar lápices
Sin embargo, las muelas del juicio también pueden ser responsables de que los dientes se muevan en la edad adulta.
Consecuencias de Tener Dientes Torcidos y Problemas de Maloclusión en Adultos
Los dientes torcidos o desalineados pueden causar varios problemas:
- La higiene bucal puede verse afectada por el apiñamiento dental.
- Una sobremordida en adultos puede hacer que sea difícil morder o masticar.
- Una mordida cruzada puede alterar la función de masticar y hasta hablar.
Conclusión
Si estás buscando mejorar la alineación de tus dientes de manera discreta y efectiva, los alineadores transparentes son una excelente opción. Consulta con un ortodoncista para determinar si este tratamiento es adecuado para ti y comienza tu camino hacia una sonrisa más recta y saludable.