¡Bienvenidos a nuestra guía completa sobre el Tac dental y su importancia en el diagnóstico de implantes dentales! Si estás considerando someterte a un procedimiento de implante dental, es fundamental entender qué es un Tac dental y cómo puede ayudar en el diagnóstico preciso y seguro para garantizar el éxito de tus implantes. En este artículo, exploraremos en detalle qué es un Tac dental, cómo se realiza y por qué se considera el mejor diagnóstico para implantes dentales. ¡Prepárate para descubrir todo lo que necesitas saber!

¿Qué es un Tac Dental?
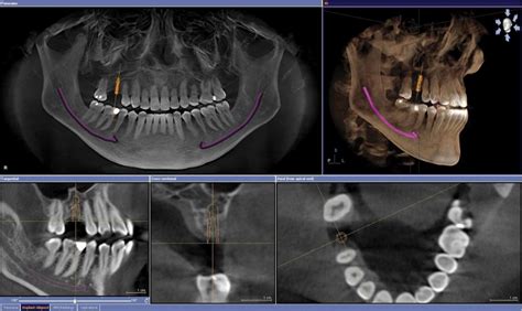
El Tac dental, también conocido como Tomografía Computarizada de Haz Cónico (CBCT, por sus siglas en inglés), es una técnica avanzada de imagen que proporciona una visión tridimensional detallada de la estructura oral y maxilofacial. A diferencia de las radiografías convencionales, el Tac dental ofrece una representación más precisa y completa de los tejidos, huesos y dientes en la boca.
El proceso de obtención de un Tac dental implica el uso de una máquina de rayos X especializada que toma múltiples imágenes en forma de cono alrededor de la cabeza del paciente. Estas imágenes se combinan mediante un software avanzado para generar una reconstrucción tridimensional de alta resolución. Esto permite a los profesionales de la odontología obtener una visión detallada de la mandíbula, el maxilar, los dientes, los nervios y otros tejidos circundantes.
¿Por qué el Tac Dental es el Mejor Diagnóstico para Implantes Dentales?
El Tac dental es una herramienta invaluable en el diagnóstico y planificación de implantes dentales. Proporciona una visión tridimensional detallada de la estructura oral y maxilofacial, lo que permite a los dentistas realizar una planificación precisa y segura de los implantes. Con su alta precisión, seguridad y capacidad de personalización del tratamiento, el Tac dental se ha convertido en el mejor diagnóstico para implantes dentales.

A continuación, se detallan las razones por las cuales el Tac dental es superior a otras técnicas:
Precisión y Detalle
El Tac dental proporciona una visión tridimensional precisa y detallada de los tejidos orales y maxilofaciales. Esto permite a los dentistas evaluar la densidad ósea, identificar estructuras anatómicas importantes y planificar con precisión la colocación de los implantes dentales.
Seguridad
Al obtener una visión completa de la estructura ósea y otros tejidos, el Tac dental ayuda a los dentistas a evitar complicaciones durante los procedimientos de implantes dentales. Pueden identificar la presencia de nervios, senos maxilares u otras estructuras que deben evitarse durante la cirugía, lo que minimiza el riesgo de lesiones y aumenta la seguridad del paciente.
Planificación Precisa
Con la información proporcionada por el Tac dental, los dentistas pueden planificar con precisión la posición y el ángulo de los implantes dentales. Esto les permite determinar el tamaño y el tipo de implante adecuados para cada paciente, lo que resulta en una colocación más precisa y una mayor tasa de éxito a largo plazo.
Personalización del Tratamiento
Cada paciente es único, y el Tac dental permite a los dentistas adaptar el plan de tratamiento de implantes dentales a las características específicas de cada individuo. Pueden evaluar la calidad y cantidad de hueso disponible, identificar patologías ocultas y adaptar el plan de tratamiento en consecuencia.
¿Cómo se Realiza un Tac Dental?
El procedimiento del TAC dental consta de varias etapas fundamentales que aseguran la obtención de imágenes precisas y detalladas para el posterior diagnóstico y tratamiento.
El procedimiento de obtención de un Tac dental es rápido y no invasivo.
- Preparación: Antes de realizar el Tac dental, es necesario que el paciente reciba instrucciones específicas para garantizar la calidad de las imágenes. Es posible que debas quitarte cualquier objeto metálico, como joyas o gafas, que puedan interferir con las imágenes. El dentista te proporcionará instrucciones específicas antes del procedimiento.
- Posicionamiento: Serás guiado por el técnico de radiología para colocarte en una posición adecuada. Durante este proceso, se posiciona al paciente de manera adecuada para obtener las imágenes tridimensionales necesarias. Es importante permanecer quieto durante la adquisición de imágenes para obtener resultados claros.
- Adquisición de imágenes: Una vez que estés correctamente posicionado, la máquina de rayos X girará alrededor de tu cabeza, tomando imágenes en forma de cono en diferentes ángulos. Es posible que te pidan que sostengas una mordida en una bandeja especial para obtener imágenes más precisas de tus dientes.
- Procesamiento de imágenes: Después de completar la adquisición de imágenes, estas son procesadas para obtener las vistas tridimensionales detalladas de los dientes, maxilares y estructuras circundantes. El software especializado procesará los datos para generar una reconstrucción tridimensional de alta resolución. Esto puede llevar unos minutos.
- Análisis y diagnóstico: Una vez que las imágenes estén disponibles, el dentista analizará y evaluará los resultados del Tac dental. Podrán identificar cualquier problema o anormalidad y utilizar la información para planificar el tratamiento de implantes dentales de manera precisa.
¿Cuáles son los Beneficios de un Tac Dental para el Paciente?
Uno de los aspectos fundamentales durante el procedimiento del TAC dental es la seguridad y comodidad del paciente. El TAC dental se ha convertido en una herramienta indispensable en diversas áreas de la odontología, permitiendo una evaluación detallada y precisa de las estructuras bucales.
El uso del Tac dental para el diagnóstico de implantes dentales ofrece varios beneficios significativos para los pacientes.

- Mayor precisión: Gracias a la visión tridimensional proporcionada por el Tac dental, los dentistas pueden realizar una planificación precisa y detallada de los implantes dentales. Esto reduce la posibilidad de errores y garantiza resultados más predecibles.
- Menor tiempo de tratamiento: Al tener una visión clara de la anatomía oral y maxilofacial, los dentistas pueden realizar procedimientos de implantes dentales de manera más eficiente. Esto puede reducir el tiempo total del tratamiento y minimizar el número de visitas necesarias.
- Mayor tasa de éxito: Con una planificación precisa y una colocación adecuada de los implantes dentales, la tasa de éxito a largo plazo aumenta significativamente. Los pacientes pueden disfrutar de implantes dentales duraderos y funcionales que mejoran su salud oral y calidad de vida.
- Menor riesgo de complicaciones: Al identificar estructuras anatómicas importantes, como nervios o senos maxilares, antes de la cirugía, el Tac dental ayuda a evitar complicaciones durante el procedimiento de implantes dentales. Esto garantiza la seguridad del paciente y reduce el riesgo de lesiones.
Preguntas Frecuentes sobre el Tac Dental
- ¿Cuánto tiempo se tarda en completar un Tac dental? El tiempo necesario para completar un Tac dental puede variar según el caso específico. Por lo general, el procedimiento en sí toma alrededor de 20 a 40 segundos.
- ¿Es seguro realizarse un Tac dental durante el embarazo? Si bien el Tac dental utiliza una cantidad mínima de radiación, se recomienda evitarlo durante el embarazo, especialmente durante el primer trimestre.
- ¿Es doloroso obtener un Tac dental? No, obtener un Tac dental no es doloroso. Es un procedimiento no invasivo que no causa molestias significativas.
- ¿Cuánto tiempo se tarda en obtener los resultados de un Tac dental? El tiempo necesario para obtener los resultados de un Tac dental puede variar. Por lo general, después de completar el procedimiento, las imágenes se procesan en un plazo de 24 a 48 horas.
- ¿Cuánto cuesta un Tac dental? El costo de un Tac dental puede variar según el lugar donde te encuentres y la clínica dental que elijas.
- ¿En qué otros escenarios se utiliza el Tac dental en odontología? El Tac dental se utiliza en varios escenarios en odontología, incluyendo la planificación de implantes dentales, la evaluación de la estructura ósea antes de la cirugía ortognática, el diagnóstico de patologías y enfermedades de la mandíbula y el maxilar, la evaluación de las vías respiratorias superiores en casos de ronquidos o apnea del sueño, y la evaluación de las articulaciones temporomandibulares (ATM) en casos de disfunción temporomandibular (DTM).
El Tac Dental en Diversas Áreas de la Odontología
- Implantología: El TAC dental es una herramienta clave para planificar la colocación de implantes dentales.
- Cirugía Maxilofacial: Para los procedimientos quirúrgicos en la zona maxilofacial, el TAC dental es esencial en la evaluación preoperatoria.
- Endodoncia: En el campo de la endodoncia, el TAC dental ofrece una visión detallada de la anatomía de los conductos radiculares, lo que es crucial para el éxito de los tratamientos de conductos.
- Ortodoncia: En el ámbito de la ortodoncia, el TAC dental es una herramienta de gran utilidad para la planificación de tratamientos.
Radiología Dental: Una Herramienta Esencial
La radiología es una herramienta esencial en el campo de la odontología, ya que permite obtener imágenes precisas y detalladas de los dientes y las estructuras maxilares. Se trata, por tanto, de una herramienta indispensable. Las radiografías dentales son fundamentales para el diagnóstico de patologías orales, ya que permiten identificar problemas que no son visibles a simple vista. Existen varios tipos de radiografías dentales, cada una con sus propias ventajas y aplicaciones.
La interpretación de las radiografías dentales es una habilidad clave para los profesionales de la odontología. Existen varios factores que pueden afectar la interpretación de las radiografías dentales. Uno de estos factores son las variaciones anatómicas presentes en cada paciente, que pueden dificultar la interpretación de las imágenes. Otro factor clave es la calidad de la imagen en sí. Una radiografía de baja calidad puede dificultar la interpretación y dar lugar a diagnósticos erróneos. Por último, la experiencia del profesional también influye en la interpretación de las radiografías dentales. La habilidad para interpretar correctamente las imágenes se desarrolla con la experiencia y la formación continua.
El procesamiento de las radiografías es un paso clave para obtener imágenes de calidad. Hay dos tipos de procesamiento: manual y automático. Para evitar errores en el procesamiento de las radiografías, es fundamental seguir las pautas de exposición y desarrollo, así como mantener un control de calidad adecuado.
Alternativas al Tac Dental
Las alternativas incluyen radiografías dentales convencionales, como las radiografías panorámicas y periapicales.
Videos Diarios de Tomografía Computarizada Cone Beam MPR Xelis Dental
Tabla Comparativa: Radiografías Convencionales vs. Tac Dental
| Característica | Radiografías Convencionales | Tac Dental |
|---|---|---|
| Dimensión | 2D | 3D |
| Precisión | Menor | Mayor |
| Detalle de Estructuras | Limitado | Alto |
| Planificación de Implantes | Menos Precisa | Más Precisa |
| Riesgo de Complicaciones | Mayor | Menor |
tags: #como #leer #una #tomografia #dental