El mal aliento, conocido clínicamente como halitosis, puede ser un problema incómodo y embarazoso. En muchos casos, el mal estado de las encías, como la gingivitis, puede ser una de las causas que potencien esta desagradable sensación.

¿Qué es la Gingivitis?
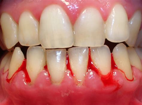
La gingivitis es una inflamación superficial de la encía que puede causar sangrado al cepillarse. En su fase inicial, el daño en las encías puede ser reversible. Los síntomas incluyen picor, encías rojas, hinchadas y sensibles.
En España, estudios publicados en la Revista del Ilustre Consejo General de Colegios de Odontólogos y Estomatólogos de España muestran que la prevalencia de enfermedad periodontal en adultos jóvenes (35-44 años) oscila entre el 24-26 %, correspondiendo el 4-5,5 % a la periodontitis severa. Es más común en mayores de 30 años, y generalmente afecta más a los hombres que a las mujeres.
Causas del Mal Aliento Relacionado con la Gingivitis
El mal aliento en realidad lo causan las bacterias de la boca. Estas bacterias descomponen las proteínas y liberan compuestos sulfurados volátiles (CSV), que desprenden mal olor. Una higiene oral inadecuada da lugar a la inflamación de las encías y a la formación de bolsas periodontales, que provocan un incremento en la proliferación de bacterias anaerobias gramnegativas.
Al igual que la salud de las encías afecta al aliento, también ocurre lo contrario: la halitosis puede incrementar el riesgo de que una persona desarrolle una enfermedad periodontal.

Otras Causas Comunes de Halitosis
- Mala higiene bucal: La finalidad de cepillar los dientes a diario es remover los restos de comida y la placa bacteriana.
- Prótesis removibles o dentaduras postizas.
- Boca seca: La saliva es una de las grandes ayudantes para evitar el mal aliento.
- Alimentos como el ajo y la cebolla.
- El tabaco.
- Infecciones en la boca, nariz y garganta.
- Medicamentos.
Tratamientos Profesionales para la Gingivitis y la Halitosis
La periodontitis requiere tratamiento por parte de un profesional de la salud dental. El tratamiento puede incluir una limpieza y pulido dental. El especialista dental también puede recetar medicamentos antimicrobianos para controlar las bacterias de la boca. El tratamiento de la halitosis dependerá de la causa subyacente, así que hable con su profesional de la salud bucodental para descubrir la mejor forma de actuar.
Antes de iniciar cualquier tratamiento, debemos saber a qué tipo de halitosis nos enfrentamos y determinar, en cada caso, a qué profesional debemos recurrir:
- La halitosis intraoral o pseudo-halitosis debe ser tratada por un odontólogo, que suele aconsejar la limpieza y pulido dental profesional, explicando y reforzando las instrucciones de higiene oral.
- La halitosis extraoral será tratada por un médico general o un especialista.
- Y la halitofobia, por un psiquiatra o psicólogo.
En el caso de que exista algún tipo de patología oral asociada, además de seguir todo el protocolo anterior, se debe tratar la patología bucodental existente, principalmente enfermedades periodontales, caries, prótesis mal ajustadas, obturaciones sobrecontorneadas, etc.
Por último, si la halitosis se asocia con sequedad bucal, no debemos olvidar mejorar esta condición mediante la hidratación y estimulación de la secreción adecuados, para lo cual también existen productos específicos.
Rutina de Cuidado Bucodental para Prevenir la Gingivitis y la Halitosis
Afortunadamente, mantener una rutina de cuidado bucodental eficaz y constante reduce el riesgo de enfermedad periodontal y halitosis.

Consejos para una Buena Higiene Bucal
- Cepillado de dientes: Es fundamental el cepillado de los dientes y de las encías después de cada comida. Con esto logramos reducir la cantidad de bacterias que se pueden quedar acumuladas tras la ingesta de alimentos. Dos minutos es el tiempo establecido en el que deberías usar el cepillo por todas las piezas dentales.
- Uso de hilo dental: El empleo de este recurso es básico para reducir tanto las bacterias como los sustratos, dado que la zona interdental es muy favorable para la acumulación de ambos, además de estar muy protegido. Es recomendable usarla al menos una vez al día y algunos dentistas recomiendan la noche como el momento idóneo para pasarla entre los dientes.
- Raspado lingual: Limpiar la lengua es algo fundamental. ¿Sabías que es el lugar más importante en la producción de gases sobretodo en personas con la boca completamente sana? Estos limpiadores se deben usar con suavidad unas dos veces al día, con unas dos o tres pasadas.
- Colutorios: Una vez que tomas el traguito de colutorio tras la limpieza, científicamente está probado que usarlo en forma de gárgara permite llegar lo más cerca posible a la faringe.
- Limpieza profesional: Las limpiezas profesionales son el mejor método de eliminar el sarro de los dientes y, si su gingivitis no ha ido a más, estas limpiezas podrán revertirla.
¿Cómo eliminar el mal aliento? 5 tips PROBADOS, En sólo 5 minutos
Remedios Caseros para Combatir el Mal Aliento
- Bicarbonato de sodio: El bicarbonato sódico posee propiedades antimicrobianas que ayudan a neutralizar el mal olor y posibles infecciones.
- Perejil: El perejil posee sustancias como la clorofila, que actúa eficazmente contra el mal aliento.
- Vinagre de manzana: El vinagre de manzana es un aliado eficaz para paliar el mal aliento gracias al ácido acético que contiene.
- Salvia: La salvia se ha utilizado como un poderoso antiinflamatorio durante siglos y puede ayudar a tratar la gingivitis.
- Cúrcuma: La cúrcuma es una especia antimicrobiana poderosa, utilizada durante siglos en curas tradicionales de salud de la India.
Importante: La finalidad de este artículo es fomentar la comprensión y el conocimiento de temas generales de salud oral. Su propósito no es sustituir la opinión, el diagnóstico o el tratamiento profesionales.