¿Te cepillas los dientes todos los días y aún así notas una especie de capa dura y amarillenta en tus dientes, sobre todo en la parte de abajo? Tranquila, no estás sola. El sarro dental, también llamado cálculo dental, es una placa bacteriana que se ha endurecido debido a los minerales presentes en la saliva.

Además de ser poco estético, puede ser perjudicial para nuestra salud en términos de aparición de caries, halitosis, gingivitis o periodontitis, entre otras afecciones. En este artículo, te contamos todo lo que necesitas saber sobre el sarro dental, cómo se forma, sus consecuencias, los tratamientos más efectivos para eliminarlo y los mejores productos para prevenirlo.
¿Qué es el Sarro Dental?
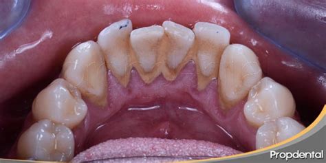
El sarro dental, también conocido como cálculo, es un depósito duro de color amarillento o marrón que se forma en los dientes. Está formado por partículas de comida, bacterias y otros microbios que se quedan atascados en nuestra boca y acaban calcificándose (endureciéndose). El sarro dental puede provocar la acumulación de placa y la enfermedad de las encías si no se trata.
Tipos de Sarro Dental
El sarro es un depósito mineral duro en los dientes que puede provocar enfermedades de las encías y caries si no se trata. Se presenta en dos formas:
- Sarro Supragingival: Se forma por encima de la línea de las encías.
- Sarro Subgingival: Reside por debajo de la línea de las encías.
Ambos deben ser eliminados cuidadosamente con herramientas de limpieza profesionales por un dentista o higienista cualificado. Así que, a pesar de su título poco glamuroso, el sarro dental requiere atención, así que no olvides pedir tu próxima cita con el dentista.
¿Qué Causa el Sarro en los Dientes?
La razón principal de la acumulación de sarro dental es una mala higiene bucal. Cuando las partículas de comida se quedan en los dientes después de comer, pueden quedar atrapadas entre ellos y, segundos después, se convierten en un material endurecido y calcificado.
El sarro dental está formado por minerales como el fósforo, el calcio y el magnesio que provienen de tu saliva y de otras fuentes. Cuando la saliva entra en contacto con las partículas de comida de los dientes, ayuda a convertirlas en sarro.
La genética también puede desempeñar un papel en la formación del sarro dental. Si tienes antecedentes familiares de acumulación de sarro, puedes ser más propenso a contraerlo tú mismo. Además, algunos medicamentos pueden provocar sequedad en la boca, lo que puede conducir a una mayor acumulación de sarro.
Algunas personas también tienen tendencia a generar sarro dental más fácilmente que otras. Además de la higiene, tiene que ver con el pH de la saliva. Cuando las personas tienen altos niveles de acidez, son propensas a las caries. Y si la saliva tiene un pH más bajo, es más probable que desarrolle sarro. Otros alimentos que hacen que se forme más placa y se oscurezcan son el vino, el café y el té negro.
Cómo Saber si Uno Tiene Sarro Dental
Lo primero es lo primero: mírate en el espejo. Si ves manchas descoloridas en tus dientes delanteros que no parecen desaparecer con el cepillado, puede ser un signo de sarro dental. El sarro dental tiene el aspecto de manchas amarillentas o vetas de color marrón oscuro a lo largo de la línea de las encías o en cualquier zona donde se acumulen partículas de comida.
Otra forma de saber si tienes sarro dental es palpar alrededor de los dientes con la lengua. El sarro dental se sentirá áspero y abrasivo, a diferencia de una superficie lisa cuando no tienes sarro.
La tercera forma de detectar el sarro dental es acudir a tu dentista para que te haga un examen profesional. El sarro dental puede ser difícil de ver, pero los dentistas tienen herramientas especiales que les permiten detectarlo fácilmente. El sarro dental nunca debe ignorarse, así que si crees que puedes tenerlo, no dudes en visitar a tu dentista.
Consecuencias de No Tratar el Sarro Dental
Si eres una de las muchas personas que piensan que el sarro dental no es más que una molestia, piénsalo bien. El sarro dental puede causar multitud de problemas si no se trata, y es importante saber cómo puede afectar a tu salud bucal el hecho de ignorarlo.
En primer lugar, cuanto más tiempo dejes que el sarro dental permanezca en tu boca, más bacterias se acumularán a su alrededor. Estas bacterias pueden causar diversas enfermedades de las encías, como la gingivitis y la periodontitis, que son afecciones graves que pueden provocar dolor o incluso la pérdida de los dientes. No sólo eso, sino que los estudios también han relacionado el sarro dental no tratado con otros problemas sistémicos, como las enfermedades cardíacas y la diabetes.
Además, cuando la placa (la sustancia que acaba por endurecerse y convertirse en sarro) se deja en los dientes, puede empezar a corroer el esmalte. Esto provoca la decoloración de los dientes e incluso caries. El sarro dental también atrapa partículas de comida entre los dientes, lo que provoca mal aliento y un sabor desagradable en la boca.
¿Qué es el Sarro Dental Negro?
Puede que hayas oído hablar de la frase "diente de negro", pero ¿sabías que en realidad puede estar causada por el sarro dental negro? El sarro dental es una forma de placa endurecida que se acumula en los dientes y puede causar decoloración.
Suele ser de color marrón o amarillo, pero en algunos casos puede volverse negro debido a ciertos factores, como tener una alta concentración de hierro en la saliva. El hierro presente en la saliva se une a ciertas bacterias que producen la pigmentación oscura. Este tipo de acumulación de placa puede aparecer en otras partes de los dientes, pero suele afectar a las muelas.

Afortunadamente, el sarro dental negro puede tratarse con una higiene bucal adecuada y una limpieza profesional por parte de un dentista. El cepillado regular y el uso del hilo dental son esenciales para eliminar la acumulación de placa en los dientes. Además, utilizar un enjuague bucal antiséptico o una pasta de dientes como parte de tu rutina diaria puede ayudar a prevenir la aparición de este problema.
Tu dentista también puede recomendar el raspado y el alisado radicular, que es un procedimiento utilizado para eliminar los depósitos endurecidos de la superficie de los dientes. El raspado consiste en eliminar la placa con instrumentos especiales, mientras que el alisado radicular alisa las zonas ásperas de la superficie de la raíz que son propensas a acumular bacterias.
¿Cómo Eliminar el Sarro Dental?
La primera forma de eliminar el sarro es mediante buenos hábitos de higiene bucal, como cepillarse los dientes y usar el hilo dental con regularidad. Cepillarse los dientes dos veces al día durante dos minutos cada vez debería ayudar a aflojar la acumulación de placa para que no se convierta en depósitos más duros de sarro. Usar el hilo dental al menos una vez al día ayuda a eliminar las partículas de comida y la placa de entre los dientes, que puede convertirse en sarro si no se limpia.
Si el cepillado regular y el uso del hilo dental no parecen funcionar, hay otras formas de eliminar el sarro dental. Las limpiezas profesionales dos veces al año con tu dentista o higienista pueden reducir significativamente la acumulación de sarro. Durante estas visitas, tu profesional dental utilizará instrumentos especiales para eliminar el sarro que haya por encima y por debajo de la línea de las encías y que puedas haber pasado por alto durante el cuidado en casa.
Raspado y Alisado Radicular
En algunos casos, tu dentista puede recomendar también un procedimiento llamado raspado y alisado radicular. Durante este proceso, se elimina el sarro de la superficie de los dientes y de debajo de la línea de las encías. Este tratamiento ayuda a reducir la inflamación y puede contribuir a mejorar la salud de las encías en las personas con una grave acumulación de placa o sarro.
En el caso de depósitos de sarro persistentes que no desaparecen con la limpieza habitual, tu dentista puede utilizar la tecnología láser para eliminarlos. Los láseres son muy precisos, por lo que pueden dirigirse sólo a la zona afectada sin dañar ninguna de las estructuras dentales sanas.
Independientemente del tipo de eliminación de sarro que elijas, es importante mantener unos buenos hábitos de higiene bucal para evitar que se formen nuevos depósitos en los dientes.
Cepillado
Además, los eliminadores de sarro de venta libre, como los enjuagues bucales y los dentífricos, pueden ayudar a mantener a raya los depósitos duros de sarro.
Remedios Caseros para Tratar el Sarro Dental
Existen algunos remedios caseros que sirven como solución para el tratamiento del sarro. Gracias a ellos no solo eliminaremos el sarro de nuestros dientes, sino que evitaremos su acumulación a futuro.
- Bicarbonato de Sodio: Es uno de los mejores remedios caseros para eliminar el sarro de los dientes. Deberás hacer una mezcla de dos partes de bicarbonato con una parte de sal, mezclándolo todo bien con un poco de agua. Moja el cepillo de dientes en la mezcla y pasarlo por las zonas donde se haya acumulado del sarro. (Es muy importante que recuerdes que después te tienes que enjuagar muy bien la boca, a ser posible con un irrigador dental, ya que no debe quedar ningún resto de bicarbonato puesto que al estar en contacto con él, puede llegar a dañar el esmalte).
- Zumo de Limón: El limón tiene numerosas propiedades bactericidas. Mezclaremos el zumo de medio limón con unos 150 ml de agua y lo utilizamos para enjuagar la boca. En el caso de limón, también puede dañar las piezas dentales debido a que se trata de un ácido, por lo que hay que enjuagar muy bien la boca después de su uso.
- Agua Oxigenada: Preparamos una mezcla con unos 100 ml de agua y 30 ml de agua oxigenada y nos enjuagamos con ella, logrando de esta forma desinfectar y eliminar el sarro. Recuerda enjuagar bien tu boca una vez hayas terminado.
Sin embargo, si intentamos eliminar el sarro dental con remedios caseros como aplicando vinagre o limón, solo conseguiremos dañar el esmalte de nuestros dientes, ya que estos productos resultan altamente abrasivos y perjudiciales. Como hemos mencionado, las limpiezas con limón, vinagre, bicarbonato de sodio, sal, etc. no son efectivas para eliminar el sarro y, además, pueden dañar seriamente el esmalte de nuestros dientes.
Importante: La mayoría de estos remedios caseros tienen en común una cosa: aplicarlos puede implicar un severo daño en el esmalte dental. Además, ninguna de estas recomendaciones para eliminar el sarro será efectiva sin una higiene dental completa de forma regular.
Higiene Bucal Diaria
Es importante cepillarse los dientes después de cada comida, utilizando un cepillo de dureza media y una pasta dentífrica de calidad. Se recomienda utilizar el hilo dental al menos una vez al día.
¿Qué Hago si Ya se me ha Formado Sarro?
La placa bacteriana, una vez que se endurece y transforma en sarro, sólo puede eliminarse en el dentista, mediante una profilaxis o limpieza dental. Los aparatos sónicos y ultrasónicos que utilizamos los dentistas producen ondas vibratorias que rompen el sarro de la superficie del diente sin afectar en absoluto al esmalte.
¿Qué Usan los Dentistas para Quitar el Sarro?
La manera más habitual de eliminar el sarro es con aparatos ultrasónicos que producen vibración y ayudan a fragmentar esas placas de sarro generadas. Las curetas es otra herramienta común que se utiliza también para eliminarlo. Son pequeños ganchos que utiliza la fuerza mecánica para sacar toda la placa adherida al diente. Este procedimiento se realiza mediante un instrumental adecuado, sin dañar el esmalte dental.
¿Cuántas Veces es Recomendable Hacerse una Limpieza Dental?
La limpieza dental es un tratamiento indoloro y muy sencillo que dura aproximadamente 30 minutos, dependiendo siempre del sarro y la placa que haya que eliminar. Los odontólogos recomiendan realizar una limpieza dental como mínimo una vez al año, aunque lo ideal es hacerlo cada 6 meses para mantener nuestra salud bucal.
Además, aquellos pacientes que estén realizándose un tratamiento de ortodoncia deberán extremar aún más las precauciones en su limpieza y a lo mejor requieren limpiezas profesionales con más frecuencia.
Prevención del Sarro: El Mejor Remedio Casero
En el caso del sarro, el mejor ataque es una buena defensa. El único remedio casero contra el sarro es la prevención, es decir, cumplir con una buena higiene oral en casa para evitar que aparezca.
Es por eso que la mejor técnica de limpieza es el paso anterior, cepillándonos 3 veces al día y empleando cada día el hilo dental o los cepillos interdentales que nos ayuden a eliminar los restos de comida que se quedan en nuestra boca y a los que el cepillo de dientes no llega.
Es especialmente importante no olvidarnos de los espacios interproximales, entre diente y diente, para lo que podemos utilizar el hilo dental o los cepillos interproximales, al menos una vez al día.

También es fundamental recordar que tu alimentación también es fundamental para prevenir la aparición del sarro. Come muchas manzanas y zanahorias, y evita, en la medida de lo posible, el pan de molde.
Cuidar la alimentación llevando una dieta saludable y equilibrada nos ayudará a mantener una buena salud dental.
Consejos Adicionales para una Buena Higiene Bucal
- Cepillarse los dientes al menos tres veces al día te ayudará a mantener a raya la acción de las bacterias de los alimentos que ingieres.
- Es especialmente importante no olvidarnos de los espacios interproximales, entre diente y diente, para lo que podemos utilizar el hilo dental o los cepillos interproximales, al menos una vez al día.
- Usar el hilo dental: sí, todos los días!
Conclusión
El sarro dental es un problema común que se puede prevenir manteniendo una buena higiene bucodental y realizando visitas regulares al dentista. Recuerda que una vez formado, el sarro requiere herramientas profesionales para su eliminación.
Sea cual sea el remedio que decidas probar, es importante recordar que ninguno sustituye a una higiene dental adecuada y a las revisiones periódicas con tu dentista. Así que asegúrate de cepillarte los dientes dos veces al día y de usar el hilo dental a diario, además de utilizar cualquiera de estos remedios caseros para el sarro dental.
Por suerte, evitar la formación de sarro es muy fácil y está al alcance de todos. ¡Te contamos cómo hacerlo!
Algunos consejos útiles para prevenir la aparición del sarro:
- Cepillarse los dientes al menos dos veces al día con pasta dental con flúor.
- Usar hilo dental diariamente para eliminar la placa entre los dientes.
- Visitar al dentista regularmente para limpiezas profesionales.
- Mantener una dieta equilibrada y limitar el consumo de alimentos azucarados.
- Considerar el uso de enjuagues bucales antibacterianos.

Vamos a ser muy directos: no existen trucos ni productos “milagro” antisarro. A poco que busques en Internet, encontrarás cientos de remedios caseros para eliminar el sarro de los dientes, la mayoría con bicarbonato, limón o agua oxigenada entre sus componentes. Sin embargo, ninguno de estos remedios va a hacerle ningún favor a tu boca, sino todo lo contrario, sobre todo si recurres a ellos con frecuencia.
Como eliminar el Sarro de los Dientes Con remedios Caseros
Tabla Comparativa de Métodos para Eliminar el Sarro Dental
| Método | Eficacia | Riesgos | Profesional Necesario |
|---|---|---|---|
| Cepillado y Hilo Dental | Preventivo | Bajo | No |
| Limpieza Profesional | Alta | Bajo | Sí |
| Raspado y Alisado Radicular | Alta (en casos avanzados) | Posible sensibilidad | Sí |
| Remedios Caseros (Bicarbonato, Limón) | Baja | Daño al esmalte | No |