¿Alguna vez has sentido un dolor agudo en la boca que no desaparece? Habitualmente, este clase de molestias se asociada a una muela picada, un problema común pero serio que afecta a muchos pacientes. En este artículo, te explicamos qué hacer si tienes una muela picada y cómo prevenir su aparición en un futuro para mantener tu salud bucal en óptimas condiciones.

¿Por qué se pican las muelas?
Las muelas se pueden picar por varios motivos, siendo la caries uno de los más frecuentes. Este deterioro es causado por ácidos producidos por las bacterias de la placa, que erosionan el esmalte dental. También influye el consumo excesivo de alimentos azucarados o ácidos, una higiene bucal deficiente o las fisuras en los dientes.
Las caries surgen normalmente por una limpieza bucal deficiente. En nuestra boca se encuentra la placa bacteriana, que cubre todos los dientes. Hay que retirar diariamente la placa mediante el cepillado y, cuando no se hace, se empieza a formar el sarro, una especie de capa amarillenta que cubre visiblemente los dientes. Si se forma el sarro, el cepillado se vuelve ineficiente y, si no se acude a un profesional para retirarlo, se formarán las caries.
La caries dental ocurre por una desmineralización del esmalte producida por diferentes bacterias que habitan en la cavidad oral, como es el Streptococus Mutans. Estas bacterias se alimentan de los hidratos de carbono (azúcares), los fermentan y generan unos ácidos que producen la desmineralización del esmalte.
La caries dental es una enfermedad multifactorial, varios factores causan caries, como son el huésped, la dieta y los microorganismos. Estos factores al unirse a una mala higiene oral, originan la caries dental. Una mala higiene oral, que permite una acumulación de restos de alimentos en los surcos y grietas de los dientes y molares.
La placa bacteriana se acumula sobre la superficie de los dientes, causando su desmineralización. En las primeras etapas, afecta únicamente al esmalte y la dentina, provocando sensibilidad dental y los conocidos agujeros de las caries o dientes picados. Sin embargo, a medida que avanza y se aproxima a la pulpa dental, puede causar dolor.
La formación de una muela picada, o caries dental, es el resultado de una combinación de factores que interactúan entre sí. Los principales son:
- Placa bacteriana: La placa bacteriana es una película pegajosa que se forma constantemente sobre los dientes como resultado de la interacción de las bacterias presentes en la boca con los restos de alimentos. Estas bacterias se alimentan de los azúcares presentes en los alimentos y producen ácidos como subproducto.
- Acción de los ácidos: Los ácidos producidos por las bacterias atacan el esmalte dental, la capa más externa y dura del diente. Con el tiempo, este ataque constante debilita el esmalte, creando pequeñas cavidades o caries.
- Dieta rica en azúcares: El consumo frecuente de alimentos y bebidas azucaradas proporciona a las bacterias la fuente de energía que necesitan para producir ácidos y acelerar el proceso de desmineralización del esmalte.
- Falta de higiene bucal: No cepillarse los dientes de forma adecuada y regular permite que la placa bacteriana se acumule y las bacterias proliferen, aumentando el riesgo de caries.
- Falta de flúor: El flúor es un mineral que ayuda a fortalecer el esmalte dental y a hacer que los dientes sean más resistentes a los ácidos. La falta de flúor en la dieta o en los productos de higiene bucal puede aumentar la susceptibilidad a las caries.
- Sequedad bucal: La saliva ayuda a neutralizar los ácidos producidos por las bacterias y a eliminar los restos de alimentos. La disminución del flujo salival, ya sea por causas médicas o por el uso de ciertos medicamentos, puede favorecer la aparición de caries.
- Factores genéticos: La susceptibilidad a las caries puede tener un componente genético. Algunas personas pueden tener un esmalte dental más débil o una composición salival que los hace más propensos a desarrollar caries.
Charla para niños sobre salud bucal
¿Cuáles son los síntomas de una muela picada?
Los síntomas de una muela picada varían desde dolor dental agudo y persistente, sensibilidad extrema a lo caliente o frío, hasta inflamación alrededor del diente y mal aliento. Si notas alguno de estos síntomas, es importante visitar a un dentista para que pueda encontrar la mejor solución posible:
- Dolor: El síntoma más evidente de una muela picada es el dolor dental. Este puede variar desde una molestia leve hasta un dolor intenso y punzante. El dolor puede ser constante o puede aparecer solo en respuesta a ciertos estímulos y puede aumentar al masticar o al aplicar presión sobre el diente afectado.
- Sensibilidad a temperaturas extremas: La muela picada a menudo se vuelve muy sensible a alimentos y bebidas frías o calientes. Este síntoma ocurre porque la caries ha erosionado el esmalte y ha expuesto la dentina, una parte del diente que es más sensible a las temperaturas debido a sus conexiones con el nervio dental.
- Sensibilidad a alimentos ácidos: Similar a la sensibilidad térmica, los dientes con caries pueden reaccionar fuertemente a sabores dulces o ácidos. Este tipo de sensibilidad puede causar un dolor agudo y breve cuando se consume este tipo de alimentos.
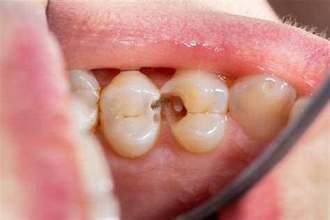
- Cambios en el color de los dientes: Una muela picada puede mostrar signos visibles de daño, como manchas oscuras, marrones o negras en la superficie del diente. Estas manchas son áreas donde el esmalte ha sido destruido y la estructura interna del diente se está deteriorando.
- Mal aliento: La presencia de caries en una muela puede llevar a un aumento de las bacterias en la boca, lo que a menudo resulta en mal aliento o un sabor desagradable. Este síntoma puede ser particularmente notable debido a la descomposición de los alimentos atrapados en la cavidad dental.
Una muela picada suele causar dolor al masticar, sensibilidad al frío o calor, y aparición de manchas oscuras. Los síntomas de una muela picada pueden variar en intensidad, y reconocerlos a tiempo puede ayudar a evitar complicaciones.
Una muela picada puede manifestarse de diversas formas, pero los síntomas más comunes son:
- Dolor dental
- Sensibilidad dental: las caries pueden causar sensibilidad al frío, calor, dulces o alimentos ácidos. Este síntoma se produce cuando la cavidad expone la dentina, una capa más profunda del diente que contiene diminutos túbulos que conducen al nervio.
- Manchas en los dientes: las caries pueden causar manchas blancas, marrones o negras en la superficie del diente, especialmente en las zonas afectadas.
- Mal aliento: las bacterias que causan las caries pueden producir compuestos de azufre que causan mal aliento persistente.
- Mal sabor de boca: un sabor desagradable en la boca también puede ser un signo de caries.
- Inflamación de las encías: en casos avanzados, la infección causada por la caries puede extenderse a las encías, provocando enrojecimiento, hinchazón y dolor.
- Dolor en el oído: en ocasiones, el dolor de una muela picada puede irradiarse hacia el oído.
- Dolor de cabeza: en algunos casos, una infección dental puede causar dolor de cabeza.

Tratamientos para muelas picadas
La única forma de curar una muela picada es mediante un tratamiento en el dentista. El tratamiento para una muela picada puede incluir desde empastes, si el daño es leve, hasta endodoncias o incluso extracciones cuando el daño es irreparable.
El tratamiento para una muela picada dependerá de la gravedad de la caries y de la extensión del daño en el diente. A continuación, te detallamos las opciones más comunes:
- Obturación o empaste dental: Es el tratamiento más común y se utiliza cuando la caries es superficial. El dentista elimina la parte afectada del diente y la rellena con un material de relleno, como la resina compuesta, para restaurar la forma y función del diente.
- Endodoncia: Si la caries ha alcanzado la pulpa dental, se realiza una endodoncia. Este tratamiento consiste en eliminar la pulpa infectada, limpiar los conductos radiculares y sellarlos. Después, se coloca una corona dental para proteger el diente.
- Extracción dental: En casos muy avanzados, cuando el diente está muy dañado o la infección es extensa, puede ser necesaria la extracción del diente. Posteriormente, se pueden considerar opciones como un implante dental, un puente o una dentadura postiza para reemplazar el diente perdido.
| Tratamiento | Descripción | Cuándo se utiliza |
|---|---|---|
| Obturación o empaste | Eliminación de la caries y relleno con material dental. | Caries superficiales. |
| Endodoncia | Eliminación de la pulpa infectada y sellado de conductos. | Caries que alcanzan la pulpa dental. |
| Extracción dental | Remoción del diente dañado. | Casos de daño extenso o infección grave. |
Consecuencias de no tratar una muela
Ignorar una muela picada puede tener consecuencias graves para tu salud bucal y general. A continuación, te detallamos algunas de las posibles complicaciones:
- Infección de la pulpa dental: la pulpa es la parte viva del diente que contiene nervios y vasos sanguíneos. Si la caries alcanza la pulpa, puede producirse una infección, causando dolor intenso y sensibilidad.
- Absceso dental: una infección no tratada puede propagarse y formar un absceso dental, que es una bolsa de pus que se acumula en la raíz del diente. Los abscesos pueden causar dolor intenso, hinchazón en la cara, fiebre y mal aliento.
- Pérdida del diente: si la infección no se trata, puede destruir el hueso que sostiene el diente, lo que finalmente puede llevar a la pérdida del diente.
- Enfermedad periodontal: las bacterias de una caries no tratada pueden propagarse a las encías y al hueso que sostiene los dientes, causando enfermedad periodontal. Esta enfermedad puede provocar la pérdida de hueso y, en última instancia, la pérdida de dientes.
- Dificultad para masticar: una muela picada puede dificultar la masticación de los alimentos, lo que puede afectar tu nutrición y desarrollar más caries.
- Problemas en otros dientes: las bacterias de una caries pueden propagarse a otros dientes, aumentando el riesgo de desarrollar más caries.
- Problemas de salud sistémicos: en algunos casos, las infecciones dentales pueden propagarse a otras partes del cuerpo, causando problemas de salud más graves, como endocarditis (infección del revestimiento interno del corazón) o abscesos en otros órganos.
Más vale prevenir que curar
Mantener una rutina de higiene bucal rigurosa es esencial; cepilla tus dientes al menos dos veces al día y utiliza hilo dental diariamente.
Para evitar todo este tipo de problemas debes mantener una correcta rutina de higiene oral. Con ellos evitamos la acumulación de restos de comida para que las bacterias no se aprovechen y generen las caries.
Una buena higiene bucal y hábitos saludables son fundamentales para prevenir la aparición de caries.
Existen varias formas de prevenir el dolor de muelas:
- Usar cepillos de dientes de consistencia suave o media.
- Hilo dental y colutorio o enjuague bucal.
- Enjuague de agua tibia y sal.
En la prevención de la caries dental, es fundamental que los padres comuniquen y enseñen a sus hijos la importancia de unos dientes limpios y una boca sana. Así, pueden guiarles en el cepillado y en el uso del hilo dental cuando estos tengan la edad suficiente para utilizarlo.
Cada niño tiene una curva de aprendizaje diferente y para ayudarle a entender que la higiene oral es imprescindible, recomendamos que se realice la actividad del cepillado dental en familia. Así, prevenir los dientes picados se convertirá en parte del día a día.
Consejos para evitar la aparición de caries:
- Cepillado correcto después de cada comida. Se puede emplear hilo dental para limpiar los espacios entre dientes.
- Cambio del cepillo dental. Cada tres meses, es recomendable sustituirlo para evitar la acumulación de bacterias.
- Alimentación saludable. Limitando la ingesta de azúcares y almidones se puede contribuir a evitar el desarrollo de dientes picados.
- Revisiones periódicas en el dentista. Al menos una vez al año para evitar tratamientos mayores y lograr un diagnóstico precoz.