En el mundo de la higiene bucal, el cepillado y el uso de hilo dental con regularidad son cosas que no pueden faltar para mantener unos dientes sanos. Aún así, la placa puede acabar haciendo que tus dientes luzcan amarillos y provocando todo tipo de problemas. La placa es como ese invitado no invitado que simplemente no se va.

¿Qué es la Placa Dental?
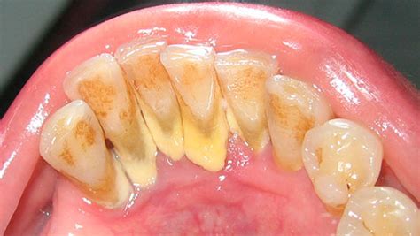
La placa es una película de bacterias pegajosa e incolora que se forma en los dientes y las encías. Es el resultado de una acumulación de bacterias que se producen naturalmente en la boca. La principal causa de la placa es la acumulación de bacterias en la boca. La boca alberga una gran cantidad de bacterias, y cuando estas bacterias se combinan con partículas de alimentos, saliva y otras sustancias en la boca, pueden formar una película pegajosa en los dientes y las encías.
Algunos factores que contribuyen a la formación de placa incluyen una mala higiene bucal, una dieta rica en azúcar y carbohidratos, sequedad de boca y ciertas afecciones médicas que afectan la producción de saliva. Si la placa no se elimina regularmente mediante una higiene bucal adecuada, puede endurecerse y convertirse en sarro, que sólo puede ser eliminado por un dentista o higienista dental. Fumar y consumir tabaco también pueden contribuir a la formación de placa y aumentar el riesgo de enfermedad de las encías.
Remedios Caseros para Combatir el Sarro Dental
Recuerda que la mejor manera de eliminar la placa dental y el sarro con seguridad y eficacia es visitando a tu dentista. Mientras esperas tu cita, puedes usar estos remedios caseros:
1. Cepilla Regularmente con Bicarbonato de Sodio
El bicarbonato de sodio es un abrasivo natural que puede ayudar a eliminar la placa de los dientes, ¡Pero cuidado, también podría dañar el esmalte! Mezcla una cucharadita de bicarbonato de sodio con unas gotas de agua hasta formar una pasta. Utilice la pasta para cepillarse los dientes durante 2 o 3 minutos y luego enjuáguelos bien con agua. El bicarbonato de sodio también puede ayudar a blanquear los dientes y refrescar el aliento.
2. Enjuague con Aceite
La extracción de aceite es una práctica antigua que consiste en hacer buches con aceite en la boca durante unos minutos para eliminar toxinas y bacterias. Un estudio encontró que el enjuague con aceite de coco puede reducir significativamente la placa y la gingivitis.
3. Utilice Vinagre de Manzana
El vinagre de sidra de manzana es un ácido natural que puede ayudar a disolver la placa de los dientes. Mezcle una cucharada de vinagre de sidra de manzana con una taza de agua y agítelo en la boca durante 1 o 2 minutos, luego enjuáguelo con agua. Sin embargo, tenga cuidado de no abusar del vinagre de sidra de manzana, ya que también puede dañar el esmalte dental si se usa con demasiada frecuencia. Recuerda que la acidez del vinagre puede dañar tu esmalte.
4. Masticar Chicle sin Azúcar
Masticar chicle sin azúcar puede ayudar a estimular la producción de saliva, lo que puede ayudar a eliminar la placa y las bacterias. Un estudio encontró que masticar chicle sin azúcar durante 20 minutos después de las comidas reducía significativamente la placa y prevenía las caries.
5. Masaje con Sal y Aceite de Mostaza
La sal y el aceite de mostaza son un remedio tradicional indio para la salud bucal. Un estudio encontró que el uso de una mezcla de sal y aceite de mostaza como enjuague bucal redujo significativamente la placa y la gingivitis. Mezcla una cucharadita de sal con una cucharada de aceite de mostaza y haz buches con la mezcla en la boca durante unos minutos antes de escupirla y enjuagar con agua.
Aparte de estos remedios caseros, es importante llevar una dieta saludable que también pueda ayudar a prevenir la acumulación de placa en los dientes. Evita los alimentos azucarados y con almidón, que pueden promover el crecimiento bacteriano.
Cómo Evitar el Sarro en los Dientes de Forma Natural
Si te preguntas cómo evitar el sarro en los dientes de forma natural, ten en cuenta los siguientes puntos:

- Cepilla tres veces al día: Es importante cepillarse los dientes después de cada comida para prevenir la acumulación de placa y la formación de sarro. Cepillarse los dientes con una pasta de dientes con flúor durante dos minutos ayuda a eliminar la placa y las bacterias.
- Utiliza una pasta con flúor: El flúor ayuda a fortalecer el esmalte dental y prevenir la formación de caries. Las pastas de dientes con flúor también pueden ayudar a prevenir la acumulación de sarro en los dientes.
- Usa hilo dental: El hilo dental ayuda a eliminar la placa y los restos de comida que se acumulan entre los dientes, lo que ayuda a prevenir la acumulación de sarro.
- Emplea enjuague bucal: Los enjuagues bucales con agentes antibacterianos pueden ayudar a reducir la cantidad de bacterias en la boca, lo que puede prevenir la formación de sarro.
- Lleva una dieta equilibrada: Una dieta equilibrada, baja en azúcares y rica en frutas y verduras, puede ayudar a prevenir la formación de sarro. Además, es importante evitar el consumo excesivo de alimentos y bebidas ácidas, ya que pueden debilitar el esmalte dental.
- Evita el tabaco y el alcohol: Fumar y consumir alcohol en exceso pueden debilitar el esmalte dental y favorecer la acumulación de sarro. Es importante evitar estos hábitos para mantener una buena salud bucal y prevenir problemas como la caries y la enfermedad periodontal.
Tratamiento Profesional para Limpiar el Sarro en los Dientes
Para limpiar sarro dientes tratamiento más común es una limpieza bucodental o un curetaje dental.
Limpieza Bucodental
La limpieza bucodental es un procedimiento que se realiza en la consulta del dentista y consiste en limpiar sarro dientes acumulado y encías mediante el uso de instrumentos específicos como curetas y ultrasonidos. Este proceso no es doloroso, aunque puede provocar cierta sensibilidad dental. El profesional también puede realizar un pulido dental para alisar la superficie dental y prevenir la acumulación de placa bacteriana.
Curetaje Dental
El curetaje dental es un tratamiento más invasivo que se realiza cuando el sarro se ha acumulado en zonas más profundas de las encías, llegando al hueso alveolar y provocando inflamación o infección. Se utiliza anestesia local para poder llegar a esas zonas y se procede a raspar el sarro con la ayuda de curetas y otros instrumentos.
¿Acumulas mucho sarro dental? Evítalo así. Te lo explico rápido y fácil.
Consecuencias de la Aparición del Sarro en Dientes
Es fundamental eliminar sarro de los dientes para evitar:
- Halitosis: El sarro acumulado en los dientes puede provocar mal aliento. Esto se debe a que el sarro alberga bacterias que producen compuestos sulfurados volátiles, responsables del mal olor.
- Pigmentación de los dientes: El sarro, al acumularse en los dientes, puede provocar manchas y decoloración, lo que afecta negativamente la apariencia estética de la sonrisa.
- Inflamación de encías: El sarro puede acumularse debajo de las encías, lo que puede provocar inflamación y enrojecimiento de las mismas. A medida que el sarro se acumula, la inflamación puede agravarse y provocar gingivitis.
- Enfermedades periodontales: Si el sarro no se elimina a tiempo, puede producir enfermedades periodontales como la periodontitis, que puede llevar a la pérdida de los dientes. Esto se debe a que el sarro acumulado debajo de las encías puede destruir el hueso y el tejido conectivo que sostienen los dientes.
Mitos sobre los Remedios Caseros para el Sarro
Vamos a ser muy directos: no existen trucos ni productos “milagro” antisarro. A poco que busques en Internet, encontrarás cientos de remedios caseros para eliminar el sarro de los dientes, la mayoría con bicarbonato, limón o agua oxigenada entre sus componentes. Sin embargo, ninguno de estos remedios va a hacerle ningún favor a tu boca, sino todo lo contrario, sobre todo si recurres a ellos con frecuencia.
Si has leído que cepillándote los dientes a diario con bicarbonato acabarás con el sarro o tártaro dental, nuestra recomendación es que no lo hagas. El bicarbonato puede erosionar tus dientes, provocando otros daños más graves en tu sonrisa. Ocurre lo mismo con el vinagre y otros ácidos comunes. Para lavarte los dientes solo debes utilizar productos recomendados por los profesionales de la salud dental, como la pasta dentífrica, los reveladores de placa y los colutorios orales.
Tabla Resumen de Remedios Caseros y su Efectividad
| Remedio Casero | Ingredientes | Efectividad | Precauciones |
|---|---|---|---|
| Bicarbonato de Sodio | 1 cucharadita de bicarbonato, agua | Ayuda a eliminar la placa | Puede dañar el esmalte si se usa en exceso |
| Enjuague con Aceite de Coco | Aceite de coco | Reduce placa y gingivitis | Requiere uso constante |
| Vinagre de Manzana | 1 cucharada de vinagre, 1 taza de agua | Disuelve la placa | Puede dañar el esmalte si se usa en exceso |
| Masaje con Sal y Aceite de Mostaza | 1 cucharadita de sal, 1 cucharada de aceite de mostaza | Reduce placa y gingivitis | Puede tener un sabor fuerte |
Recuerda que la prevención es clave. Cumplir con una buena higiene oral en casa para evitar que aparezca el sarro es fundamental. Es especialmente importante no olvidarnos de los espacios interproximales, entre diente y diente, para lo que podemos utilizar el hilo dental o los cepillos interproximales, al menos una vez al día.