En la búsqueda de una salud bucal óptima, el hilo dental se presenta como un complemento esencial para el cepillado diario. En Clínica Dental Parque lo hemos dicho muchas veces: es importante conocer cuándo y cómo usar el hilo dental para poder incorporarlo correctamente a la rutina de higiene bucal. Aunque generalmente se crea que con cepillarnos los dientes después de cada comida es suficiente para cuidar de nuestra salud dental, no siempre es así. En muchos casos, los problemas dentales como la caries dental o la enfermedad periodontal se pueden prevenir con una buena práctica de higiene bucodental.
El uso correcto del hilo dental nos garantiza una limpieza completa, ya que éste, es uno de los complementos para el cepillado diario de nuestros dientes. Por eso, el hilo dental se convierte en el compañero ideal para eliminar los restos de comida y prevenir la acumulación de placa bacteriana. La idea es llegar a los lugares donde el cepillo de dientes no llega.
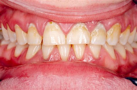
El hilo dental es una hebra muy fina (generalmente de seda o nylon) que se introduce entre los dientes para eliminar restos de comida y bacterias que se acumulan en ese lugar. Las bacterias producen ácidos que atacan el esmalte e irritan las encías.
Si no las eliminamos pueden provocar serios problemas como periodontitis y caries que pueden derivar en la pérdida de piezas dentales. La caries es un daño (o hueco) en la superficie de la pieza dental. La periodontitis es una infección grave de las encías que si no la tratamos puede destruir el hueso que rodea a la raíz del diente.
El cepillado por sí solo no elimina toda la placa bacteriana acumulada en la zona interdental.

¿Quién Debe Usar Hilo o Seda Dental?
En términos generales, todas las personas deberían utilizar el hilo dental para completar su higiene bucodental diaria. De esta manera, se obtiene una limpieza más profunda y eficaz. Los restos de alimentos y bacterias, se acumulan en todos los espacios interdentales dando lugar a la placa bacteriana.
Esta acumulación puede ser más peligrosa ante el desconocimiento del paciente, es decir, cuando no padece molestias por el hecho de sentir la presencia de un pequeño pedazo de comida entre los dientes. Por esta razón, el uso de hilo dental es fundamental para una exhaustiva higiene bucal y trabaja en conjunto para prevenir la aparición de enfermedades de nuestra boca.
¿Cómo usar adecuadamente el hilo dental?
Aprender a usar el hilo dental correctamente es muy sencillo. Lo más importante es recordar que nunca se debe ejercer presión contra la encía, ya que se dañaría este delicado tejido.
Pasos a Seguir para el Uso del Hilo Dental
Usar hilo dental es algo que nos puede resultar incómodo al principio, ya que se requiere de un mínimo de práctica y técnica hasta conseguir adaptarnos. Por lo que no te preocupes, es normal que te lleve tu tiempo inicialmente. Es importante comprender como utilizarlo para evitar dañar tus encías durante su uso.
- Paso 1: En primer lugar, corta un trozo de hilo de unos 40-50 cm aproximadamente, lo suficientemente largo como para manejarte bien con él. Enróllalo alrededor del dedo medio de cada mano de modo que dejes unos 5 cm de espacio libre para trabajar con él en tus dientes.
- Paso 2: Para usar el hilo dental adecuadamente, debes sostenerlo firmemente entre los dedos pulgar e índice. Introdúcelo con cuidado a través de una presión lateral contra cada uno de tus dientes, nunca sobre las encías, ya que podría causar sangrado.
- Paso 3: A continuación, pasa el hilo dental entre los espacios interdentales y limpia los lados de los dientes. Así mismo, puedes doblar el hilo alrededor de la base del diente para limpiar también la parte de atrás. Recuerda utilizar hilo limpio para cada sección. Para hacer esto, puedes enrollar más hilo en uno de los dedos medios para que nos resulte más fácil soltarlo de un lado y recogerlo del otro.
- Paso 4: Tómate tu tiempo. Repasa minuciosamente la parte trasera de cada diente y también los espacios interdentales. Pues de esta manera, garantizaremos que tanto la superficie del diente como la línea de las encías estén limpias.
- Paso 5: Finalmente, enjuaga bien tu boca para eliminar permanentemente cualquier resto de comida y placa bacteriana que hayas eliminado anteriormente de la superficie dental. Puedes hacerlo con un enjuague bucal apropiado para ti y completar así tu higiene bucodental.
Consejo: Se recomienda realizarlo siempre en el mismo orden. De esta manera, se convertirá en un hábito para ti y lo harás casi inconscientemente.
Los pasos que debemos seguir son los siguientes:
- Cortar unos 40-50 cm del hilo dental.
- Enrollar cada extremo en el dedo corazón de cada mano, de manera que quede de 3 a 5 cm de hilo libre entre ambos dedos.
- Para manejar el hilo se usarán los dedos índice y pulgar de cada mano, los cuales mantendrán el hilo tirante.
- Introducir suavemente el hilo en el espacio interdental.
- Deslizar el hilo arriba y abajo entre las piezas dentales.
- Presionar hacia el lateral de los dientes mientras se realiza el deslizamiento.
- Cuando se llega a la base de la pieza dental, asegurarse de que el hilo pase delicadamente también por debajo de la encía, siempre sin forzarlo.
- Extraer el hilo con suavidad.
- Dar una vuelta más al extremo de hilo enrollado en el dedo corazón de una de las manos. A su vez, soltar una vuelta. Así se puede usar una sección de hilo limpio en el siguiente espacio interdental.
- Avanzar al siguiente espacio interdental y repetir los movimientos explicados.
La mejor técnica para cepillar los dientes y cómo usar el hilo/seda dental | ¿Cuál hilo es el mejor?
Los elementos clave de las técnicas adecuadas para el uso de hilo dental:
Como vas a meter los dedos en la boca, asegúrate de lavarte las manos antes de coger el hilo dental. A continuación, sigue estos pasos:
- Utiliza suficiente hilo dental. Rompe un trozo de unos 45 cm (18 pulgadas) de largo. Parece mucho, pero debes tener suficiente para mantener un segmento limpio mientras te mueves de diente en diente.
- Enrolla la mayor parte del hilo dental en el dedo corazón o en el índice de una mano, como prefieras, y una pequeña cantidad en el dedo corazón o en el índice de la otra mano. (El uso del dedo corazón deja el dedo índice libre para manipular el hilo dental).
Mantén una longitud de uno o dos centímetros de hilo dental tenso entre los dedos. Utiliza los dedos índices para guiar el hilo dental entre los contactos de los dientes inferiores.
- Deslízalo entre los dientes. Desliza suavemente el hilo dental entre los dientes con un movimiento en zigzag procurando no dejar que el hilo se rompa entre los dientes.
- Pasa el hilo dental por el lateral del diente. Deslízalo hacia arriba y hacia abajo contra la superficie del diente y bajo la línea de las encías. Pasa el hilo dental por cada diente con una sección limpia de hilo.
- Forma una "C". Forma una C con el hilo dental mientras lo envuelves alrededor del diente. A continuación, tira con cuidado del hilo hacia arriba desde la línea de las encías hasta la parte superior del diente.
- Cambia la sección del hilo. Al pasar de un diente a otro, desenrolla una nueva sección de hilo de una mano mientras enrollas el hilo usado en el dedo de la otra. Usa un pulgar como medida.
- Llega a ambos lados. No te olvides de utilizar el hilo dental en la parte posterior de cada diente.
Esta técnica se aplica a cualquier tipo de hilo dental: con cera, sin cera, hilo esponjoso o cinta dental. No importa si empiezas por los dientes superiores o inferiores, o si empiezas por delante o por detrás. Solo tienes que asegurarte de utilizar el hilo dental en todos los dientes, incluida la parte posterior del último diente de la izquierda, la derecha, la parte superior y la parte inferior de la boca. Y no te olvides de utilizarlo por debajo de la línea de las encías y a lo largo de los lados de los dientes que bordean los espacios en los que faltan dientes: las partículas de comida también pueden quedar atrapadas en estos espacios.

Usar hilo dental en los dientes posteriores
Como bien saben todos los que se cepillan los dientes y utilizan hilo dental, los dientes de atrás son más difíciles de alcanzar y de mantener limpios que los de delante. Los dientes de atrás están diseñados con surcos y crestas que ayudan a masticar los alimentos, pero el lado negativo es que estos surcos y crestas también pueden recoger pequeñas partículas de alimentos, aumentando el riesgo de caries y bacterias en la placa, lo que a su vez puede conducir a la enfermedad de las encías.
En tan solo 20 minutos, las bacterias pueden convertir los carbohidratos fermentados (azúcares que se encuentran en los alimentos feculentos cocinados) en placa. Asegúrate de limpiar alrededor de los dientes posteriores con el cepillo y el hilo dental todos los días.
Ve con cuidado
Una mala técnica de uso del hilo dental puede provocar complicaciones, y es importante ser minucioso pero ir con cuidado, especialmente si se utiliza un hilo dental eléctrico. Asegúrate de que sabes cómo utilizarlo. Saber cómo se usa el hilo dental puede parecer obvio, pero muchos de mis pacientes sienten que no logran pasarlo de forma eficaz e incluso se hacen daño en la encía. Es importante que enrosques la mayor parte en uno de los dedos, para poder ir deslizando el hilo usado hacia el lado opuesto.
¿Cuándo usar el hilo dental?
Existe la creencia errónea de que solo necesitamos usar el hilo dental cuando las piezas dentales se encuentran bastante separadas. Sin embargo, todos los espacios interdentales, independientemente de su tamaño, son susceptibles de acumular restos de comida y bacterias que no eliminamos mediante el cepillado.
Por tanto, lo aconsejable es que todas las personas usen la seda dental tras cada comida o al menos una vez al día. Se recomienda su uso al menos una vez al día, especialmente antes de dormir. Esta práctica, combinada con el uso de una pasta de dientes antiplaca, ayuda a la eliminación efectiva de la placa, la reducción del mal aliento, previene o ralentiza la aparición de enfermedades gingivales y es un perfecto aliado al cepillado regular. Puede hacerse antes o después del cepillado, finalizando con un enjuague para completar la higiene.
Tipos de Hilo Dental
Una de las principales ventajas de tener una amplia gama de hilos dentales, es la de poder escoger aquel que mejor se adapte a nuestros dientes. Si tienes dudas, pide consejo a tu dentista e intenta probar unos y otros hasta que encuentres el más apropiado y cómodo para ti.
Dependiendo de tus dientes y la sensibilidad de tus encías debes optar por un hilo dental u otro. Por ejemplo, las personas con ortodoncia o implantes deben ser más cuidadosos con el hilo dental que eligen, ya que tienen necesidades distintas y deben de tener más cuidado a la hora de aplicar su rutina de higiene dental.
No obstante, en este apartado mencionaremos algunas de las características principales que debes saber sobre los diferentes tipos de hilos que puedes encontrar.
- Hilo o Seda Dental: Su forma redondeada es la que permite poder pasar el hilo con una mayor facilidad en los espacios interdentales. Este tipo, es el más adecuado para personas que no tienen mucho espacio entre un diente y otro, o que los tienen muy juntos y apiñados. Se pueden encontrar con sin cera o con cera, lo cual hace con que se deslicen mejor y sean más resistentes. Además, también los podrás encontrar con flúor para una mayor protección. El hilo dental de nylon puede estar o no encerado, y existen una gran variedad de sabores. Puesto que este tipo de hilo dental está compuesto por muchas hebras de nylon, a veces se desgarra o deshilacha, especialmente entre los dientes con puntos de contacto apretados. Estos hilos dentales suelen ser difíciles de utilizar en espacios interdentales muy estrechos.
- Hilo Dental Superfloss: El hilo dental Superfloss se realiza con seda. Fundamentalmente, está diseñado e indicado para pacientes con ortodoncia, puentes fijos y/o prótesis dentales, entre otros. Por esta razón, tiene unas secciones más rígidas y otras esponjosas. Aun así, lo puede ser utilizado por cualquier persona en función de sus necesidades.
- Cinta Dental: La cinta dental cuenta con una superficie plana y más amplia. Está indicada para aquellas personas con espacios interdentales más anchos o grandes de lo habitual. Su forma aplanada lo hace menos dañino para las encías.
Importante: Se recomienda no comprar aquellos que tienen sustancias perfluoroalquiladas (PFAS), ya que son cancerígenas.
Los hilos dentales de PTFE de un solo filamento están disponibles en forma de hilos finos, pero sobre todo más anchos. Estos se deslizan fácilmente entre los dientes, incluso en espacios estrechos entre los dientes, y son más resistentes al desgarro. Cuando se utilizan correctamente y por usuarios experimentados, ambos tipos de hilo dental son excelentes para eliminar la placa y los restos de comida.
¿Se debe usar el hilo dental si llevamos ortodoncia?
Es especialmente necesario usar el hilo dental en caso de estar en tratamiento de ortodoncia fija, ya que los brackets dificultan el cepillado dental.
El uso del hilo dental es particularmente importante para pacientes que estén sometidos a un tratamiento de ortodoncia. Aunque el tratamiento de ortodoncia no daña los dientes, llevar un aparato fijo con brackets en la boca, dificulta que nuestro cepillo pueda llegar a todas las áreas para limpiar adecuadamente los dientes. De este modo, los brackets contribuyen a la acumulación de placa y bacterias tanto en los dientes como alrededor de las encías. Esto puede causar distintas enfermedades bucales que inicialmente no estaban presentes en la boca del paciente.
Al usar el hilo dental, las personas que estén bajo tratamiento ortodóntico con brackets, tan solo deberán incluir lo siguiente: pasar el hilo por el arco antes de limpiar los espacios entre los dientes. En este caso, tal como señalábamos antes, existen hilos dentales especiales para ortodoncia, como es el Hilo Dental Superfloss. La zona más rígida de éste, es la que tenemos que pasar por el arco.
Normalmente se usa un “enhebrador”, que es un tipo de hilo con un extremo rígido precisamente para facilitar el paso entre dientes y ortodoncia.

¿Por qué Debemos Utilizar el Hilo Dental?
Es importante que nos habituemos a utilizarlo como un suplemento para el cepillado diario de los dientes, ya que nos ayuda a mantener una buena salud bucal. Así mismo, su uso adecuado es fundamental por los siguientes motivos:
- Nos permite acceder a los espacios interdentales de un modo más efectivo que si lo hiciéramos únicamente con el cepillo de dientes, con lo cual, evitaremos la acumulación de placa dental.
- Al eliminar en profundidad los restos de comida, ayuda a prevenir la aparición de caries en los dientes.
- El uso adecuado del hilo dental también asegura que la placa se elimine en un 40%, lo que reduce el riesgo de enfermedad periodontal e irritación de las encías.
- Si utilizamos hilo dental junto a nuestra rutina diaria del cepillado de dientes, conseguiremos una limpieza total de nuestra boca, sintiéndola más fresca y limpia.
Algunos Consejos de Uso
Para usar correctamente el hilo dental en nuestra higiene bucal diaria, debemos seguir una serie de pautas:
- Lavarnos las manos antes de agarrar el hilo con los dedos para evitar que las bacterias se transfieran al hilo dental y, consecuentemente, a nuestros dientes.
- Usa un hilo dental de buena calidad que venga en una cajita bien protegido.
- Como ya hemos dicho, es aconsejable usar hilo dental al menos una vez al día, sobre todo antes de ir a dormir.
- Mantener el hábito de utilizar el hilo dental nos servirá para conseguir una óptima salud bucodental.
Otros Accesorios
- Aplicador Dental: Se trata de un pequeño dispositivo que facilita la tarea de pasar el hilo dental a aquellas personas que tienen dificultades o les resulta más complicado por llevar brackets de ortodoncia.
- Cepillos Interdentales o Interproximales: Este tipo de cepillos tienen un aspecto cilíndrico y son mucho más pequeños que un cepillo de dientes normal. Se utilizan para limpiar los espacios interdentales, y suelen ser recomendados para aquellos casos en los que los dientes están muy separados uno del otro.
En resumen, la higiene interdental es esencial para mantener la salud de las encías y la prevención de caries. Es conveniente hacerlo diariamente para mantener estos espacios lo más limpios posible.