La caries dental es un problema de salud oral común que afecta a personas de todas las edades. Aunque muchas veces pasan desapercibidas en sus primeras etapas, con el tiempo pueden causar dolor, infecciones e incluso la pérdida del diente. La salud dental es esencial para nuestro bienestar general, y uno de los desafíos más comunes que enfrentamos es la caries dental.
Pero, ¿cómo sé si tengo caries? ¿Puedo verlas yo mismo? ¿Tengo que usar algún utensilio específico? Mi intención con este artículo no es, ni mucho menos, meterte miedo. ¡Y no me vale de excusa que en su primer estadio las caries no presenten síntomas!
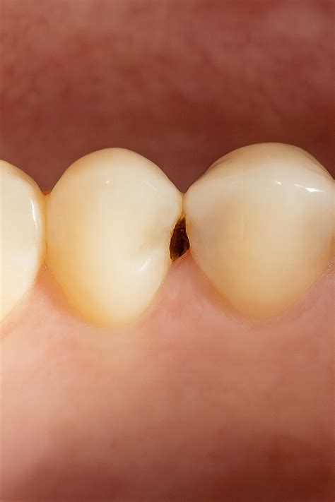
SIN CARIES ✌️😉 -¿Cómo protegerse contra La Caries ? Sellantes Dentales Niños y Adultos | Oralnet
Aquí te presentamos una guía completa para que puedas identificar los signos y síntomas de las caries en sus diferentes etapas, así como las medidas preventivas y los tratamientos disponibles.
¿Qué es una Caries?
Una caries dental, también conocida como carie a secas, es una enfermedad infecciosa que afecta a los tejidos duros de nuestros dientes, es decir, al esmalte y la dentina. Una caries es una fractura del esmalte dental que se produce como consecuencia de una excesiva acumulación de placa bacteriana en el diente.
Esto quiere decir que el problema no son en sí los alimentos azucarados que tomamos, sino el no limpiar los dientes correctamente después de hacerlo. No obstante, es cierto que cuantos más dulces comamos, más azúcar se quedará pegado a nuestros dientes y más difícil será mantenerlos limpios.

¿Cómo se forman las Caries?
Las caries no aparecen de un día para otro. Son el resultado de varios factores que actúan a lo largo del tiempo. Las bacterias de la placa bacteriana se alimentan de los restos de comida que quedan en la boca, especialmente de los azúcares. Estos ácidos de gran agresividad atacan el esmalte de la superficie de los dientes.
De manera completamente silenciosa e indolora en un inicio, estos ácidos van dañando la estructura dental. Si esto ocurre, la caries ataca la dentina, situada en la capa subyacente al esmalte.
Tipos de Caries
Existen diferentes tipos de caries, dependiendo de su ubicación y la capa del diente afectada:
- Caries de esmalte: Es la más común y afecta únicamente la capa superficial del diente.
- Caries dentina: Afecta la dentina, la capa situada debajo del esmalte.
- Caries radicular: Aparece en la raíz del diente, que queda expuesta tras la retracción de las encías.
- Caries interdental: En muchas ocasiones, las caries se forman en el espacio presente entre dos piezas dentales.
- Caries debajo de una corona o un puente dental: Lo primero que tenemos que saber es qué son las coronas dentales. Las coronas dentales son prótesis fijas diseñadas para restaurar la función y estética de los dientes dañados.
¿Cómo saber si tienes Caries antes de acudir al Dentista?
La autoexploración y la detección temprana de las caries son costumbres muy positivas. Sin embargo, estas prácticas son un complemento. A continuación, te dejamos cinco de los primeros síntomas más destacados que podemos detectar en la primera etapa de la caries:
- Mírate los dientes con ayuda de un espejo. ¿Para qué necesitas un espejito? En el principio de caries, es común ver una mancha blanca en el diente. Una duda frecuente es por qué muchas caries se ven negras o muy oscuras. Esto sucede porque el tejido del diente afectado por la caries se descompone y se llena de bacterias, restos de alimentos y otros materiales. Sin embargo, no todas las manchas negras en los dientes son caries. A veces pueden ser restos de alimentos o tinciones por bebidas como el café o el té.
- Alerta: comienza el dolor. Normalmente, saber si tienes una caries es bastante fácil, ya que entre otras cosas sentirás intensos dolores y molestias a la hora de comer o incluso al cepillarte los dientes. Aún así, hay algunas caries muy pequeñas que son difíciles de diagnosticar debido a la falta de síntomas y sólo pueden verse a través de radiografías. Normalmente, en estos casos los dentistas recomiendan a sus pacientes mejorar su rutina de higiene oral.
- La sensibilidad dental. Este es uno de los signos más reveladores de una caries que los pacientes notan desde el principio. Uno de los síntomas más comunes es la sensibilidad a alimentos dulces o ácidos, y también a los cambios de temperatura de frío o calor.
- Comprueba que no existen fisuras en tus dientes. Si la caries ha avanzado puedes ver un pequeño agujero en el diente o muela afectada. *Consejo: los dientes agrietados o astillados pueden provocar caries.

Si notas alguno de estos signos, lo mejor es acudir a una revisión dental. Es importante no esperar a que el dolor sea intenso. Muchas muelas con caries no duelen en las primeras etapas, pero el daño sigue avanzando en silencio. Identificar una caries no es algo sencillo, sobre todo al principio, ya que como te comentábamos las primeras fases son asintomáticas. Pequeñas manchas en el esmalte. Debido al avance de la caries, puedes observar manchas de color blanco, marrón o negro en el esmalte del diente. Normalmente son zonas blanquecinas debido a la desmineralización del diente por los ácidos que producen las bacterias, pero también pueden oscurecerse a marrón o negro si el daño es mayor.
La verdad es que, en sus primeras etapas, una caries puede no causar molestias. En sus primeras etapas, las caries pueden no presentar ningún síntoma. En la primera fase, es una etapa indolora. Sólo afecta al esmalte, sobre todo en molares y premolares donde la limpieza de la zona y acúmulo de placa dental son más acusados. Sin un examen dental por un dentista, puede pasar desapercibida.
Síntomas y Complicaciones de las Caries
En las primeras etapas, las caries pueden no presentar ningún síntoma. A medida que la caries avanza, puede experimentar:
- Sensibilidad dental al comer o beber alimentos fríos, calientes o dulces.
- Dolor de dientes, especialmente al masticar. En el caso de sentir dolor lo más probable es que tengas una infección a causa de la caries, que incluso puede manifestarse con molestias en los oídos o dolores de cabeza.
- Agujeros visibles en los dientes.
- Manchas blancas, marrones o negras en los dientes. Los dientes deben tener un color uniforme que sea blanquecino. Es posible que vea una decoloración negra, marrón o púrpura en la parte superior de los dientes cuando mire dentro de su boca con una linterna.
- Mal aliento persistente o mal sabor en la boca. Similar al dolor, el mal aliento de vez en cuando no es motivo de alarma. La mayoría de las personas experimentan algún tipo de «aliento matutino». Sin embargo, cuando tu mal aliento ocurre constantemente, es hora de que lo revises. El mal aliento puede empeorar a medida que avanza la caries. Incluso puedes estar experimentando las primeras etapas de la enfermedad de las encías. Si tienes mal sabor, o sabor a metal, en la boca puede ser el sabor de la sangre de las encías o el sabor de la caries en los dientes.
- Sangrado de las encías al cepillarse los dientes. Siempre es un shock cuando te cepillas los dientes y luego la espuma de la pasta de dientes o el cepillo de dientes se vuelven rosados. ¿Qué significa eso? Significa que sus encías están sangrando, aunque sea solo un poco. Cuando tiene caries, tus encías se irritan e inflaman. Esta irritación, es posible que no la note cuando no te estás cepillando, pero causa sangrado cuando se frotan o cepillan las encías. También puedes notar que tus encías están hinchadas o descoloridas. Las encías deben ser de un color rosa suave.
Las caries no tratadas pueden llevar a complicaciones más graves, como infecciones, abscesos dentales y la pérdida del diente.
Tratamientos para las Caries
El tratamiento para las caries dentales dependerá de la gravedad de la misma. Diagnosticar a tiempo una caries permite intervenir antes de que llegue al nervio del diente o cause una infección más grave.
Cuando la caries pasa a ser grave, nos adentramos en una situación peligrosa. Para quitar una caries profunda, será necesario recurrir a una endodoncia.
Aquí te mostramos los tratamientos más comunes:
- Refuerzos de flúor en casos leves. Cuando se detecta un principio de caries, es posible revertir el daño aplicando flúor en la zona afectada. Es recomendable la utilización de pastas y colutorios con componentes remineralizantes como Flúor, Hidroxiapatita, Calcio y Potasio. En este momento, debes seguir las pautas de tu dentista.
- Obturaciones dentales: Se realizan cuando la caries está en el esmalte o la dentina. Empaste de caries. Es el tratamiento más común. Consiste en eliminar la parte dañada del diente y rellenar el hueco con un material especial, como resina o amalgama. A continuación, limpia y desinfecta la zona afectada y procede a rellenar el orificio con un material biocompatible, como una resina o una amalgama. La resina es el material más utilizado hoy en día, ya que tiene un color similar al del diente y es más estética.
- Endodoncia: La endodoncia consiste en eliminar la pulpa dental infectada y sellar los conductos radiculares, que son los canales que albergan la pulpa. Tratamiento de conducto. Cuando la caries llega al nervio del diente, es necesario realizar una endodoncia o tratamiento de conducto. El dentista primero realiza una apertura en el diente para acceder a la pulpa. A continuación, utiliza instrumentos especializados para eliminar la pulpa infectada y limpiar y desinfectar los conductos radiculares. En Calma Dental somos especialistas en endodoncia y odontología conservadora, y apostamos siempre por la preservación de la pieza dental siempre que sea posible.
- Extracción dental: La extracción dental es la última opción y solo se recurre a ella cuando el diente está muy dañado o no se puede salvar con otros tratamientos. En los casos más graves, cuando el diente está muy dañado y no puede salvarse, se debe extraer. La extracción dental es un procedimiento quirúrgico que se realiza bajo anestesia local. El dentista primero adormece el área alrededor del diente y luego utiliza instrumentos especiales para extraerlo del hueso alveolar.
- Incrustaciones o coronas.
¿Cómo prevenir las Caries?
La mejor manera de combatir las caries es la prevención. La clave es la prevención. Y es que durante la primera fase la caries es asintomática. Por ello, te recomiendo que visites al dentista, como mínimo, una vez al año. En Avodent insistimos a nuestros pacientes acerca de la importancia de acudir al odontólogo al menos una vez al año. Para ello, puedes llamarnos al 91 654 17 13 o, si lo prefieres, rellenar el formulario de nuestra página web.
Aquí hay algunas medidas que puedes tomar para prevenir las caries:
- Mantén una higiene oral rigurosa: Cepillar tus dientes al menos dos veces al día con pasta dental con flúor es fundamental. Complementa esta rutina utilizando hilo dental diariamente para eliminar la placa y restos de comida que puedan quedar entre los dientes y en las encías. Ya sabes que es imprescindible que dediques tiempo diario a la higiene dental. Una vez hayas terminado de comer, espera unos 30 minutos para cepillarte los dientes.
- Adopta una dieta saludable: Reduce el consumo de azúcares y alimentos ricos en carbohidratos refinados. Estos elementos pueden alimentar a las bacterias que dañan el esmalte dental.
- Visitas regulares al dentista: Programar exámenes dentales periódicos, al menos cada seis meses, es clave. Las caries -incluso las que se encuentran en el área interproximal- se hacen visibles en las revisiones rutinarias con el dentista. En muchas ocasiones, los pacientes aguardan hasta que el dolor es intolerable y la visita al odontólogo se realiza demasiado tarde. Es decir, que en estas ocasiones habría que realizar una endodoncia.
- Utiliza productos dentales con flúor: Como pasta dental y enjuague bucal. El flúor fortalece el esmalte dental y previene la desmineralización que conduce a la caries.
- Selladores dentales: Considera la aplicación de selladores dentales, especialmente en molares y premolares.
- Sequedad bucal: La saliva ayuda a limpiar los dientes y neutralizar los ácidos.

Recuerda que la detección temprana y el tratamiento oportuno son fundamentales para prevenir complicaciones y mantener una sonrisa saludable. ¡No dudes en visitar a tu dentista regularmente!