Como sabemos, hoy en día hay muchas alternativas a los brackets tradicionales. Por suerte, ya no hay necesidad de llenar de metal tu sonrisa. En este artículo encontrarás información sobre qué son los brackets transparentes, qué tipos existen y cuáles son sus ventajas.

¿Qué son los brackets transparentes?
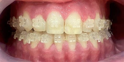
Los brackets transparentes, también llamados brackets estéticos o brackets invisibles, son aparatos no removibles que se cementan en los dientes. La diferencia con los tradicionales es que los materiales son de tonalidades similares a las de nuestros dientes.
Para que sean prácticamente transparentes, están hechos de materiales que imitan la tonalidad de los dientes, como la cerámica, el zafiro o la resina.
Tipos de brackets transparentes
Existen distintos tipos de brackets invisibles o estéticos en función de los materiales con los que están confeccionados o su colocación:
- Brackets de zafiro: El zafiro sintético con el que se elaboran los brackets estéticos es la última innovación en el sector. Son de una calidad extraordinaria y, al ser transparentes, hacen que sean visualmente inapreciables. Fabricados a partir de una piedra semipreciosa transparente, casi invisible. Son muy resistentes tanto al uso como a las manchas.
- Brackets de cerámica o porcelana: Son muy resistentes y duraderos. Resultan muy discretos a la vista, aunque presentan un color más opaco que los de zafiro. Hechos de un material que se asemeja al color del diente. Son estéticamente agradables y, aunque resistentes, pueden ser más propensos a fracturas que otros materiales.
- Brackets de zirconio: El uso del zirconio para la confección de los brackets es otra de las opciones en ortodoncia transparente. Su color, como los brackets de porcelana, es blanco. Son la versión más novedosa dentro de los brackets invisibles. Tienen un acabado más translúcido y natural, lo que les permite integrarse mejor con el color de los dientes.
- Brackets de resina: Los materiales utilizados son la resina y el plástico a base de policarbonato. Hechos con materiales de plástico como el policarbonato. Son la opción más económica, pero también son menos resistentes.
- Brackets linguales: Se sitúan en la cara interna de los dientes, por lo que, aunque son metálicos, estos brackets no se aprecian a la vista. La ortodoncia lingual, o brackets linguales, es un tipo de tratamiento ortodóntico en el que los brackets se colocan en la cara interna de los dientes, por lo que son prácticamente invisibles desde el exterior.
Entre los tipos de brackets transparentes encontramos:
- Brackets de resina o policarbonato. Estos tienen una gran ventaja, su precio, ya que son la opción más económica cuando se trata de estos aparatos invisibles. Sin embargo, hay que tener en cuenta que no son tan resistente como otras opciones, y adicional a esto suelen cambiar de color o mancharse con el uso y el tiempo.
- Brackets cerámicos o de porcelana. Su color es parecido al color natural de los dientes, lo que los hace poco visibles. Son resistentes y duraderos.
- Brackets de zafiro. Resaltan por su transparencia y apariencia, ya que se asemejan mucho al aspecto natural de los dientes, por lo cual son casi imperceptibles. Son muy duraderos y resistentes, y una de sus mayores ventajas es que no cambian de color con el tiempo y el uso, aunque es importante considerar que su precio es más alto.
ALINEADORES INVISIBLES 🦷| ¿Valen la Pena?👎👍
¿Cómo se ponen los brackets transparentes?
Los brackets transparentes se colocan de forma similar a los brackets metálicos y generalmente implica los siguientes pasos:
- Preparación: limpieza de los dientes y aplicación de un agente de adhesión.
- Adhesión de los brackets: los brackets se colocan en cada diente con un adhesivo dental y se fijan con una luz especial.
- Colocación del arco: un alambre o arco metálico se pasa a través de los brackets y se asegura con ligaduras (pequeñas gomas).
- Ajustes: El ortodoncista ajustará los alambres y los brackets durante las citas regulares para asegurarse de que los dientes se muevan correctamente.
Ventajas y desventajas de los brackets transparentes
El atractivo estético y la apariencia casi invisible de los brackets transparentes, son sus principales características y a la vez beneficios que resaltan de este tipo de dispositivos, y que los han convertido en una opción muy popular hoy en día.

Ventajas
- Estética y discreción: Esto nos permite mantener la estética natural de nuestra sonrisa mientras corregimos la posición de nuestros dientes. Llevar un tratamiento de ortodoncia mucho más discreto, permite al paciente transitar por el proceso con mayor confianza, en especial para aquellas personas que se preocupan más por su aspecto físico. Ofrecen una apariencia más discreta y estética que los brackets metálicos.
- Personalizables: Se pueden combinar con ligaduras de diferentes colores para personalizarlos.
- Comodidad: Son generalmente más suaves que los brackets metálicos, lo que reduce las rozaduras en las mejillas. Los materiales con los que se fabrican los brackets transparentes son más suaves, normalmente no irritan las encías o los tejidos blandos de la boca. Adicionalmente, son ideales para aquellos pacientes que son alérgicos a otros materiales. Esta ventaja hace del tratamiento un camino más cómodo y placentero, al no tener un efecto negativo sobre las encías.
- Resistencia y durabilidad: Los materiales como la cerámica y el zafiro, son componentes con una dureza natural que los hace muy resistentes a las roturas. Además, son más duraderos en vista de que soportan las fuerzas que se ejercen al masticar los alimentos, y a la presión que aplica el dentista al ajustar los brackets y alambres. Si hacemos una comparación de los brackets de zafiro con los metálicos, encontraremos que los de zafiro son más resistentes y duraderos, lo cual evita reemplazos o reparaciones.
Desventajas
- Duración: Al optar por este tipo de materiales, el periodo del tratamiento suele durar un poco más. En algunos casos, el tratamiento puede durar más tiempo en comparación con los brackets metálicos.
- Fragilidad: Los brackets invisibles son más delicados, así que, si su cuidado no es el adecuado pueden romperse. Materiales como la cerámica o la resina pueden romperse más fácilmente. Algunos materiales como el policarbonato y la resina son más frágiles, lo que lo convierte en una opción menos resistente, y, por lo tanto, menos duradera y con mayor riesgo de roturas que requieran reemplazo o reparaciones.
- Color: Abusar de algunos alimentos como el café, los refrescos o el vino tinto puede hacer que el tono de los brackets estéticos se vuelva amarillo. Con el tiempo, pueden teñirse debido a ciertos alimentos y bebidas. En el caso de los brackets de resina, también son más susceptibles a manchas y decoloración por efectos de los colorantes de los alimentos o de bebidas oscuras como el vino tinto, el café o las bebidas de cola. A excepción de los brackets de cristal de zafiro, que no se tiñen, el resto sí puede volverse amarillo. Esto se debe a que otro tipo de ortodoncia transparente está confeccionada con materiales porosos, como la resina.
- Precio: Por último, debido a los materiales que se utilizan, el precio del tratamiento suele ser más elevado. Suelen ser más caros que la ortodoncia tradicional con brackets metálicos. En cuanto a los costos, los brackets transparentes son más costosos que los metálicos. Y dentro de las opciones invisibles también hay tipos como los de resina, que son más económicos, o como los de zafiro, que son los más costosos.
Precios de los brackets transparentes
El precio de los brackets transparentes varía dependiendo del tipo de material, la duración del tratamiento y la clínica dental. Normalmente, el precio oscila entre los 3.000 y los 7.000 euros aunque el ortodoncista, tras realizar la evaluación, te informará sobre el precio total del tratamiento.
Estos son algunos rangos aproximados:
- Brackets de cerámica o porcelana: entre 2.000 y 4.000 euros.
- Brackets de zafiro: entre 4.000 y 8.000 euros.
- Brackets de resina: entre 2.000 y 4.000 euros.
- Brackets de zirconio: entre 4.000 y 6.000 euros.
Recuerda que es importante consultar con un dentista para obtener un presupuesto exacto según tus necesidades específicas.
| Tipo de Bracket Transparente | Precio Aproximado (Euros) |
|---|---|
| Cerámica o Porcelana | 2.000 - 4.000 |
| Zafiro | 4.000 - 8.000 |
| Resina | 2.000 - 4.000 |
| Zirconio | 4.000 - 6.000 |
Alternativas a los brackets transparentes
Si quieres alinear tus dientes sin brackets, puedes contactarnos en tu clínica Impress más cercana. Hay varias opciones para corregir tu sonrisa de forma discreta.
Alineadores invisibles
Los alineadores invisibles se presentan como una alternativa para mejorar y corregir la posición de los dientes teniendo en cuenta la estética y la comodidad.
Gracias al desarrollo de nuevas técnicas, actualmente es posible corregir nuestra dentadura sin necesidad de usar un aparato de ortodoncia fijo.
Alineadores invisibles: ventajas
- Higiene bucal sin complicaciones: se quitan los alineadores y se limpian los dientes sin obstáculos.
- Evita las heridas y llagas causadas por los aparatos de metal.
- Comer sin restricciones: para comer o beber se quitan las férulas, por eso, no hay ningún tipo de restricción alimentaria mientras estés en tratamiento de ortodoncia invisible con alineadores.
- Transparente: de las opciones estéticas, los alineadores invisibles son la opción que menos se ve.
- Cómodos
- Removibles

Brackets linguales
Otra opción que tienen los pacientes que buscan opciones de ortodoncia discreta y efectiva, son los brackets linguales. Estos tienen la particularidad de que se colocan en la parte interna de los dientes, lo cual hace que queden ocultos.
¿Cómo limpiar los brackets transparentes?
Para evitar manchas y mantener tus brackets transparentes limpios, es importante seguir una rutina de higiene bucal adecuada:
- Cepíllate los dientes después de cada comida con un cepillo de cerdas suaves y pasta dental fluorada. Presta especial atención a limpiar alrededor de los brackets.
- Utiliza hilo dental e interdental al menos una vez al día. Puedes usar un enhebrador de hilo dental, un cepillo interdental o un irrigador bucal para facilitar el proceso.
- Usa un enjuague bucal antibacteriano para ayudar a reducir la placa y prevenir la formación de caries.
Preguntas frecuentes
¿Los brackets transparentes se ponen amarillos?
Sí, los brackets transparentes pueden ponerse amarillos con el tiempo sin el correcto mantenimiento.
tags: #como #son #los #brackets #transparentes