En el campo de la odontología, el desarrollo de nuevos materiales ha revolucionado la forma en que se realizan los tratamientos dentales. Dos de los materiales más utilizados en restauraciones dentales son el zirconio y el metal-porcelana. Estos materiales ofrecen diferentes características y beneficios, por lo que es importante comprender sus diferencias antes de elegir el más adecuado para un tratamiento dental específico.
En este artículo, exploraremos las diferencias entre el zirconio y el metal-porcelana y los tratamientos dentales en los que se utilizan estos materiales. Además, analizaremos las ventajas del zirconio y su creciente popularidad en la odontología moderna.

Diferencias Clave entre Zirconio y Metal-Porcelana
Para entender cuál material es el más adecuado para tu tratamiento, es crucial conocer las diferencias fundamentales entre el zirconio y el metal-porcelana:
Composición
- Zirconio: Es un material cerámico que se obtiene del mineral zircón. Es conocido por su alta resistencia y durabilidad, lo que lo convierte en una excelente opción para restauraciones dentales.
- Metal-Porcelana: Se compone de una estructura metálica interna cubierta con una capa de porcelana. Esta combinación ofrece una apariencia natural y resistencia.
Estética
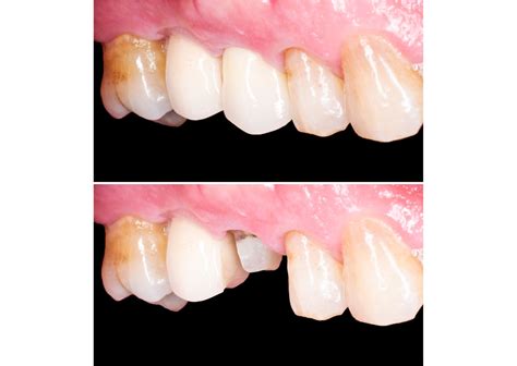
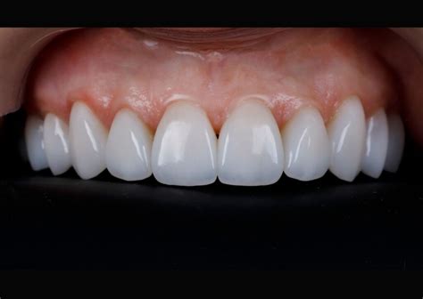
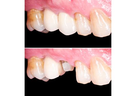
- Zirconio: Es altamente valorado por su apariencia estética, ya que puede imitar el color y la translucidez de los dientes naturales. Además, su capacidad para reflejar la luz de manera similar a los dientes naturales lo hace indistinguible en términos de apariencia.
- Metal-Porcelana: Puede presentar un aspecto ligeramente menos natural, ya que la capa de porcelana puede ser menos translúcida y opaca en comparación con el zirconio.
Resistencia
- Zirconio: Es un material extremadamente resistente a las fracturas y a la abrasión.
- Metal-Porcelana: También ofrece una buena resistencia, aunque puede ser más propenso a astillarse o fracturarse en comparación con el zirconio.

Tratamientos Dentales con Zirconio y Metal-Porcelana
Tanto el zirconio como el metal-porcelana se utilizan en una variedad de tratamientos dentales:
Implantes Dentales
Tanto el zirconio como el metal-porcelana se utilizan en la fabricación de coronas y puentes dentales para su colocación sobre implantes dentales. Estas restauraciones proporcionan una solución duradera y estéticamente agradable para reemplazar los dientes perdidos.
Implantología Dental de Carga Inmediata
La implantología dental de carga inmediata es un procedimiento en el que se coloca un implante dental y se coloca una corona provisional sobre el mismo el mismo día de la cirugía. En este tipo de tratamiento, el zirconio es una opción popular debido a su alta resistencia y excelente apariencia estética.
Coronas Dentales
Una corona dental en zirconio es un elemento rehabilitador que protege y fortalece los dientes. Se pueden usar sobre implantes dentales previamente colocados, como en dientes naturales intervenidos y preparados para la reestructuración.
Puentes Dentales
La corona dental de zirconio también puede ser una estructura de varias piezas soldadas, lo que conocemos como puente dental de zirconio, en el que dos dientes actúan como pilares para soportar una prótesis cementada si faltan una o más piezas entre los dos pilares.
Carillas Dentales
Aunque cada vez están más en desuso, las carillas dentales de zirconio son unas finas láminas que se adhieren a la superficie de los dientes para modificar el color, la forma o el tamaño de las piezas dentales.
Brackets de Zirconio
La resistencia del zirconio y su parecido con el esmalte dental natural, hace que los brackets de zirconio sean mucho más estéticos y discretos.

Ventajas del Zirconio en Odontología
El uso del zirconio en el sector de la odontología presenta un montón de beneficios que lo han convertido en un material muy atractivo para muchos profesionales del sector:
- Estética visual: Este material se asemeja mucho al tono del esmalte natural de los dientes gracias a su color y translucidez.
- Biocompatible: El zirconio es un material biocompatible, lo que significa que es menos probable que cause reacciones alérgicas o inflamatorias en el cuerpo.
- No lleva metal: Las personas alérgicas al titanio no tendrán de qué preocuparse con el zirconio.
- Dureza: Es un material muy fiable en la elaboración, por ejemplo, de prótesis dentales de una calidad inigualable.
La zirconia dental, también llamada zirconio dental, es un material cerámico compuesto principalmente por dióxido de zirconio. Es muy valorado en odontología por su gran dureza, resistencia y capacidad para imitar el color natural del diente. Este material es una alternativa sin metales a las coronas tradicionales.
El zirconio dental posee una estructura cristalina que le otorga propiedades mecánicas sobresalientes. En cuanto a su composición, el zirconio utilizado en odontología suele estar estabilizado con itrio (Y-TZP, zirconia tetragonal policristalina estabilizada con itria), lo que mejora aún más sus propiedades mecánicas y térmicas. Además, este material es radiopaco, lo que significa que puede verse en las radiografías dentales, facilitando así su seguimiento clínico.
Las propiedades de Y-TZP son: el color blanco (fundamental para la estética en odontología), su dificultad al desgaste y la oxidación, la resistencia a la corrosión química, ser aislante térmico y eléctrico, y su dureza. Estas propiedades hacen de Y-TZP una cerámica interesante en odontología cuando se necesita un material duro. La dureza es la oposición de un material a la abrasión o el rayado.

Disilicato de Litio vs Zirconio
Consideraciones Finales
Tanto el zirconio como el metal-porcelana son materiales utilizados en tratamientos dentales para restauraciones duraderas y estéticamente agradables. El zirconio destaca por su alta resistencia, apariencia natural y capacidad para reflejar la luz de manera similar a los dientes naturales. El metal-porcelana ofrece una buena resistencia y una apariencia estética satisfactoria, aunque puede ser menos translúcido que el zirconio.
La principal, y prácticamente única, desventaja del zirconio es su coste económico en comparación con otros materiales que pueden usarse para el mismo fin.
La corona de zirconio se ha consolidado como una de las opciones más populares y eficaces para la restauración dental. Gracias a sus propiedades estéticas, resistencia y biocompatibilidad, las coronas de zirconio ofrecen una solución duradera para quienes buscan recuperar la funcionalidad y apariencia natural de sus dientes.
Si estás considerando un tratamiento de implantología dental, es importante consultar con un profesional de la odontología que te guíe para determinar el material más adecuado para tus necesidades individuales. Como siempre, consúltanos cualquier duda.
Tabla Comparativa: Zirconio vs. Metal-Porcelana
| Característica | Zirconio | Metal-Porcelana |
|---|---|---|
| Composición | Cerámica (dióxido de zirconio) | Estructura metálica con capa de porcelana |
| Estética | Excelente, imita el diente natural | Buena, pero puede ser menos translúcida |
| Resistencia | Muy alta | Alta, pero más propenso a fracturas |
| Biocompatibilidad | Excelente | Buena, pero puede causar alergias en algunos casos |
| Costo | Más alto | Más bajo |
tags: #composicion #del #zirconio #dental