Nuestra belleza es importante, no solo de cara a los demás sino también porque mejora nuestra autoestima y paz mental. Y un factor importante en la belleza es la sonrisa. Pero, ¿qué ocurre si alguno de los dientes estropea la belleza de una sonrisa? Ciertas personas presentan pequeñas imperfecciones en los bordes de los dientes que afectan directamente a la estética de sus sonrisas. El contorneado estético dental es un procedimiento indoloro, rápido y que ofrece excelentes resultados para corregir y mejorar la estética de la sonrisa. ¿No has oído hablar del contorneado dental? Descuida que en este artículo te lo explicaremos en detalle.

¿Qué es el Contorneado Dental?
El contorneado dental, también conocido como contorneado incisal o ameloplastia, es una técnica que consiste en retocar la forma de los dientes. Esto se consigue al perfilar los bordes de los dientes, unificar su longitud y corregir otras imperfecciones de la forma de cada diente.
¿En qué consiste el contorneado dental?
El primer paso para realizar un contorneado dental es valorar el historial del paciente y determinar qué resultados quiere conseguir. En esta primera fase es posible apoyarse en modelos digitales de la dentadura del paciente para planificar en detalle el proceso de contorneado. Una vez se tiene claro se realiza el contorneado directamente en la consulta ya que es un procedimiento indoloro que no requiere de anestesia.
El contorneado dental es un tratamiento que permite eliminar pequeñas cantidades de esmalte para modificar ligeramente la forma, la longitud y la superficie de los dientes. Su objetivo es mejorar la armonía, simetría y proporción de la sonrisa corrigiendo defectos leves como puntas irregulares, bordes astillados o diferencias mínimas de longitud entre piezas dentales.
El contorneado dental estético, también conocido como esculpido dental, es un procedimiento mínimamente invasivo que consiste en remodelar los bordes de los dientes, principalmente los incisales, para mejorar su forma y apariencia. Utilizando herramientas específicas, el dentista suaviza y da forma a los dientes eliminando pequeñas cantidades de esmalte.
Esta técnica odontológica implica la eliminación de pequeñas cantidades de esmalte dental para cambiar la forma, longitud y/o superficie de los dientes, con el objetivo de mejorar la estética de la sonrisa. Ofrece resultados muy positivos para corregir incisivos centrales excesivamente largos o desiguales y colmillos muy puntiagudos.
Es bastante frecuente tener imperfecciones en los dientes, pero con un tratamiento de contorneado dental, el dentista puede pulir cuidadosamente estas áreas para lograr una apariencia más natural y estética. El resultado final es una sonrisa más estética y armoniosa.
¿Tienes sonrisa GINGIVAL? Descubre la solución para una sonrisa perfecta.
¿Cuándo es necesario un contorneado dental?
El contorneado dental se realiza principalmente con fines estéticos y se sugiere para pacientes que tienen dientes incisivos demasiado largos, caninos excesivamente puntiagudos o alguna irregularidad causada por un trauma dental. El objetivo es mejorar la apariencia de la sonrisa al dar forma y pulir los dientes para que se vean más simétricos y armoniosos.
Está destinado a personas con pequeñas imperfecciones que únicamente precisan de ligeros retoques estéticos en la sonrisa, pero no para solucionar graves problemas de posición, forma o tamaños de los dientes.
¿En qué situación está indicado el contorneado estético?
- Corrección de tamaño y forma en dientes cuya morfología no es la ideal.
- Corrección de malposiciones dentarias moderadas siempre que este problema no pueda ser solucionado mediante tratamiento de ortodoncia.
¿En qué casos NO está indicado?
- En dientes muy cortos o que hayan perdido mucho tejido debido al bruxismo y otros hábitos nocivos.
- Cuando los dientes estén muy apiñados o con otras maloclusiones de importancia. En este caso, la ortodoncia es el tratamiento correcto y que se debe realizar en primer lugar.
- No todos los dientes aceptan un contorneado por presentar un esmalte demasiado fino. En estos casos se suele optar por carillas dentales
Beneficios del Contorneado Dental
El contorneado dental ofrece una serie de beneficios tanto para la salud como para la estética bucodental:
- Mejora de la estética dental: el principal beneficio del contorneado dental es la mejora estética inmediata.
- Corrección de imperfecciones: el contorneado dental es una solución eficaz para corregir pequeñas imperfecciones como dientes ligeramente desiguales, bordes astillados o desiguales, y pequeñas superposiciones.
- Aumento de la confianza: una sonrisa atractiva puede aumentar significativamente la confianza y la autoestima de una persona.
- Es indoloro y no precisa de anestesia.
- Se puede realizar en una sola sesión.
- El precio es menor a otros procedemientos estéticos como son las carillas dentales.
- No es necesario un reposo para la recuperación, por lo que el paciente podrá volver a su rutina de forma inmediata.
- Es un tratamiento bastante efectivo para mejorar los dientes.
El Proceso de Contorneado Dental
Evaluación inicial
Antes de realizar el contorneado dental, se lleva a cabo una evaluación exhaustiva de los dientes del paciente. En Clínicas Cleardent, utilizamos tecnología avanzada para asegurar que el procedimiento sea seguro y efectivo.
Técnica de contorneado
El contorneado dental se realiza utilizando herramientas especializadas que permiten eliminar pequeñas cantidades de esmalte de manera precisa. El dentista dará forma a los bordes de los dientes, suavizando irregularidades y creando una apariencia más uniforme. El contorneado dental es un procedimiento rápido que generalmente se completa en una sola visita, con una duración de entre 30 minutos y una hora aproximadamente, dependiendo del número de dientes a tratar.
No obstante, la técnica debe realizarse con sumo cuidado y precisión, para no eliminar más esmalte del necesario.
Tratamientos Complementarios
El contorneado estético dental se encarga de corregir las alteraciones en la forma de cada pieza dental, pero es posible que una sonrisa requiera de tratamientos adicionales para mejorar su estética.
- En pacientes que además de alteraciones en forma presentan alteraciones en el color de sus dientes, el combo ideal es un blanqueamiento y contorneado dental.
- En pacientes que además de alteraciones en forma presentan alteraciones en el alineamiento de sus dientes, la combinación será ortodoncia y contorneado dental. Pero, en estos casos y como hemos mencionado antes, el contorneado dental será no antes sino después de aplicar la ortodoncia ya que solo cuando los dientes estén en su posición definitiva se podrá valorar el contorneado.
- Si además de mejorar el aspecto de los dientes el paciente busca mejorar la estética total de su sonrisa y rostro, es posible combinar el contorneado dental con otras técnicas de estética como un rejuvenecimiento de la sonrisa mediante carillas o el tratamiento con ácido hialurónico, entre otros.
También hay que decir que el contorneado dental admite todo tipo de combinaciones con otros tratamientos, como el blanqueamiento dental.
Riesgos y Contraindicaciones
El contorneado dental es un procedimiento indoloro y muy poco invasivo, por lo que rara vez surgen problemas al aplicarlo y es seguro en la mayoría de pacientes.
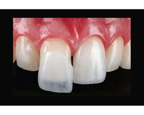
Carillas Dentales: Una Alternativa al Contorneado Dental
Las carillas dentales son un tratamiento estético que permite mejorar el aspecto de los dientes. Las carillas se fabrican de manera personalizada para ofrecer un resultado similar al del resto de los dientes. Actualmente, la colocación de carillas de porcelana supone un tratamiento muy conservador y poco invasivo, es decir, con poco riesgo y coste biológico para nuestros dientes.

Tipos de Carillas Dentales
- Carillas de Composite: También conocidas como resinas compuestas, son finas láminas de un material sintético, derivado de la resina y utilizado también para realizar empastes. Se adhieren a la parte visible de los dientes, mejorando así su apariencia. La unión de las carillas de composite a las piezas dentales se lleva a cabo con un fuerte adhesivo especial.
- Carillas de Porcelana: La gran ventaja de los diversos materiales de porcelana o cerámica es su durabilidad.
Proceso de Colocación de Carillas
Es fundamental comenzar con un estudio meticuloso de la cara y estética de la sonrisa, que normalmente implica hacer radiografías, fotografías así como modelos de estudio. A continuación, hay que preparar cada uno de los dientes a los que se colocarán las carillas de porcelana.
Para colocar las carillas dentales, se suelen preparar los dientes previamente: hablamos de dientes tallados o preparados, comúnmente llamados dientes limados. El tallado consiste en perfilar el esmalte de un modo superficial antes de adherir las carillas. Así, se asegura una mejor fijación a la pieza dental. No siempre es imprescindible tallar los dientes antes de colocarlas. Depende del estado de tus piezas dentales y del tipo de material que elijas. Las carillas de composite o resina compuesta son las menos invasivas, ya que, habitualmente, no requieren tallado del esmalte. Igualmente, tienen la ventaja de que se pueden reparar directamente sobre la pieza dental si fuera necesario. Si optas por las láminas de porcelana, en la mayoría de los casos sí que deberán estar los dientes tallados para las carillas.
El tallado de los dientes naturales consiste en el contorneado de una parte del esmalte, que es la capa más superficial. Por lo tanto, hay que tener en cuenta que es un proceso irreversible para el diente. Por ello, es crucial que el dentista valore la salud oral del paciente a fin de conocer sus necesidades y preferencias.
El proceso de colocación de las carillas depende del material escogido. En cambio, las carillas de porcelana siempre requieren un trabajo de laboratorio. En primer lugar, se toman las impresiones y se selecciona la forma y el color adecuados. Mientras estas se elaboran, el paciente usa unas carillas provisionales si fuera preciso.
Para preparar tu diente, el dentista quitará entre 0,3 a 1,2 milímetros de esmalte de su superficie aunque actualmente hay carillas de microtallado donde la superficie de diente a tallar es mínima. A continuación, el odontólogo realizará una impresión del diente para enviarlo a un laboratorio dental, que realizará la carilla.
Para colocar la carilla, el dentista primero trata la superficie del diente con un líquido para que quede rugoso. Luego, aplica un cemento especial a la carilla y coloca la carilla sobre el diente preparado.
Duración y Mantenimiento de las Carillas
Es muy difícil precisar la duración de este tratamiento. Depende de factores individuales, como hábitos de cada paciente (tabaco, apretamiento de los dientes o bruxismo) así como la higiene bucal diaria y mantenimiento de las mismas, siendo de especial importancia en este sentido cumplir con las citas propuestas por su dentista para revisarlas a lo largo del tiempo.
Realmente esta es una situación poco probable, pero en el caso de que se rompa una carilla, únicamente habría que volver a diseñar y confeccionar una nueva, volviendo a adherirla al diente en las mismas condiciones.
Contraindicaciones de las Carillas Dentales
- Bruxismo importante: cuando la costumbre de rechinar los dientes es dañina para tu salud dental, supone un problema significativo para las carillas. Los estudios demuestran un mayor riesgo de rotura o despegado de carillas en pacientes que sufren esta condición.
- Mala salud de las encías: los problemas gingivales como la gingivitis o la periodontitis pueden ser un obstáculo para este tratamiento. Si sufres alguno de estos problemas bucales, debes saber que existen otras alternativas para mejorar el aspecto de tu dentadura.
Coste de las Carillas Dentales
El coste del tratamiento varía según el material elegido. En España, el precio de una carilla de disilicato de litio ronda los 400 €, de manera aproximada. Este presupuesto no incluye las carillas provisionales que pueda requerir el paciente ni cualquier otro procedimiento adicional.
¿Qué hacer ante un diente astillado o roto?
Astillarse, romperse o agrietarse un diente no suele ser grave. Si tú o tu hijo os habéis roto un trozo de diente, ponlo en leche o saliva: escupiendo en un recipiente si es tu diente, o haciendo que tu hijo escupa en un recipiente si es suyo;y llévalo al dentista.
Los odontólogos saben cómo salvar dientes y aplicarán el tratamiento que convenga según el tipo, la ubicación y la extensión de la rotura. Cuanto antes se trate el diente partido, mejor será el resultado. Así que, si descubres que tienes un diente roto o astillado, que no te entre el pánico. Si tienes un diente roto o astillado acude a tu dentista lo antes posible. Si te duele el diente, toma paracetamol.
El tratamiento para un diente partido o astillado depende de la gravedad del daño. Si solo se rompió un pequeño trozo de esmalte, la reparación generalmente se puede hacer en una sola visita al dentista. Si solo se ha desprendido un pequeño trozo de esmalte dental, tu dentista puede reparar el daño con un empaste.
La unión se trata de un procedimiento simple que normalmente no requiere anestesia. Para adherir un diente, el dentista primero pone un líquido o gel para volverlo áspero y hacer que el material adhesivo se adhiera al diente. Luego, el dentista aplica un material adhesivo al diente seguido de una resina del color del diente. Si un diente grande se rompe o el diente tiene muchas caries, el dentista puede tallar o limar parte del diente restante y cubrirlo con una corona con forma de diente, hecha para proteger el diente y mejorar su apariencia. Los diferentes tipos tienen beneficios diferentes.
Si un diente se astilla o se rompe siendo lo suficientemente grande como para exponer la pulpa (el centro del diente que contiene nervios y vasos sanguíneos) las bacterias de la boca pueden infectar la pulpa. Si te duele el diente, cambia de color o es sensible al calor, es probable que la pulpa esté dañada o enferma. El tejido pulpar puede morir y el diente puede infectarse y es necesario extraerlo.
tags: #contorneado #dental #antes #despues