Si necesitas una corona dental para proteger o restaurar un diente, es normal que te surjan dudas sobre qué tipo de corona te conviene más y cuánto cuesta. En este artículo te voy a explicar los diferentes tipos de coronas dentales (fundas dentales) que existen y sus precios aproximados en España. Soy el Dr. Francisco Villoslada, especialista en odontología restauradora.
Una corona dental (también llamada funda dental o prótesis fija) es una cubierta con forma de diente que se coloca sobre una pieza dental dañada o debilitada, restaurando su forma, tamaño, función y apariencia. En otras palabras, actúa como un “casquete” que protege al diente natural, devolviéndole su fuerza para masticar y su estética.

¿Cuándo recomendamos poner una corona?
- Cuando un diente está muy debilitado o fracturado y corre riesgo de romperse más.
- Para proteger un diente que ha recibido una endodoncia (tratamiento de conducto).
- Para restaurar un diente con una caries muy extensa que no puede reconstruirse solo con un empaste (relleno).
- Como parte de un tratamiento de prótesis sobre implantes.
- Por estética dental: para cubrir dientes muy descoloridos, deformados o con malformaciones cuando otros tratamientos (como carillas dentales) no son viables.
En todos estos supuestos, la corona (funda) ayuda a salvar el diente o a reemplazarlo de forma fija, evitando tener que extraer la pieza o recurriendo a prótesis removibles.
Tipos de Coronas Dentales
Existen diferentes tipos de coronas dentales en función del material con el que están fabricadas. Cada material ofrece distintas ventajas en cuanto a estética, durabilidad y precio. Como profesional, siempre evalúo el caso individual para recomendar el tipo de corona más adecuado.
Coronas de Porcelana
Las coronas de porcelana están hechas completamente de material cerámico (porcelana dental de alta calidad, como el disilicato de litio e.max). Son las coronas más estéticas, ya que imitan muy bien el color, el brillo y la translucidez de un diente natural. Por eso suelen emplearse en los dientes anteriores (incisivos y caninos) que se ven al sonreír.
Como desventaja, la porcelana pura es algo menos resistente a la fractura comparada con otros materiales más duros. No se recomienda usar solo porcelana en zonas de carga extrema (por ejemplo, en muelas muy comprometidas) porque podría llegar a fracturarse ante fuerzas masticatorias intensas. En esos casos, a veces es preferible reforzarla con una base de otro material o elegir otro tipo de corona más resistente.
Ejemplo: Un paciente joven con un incisivo oscuro por un golpe eligió una corona totalmente cerámica.
Coronas de Zirconio
Las coronas de zirconio están fabricadas con dióxido de zirconio, un material cerámico extra duro. Estas coronas se pueden usar tanto en dientes frontales como en muelas, ya que su resistencia a la fractura es de las más altas. De hecho, el zirconio ha reemplazado en muchos casos a las antiguas coronas totalmente metálicas, permitiendo tener fuerza y estética a la vez.
En mi experiencia, las coronas de zirconio son una excelente opción para molares o premolares que requieren mucha resistencia, o para pacientes que aprietan los dientes, ya que aguantan muy bien el desgaste. También las empleo en dientes anteriores cuando el paciente quiere la máxima durabilidad junto con estética.

Coronas Metal-Porcelana
Las coronas metal-porcelana (también llamadas de porcelana fundida sobre metal) han sido durante décadas las más utilizadas. Consisten en un núcleo interno metálico (una aleación de metales, por ejemplo cromo-cobalto o níquel) recubierto externamente por porcelana del color del diente. Son muy fuertes y duraderas. Toleran muy bien la presión de la mordida al masticar, por lo que resultan ideales para reemplazar dientes posteriores (muelas y premolares). Al estar detrás, la leve diferencia estética no se nota y se aprovecha su robustez.
El punto débil de las metal-porcelana está en la estética a largo plazo: con los años, si las encías se retraen un poco, puede asomarse una fina línea oscura del metal en la base de la encía, resultando algo antiestético en la sonrisa. Por eso, hoy en día en los dientes delanteros (sonrisa) preferimos evitar el metal subyacente, usando coronas totalmente cerámicas o de zirconio.
Coronas Metálicas
Las coronas metálicas están hechas enteramente de metal. Las coronas metálicas de acero u otros metales base se usan poco en adultos actualmente, porque su apariencia plateada u oscura no es estética. Antiguamente eran comunes por su extrema durabilidad - prácticamente no se fracturan nunca y pueden durar décadas - pero hoy se reservan sobre todo para dientes temporales (molares de leche) en niños o como provisionales. Su ventaja es el bajo precio del material y la resistencia. Sin embargo, visualmente son muy llamativas (color metálico) y pueden generar problemas estéticos y hasta leves sensibilidades galvánicas.
Las coronas de oro merecen mención aparte. El oro es un material excelente en odontología: muy biocompatible, no provoca alergias, altamente resistente al desgaste y se adapta con precisión. Algunas personas aún solicitan coronas de oro en molares por su durabilidad y porque el oro sufre menos desgaste contra dientes opuestos. Sin embargo, son muy caras (debido al precio del oro) y estéticamente llamativas por su color dorado. Por eso, su uso es minoritario hoy en día.
En resumen, una corona metálica simple puede ser la opción más barata y duradera, pero menos estética.
Coronas de Resina
Las coronas de resina están hechas de resina acrílica o composite. Son coronas temporales que utilizamos de forma provisional mientras se fabrica la corona definitiva de mejor material. Sus ventajas son el precio muy bajo y la rapidez de fabricación (incluso se pueden hacer directamente en clínica). Sin embargo, no son muy resistentes ni duraderas: la resina puede fracturarse o desgastarse en pocos meses y con el tiempo tiende a decolorarse o mancharse.
En mi práctica, siempre coloco una corona de resina provisional tras tallar el diente, para protegerlo mientras el laboratorio hace la corona definitiva de porcelana, zirconio, etc.
Implantes dentales: cuidados y revisiones para su mantenimiento
Precios de las Coronas Dentales en España
El precio de una corona dental puede variar ampliamente según varios factores. Principalmente depende del material del que esté hecha, pero también influyen la técnica empleada, la ciudad y clínica donde te atiendas, y la complejidad de tu caso. Por ejemplo, coronas realizadas con materiales avanzados suelen ser más caras, y en grandes ciudades los honorarios pueden ser algo mayores.
Nota: Estos precios son orientativos por unidad (por cada corona sobre un diente natural). Pueden variar según la clínica y la ubicación geográfica, pero reflejan los rangos habituales en España en 2024-2025.
Tratamientos previos: Si el diente requiere una reconstrucción, una endodoncia (desvitalizar el nervio) o cirugía de implante antes de colocar la corona, estos procedimientos se cobran aparte del precio de la corona. Por ejemplo, una corona sobre implante suele ser más cara porque implica el coste del implante en sí, el pilar (abutment) y la cirugía de colocación del implante.
Tipo de clínica o seguro dental: En clínicas de alto prestigio o especialistas muy experimentados, el precio puede ser algo mayor (aunque a cambio ofrecen gran calidad y garantías). Por otro lado, algunas aseguradoras dentales o franquicias ofrecen coronas a precios más reducidos para sus socios. Por ejemplo, según un estudio de 2025, el precio medio de una corona de zirconio en clínicas privadas de Madrid era 401 € y en seguros dentales oscila entre 330€ y 372€.
Como ves, la diferencia de precio entre una corona básica y una de gama alta puede ser importante. No obstante, elegir bien el material de la corona es vital: una corona de calidad te durará muchos años más, evitando retratamientos. Mi consejo profesional es priorizar la calidad y la biocompatibilidad del material en la medida de tu presupuesto.
Tabla de Precios Aproximados de Coronas Dentales en España (2024-2025)
| Tipo de Corona | Material | Precio Aproximado |
|---|---|---|
| Resina | Resina acrílica o composite | 40€ |
| Porcelana | Cerámica e.max | 400€ - 850€ |
| Zirconio | Dióxido de Zirconio | 350€ - 500€ |
| Metal-Porcelana | Núcleo metálico recubierto de porcelana | 360€ |
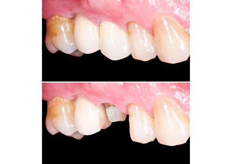
¿Cómo se coloca una corona dental?
El procedimiento para colocar una corona dental suele requerir dos visitas al dentista (salvo que se utilice tecnología CAD/CAM para hacer la corona en el día).
- Preparación del diente: En la primera cita, se anestesia localmente la zona (para que no sientas nada durante el tratamiento). El dentista talla el diente reduciendo su tamaño alrededor, de modo que haya espacio suficiente para alojar la corona encima. Si había caries o empastes antiguos, se eliminan. Quedará un “pilar” de diente sano preparado para ser cubierto.
- Impresiones o escaneo: Se toma el registro de la forma del diente preparado y de la mordida. Esto puede hacerse con una impresión de silicona o mediante un escáner intraoral 3D, dependiendo de la clínica.
- Colocación de corona provisional: Antes de terminar la primera visita, normalmente te colocamos una corona provisional de resina sobre el diente tallado. Esta funda temporal protege el diente y te permite hacer vida normal (masticar con cuidado) durante el intervalo.
- Cementado de la corona definitiva: En la segunda visita (una vez la corona final está lista), se retira la provisional y se prueba la corona definitiva. El dentista comprueba que el ajuste, el contacto con los dientes vecinos y la oclusión (mordida) sean perfectos. Si todo es correcto y estéticamente te ves bien, se fija la corona permanente con un cemento dental especial. Este adhesivo asegura la corona firmemente al diente tallado. Finalmente, se limpian los excesos de cemento y ¡listo!
En la mayoría de los casos, poner una corona es un procedimiento indoloro porque se realiza con anestesia. Tras el cementado, puedes notar el diente un poco «extraño» o con leve sensibilidad al frío los primeros días, pero esto desaparece rápido. Es importante que la corona no quede alta ni incómoda; si sientes que “chocas” prematuramente al morder, avisa a tu dentista para que la ajuste ligeramente.
(Como detalle, algunas clínicas con sistemas CAD/CAM pueden hacer todo en una sola visita: escanean el diente tallado y fresan la corona en el momento, eliminando la necesidad de provisionales.
Duración y Cuidados de las Coronas Dentales
Una corona dental, una vez colocada, se comporta como un diente más en tu boca. En términos generales, la vida útil de una corona bien hecha es de 10 a 15 años de media, pudiendo durar incluso 20 años o más con buenos cuidados. Hay casos documentados de coronas que siguen en boca después de 25-30 años, especialmente las de oro o las de porcelana/zirconio en pacientes muy cuidadosos.
¿Cómo cuidar tus coronas dentales para que duren más?
Muy sencillo: igual que cuidas tus dientes naturales.
- Higiene oral escrupulosa: Cepilla tus dientes (y coronas) al menos 2-3 veces al día con una pasta fluorada, llegando hasta la unión de la corona con la encía. Usa hilo dental o cepillos interdentales diariamente para limpiar los bordes de la corona donde puede acumularse placa.
- Evita hábitos perjudiciales: No uses tus dientes (con corona o sin ella) para abrir envases, morder objetos duros (huesos, hielo, cáscaras) o cortar cosas que no sean comida. Tampoco mastiques alimentos extremadamente duros en el lado de una corona nueva.
- Visitas periódicas al dentista: Programa revisiones e higienes dentales profesionales al menos una vez al año. En la limpieza profesional eliminaremos el sarro acumulado alrededor de tus coronas y dientes (lo que previene la gingivitis y la periodontitis). En las revisiones, el odontólogo controlará el estado de la corona, de la encía y del diente soporte. Si detectamos a tiempo un pequeño problema (como filtración marginal o una caries incipiente en el diente bajo la corona), podremos solucionarlo antes de que comprometa la corona. Piensa que, aunque la corona no se carie, el diente debajo sí puede enfermar si no se cuida; por ejemplo, una caries debajo de la corona podría aflojarla o hacer que se desprenda.
Siguiendo estos consejos, tus coronas se mantendrán en perfecto estado por muchos años. En caso de que notes algo fuera de lo común - por ejemplo, sensibilidad persistente, movilidad en la corona, inflamación en la encía circundante o mal olor - acude a consulta.
Por último, ten la tranquilidad de que las coronas no se manchan fácilmente con café, té o tabaco (especialmente las de porcelana y zirconio, que son muy lisas). Mantendrán su color en el tiempo mejor que un diente natural.
Corona dental vs. Carilla dental
A muchos pacientes les surge la duda entre coronas dentales y carillas dentales.
La corona dental (funda) cubre todo el contorno del diente (360 grados). Requiere tallar el diente por todos sus lados y la corona actúa como un casquete que aporta estructura y protección.
La carilla dental es una lámina fina de porcelana o composite que solo cubre la cara frontal del diente. Se usa principalmente con fines estéticos, por ejemplo para camuflar el color, forma o posición levemente irregular de un diente anterior.
Si el diente está sano y solo buscas mejorar su apariencia (color, forma leve), probablemente con carillas logres el objetivo de forma más conservadora. Pero si el diente está muy restaurado o debilitado, una carilla no sería suficiente (podría despegarse o el diente podría fracturarse por detrás); en ese caso necesitas una corona que lo recubra completamente y le devuelva la resistencia.
Ambos tratamientos pueden lograr una sonrisa hermosa, pero la decisión corona vs. carilla depende del estado del diente. Tu odontólogo evaluará si el diente tiene soporte suficiente para una carilla o si es más seguro colocar una funda.
(Nota: También existe el término “funda dental”, que como ya comentamos, es sinónimo de corona.
Corona dental vs. Implante dental
Esta comparación en realidad es un poco engañosa, porque corona e implante no son tratamientos excluyentes, sino complementarios. Un implante dental es un tornillo de titanio que sustituye la raíz de un diente perdido, y sobre él siempre se coloca una corona (artificial) como parte visible.
La verdadera disyuntiva se da cuando tenemos un diente propio dañado: ¿es mejor intentar salvarlo con una corona o extraerlo y poner un implante?. Si el diente es recuperable, aunque esté muy dañado, solemos preferir conservar el diente natural y protegerlo con una corona. Nada supera a tu propio diente en cuanto a la integración con tu organismo (tiene ligamento periodontal, mantiene el hueso alrededor, etc.). Mientras el radicular esté sano (no tenga fracturas radiculares ni enfermedad periodontal severa), se intenta salvar con endodoncia, perno, corona, etc.
Si el diente no es viable (por ejemplo, raíz fracturada irreparable, caries muy profunda bajo encía, o infección que no puede solucionarse), entonces la extracción seguida de un implante es lo indicado. El implante osteointegrará en el hueso y luego colocaremos una corona sobre implante que reemplace al diente.
Si tienes el diente, primero evaluamos salvarlo con una corona; si ya no hay diente (o hubo que extraerlo), la corona irá sobre un implante. Desde el punto de vista del paciente, una vez terminado el tratamiento, funcional y estéticamente una corona sobre diente natural y una corona sobre implante se ven igual.
Bruxismo y Coronas Dentales
El apretar y rechinar de dientes durante el sueño tiene una prevalencia relativamente elevada en la población. Cuando se trata de incorporar una prótesis fija en estos pacientes, se plantea la pregunta de si realmente resulta posible utilizar, por ejemplo, restauraciones totalmente cerámicas u otras de color dental. En especial, los materiales cerámicos suelen ser bastante frágiles y, por tanto, más susceptibles a fracasos, sobre todo si se utilizan como materiales adhesivos. Por ello, muchos fabricantes no aprueban el uso de sus materiales en este tipo de patologías.

En general, en las personas con bruxismo, es más idóneo utilizar restauraciones monolíticas (es decir, confeccionadas a partir de una única pieza) que materiales con recubrimiento: en estos casos, se prestan las coronas totalmente metálicas, así como las cerámicas de (di)silicato de litio y de óxido de circonio. Dado que las coronas totalmente metálicas no pueden cumplir con las exigencias estéticas, este tipo de restauraciones no encuentra mucha aceptación por parte de los pacientes. Por ello, se está recurriendo cada vez más a las cerámicas de (di)silicato de litio y de óxido de circonio.