El agrandamiento gingival, también conocido como hiperplasia gingival, es una condición en la que las encías crecen de manera anormal, cubriendo parcialmente los dientes. Este problema puede ser causado por varios factores, y uno de los más comunes son ciertos medicamentos. A pesar de que el agrandamiento gingival puede parecer un simple problema estético, las encías agrandadas pueden ser una señal de un problema subyacente que necesita ser tratado.

Causas del Agrandamiento Gingival
Las causas del agrandamiento gingival pueden ser diversas y, en muchos casos, están relacionadas con factores externos o internos que alteran el equilibrio de las encías.
- Medicamentos: Muchos medicamentos pueden provocar un aumento en el tamaño de las encías. Fármacos como los antiepilépticos, los inmunosupresores y ciertos bloqueadores de calcio (utilizados para tratar la hipertensión y otras afecciones cardíacas) son conocidos por inducir la hiperplasia gingival (Barak, Y., et al., 2020). La razón exacta por la cual ciertos medicamentos provocan hiperplasia gingival no está completamente clara, pero se cree que está relacionada con cómo afectan la función celular de las encías.
- Higiene Oral Deficiente: La acumulación de placa bacteriana debido a una higiene inadecuada puede irritar las encías, provocando inflamación y un engrosamiento del tejido gingival. Si no se trata, esta inflamación puede evolucionar a un agrandamiento de las encías (Scully, C., & Cawson, R.
- Uso de Ortodoncia: Los brackets pueden dificultar la limpieza adecuada de los dientes, lo que facilita la inflamación de las encías. En muchos casos, el agrandamiento gingival se puede controlar con una limpieza dental adecuada y el cuidado de las encías (Keller, K.
- Factores Hormonales: Las fluctuaciones hormonales en etapas como la pubertad, el embarazo o la menopausia pueden hacer que las encías se vuelvan más sensibles y propensas a inflamarse, lo que a veces conduce al agrandamiento gingival.
- Factores Hereditarios: Algunas personas tienen una predisposición genética a sufrir de agrandamiento gingival, lo que puede ocurrir sin una causa aparente.
- Leucemia: Esta patología puede generar un agrandamiento gingival.
- Respiración oral: Puede parecer una cuestión baladí, pero respirar por la boca de manera continuada reseca mucho la cavidad y puede generar numerosos problemas como el daño de las encías.
- Estrés: En situaciones de estrés, el organismo libera cortisol.
Se ha comprobado que la hiperplasia se produce con mayor frecuencia en hombres jóvenes, especialmente si descuidan o realizan mal la higiene bucal diaria. Entre las causas que agravan la hiperplasia gingival se encuentra la mala higiene bucal que provoca la acumulación de biofilm dental por encima y por debajo de las encías. En el acto de combatir la infección causada por el biofilm, las encías se agrandan hasta el punto de sangrar. La hiperplasia también puede surgir debido al embarazo, como consecuencia de los cambios hormonales a los que normalmente está sometida la mujer embarazada.
Tipos de Agrandamiento Gingival
- Inflamatoria: Normalmente la causa que es más habitual es la inflamación de las encías por acumulación de la placa bacteriana que se encuentran debajo de las encías.
- Caso no inflamatorio: Generalmente este se produce cuando el paciente está tomando algunos medicamentos o también puede estar derivada por cambios hormonales o causas hereditarias.
Sonrisa Gingival: Causas y Soluciones Fáciles Explicadas
Tratamientos para el Agrandamiento Gingival
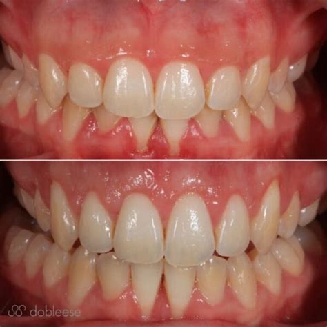
Un diagnóstico adecuado y un tratamiento específico pueden ayudar a controlar y revertir esta condición. En Clínicas Propdental, el primer paso para tratar el agrandamiento gingival es realizar un diagnóstico exhaustivo. Nuestro equipo de expertos en salud dental evaluará las posibles causas subyacentes de la condición y diseñará un plan de tratamiento personalizado. En Clínicas Propdental, realizamos un diagnóstico completo para determinar si el agrandamiento gingival es causado por medicamentos u otros factores.

Opciones de Tratamiento
- Tratamiento Periodontal: Si la causa del agrandamiento es una acumulación de placa o inflamación debido a una mala higiene, el tratamiento periodontal es esencial. La inflamación debe tratarse por separado mediante una terapia no quirúrgica.
- Cambio de Medicación: Si el agrandamiento está relacionado con el uso de medicamentos, es posible que sea necesario hablar con el médico de cabecera para explorar alternativas o ajustar las dosis. Si la hiperplasia es inducida por fármacos, la modalidad de intervención consiste en el control médico, con la reducción o interrupción del fármaco causante del agrandamiento y su sustitución por otro equivalente. Después, es necesario esperar entre 6 y 12 meses para que las encías vuelvan a su tamaño normal.
- Alargamiento Coronario Estético: En los casos en los que el agrandamiento gingival es significativo y afecta la estética o la funcionalidad de los dientes, podemos recurrir a un procedimiento quirúrgico llamado alargamiento coronario. Este tratamiento consiste en una pequeña cirugía realizada bajo anestesia local, donde se elimina una porción de encía para que los dientes sean más visibles y fáciles de mantener limpios. Este procedimiento es especialmente útil cuando el agrandamiento gingival cubre los dientes y dificulta la higiene dental adecuada (Sanz, M., & Chapple, I. En algunos casos, si el agrandamiento es severo, es posible que se necesite un procedimiento quirúrgico como el alargamiento coronario para mejorar la estética dental y facilitar la limpieza de las encías.
- Gingivectomía: Si la terapia no quirúrgica resulta insuficiente, el dentista puede recurrir a la gingivectomía o a la cirugía plástica mucogingival. La operación no suele tener ninguna contraindicación particular, y muestra un buen éxito cuando se utilizan técnicas especiales como el láser, que reduce la hemorragia local.
Sonrisa Gingival: Una Condición Estética Relacionada
Para aquellas personas a las que tener una sonrisa gingival les supone un problema estético, hay diferentes tratamientos que permiten solucionar este problema. La sonrisa gingival es una alteración facial que se define por la exposición excesiva de las encías al sonreír.
Este término se utiliza para describir una condición en la que, al sonreír, se expone una cantidad de encía superior a lo considerado estéticamente «normal». Esta característica no implica necesariamente un problema de salud dental, pero sí puede afectar la percepción estética que una persona tiene de su sonrisa.
Causas de la Sonrisa Gingival
Comprender las causas que provocan una sonrisa gingival es fundamental para elegir la mejor opción, pues no todas se deben al mismo factor.
- Erupción Pasiva Alterada: Se produce cuando los dientes no han “emergido” completamente hacia fuera de la encía después de su erupción natural. Como resultado, los dientes parecen más pequeños de lo que realmente son, y las encías cubren una mayor superficie dental de la que deberían.
- Crecimiento Excesivo de las Encías (Hiperplasia Gingival): Este aumento de volumen puede deberse a varios factores, como una respuesta inflamatoria crónica, uso de ciertos medicamentos o incluso una higiene oral deficiente.
- Hipermovilidad del Labio Superior: El músculo que eleva el labio superior se contrae en exceso al sonreír; provocando que el labio suba más de lo habitual y exponga más encía de la esperada.
- Exceso Vertical del Maxilar Superior: El crecimiento excesivo de la parte vertical del hueso maxilar superior provoca que la encía y los dientes se desplacen hacia abajo en relación al resto de la cara; haciendo que al sonreír se muestre una franja amplia de encía.

Tratamientos para la Sonrisa Gingival
El tratamiento para sonrisa gingival debe adaptarse a las causas que provocan esta condición, ya que no existe una única solución para todos los casos.
- Gingivectomía: Es uno de los tratamientos más utilizados cuando la sonrisa gingival se debe a exceso de encía o a una erupción pasiva alterada. La intervención es relativamente sencilla, se realiza bajo anestesia local y suele tener una recuperación rápida, con mínimas molestias postoperatorias.
- Ortodoncia: Cuando la sonrisa gingival está asociada a una posición dentaria incorrecta o a una erupción dental desalineada, la ortodoncia puede ser la opción indicada.
- Cirugía Ortognática: En casos más complejos, donde la sonrisa gingival se debe a un exceso vertical del maxilar superior, la solución adecuada suele ser la cirugía ortognática.
- Toxina Botulínica (Botox): Una opción menos invasiva y de efecto temporal es la aplicación de toxina botulínica (botox) en el músculo elevador del labio superior.
- Reposicionamiento Labial: Es una técnica quirúrgica menor que busca limitar la movilidad del labio superior para que no se eleve tanto al sonreír.
- Cirugía de labios: Este tratamiento es muy útil para aquellas personas que sufren de un labio corto o hiperactivo, la cirugía de reposicionamiento de labios puede ser de ayuda para evitar mostrar una sonrisa gingival.
- Tratamiento de ortodoncia: se suele utilizar cuando hay problemas de función de la boca, como pueden ser una mala mordida o problemas en la mandíbula. ¿Se puede corregir la sonrisa gingival con ortodoncia Invisalign? La respuesta es sí, teniendo en cuenta antes cuánta encía se muestre al sonreír. Lo más común es tratarlo mediante la combinación de un tratamiento de ortodoncia y otro periodontal, es decir, un tratamiento multidisciplinar.
Cuidados y Prevención
Lo fundamental para prevenir este tipo de patología es tener una buena higiene dental. Si mantenemos una buena higiene dental y diaria sera mucho más fácil prevenir la hiperplasia gingival y también reduciremos la aparición de otras patologías como la gingivitis o periodontitis. Las enfermedades que afectan a las encías prácticamente están relacionadas con el crecimiento de la placa bacteriana.
- Cepillarse los dientes después de cada comida y hacerlo de una forma correcta sin olvidarnos de utilizar el hilo dental es una buena forma de prevenir muchas enfermedades.
- Otro método de prevenir el agrandamiento gingival es visitar a tu dentista de confianza.
Para garantizar la durabilidad de los resultados tras un tratamiento para sonrisa gingival, es fundamental seguir las indicaciones del profesional y mantener controles periódicos.
Tabla Resumen de Tratamientos
| Tratamiento | Descripción | Resultados | Recuperación |
|---|---|---|---|
| Gingivectomía | Recorte del exceso de encía | Visibles e inmediatos | Rápida, con mínimas molestias |
| Ortodoncia | Corrección de la posición dentaria | Progresivos | Adaptación inicial con posibles molestias |
| Cirugía Ortognática | Corrección del exceso vertical del maxilar | Duraderos y naturales | Prolongada, con inflamación y dieta blanda |
| Botox | Relajación del músculo elevador del labio | Rápidos, perceptibles en días | No requiere tiempo de recuperación |
| Reposicionamiento Labial | Limitación de la movilidad del labio superior | Satisfactorios y permanentes | Rápida y con molestias leves |
Si notas cualquier cambio en el tamaño o la apariencia de tus encías, o si estás considerando un tratamiento para sonrisa gingival, no dudes en consultar a nuestros profesionales.