Las encías saludables son fundamentales para mantener una boca sana, pero factores como la recesión gingival, infecciones o el envejecimiento pueden afectar su salud. Afortunadamente, los avances en odontología han permitido desarrollar soluciones como los geles para regenerar encías, que ayudan a restaurar y mejorar la salud de las encías.

¿Qué es un Gel para Regenerar las Encías?
Un gel para regenerar las encías es un producto diseñado específicamente para ayudar a la recuperación y fortalecimiento del tejido gingival. Su objetivo principal es reparar, proteger y estimular la regeneración de las encías, especialmente en casos de irritación, inflamación o retracción.
Estos geles suelen contener ingredientes activos que favorecen la cicatrización y la reducción de la inflamación, además de proporcionar una barrera protectora contra bacterias y agentes irritantes. Son una opción complementaria a la higiene oral diaria y pueden ser recomendados por odontólogos para tratar problemas gingivales leves o como parte de un tratamiento periodontal más completo.
¿Para qué se Utiliza un Gel Regenerador de Encías?
El uso de estos geles puede ser beneficioso en diversas situaciones, como:
- Gingivitis o inflamación de encías: Ayudan a reducir el enrojecimiento y la inflamación provocados por la acumulación de placa bacteriana.
- Retracción gingival: En casos de encías retraídas, pueden contribuir a fortalecer el tejido y prevenir un mayor deterioro.
- Después de tratamientos dentales: Se usan tras procedimientos como limpiezas profundas, raspados o cirugías periodontales para favorecer una mejor recuperación.
- Encías sensibles o dañadas: Aportan alivio y protección a encías debilitadas o expuestas a factores irritantes, como el consumo de alimentos ácidos o el uso de ortodoncia.
Ingredientes Activos en Geles Regeneradores de Encías
Los geles regeneradores de encías contienen diversos ingredientes activos que facilitan la regeneración de los tejidos gingivales.
- Colágeno: Es esencial para la reparación y regeneración de los tejidos gingivales.
El gel para regenerar encías actúa sobre las encías dañadas al proporcionar hidratación, nutrientes y protección contra infecciones. Cuando se aplica sobre las encías afectadas, los ingredientes activos del gel penetran en los tejidos gingivales, promoviendo la regeneración celular, reduciendo la inflamación y fortaleciendo las encías.
Tipos de Geles para Regenerar las Encías
Existen diversos geles diseñados para ayudar en la regeneración y el fortalecimiento de las encías, cada uno con propiedades específicas que favorecen la recuperación del tejido gingival.
Perio-Aid
Este gel bucal bioadhesivo está formulado para desinfectar, reparar y regenerar los tejidos de la encía. Gracias a su contenido en clorhexidina, ácido hialurónico y pantenol, ofrece una potente acción antiséptica y cicatrizante, lo que lo hace ideal para su uso después de tratamientos periodontales o periimplantarios. Además, su textura permite una mayor adherencia a la zona afectada, favoreciendo una recuperación más efectiva.
Auromere
Auromere es un gel pensado para el cuidado preventivo de las encías, especialmente aquellas que son sensibles o propensas a la irritación. Su fórmula incluye extracto de neem y aceite de salvia, ingredientes naturales con propiedades calmantes y regeneradoras. Es un producto apto para niños y adultos, y se recomienda para aliviar molestias derivadas de aftas o inflamaciones leves.
Bexident Encías
Este gel dentífrico combina acción antimicrobiana, antiséptica y antiinflamatoria, lo que lo convierte en una opción eficaz para el tratamiento de problemas gingivales. Contiene clorhexidina, dexpantenol, alantoína y lutrol, un compuesto que ayuda a evitar la adhesión de bacterias a las encías. Además de regenerar el tejido gingival, proporciona un efecto calmante, aliviando molestias y reduciendo la inflamación.
GEL Perioxidin Lacer | Clorhexidina al 0.2% | DOCTOR POLAR
Crema para Encías Bexident - Gel Tópico Gingival
Bexident Gel Encías es un tratamiento específico en formato gel tópico, desarrollado para aliviar eficazmente los síntomas asociados a la inflamación de las encías. Su uso diario está especialmente indicado en casos de gingivitis, sangrado o molestias gingivales, ayudando a proteger y fortalecer el tejido blando de la cavidad oral.
Gracias a su innovadora fórmula, este gel para encías actúa como coadyuvante en tratamientos odontológicos, ofreciendo una acción antiséptica, calmante y regeneradora. Contiene ingredientes como pantenol, aloe vera y extracto de manzanilla, conocidos por sus propiedades cicatrizantes y antiinflamatorias, que ayudan a reducir la hinchazón y el enrojecimiento de manera efectiva.
Bexident Gel Tópico se aplica de forma localizada, permitiendo una acción prolongada sobre la zona afectada sin diluirse con la saliva, lo que lo convierte en una crema para encías ideal para aliviar molestias tras limpiezas dentales profundas o procedimientos periodontales. Su textura ligera facilita la aplicación directa sobre las encías, sin causar irritación ni interferir con la rutina diaria.
Recomendado por odontólogos, este gel para la inflamación de encías es una solución práctica, segura y eficaz para mantener una buena salud bucodental. Úsalo como complemento a tu higiene oral habitual para prevenir la evolución de la gingivitis y cuidar tus encías en profundidad.
Indicaciones
Bexident Encías Tratamiento Coadyuvante Gel tópico gingival está indicado para el cuidado y tratamiento de las encías inflamadas y sensibles. Es especialmente útil en casos de gingivitis, periodontitis y otros problemas gingivales. Se recomienda su uso como parte de una rutina de cuidado bucal diario y bajo la supervisión de un dentista.
Contraindicaciones
No se conocen contraindicaciones específicas para el uso del Bexident Encías Tratamiento Coadyuvante Gel tópico gingival. Sin embargo, se recomienda evitar su uso en caso de alergia o sensibilidad conocida a alguno de sus ingredientes.
¿Cómo Aplicar el Gel para Encías Bexident?
Se recomienda aplicar una pequeña cantidad de gel tópico gingival sobre la encía afectada con la ayuda de un hisopo o con las yemas de los dedos limpios. Realiza un suave masaje circular para facilitar la absorción del producto.
Preguntas Frecuentes sobre Bexident Gel Encías
| Pregunta | Respuesta |
|---|---|
| ¿Cuántas veces al día debo utilizar Bexident Gel Tópico? | Se recomienda utilizar el gel tópico gingival dos veces al día, preferiblemente después del cepillado dental, durante al menos dos minutos. Consulta a tu dentista para obtener recomendaciones específicas sobre la duración del tratamiento. |
| ¿Puedo utilizar Bexident Gel Encías durante el embarazo? | Se recomienda consultar a tu médico o dentista antes de utilizar el gel tópico gingival durante el embarazo para evaluar cualquier posible contraindicación o precaución especial. |
| ¿Cuánto tiempo debo utilizar gel para las encías Bexident? | La duración del tratamiento puede variar según la gravedad de las condiciones gingivales. Se recomienda seguir las indicaciones de tu dentista para determinar la duración adecuada del tratamiento. |
| ¿Puedo utilizar la crema para encías Bexident junto con otros productos de cuidado bucal? | Sí, puedes combinar el uso del gel tópico gingival con otros productos de cuidado bucal como pasta dental y enjuague bucal. Sin embargo, se recomienda seguir las instrucciones de uso de cada producto y consultar a tu dentista si tienes alguna duda o inquietud. |
| ¿Cuándo tarda en hacer efecto el gel Bexident? | Los resultados pueden variar según la condición gingival individual. Sin embargo, se recomienda utilizar el gel tópico gingival de manera regular y seguir las indicaciones de tu dentista para obtener los mejores resultados en el tiempo especificado. |
| ¿Cuáles son los efectos secundarios de gel para encías Bexident? | En general, el gel tópico gingival es bien tolerado. Sin embargo, algunas personas pueden experimentar sensibilidad o reacciones alérgicas. Si experimentas alguna reacción adversa, suspende su uso y consulta a tu dentista. |
| ¿Puedo utilizar Bexident Encías en niños? | El gel tópico gingival está recomendado para adultos. Masajea suavemente el gel sobre las encías afectadas o según las indicaciones de tu dentista. Realiza este procedimiento dos veces al día, preferiblemente después del cepillado dental. No enjuagues con agua inmediatamente después de aplicar el gel para permitir una mayor acción del producto. |
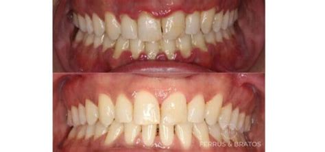
¿Las Encías Pueden Regenerarse?
La respuesta corta es no. A diferencia de otros tejidos del cuerpo, como la piel, las encías no pueden regenerarse por sí solas una vez que han sufrido una retracción. Esto significa que, si la encía se ha retraído y ha dejado expuesta una mayor superficie del diente, no volverá a crecer de manera natural. Sin embargo, existen tratamientos específicos para frenar este proceso y recuperar el tejido gingival perdido.
Para tratar la retracción gingival, se pueden utilizar geles regeneradores que ayudan a fortalecer la encía y mejorar su estado, aunque en casos más avanzados es necesario recurrir a procedimientos quirúrgicos, como injertos de encía o técnicas de colgajo movilizado coronalmente, en los que se utiliza tejido del propio paciente para restaurar la zona afectada.
Estos tratamientos deben ser realizados por un periodoncista, un especialista en el cuidado de las encías, quien evaluará el nivel de retracción y determinará el enfoque más adecuado según la situación de cada paciente.
¿Cómo se Pueden Tratar las Encías Retraídas?
La retracción gingival es un proceso en el que el tejido de las encías se va reduciendo, dejando al descubierto una mayor parte de la raíz del diente. Esto no solo afecta la estética de la sonrisa, sino que también puede comprometer la salud bucodental, aumentando la sensibilidad dental y favoreciendo la acumulación de bacterias.

Si no se trata a tiempo, la retracción de encías puede derivar en enfermedades periodontales más graves, como la periodontitis, lo que incrementa el riesgo de pérdida dental. Por eso, es fundamental detectar y tratar el problema lo antes posible con la orientación de un especialista.
El tratamiento más adecuado dependerá del estado de las encías y el grado de retracción:
- Uso de geles regeneradores: En fases iniciales, estos productos pueden fortalecer la encía y aliviar la inflamación, ayudando a mejorar su estado general.
- Tratamientos periodontales profesionales: En casos más avanzados, pueden ser necesarias técnicas como el raspado y alisado radicular, que eliminan bacterias y suavizan la superficie del diente para favorecer la adhesión del tejido gingival.
- Cirugía de injerto de encía: Cuando la retracción es severa, el especialista puede realizar un injerto de tejido para cubrir la raíz expuesta y restaurar la protección natural del diente.
El diagnóstico y tratamiento precoz son clave para evitar que la retracción avance y comprometa la salud oral.
¿Cuál es la Mejor Pasta de Dientes para la Gingivitis?
La gingivitis es una afección bucal común que causa inflamación, enrojecimiento y sangrado de las encías. Es provocada principalmente por la acumulación de placa bacteriana, lo que irrita los tejidos gingivales. Los síntomas más comunes de la gingivitis incluyen encías inflamadas, enrojecidas y sangrantes, especialmente al cepillarse los dientes. El tratamiento de la gingivitis incluye la eliminación de la placa bacteriana mediante un buen hábito de higiene bucal.
A continuación, te presentamos algunas de las mejores pastas de dientes para la gingivitis disponibles en el mercado para mantener una salud bucal óptima.
- GingiLacer Encías Delicadas
- Bexident Encías de ISDIN
- Clorhexidina Lacer Completa el ranquin Clorhexidina Lacer, una de las pastas dentífricas más recomendadas para quienes padecen gingivitis avanzada o periodontitis.
La gingivitis es una afección que no debe tomarse a la ligera, ya que puede derivar en problemas bucales más graves si no se trata adecuadamente. Incorporar una de estas pastas dentífricas a tu rutina de higiene bucal puede marcar una gran diferencia en la salud de tus encías. No, el uso de pasta de dientes especializada debe ir acompañado de una correcta técnica de cepillado, el uso de hilo dental y visitas regulares al dentista.

¿Cómo Aplicar Correctamente el Gel para Encías?
La aplicación de geles para regenerar encías es fácil, pero debe hacerse de manera adecuada para obtener los mejores resultados.
- Asegúrate de cepillarte los dientes y usar hilo dental antes de aplicar el gel.
- Con la ayuda de un aplicador o con los dedos limpios, aplica una pequeña cantidad de gel sobre las encías afectadas.
- Para maximizar los beneficios del gel, realiza un masaje suave en la zona donde aplicaste el producto.
- Deja que el gel actúe durante unos minutos sin enjuagar la boca.
- La frecuencia de aplicación puede variar dependiendo del tipo de gel que uses y de las recomendaciones de tu dentista.
Si tienes encías inflamadas o experimentas recesión gingival, no dudes en consultar a tu dentista en Leganés.
tags: #crema #para #encias #sangrantes