Los colmillos montados, también llamados caninos elevados, son una alteración relativamente habitual que afecta la estética de la sonrisa y puede comprometer el desarrollo normal de la dentadura. Este trastorno tiene su origen en el propio proceso de erupción dental. Los caninos son uno de los últimos dientes en salir, y como consecuencia, pueden quedar retenidos o bloqueados en la parte alta de la encía.
El canino superior permanente es el diente que más tiempo emplea en erupcionar y el que presenta mayor incidencia de trastornos eruptivos. Los colmillos montados están directamente relacionados con la falta de espacio en la arcada dental. Cuando el material dentario presente es mayor al espacio disponible en la arcada, se produce apiñamiento.

Causas de los Colmillos Montados
Los colmillos montados aparecen cuando los caninos no erupcionan correctamente, quedando en una posición más elevada que el resto de los dientes. Uno de los motivos más comunes es la falta de espacio en la arcada dentaria. Cuando los dientes vecinos ocupan demasiado sitio, los colmillos pueden verse obligados a emerger en una posición más alta. El factor hereditario juega un papel fundamental en la alineación dental. Ciertos hábitos adquiridos en la infancia también pueden influir en la alineación dental.
Esta circunstancia es especialmente frecuente en los niños que han perdido dientes de leche de manera prematura o que han visto alterado el orden habitual en el proceso de erupción. En condiciones normales, los colmillos de leche deberían caerse a los 9-11 años y erupcionar como parte de la dentadura definitiva en torno a los 13 años. Pero no siempre sucede así. Una ortopantomografía a partir de los 8 años puede determinar la posición de las piezas dentales y si existe o no algún obstáculo en la aparición de los dientes para actuar en consecuencia.

Problemas Causados por Colmillos Montados
A primera vista, los colmillos altos afectan negativamente a la estética de la sonrisa. Además, unos colmillos altos tienen consecuencias para la limpieza de los dientes. El hecho de que estén montados o mal colocados impide al cepillo de dientes acceder a toda la superficie dental. Igualmente, unos colmillos altos no permiten una buena mordida. Por tanto, los dientes de la arcada superior no contactarán adecuadamente con los de la inferior.
Los colmillos tienen un papel fundamental en los movimientos mandibulares durante la masticación, ya que guían a la mandíbula cuando comemos. Además, los colmillos cumplen una función clave en la mordida y la estabilidad de la dentadura.
Soluciones para Colmillos Montados
Existen diferentes soluciones para colmillos montados, dependiendo de la complejidad del caso. En líneas generales, podemos decir que la solución a los colmillos altos pasa por un tratamiento de ortodoncia. La ortodoncia es la solución más común. En algunos casos leves, ejercicios de ortodoncia pasiva, junto con la supervisión de un odontólogo, pueden ayudar a mejorar la alineación sin necesidad de aparatos.
Por un lado, dentro de la ortodoncia interceptiva englobamos todos aquellos tratamientos encaminados a expandir la arcada dentaria, con el objetivo de crear el espacio necesario para que los colmillos puedan erupcionar por completo. Por otro lado, llamamos ortodoncia correctiva a los tratamientos basados en brackets y alineadores transparentes.
Ante la necesidad de aplicar ortodoncia para los colmillos montados, tanto si se realiza un tratamiento con extracciones como sin extracciones, es posible hacerlo con ortodoncia convencional o con Invisalign. Con ortodoncia invisible Invisalign se realiza una predicción de cómo van a poder ubicarse en la arcada y se tracciona de los caninos con los alineadores hasta conseguir su alineamiento.
Con ortodoncia invisible lingual el alineamiento que se debe llevar a cabo es el mismo que con los brackets vestibulares o en la cara externa del diente. Con ortodoncia con brackets vestibulares o en la cara externa del diente el alineamiento es sencillo y simplemente debemos calcular bien el espacio para poder ubicar los caninos evitando inclinar excesivamente los incisivos.
En situaciones de apiñamiento severo, puede ser necesario recurrir a la extracción de los primeros premolares para liberar espacio. Ante casos con apiñamiento severo, donde el paladar tiene las dimensiones correctas, la única opción de tratamiento es con extracciones dentales para poder colocar los caninos en la arcada. Los dientes que normalmente se extraen son los primeros premolares (el diente que está justo detrás del canino). Tener un diente menos en cada lado no tiene consecuencias negativas para la mordida ya que tenemos 2 premolares en cada lado.
En situaciones donde los colmillos no pueden alinearse correctamente debido a un apiñamiento severo, la extracción de colmillos en adultos puede ser la única opción. Una de las preguntas frecuentes que nos hacen los pacientes cuando les explicamos que debemos sacar dientes para alinearlo todo correctamente, es por qué no extraer los caninos si son el problema en lugar de sacar un diente que está bien colocado. El canino es uno de los dientes más importantes de la boca y sirve de guía para toda la oclusión. Además, es un diente que está posicionado en la parte anterior y tiene un papel muy importante en la estética facial y de la sonrisa. Además, extraer colmillos montados podría producir defectos en la encía que no pasarían desapercibidos a la hora de sonreír.
¿Cómo bajar colmillos montados sin sacar dientes? - Odontología Láser.

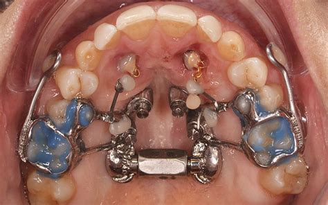
Fenestración y Tracción de Caninos
Cuando el problema que plantea el paciente es la inclusión de los caninos en la zona palatina, lo más recomendable es recurrir a la fenestración dental combinada con el posterior tratamiento ortodóncico. Aunque la fenestración de la pieza dental está condicionada por las particularidades de la boca de cada paciente, en el caso de los colmillos impactados resulta la solución más ventajosa. Gracias a la fenetración y tracción de caninos, se evitan las posibles consecuencias de un diente retenido.
La fenestración dental es un proceso indoloro y con un posoperatorio sencillo. Se trata de una cirugía ambulatoria realizada con anestesia local. Al finalizar la intervención se recomienda tomar algún tipo de calmante. Inmediatamente después de la cirugía de fenestración de caninos, se deben comer alimentos blandos y abundante líquido. Unos días después de la fenestración del colmillo se procede a la retirada de puntos.
Tras la retirada de hueso y mucosa en el área palatina, es normal sentir molestias. Durante los primeros días se ha de llevar una dieta blanda y extremar la higiene en el área afectada. Con la retirada de los puntos dará comienzo el proceso de tracción para desplazar el diente hasta su posición. El mejor consejo después de un procedimiento de este tipo es tener paciencia. Unos días después de la fenestración del colmillo se procede a la retirada de puntos.
Por norma general, una vez la pieza dental ha sido descubierta y se coloca el bracket, suele tardar entre 4 y 6 meses. No todos los caninos incluidos pueden ser reubicados. El cirujano oral y el ortodoncista trabajan de manera conjunta para determinar qué pacientes son aptos para este tipo de tratamientos.

Tiempo de Tratamiento
El tiempo que tarda en bajar un canino alto puede ser muy variable en función de distintas circunstancias. En general, podemos decir que los tratamientos de ortodoncia para corregir los colmillos altos pueden oscilar desde los seis hasta los doce meses. En cualquier caso, para obtener una respuesta más concreta y personalizada es fundamental acudir a nuestra clínica dental y ser valorado por los ortodoncistas.
Es importante recordar que los colmillos son, por lo general, las últimas piezas dentales en erupcionar. Esto hace que jueguen en cierta desventaja con respecto al resto de los dientes y que, en ocasiones, se presenten algunas dificultades para encontrar su lugar en la boca. Sin embargo, el hecho de que los colmillos aparezcan más tarde no tiene por qué condicionar su colocación.
Prevención de Colmillos Montados
Los colmillos altos sí se pueden prevenir. Para prevenir los colmillos altos resulta recomendable acudir al ortodoncista desde una edad temprana, en concreto, entre los cinco y seis años. En este caso, es posible detectar la falta de espacio con un diagnóstico radiográfico a edades tempranas.
Caninos Retenidos
El colmillo retenido ocurre cuando el diente queda atrapado dentro del hueso sin llegar a emerger completamente. Los caninos retenidos deben ser extraídos, ya que, de lo contrario, cuando deba ser extraído, puede generar complicaciones, como infecciones locales, del seno maxilar o de la fosa nasal.
Si necesitas asesoramiento, contáctanos. Valoramos tu caso.