Para aquellos que buscan una opción para mejorar la estética y la función de dientes dañados, astillados, rotos o manchados, las coronas dentales se presentan como una solución efectiva. Sin embargo, muchos dudan si pueden costear este tipo de tratamiento. Es por esta razón que, a continuación, explicamos cuál es el precio de una corona dental y por qué varía. Así tendrás toda la información que necesitas antes de tomar una decisión.
La corona dental es una «funda» en forma de diente que se coloca sobre un diente o implante dental. Su finalidad principal es la rehabilitación dental. Requerirá de profesionales altamente capacitados para conducir el proceso con éxito.
Asimismo, la importancia de las fundas es absoluta, para emular normalidad y naturalidad en las piezas altamente dañadas y que, al mostrarse, pueden inducir a una falta de salud bucodental.

¿Qué son las Coronas Dentales?
Las coronas dentales son recubrimientos o fundas para los dientes que se utilizan para cubrir un diente roto, dañado o debilitado. Son cubiertas hechas a la medida, que ayudan a recuperar la forma, fuerza, tamaño y estética de los dientes afectados.
Propósito de las coronas dentales
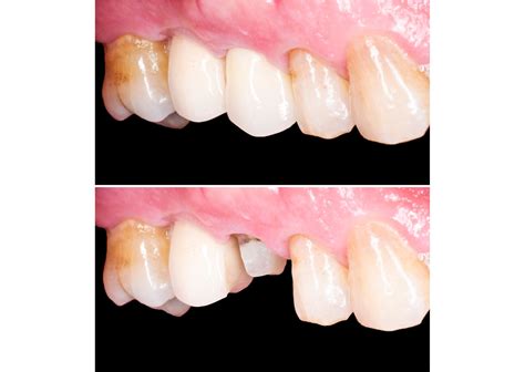
Se trata de un tipo de tratamiento que restaura los dientes de manera permanente devolviéndole a la dentadura su funcionalidad y apariencia. Esta alternativa es efectiva para que la dentadura vuelva a tener una función masticatoria óptima, así como la fuerza y la estética en dientes manchados, astillados o que han perdido su forma natural. Pueden ser una opción para un diente roto.
Tipos de Coronas Dentales y Materiales
Existen diferentes tipos de coronas, que se fabrican con diversos materiales. Al estar fabricadas en diversos materiales, el precio de las coronas dentales puede variar, en función de las que se seleccione.
Existen diferentes tipos de coronas dentales en función del material con el que están fabricadas. Cada material ofrece distintas ventajas en cuanto a estética, durabilidad y precio. Como profesional, siempre evalúo el caso individual para recomendar el tipo de corona más adecuado.
Estos son algunos de los materiales más comunes:
- Cerámica e.max (porcelana, también utilizada en carillas).
- Zirconio.
- Metal.
- Resina.
Todos estos materiales ofrecen resultados altamente satisfactorios por su excelente grado de adaptación.
Coronas de Porcelana (Cerámica e.max)
Las coronas de porcelana están hechas completamente de material cerámico (porcelana dental de alta calidad, como el disilicato de litio e.max). Son las coronas más estéticas, ya que imitan muy bien el color, el brillo y la translucidez de un diente natural. Por eso suelen emplearse en los dientes anteriores (incisivos y caninos) que se ven al sonreír.
Las coronas de porcelana e.max proporcionan mejor combinación de colores naturales que cualquier otro tipo corona. Son más frágiles que las de metal porcelana o zirconio. Debido a esto, no se suelen colocar en los dientes posteriores o muelas.
Como desventaja, la porcelana pura es algo menos resistente a la fractura comparada con otros materiales más duros. No se recomienda usar solo porcelana en zonas de carga extrema (por ejemplo, en muelas muy comprometidas) porque podría llegar a fracturarse ante fuerzas masticatorias intensas. En esos casos, a veces es preferible reforzarla con una base de otro material o elegir otro tipo de corona más resistente.

Ejemplo: Un paciente joven con un incisivo oscuro por un golpe eligió una corona totalmente cerámica.
Coronas de Zirconio
Las coronas de zirconio están fabricadas con dióxido de zirconio, un material cerámico extra duro. Estas coronas se pueden usar tanto en dientes frontales como en muelas, ya que su resistencia a la fractura es de las más altas. De hecho, el zirconio ha reemplazado en muchos casos a las antiguas coronas totalmente metálicas, permitiendo tener fuerza y estética a la vez.
El zirconio es un material resistente capaz de soportar el desgaste diario. Su nivel estético es bueno. Son translúcidas y reflejan la luz de la misma manera que un diente natural, además de ser «biocompatible”. A diferencia de la amalgama o aleaciones metálicas, el cuerpo humano acepta el zirconio, por lo que no tendría que preocuparse por las alergias o reacciones adversas.
En mi experiencia, las coronas de zirconio son una excelente opción para molares o premolares que requieren mucha resistencia, o para pacientes que aprietan los dientes, ya que aguantan muy bien el desgaste. También las empleo en dientes anteriores cuando el paciente quiere la máxima durabilidad junto con estética.

Coronas de Metal-Porcelana
Las coronas metal-porcelana (también llamadas de porcelana fundida sobre metal) han sido durante décadas las más utilizadas. Consisten en un núcleo interno metálico (una aleación de metales, por ejemplo cromo-cobalto o níquel) recubierto externamente por porcelana del color del diente. Son muy fuertes y duraderas. Toleran muy bien la presión de la mordida al masticar, por lo que resultan ideales para reemplazar dientes posteriores (muelas y premolares).
Están fabricadas de metal recubiertas en porcelana. Se ven naturales y son más fuertes que la porcelana. La principal desventaja es el metal que puede verse a través de sus encías o con el paso del cuando las encías se retraigan dejan el metal al descubierto. Con la evolución de la odontología estética este tipo de coronas actualmente se encuentra en desuso.
Al estar detrás, la leve diferencia estética no se nota y se aprovecha su robustez.
El punto débil de las metal-porcelana está en la estética a largo plazo: con los años, si las encías se retraen un poco, puede asomarse una fina línea oscura del metal en la base de la encía, resultando algo antiestético en la sonrisa. Por eso, hoy en día en los dientes delanteros (sonrisa) preferimos evitar el metal subyacente, usando coronas totalmente cerámicas o de zirconio.

Coronas Metálicas
Fabricada de oro, paladio, níquel o cromo. Por lo general duraban mucho tiempo.
Las coronas metálicas están hechas enteramente de metal. Las coronas metálicas de acero u otros metales base se usan poco en adultos actualmente, porque su apariencia plateada u oscura no es estética. Antiguamente eran comunes por su extrema durabilidad - prácticamente no se fracturan nunca y pueden durar décadas - pero hoy se reservan sobre todo para dientes temporales (molares de leche) en niños o como provisionales.
Su ventaja es el bajo precio del material y la resistencia. Sin embargo, visualmente son muy llamativas (color metálico) y pueden generar problemas estéticos y hasta leves sensibilidades galvánicas.
El oro es un material excelente en odontología: muy biocompatible, no provoca alergias, altamente resistente al desgaste y se adapta con precisión. Algunas personas aún solicitan coronas de oro en molares por su durabilidad y porque el oro sufre menos desgaste contra dientes opuestos. Sin embargo, son muy caras (debido al precio del oro) y estéticamente llamativas por su color dorado. Por eso, su uso es minoritario hoy en día.
En resumen, una corona metálica simple puede ser la opción más barata y duradera, pero menos estética.
Coronas de Resina
Las coronas de resina están hechas de resina acrílica o composite. Son coronas temporales que utilizamos de forma provisional mientras se fabrica la corona definitiva de mejor material. Sus ventajas son el precio muy bajo y la rapidez de fabricación (incluso se pueden hacer directamente en clínica). Sin embargo, no son muy resistentes ni duraderas: la resina puede fracturarse o desgastarse en pocos meses y con el tiempo tiende a decolorarse o mancharse.
En mi práctica, siempre coloco una corona de resina provisional tras tallar el diente, para protegerlo mientras el laboratorio hace la corona definitiva de porcelana, zirconio, etc.
Factores que Influyen en el Precio de una Corona Dental
Para comprender el precio de una corona dental, es importante saber los principales aspectos que están relacionados con este tipo de tratamiento.
- Tipo de material de la corona: El material de fabricación impacta de manera directa el precio de una corona dental. Las de metal suelen ser las más económicas, mientras que las de zirconio son las más costosas.
- Complejidad del procedimiento dental: El estado actual de la dentadura también afecta cuánto cuesta una corona dental. Si se requieren procedimientos adicionales, una reconstrucción dental o preparar el diente antes de colocar la funda, esto aumenta el precio.
- Ubicación geográfica de la clínica dental: En clínicas dentales ubicadas en las zonas urbanas los costes pueden ser mayores que en las zonas rurales. Esto se debe a que los alquileres pueden ser mayores así como los precios de los materiales y servicios.
- Experiencia y reputación del odontólogo: Contar con un profesional con experiencia, capacitado y con buena reputación puede incrementar el valor de los honorarios médicos.
- Costos adicionales: consultas, radiografías y seguimiento. Al realizarse un tratamiento para colocar una corona dental, también hay que considerar que el precio puede aumentar por el coste de la consulta con el especialista, las imágenes que puedan ser necesarias para el diagnóstico y diseño de la corona, y las revisiones luego de culminar el tratamiento.
Comparación de Precios Según el Material de la Corona
El precio de una corona dental puede variar ampliamente según varios factores. Principalmente depende del material del que esté hecha, pero también influyen la técnica empleada, la ciudad y clínica donde te atiendas, y la complejidad de tu caso. Por ejemplo, coronas realizadas con materiales avanzados suelen ser más caras, y en grandes ciudades los honorarios pueden ser algo mayores.
Todos los factores antes mencionados tienen un impacto en el precio de una corona dental, pero en general podemos decir que cada una puede costar entre 90 y 850 euros. La elección dependerá de las necesidades y el presupuesto de cada paciente.

A continuación, se presenta una tabla con los precios aproximados por tipo de corona:
| Tipo de Corona | Material | Precio Aproximado (EUR) | Características |
|---|---|---|---|
| Metal | Aleaciones de oro, platino o níquel | 70 - 150 | Resistente, pero poco estética. |
| Porcelana (Cerámica e.max) | Porcelana dental de alta calidad | 400 - 850 | Estética, imita el color natural del diente, ideal para dientes frontales. |
| Zirconio | Dióxido de zirconio | 350 - 500 | Resistente y estético, biocompatible. |
| Metal-Porcelana | Núcleo metálico recubierto de porcelana | 360 - 450 | Resistente y duradera, adecuada para molares y premolares. |
| Resina Compuesta | Resina acrílica o composite | 40 | Temporal, precio bajo, menos resistente. |
Nota: Estos precios son orientativos por unidad (por cada corona sobre un diente natural). Pueden variar según la clínica y la ubicación geográfica, pero reflejan los rangos habituales en España en 2024-2025.
Es importante recordar que estos precios son aproximados y pueden variar dependiendo de la clínica dental y la ubicación geográfica.
Tratamientos Previos y Costos Adicionales
Si el diente requiere una reconstrucción, una endodoncia (desvitalizar el nervio) o cirugía de implante antes de colocar la corona, estos procedimientos se cobran aparte del precio de la corona. Por ejemplo, una corona sobre implante suele ser más cara porque implica el coste del implante en sí, el pilar (abutment) y la cirugía de colocación del implante.
Tipo de Clínica o Seguro Dental
En clínicas de alto prestigio o especialistas muy experimentados, el precio puede ser algo mayor (aunque a cambio ofrecen gran calidad y garantías). Por otro lado, algunas aseguradoras dentales o franquicias ofrecen coronas a precios más reducidos para sus socios. Por ejemplo, según un estudio de 2025, el precio medio de una corona de zirconio en clínicas privadas de Madrid era 401 € y en seguros dentales oscila entre 330€ y 372€.
Como ves, la diferencia de precio entre una corona básica y una de gama alta puede ser importante. No obstante, elegir bien el material de la corona es vital: una corona de calidad te durará muchos años más, evitando retratamientos. Mi consejo profesional es priorizar la calidad y la biocompatibilidad del material en la medida de tu presupuesto.
¿Qué es y cuánto cuesta una Corona Dental? | PRECIOS Corona circonio, porcelana y metálica.
¿Cómo se Coloca una Corona Dental?
El procedimiento para colocar una corona dental suele requerir dos visitas al dentista (salvo que se utilice tecnología CAD/CAM para hacer la corona en el día).
- Preparación del diente: En la primera cita, se anestesia localmente la zona (para que no sientas nada durante el tratamiento). El dentista talla el diente reduciendo su tamaño alrededor, de modo que haya espacio suficiente para alojar la corona encima. Si había caries o empastes antiguos, se eliminan. Quedará un “pilar” de diente sano preparado para ser cubierto.
- Impresiones o escaneo: Se toma el registro de la forma del diente preparado y de la mordida. Esto puede hacerse con una impresión de silicona o mediante un escáner intraoral 3D, dependiendo de la clínica.
- Colocación de corona provisional: Antes de terminar la primera visita, normalmente te colocamos una corona provisional de resina sobre el diente tallado. Esta funda temporal protege el diente y te permite hacer vida normal (masticar con cuidado) durante el intervalo.
- Cementado de la corona definitiva: En la segunda visita (una vez la corona final está lista), se retira la provisional y se prueba la corona definitiva. El dentista comprueba que el ajuste, el contacto con los dientes vecinos y la oclusión (mordida) sean perfectos. Si todo es correcto y estéticamente te ves bien, se fija la corona permanente con un cemento dental especial. Este adhesivo asegura la corona firmemente al diente tallado. Finalmente, se limpian los excesos de cemento y ¡listo!
En la mayoría de los casos, poner una corona es un procedimiento indoloro porque se realiza con anestesia. Tras el cementado, puedes notar el diente un poco «extraño» o con leve sensibilidad al frío los primeros días, pero esto desaparece rápido. Es importante que la corona no quede alta ni incómoda; si sientes que “chocas” prematuramente al morder, avisa a tu dentista para que la ajuste ligeramente.
(Como detalle, algunas clínicas con sistemas CAD/CAM pueden hacer todo en una sola visita: escanean el diente tallado y fresan la corona en el momento, eliminando la necesidad de provisionales.
Durabilidad y Cuidado de las Coronas Dentales
Una corona dental, una vez colocada, se comporta como un diente más en tu boca. En términos generales, la vida útil de una corona bien hecha es de 10 a 15 años de media, pudiendo durar incluso 20 años o más con buenos cuidados. Hay casos documentados de coronas que siguen en boca después de 25-30 años, especialmente las de oro o las de porcelana/zirconio en pacientes muy cuidadosos.
¿Cómo cuidar tus coronas dentales para que duren más?
Muy sencillo: igual que cuidas tus dientes naturales.
- Higiene oral escrupulosa: Cepilla tus dientes (y coronas) al menos 2-3 veces al día con una pasta fluorada, llegando hasta la unión de la corona con la encía. Usa hilo dental o cepillos interdentales diariamente para limpiar los bordes de la corona donde puede acumularse placa.
- Evita hábitos perjudiciales: No uses tus dientes (con corona o sin ella) para abrir envases, morder objetos duros (huesos, hielo, cáscaras) o cortar cosas que no sean comida. Tampoco mastiques alimentos extremadamente duros en el lado de una corona nueva.
- Visitas periódicas al dentista: Programa revisiones e higienes dentales profesionales al menos una vez al año. En la limpieza profesional eliminaremos el sarro acumulado alrededor de tus coronas y dientes (lo que previene la gingivitis y la periodontitis). En las revisiones, el odontólogo controlará el estado de la corona, de la encía y del diente soporte. Si detectamos a tiempo un pequeño problema (como filtración marginal o una caries incipiente en el diente bajo la corona), podremos solucionarlo antes de que comprometa la corona.
Piensa que, aunque la corona no se carie, el diente debajo sí puede enfermar si no se cuida; por ejemplo, una caries debajo de la corona podría aflojarla o hacer que se desprenda. Siguiendo estos consejos, tus coronas se mantendrán en perfecto estado por muchos años. En caso de que notes algo fuera de lo común - por ejemplo, sensibilidad persistente, movilidad en la corona, inflamación en la encía circundante o mal olor - acude a consulta.
Por último, ten la tranquilidad de que las coronas no se manchan fácilmente con café, té o tabaco (especialmente las de porcelana y zirconio, que son muy lisas). Mantendrán su color en el tiempo mejor que un diente natural.
Coronas Dentales vs. Carillas Dentales
A muchos pacientes les surge la duda entre coronas dentales y carillas dentales.
- La corona dental (funda) cubre todo el contorno del diente (360 grados). Requiere tallar el diente por todos sus lados y la corona actúa como un casquete que aporta estructura y protección.
- La carilla dental es una lámina fina de porcelana o composite que solo cubre la cara frontal del diente. Se usa principalmente con fines estéticos, por ejemplo para camuflar el color, forma o posición levemente irregular de un diente anterior.
Si el diente está sano y solo buscas mejorar su apariencia (color, forma leve), probablemente con carillas logres el objetivo de forma más conservadora. Pero si el diente está muy restaurado o debilitado, una carilla no sería suficiente (podría despegarse o el diente podría fracturarse por detrás); en ese caso necesitas una corona que lo recubra completamente y le devuelva la resistencia.
Ambos tratamientos pueden lograr una sonrisa hermosa, pero la decisión corona vs. carilla depende del estado del diente. Tu odontólogo evaluará si el diente tiene soporte suficiente para una carilla o si es más seguro colocar una funda.
(Nota: También existe el término “funda dental”, que como ya comentamos, es sinónimo de corona.
Corona Dental vs. Implante Dental
Esta comparación en realidad es un poco engañosa, porque corona e implante no son tratamientos excluyentes, sino complementarios. Un implante dental es un tornillo de titanio que sustituye la raíz de un diente perdido, y sobre él siempre se coloca una corona (artificial) como parte visible.
La verdadera disyuntiva se da cuando tenemos un diente propio dañado: ¿es mejor intentar salvarlo con una corona o extraerlo y poner un implante?.
Si el diente es recuperable, aunque esté muy dañado, solemos preferir conservar el diente natural y protegerlo con una corona. Nada supera a tu propio diente en cuanto a la integración con tu organismo (tiene ligamento periodontal, mantiene el hueso alrededor, etc.). Mientras el radicular esté sano (no tenga fracturas radiculares ni enfermedad periodontal severa), se intenta salvar con endodoncia, perno, corona, etc.
Si el diente no es viable (por ejemplo, raíz fracturada irreparable, caries muy profunda bajo encía, o infección que no puede solucionarse), entonces la extracción seguida de un implante es lo indicado. El implante osteointegrará en el hueso y luego colocaremos una corona sobre implante que reemplace al diente.
Si tienes el diente, primero evaluamos salvarlo con una corona; si ya no hay diente (o hubo que extraerlo), la corona irá sobre un implante.
Desde el punto de vista del paciente, una vez terminado el tratamiento, funcional y estéticamente una corona sobre diente natural y una corona sobre implante se ven igual.