La caída de los dientes de leche es un proceso natural y crucial en el desarrollo de la salud bucodental de los niños. En este artículo, te explicamos todo lo que necesitas saber sobre los dientes deciduos o dientes primarios para que los más pequeños crezcan con una sonrisa sana.

¿Qué son los dientes de leche?
Los dientes de leche son los primeros dientes que erupcionan en la boca de los bebés. Permanecen en la boca durante un tiempo limitado hasta que son reemplazados por los dientes definitivos o permanentes. La dentadura de leche es la encargada de guardar espacio para los dientes adultos, que empiezan a crecer en las encías de los niños. Unos dientes primarios que crecen correctamente, beneficiarán el crecimiento de los dientes definitivos.
Cuidado Dental Niños 🤷 ¿Cómo es el Orden de Caída en Dientes de Leche?
Nacimiento de los dientes de leche
¿Cuándo salen los dientes a los bebés?
Cuándo salen los dientes puede variar en cada caso, aunque normalmente a partir de los 4 meses es cuando empieza el proceso de dentición de los bebés. Generalmente, los incisivos inferiores son los primeros cuatro dientes deciduos en aparecer. A partir del noveno mes del bebé suelen erupcionar los incisivos centrales superiores. Aproximadamente a los 15 meses, salen los primeros molares superiores e inferiores. Alrededor de los dos años, empiezan a salir los segundos molares temporales. El proceso de salida de los dientes de los bebés se prolonga, por lo general, hasta los dos años y medio. Además, a los 6 años suelen empezar a salir los primeros molares definitivos.
Síntomas de la dentición en los bebés
Los síntomas de dentición de los bebés suelen variar en función de cada caso: hay bebés que no presentan síntomas, y hay otros casos en los que el bebé sufre verdaderas molestias. Los síntomas de la salida de los dientes del bebé pueden ser:
- Nerviosismo e irritabilidad
- Babeo excesivo
- Hinchazón en las encías
- Dificultad para conciliar el sueño
- Pérdida de apetito
- Ligeros periodos febriles
Si el malestar del bebé vemos que perdura durante un tiempo prolongado, es recomendable visitar un odontopediatra.
¿Para qué sirven los dientes de leche?
Principalmente, los dientes de leche sirven para cumplir tres funciones:
- Posibilitar el paso de una dieta líquida a sólida.
- Mantener el espacio para los dientes definitivos y contribuir al desarrollo de la mandíbula y el maxilar.
- Los dientes de leche también sirven para facilitar la pronunciación en el proceso de aprendizaje del habla.
¿Cuántos dientes de leche tiene un niño?
Si te preguntas cuántos dientes de leche tenemos, la respuesta es 20: 10 dientes de leche en la arcada superior y 10 en la arcada inferior. Cada niño tiene un total de 20 dientes de leche: 8 incisivos (2 mediales en la parte superior e inferior y 2 laterales en la parte superior e inferior), 8 molares (4 superiores y 4 inferiores) y 4 caninos (2 superiores y 2 inferiores)). Los 20 dientes de leche generalmente terminan de salir antes del tercer cumpleaños del niño. Estos 10 dientes en el maxilar y 10 en la mandíbula son los que guardarán el espacio para la futura sonrisa de tus hijos. Tras la caída de los primeros dientes empieza el proceso de dentición mixta, en el que conviven dientes deciduos y dientes permanentes.

Caída de los dientes de leche
¿Cuándo se caen los dientes de leche?
La caída de los dientes de leche es un momento crucial en el crecimiento de los niños. Los dientes de leche generalmente comienzan a caerse alrededor de los 6 años para dar paso a los dientes permanentes. Entre los 5 y 6 años y hasta los 12 años es cuando se caen los dientes de leche. Durante este tiempo, los dientes temporales conviven con los dientes definitivos. El primer diente de leche que se cae suele ser uno de los incisivos medios, dando lugar a la famosa sonrisa desdentada que tienen muchos niños de primer grado. Hasta los 12-13 años, el niño pierde gradualmente todos sus dientes de leche, que son reemplazados gradualmente por dientes permanentes. Normalmente a los 12 años los niños ya completan su dentadura, pasando de 20 dientes temporales a 28 dientes adultos, a falta de las 4 muelas del juicio que crecen más tarde.
Es importante tener en cuenta que la edad a la que se caen los dientes de leche varía de un niño a otro, y en las niñas suele empezar antes que los niños. Es bastante común que en algunos niños el proceso de caída de los dientes de leche tome más tiempo del esperado. Esta situación puede ocasionar que los dientes permanentes no dispongan del espacio ideal para alinearse correctamente.
Orden de caída de los dientes de leche
Cada niño es un mundo y no se puede generalizar en cuanto a tiempos de salida, desarrollo y caída de los dientes de leche. Normalmente, el orden de caída de los dientes de leche empieza por los incisivos y acaba por los molares posteriores, aunque en cada niño puede variar. Normalmente, los dientes de leche suelen caerse en un orden específico, a partir de los 6 años, para ser reemplazados por los definitivos. Es importante tener en cuenta que este orden puede variar de un niño a otro y no siempre sigue el mismo patrón.
Los incisivos centrales inferiores son los primeros en caer aproximadamente a los 5 años y medio o 6, seguidos de los incisivos laterales inferiores y los cuatro superiores. Los siguientes en caer son los caninos inferiores y los molares inferiores, normalmente a los 9 o 10 años. Finalmente, un año o dos más tarde, los caninos superiores y los segundos molares son los últimos en desprenderse.
A continuación, se presenta una tabla con el orden y edad aproximada de la caída de los dientes de leche:
| Diente | Edad aproximada de caída |
|---|---|
| Incisivos centrales inferiores | 5.5 - 6 años |
| Incisivos laterales inferiores | 6 - 7 años |
| Incisivos centrales superiores | 6 - 7 años |
| Incisivos laterales superiores | 7 - 8 años |
| Caninos inferiores | 9 - 10 años |
| Molares inferiores | 9 - 10 años |
| Caninos superiores | 10 - 12 años |
| Segundos molares | 11 - 12 años |
¿Cuándo se caen las muelas de leche?
Las muelas de leche caen las primeras a los 10 años y las segundas muelas de leche lo hacen aproximadamente a los 12 años. Las muelas de leche cuando se caen son reemplazadas por dientes permanentes, aproximadamente a los 13 años.

¿Qué se debe hacer si se mueve un diente de leche?
¿Tu hijo tiene un diente de leche que se mueve y no puede dejar de tocarlo? Esto es bastante comprensible, pero se recomienda evitar sacarlo y dejar que se caiga. De hecho, es el empuje del diente permanente lo que permitirá que la raíz del diente de leche se corte y se caiga sin dolor ni sangrado. Si tu hijo parece estar particularmente molesto por un diente de leche que se mueve mucho, puedes ofrecerle morder una manzana, ¡pero ten cuidado de no tragarse el diente!
Por lo general, la caída de los dientes de leche no resulta dolorosa, pero sí puede suceder que el niño experimente algo de sensibilidad o incomodidad mientras se afloja el diente. Puede ocurrir que el niño comience a padecer de un dolor algo más intenso, o que se evidencie algún síntoma de infección, tales como enrojecimiento o pus en las encías. En situaciones como ésta, se puede recomendar el uso de un analgésico suave para niños (siempre bajo la recomendación de un pediatra) y evitar alimentos duros o pegajosos que generan aún mayores molestias.
¿Qué son los dientes de tiburón?
Los dientes de tiburón surgen cuando los dientes de leche no se caen y salen los definitivos al mismo tiempo, lo que provoca una doble alineación de los dientes durante la dentición mixta. Los dientes de tiburón en niños pueden surgir por distintas razones, pero las más comunes son por falta de espacio en la mandíbula, por una simple desviación de los dientes definitivos o porque las raíces de los primeros dientes no se han absorbido como deberían. A pesar de que es una alteración que suele corregirse por sí sola, es importante visitar a un odontopediatra para evitar problemas de apiñamiento o maloclusión dental en un futuro.
Dientes de leche en adultos
En algunos casos, hay dientes de leche que no se caen durante el periodo de caída de los dientes temporales. La causa más común es la agenesia dentaria, es decir, la ausencia del diente permanente que debe sustituir al de leche. Otras causas pueden ser traumatismos, falta de espacio para el diente definitivo o una alineación deficiente de los dientes. A pesar de que cuando un diente de leche no se cae no suele ser un problema, debe supervisarse por un odontólogo que determine si el diente temporal puede mantenerse o si provoca problemas dentales y, por tanto, debe extraerse.
¿Cuáles son los motivos por los cuáles los dientes temporales no se caen?
Los dientes de leche se caen principalmente por razones genéticas y de desarrollo.
- Debilitamiento de la raíz: a medida que el diente definitivo comienza a desarrollarse, ejerce presión sobre la raíz del diente de leche. Esta presión provoca que la raíz comience a reabsorber hasta que desaparece por completo.
- Cambio en el crecimiento dental: los dientes permanentes necesitan espacio para salir. De modo que, la caída de los dientes de leche permite que los definitivos ocupen el lugar adecuado en la boca, alineándose, así, para una mordida y función dental óptimas.
- Desarrollo de los maxilares: a medida que el niño crece, la mandíbula también se desarrolla y crece.
Los dientes de leche suelen caerse entre los 6 y 12 años, pero si no ocurre, puede deberse a factores genéticos, hormonales o anatómicos. Si a los 8 años no ha iniciado el recambio, se recomienda acudir al dentista. Un control temprano previene complicaciones.
Causa temporal: no caen, pero caerán; solo que se retrasa más de la cuenta. En este caso, el dentista mantendrá en principio una conducta expectante e irá haciendo controles. Las causas más comunes son:
- Genética: si a los padres tardaron en salirme los dientes definitivos, es probable que a los hijos también les ocurra.
- Género: las niñas desarrollan la dentición definitiva antes que los chicos.
- Prematuridad: Según la OMS, los niños prematuros -los nacidos antes de la semana 37 de gestación- tienen más riesgo de tener retraso en la dentición, tanto en la salida de los dientes de leche, como de los definitivos.
- Enfermedades: alteraciones nutricionales o alteraciones endocrinológicas (anemia, desnutrición, mala alimentación, déficit de la hormona del crecimiento…) o bien algunos síndromes, como Síndrome de Down o la disostosis cleidocraneal.
Causas definitivas: no caen y no caerán porque no existen o porque algo impide que caigan. En ese caso el dentista tendrá que tratarlo. Las causas más comunes son:
Agenesia
Ausencia de un diente definitivo: al no haberse formado el diente permanente, éste no puede empujar la raíz del diente temporal, por lo que no se reabsorbe y por eso no se cae.
- Causa genética: es habitual que les ocurra a varios miembros de la misma familia y que se presente en la misma pieza dental.
- Diente afectado: algún canino o algún molar.
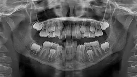
Se detecta por ortopantografía.
Obstáculo en el recorrido del diente permanente
Si hay diente definitivo, pero no puede desplazarse por algún obstáculo en su recorrido, como apiñamiento de dientes o dientes extras, golpe en diente de leche que desplaza al diente definitivo y pierde sui guía de erupción, etc.
- Dientes afectados: cualquiera.
Anquilosis dental
El diente de leche está fijado al hueso y esto impide que éste se caiga. Suele aparecer hundido respecto a los dientes que tiene alrededor.
- Causa: genética o secundaria a traumatismo.
- Diente afectado: segundo molar inferior.
¿Qué hacer si no se caen?
Siempre tendrá que ser valorado por el dentista. Lo habitual es que se realice una prueba de imagen como la ortopantografía. Según su sospecha, puede solicitar otras pruebas de imagen. En función de la causa, el especialista decidirá qué actitud terapéutica será la más adecuada: en algunos casos se recomendará mantener el diente de leche y, en otros, se recomendará su extracción.
Diferencias entre dientes de leche y los dientes definitivos
La diferencia entre los dientes de leche y los dientes definitivos reside principalmente en la cantidad de dientes, en su anatomía y en su composición. En cuanto a la cantidad, como ya mencionamos anteriormente, los dientes deciduos son 20, mientras que los permanentes son 32 (si tenemos en cuenta las muelas del juicio).
Otra de las diferencias entre los dientes de leche y los permanentes es que los primeros son más pequeños porque la cavidad oral del niño es más pequeña. La raíz de los dientes primarios también es más fina y corta por eso se desprenden más fácilmente. Por último, respecto a la composición, los temporales tienen unas capas de dentina y esmalte dental más finas, por esta razón son más blancos.
Problemas frecuentes en dientes de leche
A pesar de que los dientes de leche son temporales, es importante tener en cuenta los problemas que pueden surgir en ellos porque podrían afectar al desarrollo de la salud bucodental del niño. Algunos de los más frecuentes son las caries, la caída prematura y necrosis.
Caries en los dientes de leche
Las caries en niños son una de las problemáticas más frecuentes en los dientes primarios. Las causas más comunes de la aparición de caries en dientes de leche son:
- Uso prolongado del biberón
- Transmisión de las bacterias cariogénicas, ya que son contagiosas
- Mala alimentación
- Falta de higiene bucal
Caída prematura de los dientes de leche
En algunos casos, los dientes temporales pueden caerse antes de tiempo. La aparición de caries, una alimentación desequilibrada - especialmente por falta de calcio -, raíces débiles o fuertes golpes en la boca son las razones más comunes de la caída prematura de los dientes de leche.
Dientes de leche necrosados
Los dientes de leche necrosados son aquellos dientes que, por un impacto fuerte en la mandíbula, han visto afectado su nervio. La necrosis pulpar no es visible en el momento del golpe, sino que suele visibilizarse meses más tarde, cuando el diente empieza a adquirir otra coloración. Y, ¿qué pasa si un diente de leche se pone negro? Un diente de leche negro es una señal visible para identificar la muerte del nervio del diente, pero esto no tiene por qué ser alarmante ni tiene por qué afectar a la dentición permanante. Sin embargo, si el niño tiene un diente de leche necrosado es recomendable visitar un odontopediatra para que valore el caso.
Ortodoncia con dientes de leche
Existe la duda generalizada sobre si se puede usar ortodoncia con dientes de leche, y, aunque la respuesta corta es “sí”, hay que tener en cuenta varios aspectos. Siempre es necesario valorar qué tipo de ortodoncia es más adecuada para la fase de desarrollo en la que se encuentra el niño y la anomalía a corregir. Dependiendo del motivo para usar ortodoncia, el odontopediatra aplicará uno u otro.
¿Se pueden poner brackets o alineadores con dientes de leche?
La ortodoncia correctiva sirve para solucionar problemas relacionados principalmente con la posición de los dientes. Los tratamientos de ortodoncia correctiva son brackets y alineadores. En teoría, se pueden poner brackets o alineadores con dientes de leche para cambiar su posición. Sin embargo, como ya mencionamos, estos dientes son temporales y serán reemplazados. Por tanto, si hay alguna malposición dental, como dientes torcidos o diastema, no sería de mucha utilidad llevar a cabo un tratamiento de ortodoncia correctiva ya que esta no tendrá efecto sobre los definitivos.
Más allá de la ortodoncia correctiva: ortodoncia interceptiva y ortopédica Impress
Mientras que las piezas dentales de los más pequeños se van reemplazando a medida que el niño crece, esto no ocurre con las estructuras óseas de la boca. Si el niño tiene la mandíbula o el maxilar demasiado estrechos o retraídos, es muy probable que sufra complicaciones de malocusión o malposiciones dentales una vez erupcionen todos los dientes definitivos. En estos casos, un tratamiento de ortodoncia interceptiva u ortopédica a temprana edad puede ser de gran ayuda. La ortodoncia interceptiva u ortopédica puede mejorar la fisonomía del niño, prevenir problemas de maloclusión severa, interrumpir malos hábitos y corregir problemas funcionales y de habla. Como el niño se encuentra en pleno desarrollo, es más fácil actuar sobre los huesos en esta fase y así evitar problemas más graves a largo plazo.
A partir de los 7 años, tras la erupción de los primeros molares y mientras el niño aún está en fase de crecimiento, se pueden iniciar tratamientos de ortodoncia interceptiva u ortopédica adaptados a las necesidades de los pacientes. En Impress contamos con varios tipos de tratamientos de ortodoncia infantil interceptiva y ortopédica que pueden ayudar a corregir casos de:
- Mandíbula retraída
- Maxilar retraído
- Paladar comprimido
- Mordidas abiertas
Gracias a los tratamientos de ortodoncia infantil Impress Kids, los tratamientos de ortodoncia correctiva posteriores, como Impress Teens, serán mucho más rápidos y efectivos.
Recomendaciones finales
Que los dientes de leche no sean para toda la vida, no significa que no sean importantes para el desarrollo de la salud bucodental de tus hijos. La caída de los dientes de leche es una etapa en el proceso de crecimiento de los niños. Recuerda que, además de seguir paso a paso el proceso para identificar posibles complicaciones, es fundamental fomentar en los niños hábitos de higiene bucal: enseñarles a cepillarse correctamente, completar la limpieza utilizando hilo dental y mantener una dieta saludable.