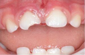
Ser niño es estar en constante movimiento, jugar con los amigos en el parque y practicar deporte. Con tanto ajetreo, es común que los más pequeños se tropiecen y se den algún golpe, se raspen las rodillas e incluso que puedan fracturarse un diente mientras juegan.
Un diente roto o astillado puede ser doloroso y preocupante, pero lo más importante es saber cómo actuar de inmediato para minimizar el daño y aliviar cualquier molestia. Ya sea por un accidente, un golpe o simplemente por un debilitamiento del esmalte dental, los dientes dañados requieren atención rápida para evitar complicaciones.
En este artículo, te vamos a enseñar cómo abordar esta situación de manera adecuada y cómo arreglar un diente roto en una visita al dentista, tanto si tu hijo se ha fracturado un diente de leche como uno permanente.

¿Cómo actuar si tu hijo se rompe un diente?
Conocer y seguir los pasos adecuados para arreglar un diente roto es una cuestión fundamental para no comprometer la rehabilitación de la sonrisa de tu hijo. Aquí te explicamos todo lo que necesitas saber sobre cómo actuar ante una fractura dental:
- Mantén la calma: en caso de fractura, lo primero es mantener la calma tanto para el niño como para los padres. Si la fractura es extensa o involucra sangrado, es importante buscar atención odontopediátrica lo antes posible.
- Conserva los fragmentos: si puedes, guarda los fragmentos del diente en leche o suero fisiológico. Intenta cogerlos por la parte del diente que se ve, es decir, la corona. Es importante no tocar la raíz para que podamos reintegrarla. En ningún caso procedas a lavar el diente con jabón ni ningún otro producto de limpieza.
- Limpieza suave: enjuaga la boca del niño con agua tibia para limpiar el área afectada. Evita el uso de colutorios.
- Controla el sangrado: si hay sangrado, aplica presión con una gasa limpia o un paño suave.
- Frío local: aplica una compresa fría en la zona para reducir la hinchazón y el dolor. Esto también puede ayudar a adormecer el área.
- Contacta con el odontopediatra: contacta con tu dentista y explícale la situación. El odontopediatra evaluará la posibilidad de arreglar el diente roto y te proporcionará orientación sobre los pasos a seguir.
En caso de que sea una fractura superficial, hasta que tu hijo tenga cita con el dentista, evita que mastique alimentos duros o pegajosos, ya que podrían empeorar la situación.
Dicho esto, te recomendamos que, bajo ningún concepto, intentes reparar tú el diente ni pegarlo con pegamento. Recuerda que la fractura de un diente de leche no debe subestimarse, ya que los dientes de leche guían el camino para los dientes permanentes, por lo que su cuidado es esencial.

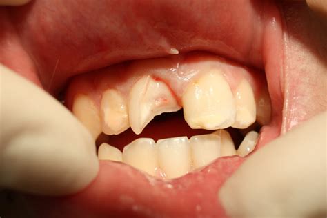
¿Qué hacer si tienes un diente roto o astillado?
Lo primero que debes hacer es evaluar la magnitud del daño. Dependiendo de la gravedad, el tratamiento necesario puede variar:
- Astillado o fisurado superficial: si el diente solo está ligeramente astillado o fisurado, el dolor puede ser mínimo.
Si experimentas dolor debido a un diente roto o astillado, sigue estos pasos para aliviar la incomodidad hasta que puedas ver a un dentista:
- Enjuaga tu boca con agua tibia: esto ayudará a limpiar cualquier fragmento de diente que pueda haber quedado en la boca y reducirá el riesgo de infección.
- Aplica una compresa fría: coloca una bolsa de hielo o una compresa fría en la mejilla sobre el área afectada para reducir la hinchazón y el dolor.
- Toma un analgésico: si el dolor es intenso, puedes tomar un analgésico de venta libre como ibuprofeno o paracetamol siguiendo las indicaciones del producto.
- Evita masticar con el diente afectado: no uses el diente roto para masticar alimentos.
Si el fragmento del diente se ha caído o se ha roto completamente, trata de encontrarlo y conservarlo en un recipiente limpio. Si es posible, guárdalo en un poco de leche o solución salina.
Cuándo buscar atención dental
Independientemente de la gravedad del daño, es importante que un dentista vea el diente roto lo antes posible. Las fracturas dentales no solo pueden causar dolor intenso, sino que también pueden exponer el nervio del diente, lo que aumenta el riesgo de infecciones graves. No dejes pasar más de 24 horas antes de buscar atención profesional.
- En una clínica dental de urgencias: si el diente roto ocurre fuera del horario de atención habitual, busca una clínica de urgencias odontológicas.
- Consulta a tu dentista habitual: si el daño es menor y no hay dolor severo, intenta comunicarte con tu dentista para pedir una cita lo antes posible.
¿Se te ha ROTO un DIENTE? Causas y cómo REPARAR una FRACTURA o FISURA dental | Dentalk! ©
Tratamientos dentales para reparar un diente roto
No todos los niños con un diente roto requieren el mismo tratamiento, por ello, es muy importante que sea el odontopediatra quien valore la gravedad de la situación. Ten en cuenta que la fractura ha podido ser parcial o total, por lo que el tratamiento variará en función de cada caso.
Dependiendo de la gravedad del daño, existen varias opciones de tratamiento que tu dentista podrá considerar:
- Empaste dental: si el daño es superficial o solo afecta una pequeña parte del diente, un empaste o resina compuesta puede ser suficiente para restaurar su forma y función.
- Corona dental: si el daño es extenso pero el diente sigue siendo viable, una corona dental puede cubrir el diente dañado y restaurarlo a su forma original.
- Carillas dentales: para dientes delanteros con daños estéticos, las carillas de porcelana o resina compuesta son una excelente opción para restaurar la apariencia de tu sonrisa.
- Endodoncia: si el daño afecta al nervio del diente, es posible que necesites un tratamiento de conductos para salvar el diente y evitar la extracción.
- Implantes dentales: si el diente se ha roto por completo y no puede ser reparado, es posible que se necesite un implante dental para reemplazarlo.
En caso de haber sufrido una fractura parcial de la corona del diente, es posible que el dentista pueda unir la parte fracturada y así arreglar el diente roto. Si no has conservado el trozo de diente o es imposible colocarlo, se puede reconstruir con composite.
En caso de que la fractura haya sido vertical o se haya visto afectada la pulpa del diente, el odontopediatra será el que valore si es posible realizar una pulpotomía o una pulpectomía, o procederá a la extracción del diente. En caso de extraer un diente de leche, es necesario colocar un mantenedor de espacio para no comprometer correcta erupción de los dientes permanentes.
Por último, si ha sufrido una avulsión dental, es decir, si a tu hijo se le ha caído un diente permanente sin fracturarse, cabe la posibilidad de reimplantarlo.
Seguimiento post-tratamiento
Una vez que el odontopediatra haya arreglado el diente roto, es muy importante realizar un seguimiento para detectar posibles complicaciones de forma prematura. Una de ellas es que el diente intervenido cambie su coloración al cabo de unos días, adquiriendo un tono gris e incluso convirtiéndose en un diente de leche negro. Esto supondría que el diente se está necrosando, por lo que sería necesario realizar una pulpectomía.

¿Cómo se produce la rotura de dientes?
La rotura de los dientes puede darse en cualquier edad, desde los mas mayores a los mas pequenos, debido a que son muchas las causas por las que se puede producir una rotura de una pieza dental.
Existen diferentes motivos por los cuales se pueden romper los dientes:
- En primer lugar, y la mas comun, al recibir un impacto o traumatismo surgido por un accidente, caidas o golpes que provocan la fractura de algun diente o pieza dental.
- Tambien pueden darse debido a masticar algo duro y que al morder demasiado fuerte se pueda provocar una rotura del diente, por lo que es debes evitar el uso de los dientes para acciones como abrir botellas o masticar huesos, frutos secos, caramelos, etc.
- El bruxismo es otra de las causas por las que se puede llegar a fracturar un diente, la constante presion de los dientes asociada al bruxismo provocan desgaste en los dientes, lo que puede conllevar a la rotura de estos con mas facilidad.
- A su vez, los dientes con caries suelen ser mas debiles por lo que son mas propensos a romperse. Para evitarlo se aconseja prevenir con buenos habitos diarios y tener revisiones periodicas con el dentista para descartar caries.
- Por ultimo, la descalcificacion o falta de calcio produce que el esmalte dental y otras partes del diente esten mas debiles y por lo tanto tengan mas facilidad para romperse, en este caso se recomienda vigilar los nutrientes que se ingieren con analiticas de sangre de vez en cuando y tener buenos habitos alimenticios y de higiene dental.
- La mala higiene bucal tiene como consecuencia la formación de caries.
- Ingerir diariamente alimentos ácidos, con un pH bajo, como pueden ser las bebidas gaseosas, el zumo de limón o de naranja, o el vinagre no es lo más adecuado para nuestros dientes ya que debilitan la capa del esmalte pudiendo provocar incluso la rotura del diente. Es importante tomar un vaso de agua tras la ingesta de este tipo de comidas y lavarnos después los dientes.
- En personas que tienen reflujo gástrico o que padecen desórdenes alimentarios, como puede ser la bulimia, es común tener roturas de dientes por jugos gástricos.
Medidas preventivas para evitar fracturas dentales
El mejor tratamiento siempre es la prevención, por ello, para evitar que tu hijo se rompa o se fracture un diente, es muy importante que use protectores bucales si practica deportes de contacto. También debes controlar que no muerda objetos duros, como hielo o bolígrafos. Por último, asegúrate de que lleva una dieta equilibrada, que incluya alimentos ricos en calcio y vitaminas para fortalecer sus dientes.
Aunque algunos accidentes son inevitables, existen medidas que puedes tomar para reducir significativamente el riesgo de sufrir una fractura dental:
- Uno de los principales motivos de dientes rotos es el hábito de morder cosas que no son alimentos, como bolígrafos, hielo, tapas de botellas o uñas.
- Si practicas deportes como boxeo, rugby, baloncesto o incluso ciclismo, un protector bucal puede ser tu mejor aliado.
- Si aprietas o rechinas los dientes (de día o de noche), el desgaste progresivo puede debilitarlos, haciéndolos más susceptibles a romperse.
- Las caries avanzadas o los empastes grandes pueden debilitar la estructura del diente, facilitando que se fracture al morder.
- Abrir paquetes, cortar hilos o destapar botellas con los dientes es un riesgo innecesario.
- Los dientes fuertes son menos propensos a fracturarse.
- Una mala alineación dental puede hacer que ciertos dientes soporten más presión al masticar.
