La salud general de la boca es un tema que no debe tomarse a la ligera. Muchas enfermedades dentales se pueden prevenir, pero cuando ya están presentes hay que tomar acciones para subsanar los problemas. Por eso, te explicamos para qué sirve la rehabilitación dental. Sigue leyendo y conoce más.
La rehabilitación oral es un término que se escucha con frecuencia en el campo de la odontología, pero ¿qué significa realmente? La rehabilitación oral es el conjunto de procedimientos odontológicos que se realizan para restaurar la función, la estética y la salud bucal de un paciente. Esta especialidad odontológica se encarga de determinar los problemas dentales del paciente e indica el o los tratamientos a seguir. Su objetivo es devolver la estética y la funcionalidad. En el proceso intervienen varias disciplinas de la odontología apoyadas en la tecnología de punta disponible. Se debe trabajar de la mano de la periodoncia, endodoncia, implantología y ortodoncia.
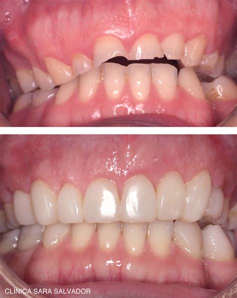
Las rehabilitaciones orales son necesarias cuando el paciente ha perdido la capacidad de hablar, comer o sonreír con facilidad. Para prevenir futuras afecciones más graves. En definitiva, la rehabilitación oral sirve para restaurar la función y la estética bucal de los pacientes que han perdido dientes o enfrentan otros problemas dentales significativos.
Como hemos dicho, aquí no se trata solo de solucionar el daño o la molestia. Por ejemplo, si sufrieras desgaste dental, no solo se restaurarían las piezas desgastadas, se buscaría el origen de esa erosión, para darle solución.
La rehabilitación oral es necesaria en aquellos casos que demandan una atención integral y multidisciplinar. Implica un enfoque multidisciplinar en el que intervienen de forma coordinada diferentes especialistas.
Si tú también quieres mejorar tu calidad de vida mejorando la funcionalidad de tu boca y la estética de tu sonrisa, ¡contacto con nosotros! Reconstruimos sonrisas con precisión, experiencia y tecnología avanzada.

¿Cuándo se Necesita una Rehabilitación Oral?
Este procedimiento suele ser recomendado cuando los dientes están gravemente dañados o ausentes:
- Cuando se pierden dientes debido a enfermedades periodontales, caries severas o traumatismos, la rehabilitación es esencial para devolver la funcionalidad a la boca.
- El desgaste excesivo de los dientes debido a bruxismo (rechinar de dientes), mala oclusión o envejecimiento, puede llevar a la necesidad de rehabilitación.
- La oclusión es la forma en que los dientes se encajan cuando se cierran.
- La rehabilitación oral también se lleva a cabo con fines estéticos, cuando el paciente desea mejorar su sonrisa, ya sea por dientes manchados, desalineados o dañados.
¿En qué consiste?
La rehabilitación oral consiste en devolver la función y la estética oral mediante la ayuda de las prótesis dentales, las cuales se pueden colocar de manera fija o bien de manera removible mediante especialidades como la implantologia oral o bien la estética dental; existen muchos materiales adaptados a cada paciente y a cada situación.
Para que la rehabilitación oral tenga éxito, todos los materiales que coloquemos, deberán de estar en perfecta harmonía con los tejidos que cubren a los dientes, como es el caso de la encía y el hueso, de esta manera nos aseguraremos de que no tendremos filtraciones o bien fracasos posteriormente.
“Es muy importante que en el momento en que nos sometemos a un tratamiento de rehabilitación oral completo, los profesionales consigan una perfecta oclusión, adaptando la mordida a cada paciente.”
“En el momento en que acude un paciente para realizar una rehabilitación oral completa, tenemos que desgravar cada caso, de manera en que cada dentista especialista pueda actuar; en nuestra clínica dental, contamos con todas las especialidades dentales en el mismo centro, esto facilita mucho el buen diagnóstico por profesionales expertos, lo cual nos lleva a orientar adecuadamente cada tratamiento y en su efecto, optimizar los resultados deseados.”
Los pacientes que normalmente acuden a la consulta para una rehabilitación oral, son pacientes que por diversas causas, han perdido dientes o bien han sufrido múltiples fracturas dentales, también es muy común ver a pacientes con desgastes excesivos de los dientes y pacientes que reemplazan sus prótesis por otras más actuales y funcionales, sin descontar a los pacientes que acuden porque no están conformes con su estética dental.
Para cualquier tratamiento en odontología es necesario planificar cada caso:
- Diseño del tratamiento.
- Saneamiento. Este es el paso en el que se limpia y se desinfecta la boca.
- Procedimiento quirúrgico.
- Implantación protésica.
- Cuidados posteriores.
¡Transforma tu Vida con la Rehabilitación Oral! Descubre Cómo Recuperar Tu Sonrisa y Función
Tratamientos Comunes en la Rehabilitación Dental
Cuando existe una pérdida de piezas dentales, los implantes son una solución clave dentro de la rehabilitación oral. Un implante dental funciona como una raíz artificial que se integran en el hueso, proporcionando una sujeción firme y duradera.
Las prótesis dentales son una solución eficaz para restaurar tanto la función masticatoria como la estética de la sonrisa tras la pérdida de dientes. Los puentes dentales permiten reemplazar una o varias piezas dentales perdidas, ya sea sobre implantes o apoyados en dientes naturales colindantes.
Entre las principales opciones para rehabilidar dientes dañados, encontramos las coronas dentales, que son cubiertas que protegen y ofrecen una estética similar a los dientes naturales, dependiendo principalmente del material de fabricación. Por otra parte, también los puentes son una opción que permite reemplazar dientes perdidos.
En cuanto a los implantes dentales, este procedimiento implica la colocación de una raíz artificial en la encía, que servirá de soporte para el diente postizo. Es una alternativa para pacientes que han perdido una o varias piezas dentales.
Las prótesis removibles son aquellas que pueden retirarse para ajustarlas y para limpiarlas. Al igual que con las opciones anteriores este tipo de prótesis sirven para reemplazar dientes perdidos y mejorar la sonrisa, tanto funcional como estéticamente.
Cuando hablamos de carillas dentales, nos referimos a láminas delgadas que se adhieren a la parte prontal de los dientes con el objetivo de mejorar su apariencia.
¿Qué tratamientos se utilizan para realizar una rehabilitación oral completa?
- CARILLAS
Los tratamientos que se realizan utilizando carillas, son muy exitosos ya que cuando hablamos de carillas, hacemos referencia a un tratamiento poco invasivo para el diente en el cual lo que realizamos es añadir una pasta (composite) o bien unas láminas (porcelana) encía de nuestro diente, pudiendo modificar por completo la forma y también el color de estos, de manera que luciremos una sonrisa siempre joven y atractiva!
- IMPLANTES
Por nuestra gran trayectoria, podemos asegurar que la rehabilitación mediante implantes dentales, proporciona la solución perfecta para todas aquellas personas que les falten uno o muchas piezas dentales.
Su colocación es muy sencilla e indolora, se trata de colocar uno o varios implantes en el hueso maxilar o bien en el hueso mandibular, una vez colocado el implante, tenemos que hacer el proceso biológico de oseointegración (fijación del implante al hueso) el cual es de 3 meses, pasados este tiempo, anclaremos al implante que ya tenemos en el hueso el diente en si (la corona).
Existe la posibilidad de que el mismo día que se coloca el implante el paciente salga con el/los dientes colocados (carga inmediata). Podemos decir que las prótesis sobre implantes son una excelencia actualmente ya que además de conseguir la estética deseada nos aseguran una muy buena funcionalidad y también cabe destacar que son soluciones las cuales se adaptan a cada necesidad debido a la gran cantidades de opciones que ofrece ( fijo, semi fijo, removible..)
“Cuando colocamos un implante dental, evitamos que el hueso ( donde antes había el diente) se pierda o bien baje su altitud ya que el implante ofrece un soporte al hueso; Actualmente el índice de aceptación de los implantes se aproxima al 100% de los casos, esto supone una gran garantía de éxito para todos nuestros pacientes.”
- FUNDAS/PUENTES
Las rehabilitaciones totales con fundas y puentes se realizan principalmente por una clara necesidad estética y también para reforzar y proteger al diente. Para realizar las fundas y puentes es necesario previamente tallar mínimamente a los dientes implicados con el único objetivo de conseguir espacio para el material con el que esta realizadas las coronas, ya que si no tallamos, abultaría demasiado y no se haría una correcta oclusión.
El fin con el que se realizan los puentes, es para reponer dientes que o bien se han perdido o no tienen la estética deseada. No podremos realizar puentes en pacientes que no tienen ningún diente en boca, ya que necesitamos unos “pilares”, que en este caso serian los propios dientes sanos con sus raíces.
“Durante todo el proceso de elaboración del puente, nuestros pacientes siempre iran con dientes ya que diseñamos un “puente provisional” que cubre la necesidad estética y funcional sin que el paciente vaya sin dientes”
Cabe destacar que hoy en día las rehabilitaciones con puentes son muy exitosas y se realizan tanto en personas jóvenes como adultas sin problemas y en un tiempo reducido ya que los materiales que disponemos, son de última generación, de esta manera son muy resistentes y nos ofrecen muchas soluciones adaptadas a cada paciente teniendo uno perfecto resultado.
- ORTODONCIA
Cuando queremos rehabilitar por completo a un paciente, es muy importante saber cuál será el tratamiento idóneo para él, en este paso, le ofreceremos muchas soluciones y entre ellas, existe la posibilidad de realizar ortodoncia, la ortodoncia es una especialidad dentro de la odontología que se encarga de mover de manera natural a los dientes, aplicando una aparatologia especifica a cada caso.
¿Quiénes son candidatos para la rehabilitación dental?
Están recomendados para pacientes que:
- Han perdido una o varias piezas dentales.
- Tienen dientres dañados, astilladoso o fracturados.
- Sufren por problemas de mordida que afectan la masticación y causan dolores en las articulaciones de la cara.
- Tienen alguna enfermedad periodontal, dientes desalineados o espacio entre los dientes.
Está contraindicado si existe alguna enfermedad subyacente como la diabetes, enfermedades cardiovasculares o autoinmunes, que puedan afectar o empeorar con el tratamiento. También si la persona no tiene una salud bucal óptima, así como para quienes fuman o tienen otros tratamientos con medicinas que afectan la coagulación o que debilitan el sistema inmunológico.
¿Para qué sirve la rehabilitación dental?
Se necesita una rehabilitación oral cuando hay una caries muy profunda que afecta el nervio del diente. También se puede requerir por fractura en el diente provocada por bruxismo o golpes fuertes. Al igual que por la pérdida de estas piezas. Esto se subsana colocando prótesis.
Entre las patologías asociadas también se incluyen: el traumatismo dentoalveolar, alteraciones faciales y cáncer.
Al recuperar la estética que abarca solventar problemas de color, forma y función la persona volverá a tener confianza y autoestima. La rehabilitación igualmente restaura la función masticatoria, coloca coronas, puentes y dentaduras parciales o totales. Otros problemas que atiende la rehabilitación dental son: el desgaste excesivo de los dientes y reemplazo de prótesis.
Perder una pieza dental provoca que las personas no mastiquen bien los alimentos. Además, si son ingeridos en grandes tamaños originan trastornos gástricos, de digestión e incomodidad al masticar los alimentos. Así como giros en los dientes cercanos, alteración de la mordida, hasta dolores musculares y de cuello.
Rehabilitación Oral Completa
La restauración de las piezas dentales se realiza a partir de prótesis luego de la pérdida del diente o problemas estéticos. Cuando se diagnóstica la lesión se escoge el procedimiento a seguir de forma integral con prótesis fijas, removibles, oclusión e implantes dentales.
La rehabilitación oral completa no solo trata sobre el arreglo de un diente, sino que lo hace con la arcada dental completa. Restaura los dientes del maxilar (arriba), de la mandíbula (abajo) o ambos. Los casos más graves son los que ameritan tratar las dos arcadas producto de caries, pérdida de varios dientes o desgaste. Se unen varias especialidades para el tratamiento.
El primer paso para inicia la rehabilitación completa es saber que tiene el paciente y trazar el plan de acuerdo con el diagnóstico. Luego se colocan los implantes y las coronas, carillas de porcelana, obturaciones en resinas, blanqueamientos entre otros. Con esto el paciente tendrá una nueva sonrisa.

Rehabilitación oral en prótesis fija y prótesis removible
La rehabilitación en prótesis dentales removibles es el procedimiento clínico que se basa en restituir los dientes con aparatos a medida. Estas se pueden retirar cuando lo pida el paciente. Son dientes artificiales que están sujetos en una base acrílica o metálica que se apoya en la encía. A su vez dicha base está atada a los dientes cercanos con ganchos. Puede sustituir una arcada, por lo que es llamada prótesis completa o una parte (prótesis parcial). La completa en algunos casos es de titanio si la persona presenta alergia al acrílico. Las parciales generalmente son de cromo-cobalto.
Mientras que, en prótesis fija el aparato se une permanentemente a algunos dientes naturales. Solo debe ser retirada por el especialista. En este caso los dientes en los que va sujetado se les quita una capa de 1 a 1.5 mm de espesor. Esto se hace para colocar las fundas de los pilares de la prótesis. Ambas opciones permiten restaurar las funciones de masticación y fonatoria. Aparte de limitar o desaparecer el defecto estético.
Otros métodos para la rehabilitación oral
Los odontólogos también recurren al All On Four que consiste en colocar una prótesis fija sobre cuatro implantes dentales. Es una opción cuando se tiene que sustituir toda la hilera. Es decir, se sacan los dientes para eliminar la infección y enseguida se pone en implante.
Por otra parte, los implantes zigomáticos se utilizan cuando el paciente tiene poco hueso. Se instalan en el hueso cigomático (molar).
Endodoncia y rehabilitación oral
Una de las causas por las que se puede necesitar una rehabilitación oral es tener dientes con endodoncia. Este problema se da cuando hay caries profundas que llegan hasta el nervio generando dolor e infección. Se procede a desinfectar, esto trae como consecuencia que el diente tenga una gran cavidad, dejándolo débil. Para recuperarlo es necesaria la rehabilitación oral que escoge un procedimiento que lo reconstruye de acuerdo con el grado del daño.
La idea es que pueda llevar a cabo la masticación, la fonoarticulación y que se vea bien como ya lo mencionamos. Para iniciar el proceso de recuperación tras una endodoncia se debe tomar en cuenta también la evaluación periodontal. Así como el estado de la arcada y el material adecuado para la reconstrucción. Es esencial practicar un exhaustivo examen. Si la pieza solo se ha dañado un poco se utiliza resina compuesta o amalgama. Pero si es mayor se opta por insertar un perno o poste de fibra de vidrio y luego una corona o funda.
Beneficios de la Rehabilitación Dental
- Mejora de la función masticatoria: Gracias a los tratamientos como coronas, implantes o puentes es posible recuperar la función de los dientes, permitiendo comer mejor y optimizar el proceso de la digestión.
- Optimización de la estética dental: Una de las razones más comunes por las que las personas optan por tratamientos para rehabilitar los dientes, es mejorar la apariencia de sus dientes para obtener una sonrisa perfecta.
- Prevención de problemas futuros: La rehabilitación dental también tiene como objetivo tratar condiciones subyacentes, que a largo plazo pueden llegar a afectar la salud bucal del paciente.
Evaluación y Planificación del Tratamiento
- Evaluación inicial y diagnóstico: Una revisión con el odontólogo es el primer paso para determinar qué tipo de tratamiento dental requiere el paciente. Luego del diagnóstico se inicia el plan para diseñar un procedimiento personalizado.
- Fases del tratamiento: Luego se toman las impresiones, para realizar los modelos en caso de ser necesario. Para que el laboratorio dental fabrique la funda, corona, carillas o implantes, entre otros, dependiendo de la necesidad del paciente. Una vez recibida el médico procede a colocarlo y luego hacer los ajustes para que el paciente esté cómodo y satisfecho.
- Tiempo estimado y número de visitas: El tiempo de tratamiento y el número de visitas necesarias van a depender directamente de la complejidad del tratamiento y la salud bucal del paciente.
¿Qué hacer tras el tratamiento?
Comúnmente el especialista en rehabilitación bucal recomienda dieta blanda en el primer mes tras el tratamiento. Después de este lapso el paciente puede volver a su alimentación cotidiana. Es importante que cumpla las indicaciones para mantener una buena higiene bucal. Este detalle evitará complicaciones.
En el caso de prótesis removible lo ideal es limpiarla después de cada comida. Al dormir se debe retirar y colocar en un lugar medio húmedo o dentro de un vaso con agua. Usa productos odontológicos para completar la limpieza.
Con la fija se tiene que procurar cepillar cada corona al menos tres veces al día con pasta dental. Posteriormente se complementa con hilo dental y aplicar enjuague bucal alto en flúor.

Da el primer paso y busca asesoramiento en una clínica de rehabilitación oral. La boca junto con los dientes es la carta de presentación de las personas. Si sufres algún problema es indispensable que sepas para qué sirve la rehabilitación dental. ¡Contáctanos para más información!
tags: #dentista #rehabilitacion #oral