Los dientes provisionales juegan un papel crucial en muchos tratamientos dentales, ayudando a mantener la funcionalidad y estética de tu sonrisa mientras esperas la colocación de una solución definitiva. Además, nos permiten recuperar la pieza perdida del paciente en tan solo 24 horas.
¿Qué es un Diente Provisional?
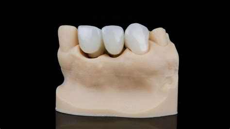
Un diente provisional, también conocido como corona temporal o prótesis temporal, es una solución dental temporal que se utiliza para proteger un diente dañado o un espacio vacío mientras se fabrica la restauración definitiva, como una corona, puente o implante. El diente postizo provisional es una solución temporal utilizada en odontología para reemplazar dientes perdidos.

Funciones de un Diente Provisional
- La función principal de un diente provisional es mantener la capacidad de masticar y hablar normalmente mientras se espera la colocación de la restauración definitiva.
- Un diente provisional mejora significativamente la apariencia de la sonrisa, especialmente en áreas visibles.
- Los dientes provisionales permiten a los pacientes adaptarse a la sensación y funcionalidad de la futura restauración dental.
- Su objetivo es mantener la estética y funcionalidad dental mientras se espera la colocación de una prótesis definitiva.
- Su uso y objetivo principal, es cubrir el hueco dental o de la muela, mientras nuestro dentista y su equipo especializado en prótesis dentales, elaboran la pieza dental definitiva.
Materiales Utilizados en Dientes Provisionales
Normalmente el material empleado para realizar el diente postizo provisional es la resina. Los dientes provisionales están confeccionados con acrílicos (PMMA) y resinas. Son estéticos y resistentes, aunque no están pensados para durar toda la vida, a diferencia de las prótesis y coronas definitivas, fabricadas con zirconio, cromo-cobalto o porcelana.
- Resina acrílica: Este material es comúnmente utilizado para dientes provisionales debido a su facilidad de manipulación y ajuste.
- Policarbonato: Este material es más duradero que la resina acrílica y proporciona una mejor estética.
Tipos de Dientes Provisionales
Existen diferentes tipos de dientes provisionales, incluyendo:
- Dientes de carga inmediata: Son dientes fijos provisionales que se colocan sobre los implantes dentales en las primeras 24 horas después de la colocación de este.
- Prótesis provisionales removibles: Como las dentaduras removibles de quita y pon.
- Diente provisional de quita y pon: Ofrece una opción versátil y adaptativa para aquellos que necesitan un reemplazo temporal.
Colocación de un Diente Postizo Provisional
A la hora de llevar a cabo la inserción de un implante dental. Se realiza la cirugía donde se coloca el implante y sobre este, un diente provisional. En Clínicas Propdental a día de hoy tenemos la posibilidad de recuperar tanto la funcionalidad como la estética de nuestra boca en tan solo una sesión, para ello se coloca un diente postizo provisional.

Proceso de Colocación de Dientes Provisionales
- La colocación de los dientes provisionales generalmente ocurre después de la extracción del diente natural.
- En algunos casos, si el paciente requiere un procedimiento adicional, como un injerto óseo o un levantamiento de seno maxilar, los dientes provisionales pueden colocarse durante la fase de cicatrización de estos procedimientos.
- Es importante tener en cuenta que el momento exacto de colocación de los dientes provisionales puede variar según la situación específica de cada paciente.
Duración de un Diente Provisional
El diente provisional para implante se mantendrá hasta que se pueda realizar el diente fijo definitivo. El diente postizo provisional se puede dejar el tiempo necesario hasta que termine la osteointegración. Aunque pueden durar más tiempo, lo normal es no superar los dos o tres meses de duración de la prótesis dental. Generalmente, se recomienda que un diente provisional no sea utilizado por más de tres meses.
La duración del uso de los dientes provisionales puede variar según el caso. Es importante seguir las recomendaciones de su dentista en cuanto al tiempo de uso de los dientes provisionales. Sin embargo, en algunos casos, esta duración puede extenderse hasta seis meses.
Cuidados y Mantenimiento de los Dientes Provisionales
La correcta alimentación y el cuidado son fundamentales para mantener la funcionalidad y estética de los dientes provisionales.
- Evita alimentos duros o pegajosos: Estos tipos de alimentos pueden dañar o desalojar el diente provisional.
- Cuidado al morder: Trata de evitar morder con el diente provisional siempre que sea posible, especialmente con alimentos duros.
- Alimentación: Se recomienda optar por alimentos blandos y fáciles de masticar durante las primeras semanas. Esto ayuda a evitar tensiones innecesarias y posibles daños a la prótesis.
- La higiene oral debe ser rigurosa para prevenir infecciones.
Implantes Dentales: Tiempos y Métodos
El tiempo que se tarda en hacer un implante dental, es decir, el tiempo de la cirugía de implantes varía de un caso a otro. Los tiempos de cirugía a veces se pueden alargar si hay que extraer dientes con infección, hacer injertos de hueso o retirar implantes antiguos en mal estado.
Si te colocan implantes dentales por el método tradicional, necesitarás más de una intervención. Esto lógicamente aumenta el tiempo que se tarda en hacer un implante dental. Otro de los aspectos que hace que la cirugía de implantes dentales pueda durar más tiempo es el número de implantes que haya que colocar.
Si te colocas implantes por el método de carga inmediata (estos son los implantes dentales en un solo día), el proceso completo podría durar aproximadamente 3 meses, desde la realización quirúrgica del implante hasta la colocación de la prótesis definitiva del diente. En cambio si te pones implantes dentales por el procedimiento tradicional, el proceso se alarga unos meses más.
| Método de Implante | Duración del Proceso Completo |
|---|---|
| Carga Inmediata (Implantes en un día) | Aproximadamente 3 meses |
| Método Tradicional | Más de 3 meses |