De las distintas condiciones que se pueden presentar en la boca, especialmente en la infancia, el diente retenido es una de ellas. El diente retenido, también conocido como diente impactado, es una pieza dental que no erupcionó completamente en la boca en el tiempo esperado.

¿Qué significa realmente tener un diente retenido? ¿Cómo se distingue de las definiciones de diente incluido o impactado? En este artículo, nos sumergiremos en el significado preciso de un diente retenido, desentrañando las diferencias esenciales entre estos términos. Un diente retenido se refiere a un diente que ha completado su desarrollo, pero no ha logrado emerger completamente de la encía ni tomar su posición normal en la arcada dentaria.
En términos generales los dientes retenidos podrán estar Incluidos o enclavados y normalmente es el canino el diente más frecuente con esta patología y al ser un diente considerado indispensable para los movimientos de lateralidad y continuidad en el arco dentario, se hace importante recuperarlo y llevarlo a su posición natural.
Causas de los Dientes Retenidos
Las causas de un diente retenido pueden ser diversas e incluir falta de espacio en la boca, obstrucciones en el camino de erupción, anormalidades en la posición del diente, o incluso factores genéticos.
- Factores genéticos y hereditarios: la herencia genética puede influir en el tamaño de la mandíbula y la alineación dental.
- Problemas de espacio: cuando falta espacio en la mandíbula o maxilar para que el diente erupcione como debería.
- Condiciones médicas: como la displasia cleidocraneal, pueden causar los dientes retenidos.
- Pérdida temprana o retención prolongada de dientes temporales: es decir, si se pierde un diente de leche antes de tiempo, los permanentes pueden moverse y bloquear el espacio de otro diente.
Una de las razones más frecuentes para que un diente se retenga es la falta de espacio adecuado en la boca para que el diente erupcione correctamente. Algunos dientes pueden desarrollarse en posiciones anómalas, como giros o inclinaciones, lo que dificulta su erupción.
Síntomas de los Dientes Retenidos
Los dientes retenidos suelen ser asintomáticos, se pueden detectar en las visitas de rutina al dentista y con radiografías. Sin embargo, en algunos casos, pueden presentarse los siguientes síntomas:
- Puedes sentir un dolor constante o intermitente en el área donde está el diente retenido.
- Asimismo, se puede presentar inflamación, enrojecimiento y sensibilidad en las encías alrededor del diente retenido.
- También puede haber hinchazón en la zona afectada o alrededor de la mandíbula.
- Si hay infección puedes sentir mal aliento o sabor desagradable en la boca.
- En casos más complicados podrías tener dificultad para abrir la boca completamente, dolor de cabeza o mandíbula.
La presión del diente retenido también puede causar apiñamiento, reabsorción de la raíz de los dientes cercanos y aumentar el riesgo de infección.
Diagnóstico de los Dientes Retenidos
El diagnóstico de los dientes retenidos se inicia con un examen clínico, en tu visita al dentista este evaluará tus síntomas y mirará la posición de tus dientes. El diagnóstico precoz es clave para determinar la causa y planificar un tratamiento adecuado.
Existen algunos signos clínicos que frecuentemente se asocian a la presencia de uno o varios dientes incluidos. Estos son:
- Ausencia de movilidad y persistencia anómala de uno o varios dientes temporales en la arcada, sobrepasada ampliamente la edad teórica de exfoliación de los mismos.
- Ausencia de uno o varios dientes definitivos, sobrepasada ampliamente la edad teórica de erupción de los mismos.
- Pérdida prematura de dientes temporales y cierre de espacio por deriva de los dientes proximales.
- Sobreelevación anómala de la mucosa vestibular y/o palatina a la inspección y/o palpación.
- En el caso de los caninos superiores incluidos es frecuente encontrar vestibuloposición, distoversión y rotación mesiovestibular del incisivo lateral superior permanente así como un diastema entre el incisivo central y el incisivo lateral.
- Igualmente en el caso de los caninos superiores incluidos, nos podemos encontrar con agenesia y/o microdoncia de uno o ambos incisivos laterales superiores permanentes.
- Más raramente podemos hallar episodios de dolor en dientes contiguos por alteración pulpar y/o episodios infecciosos de tipo pericoronitis.
En cuanto al examen radiográfico pueden ser útiles las diferentes incidencias como son la ortopantomografía, la telerradiografía lateral de cráneo, las radiografías oclusales, la serie periapical y por último y raramente las tomografías, scanner y las reconstrucciones 3D.
Tratamiento para Dientes Retenidos
El tratamiento para los dientes retenidos dependerá del tipo de diente, si está total o parcialmente retenido, la edad del paciente y los síntomas o complicaciones que presente. En algunos casos, especialmente si el diente retenido no está causando problemas evidentes, el enfoque inicial puede ser simplemente observar su desarrollo a lo largo del tiempo.
Si los factores son favorables, la decisión de reubicar el canino en su posición correcta mediante la tracción ortodóncica es la más recomendada por los ortodoncistas.
Caso. Caninos impactados.
El ortodoncista dispone de una variedad de opciones terapéuticas, pero para lograr el éxito es indispensable diagnosticar la impactación dentaria de manera oportuna.
El tratamiento ortodóncico-quirúrgico es una opción para la corrección de las impactaciones dentales. Es importante realizar un adecuado diagnóstico y tratamiento de los dientes retenidos evitando posteriores complicaciones funcionales y estéticas que puedan comprometer la integridad de las arcadas así como el desarrollo psicosocial del paciente. Se debe realizar un trabajo multidisciplinario evaluando la pieza impactada y tener un seguimiento hasta que ésta se encuentre incorporada a la arcada.
El pronóstico de este tipo de tratamiento va a depender de diversos factores tales como: la posición del diente impactado en relación con los dientes adyacentes, angulación, distancia que el diente debe recorrer hasta su correcta posición, dilaceración radicular y posible presencia de anquilosis y reabsorción radicular.
Opciones de Tratamiento
- Extracción del diente: La extracción del diente es el tratamiento más común cuando la pieza que está retenida causa dolor en la mandíbula, infección, está dañando otros dientes u ocasionando una mala alineación. Se realiza con anestesia local. Durante la cirugía de extracción dental no sentirás dolor porque se emplea anestesia local. Después, cuando pasa el efecto de la anestesia, podrás sentir molestias, para las que te recetarán medicamentos.
- Mantenedores de espacio: También se pueden emplear mantenedores de espacio en caso de niños que pierdan un diente de leche prematuramente.
- Cirugía ortognática: En situaciones más complejas que involucran problemas en el desarrollo de los maxilares, la cirugía ortognática puede ser una opción.
Fenestración de Canino: El Camino para Recuperar la Sonrisa

Los caninos desempeñan un papel esencial en la estética y funcionalidad de la boca, ya que son dientes clave para la mordida y la sonrisa. Sin embargo, en algunos casos, estos pueden quedar retenidos dentro del paladar o en el hueso maxilar, dificultando su erupción natural. Esta situación no solo afecta la apariencia, sino que también puede generar problemas funcionales en la mordida.
Afortunadamente, la cirugía maxilofacial y la ortodoncia ofrecen una solución eficaz: la fenestración de canino. Este procedimiento permite exponer el diente retenido y facilitar su correcta alineación con el resto de las piezas dentales.
¿En qué consiste la fenestración de canino?
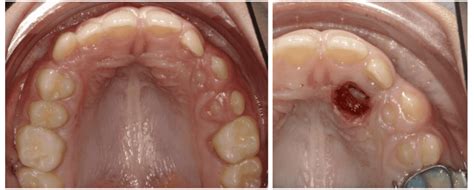
La fenestración de canino es un procedimiento quirúrgico que consiste en exponer la corona del diente retenido para permitir su correcto posicionamiento mediante ortodoncia. Esta técnica se realiza bajo anestesia local y sigue los siguientes pasos:
- Localización del diente retenido mediante radiografías o tomografías (CBCT) para determinar su posición exacta.
- Incisión en la encía y eliminación de tejido óseo que recubre la corona del canino.
- Colocación de un anclaje ortodóntico en el diente expuesto para guiarlo hacia su posición correcta.
- Cuidado postoperatorio y seguimiento ortodóntico, para asegurar una erupción controlada sin complicaciones.
Este procedimiento es seguro y eficiente, y con una buena planificación, permite recuperar la sonrisa de manera natural.
Beneficios de la fenestración de canino
Optar por este tratamiento ofrece múltiples ventajas tanto a nivel estético como funcional:
- Evita la extracción del diente retenido, conservando la dentición natural.
- Mejora la alineación dental y la mordida, evitando problemas de oclusión.
- Previene complicaciones futuras, como quistes o reabsorción de raíces dentales.
- Permite una mejor estética facial, logrando una sonrisa armónica.
- Facilita un tratamiento ortodóntico efectivo, asegurando resultados óptimos.
¿Cuándo es necesario realizar la fenestración de canino?
Este procedimiento se recomienda en los casos en los que el diente retenido no tiene posibilidad de erupcionar por sí solo. Algunos signos de alerta que pueden indicar la necesidad de este tratamiento son:
- Ausencia del canino en la posición esperada después de los 13 años.
- Sensación de presión o dolor en la zona del paladar.
- Malposición de los dientes adyacentes debido a la retención del canino.
- Diagnóstico radiográfico que muestra una mala orientación del canino.
Cuanto antes se detecte el problema, más sencillo será el tratamiento y mejor será el resultado final.
Cuidado postoperatorio: ¿Qué hay que tener en cuenta?
Después de la fenestración de canino, es esencial seguir unos cuidados para garantizar una buena cicatrización y evitar complicaciones:
- Evitar alimentos duros o pegajosos que puedan presionar la zona.
- Mantener una buena higiene bucal con enjuagues de clorhexidina.
- Tomar medicación antiinflamatoria si lo recomienda el cirujano.
- Evitar ejercicio físico intenso durante los primeros días.
- Asistir a las visitas de control para seguir la evolución del diente.
Con estos consejos, la recuperación es rápida y sin complicaciones.
¿Se puede prevenir un diente incluido?
No siempre es posible prevenir un diente retenido.
En niños y adolescentes es fundamental el desarrollo de las arcadas y el control del proceso eruptivo actuando con tratamientos interoceptivos que se desarrollan en edades tempranas y actuando cuando es necesario con tracción y con un correcto abordaje quirúrgico se consiguen prácticamente el 100% de resultados.
Sin embargo, se pueden tomar medidas preventivas como:
- Revisiones regulares: por lo general, la primera visita al ortodoncista debe producirse a los seis años de edad. Esto ayuda a comprobar si el proceso de erupción dental transcurre según lo previsto y a detectar problemas en una fase temprana, lo que también permite tomar medidas.
- Radiografías periódicas: normalmente, en las visitas de revisión el odontólogo toma una serie de radiografías rutinarias al paciente. Esto permite una mejor observación de las estructuras bucodentales, lo que ayuda a detectar problemas que no se pueden advertir en una exploración oral.
- Ortodoncia interceptiva: la ortodoncia interceptiva engloba todos aquellos tratamientos de ortodoncia enfocados a niños de entre seis y nueve años. Está basada en aparatos que permiten actuar sobre el crecimiento de los huesos de la cara. Por ejemplo, la ortodoncia interceptiva sirve para ampliar las arcadas y crear el espacio necesario para que el canino erupcione, reduciendo el riesgo de que se quede retenido en el hueso.
- Mantenedores de espacio: son unos sencillos aparatos que se colocan cuando un niño pierde un diente de leche antes de tiempo (por caries, golpes…).
Complicaciones en ausencia de tratamiento
Si no se tracciona ortodóncicamente o se extrae un canino retenido, pueden surgir complicaciones graves, como infecciones locales, del seno maxilar o de la fosa nasal.
Tabla comparativa: Diente Retenido vs. Diente Impactado vs. Diente Incluido
| Término | Definición | Características |
|---|---|---|
| Diente Retenido | Diente que ha completado su desarrollo, pero no ha emergido completamente en la arcada dentaria. | Puede tener parte de la corona visible. |
| Diente Impactado | Diente que se encuentra total o parcialmente dentro del hueso. | No ha logrado emerger en la cavidad oral. |
| Diente Incluido | Diente que no ha erupcionado por completo. | No está completamente enterrado, pero tampoco en su posición normal. |
tags: #diente #retenido #ortodoncia