En el mundo de la odontología estética, el blanqueamiento dental se ha consolidado como uno de los tratamientos más solicitados para realzar la belleza de la sonrisa. Más allá de la salud bucal, la estética dental busca ofrecer una apariencia luminosa que refleje confianza y bienestar. Para contrarrestar estos efectos, los profesionales han desarrollado y perfeccionado diversas técnicas que permiten restaurar la blancura natural de los dientes.
Hoy en día, el blanqueamiento dental no solo es una solución estética, sino también un tratamiento clave para atraer pacientes a las clínicas odontológicas. En ocasiones, los dientes pueden oscurecerse o presentar manchas por diferentes motivos. Las causas pueden ser el propio paso del tiempo u otras que tienen que ver con hábitos poco saludables para nuestros dientes como fumar, consumir bebidas azucaradas y/o ácidas y por el abuso de alimentos de pigmentación fuerte como el café, té o vino tinto.

Componentes Clave para el Blanqueamiento Dental
El efecto de las pastas blanqueadoras se explica a través de varios elementos de su composición. Para hablar del blanqueamiento nos centraremos en el esmalte y la dentina. Los agentes blanqueantes más usados actualmente son el peróxido de carbamida y el peróxido de hidrógeno, que penetran hasta la dentina y logran aclarar el color del diente.
Entre los agentes más utilizados en odontología para aclarar los dientes se encuentran el peróxido de hidrógeno, el peróxido de carbamida y, más recientemente, la hidroxiapatita, cada uno con características y aplicaciones específicas.
Peróxido de Hidrógeno
El peróxido de hidrógeno es un agente aclarador de acción rápida que libera oxígeno para descomponer las moléculas de pigmentación responsables del oscurecimiento dental. Se usa principalmente en tratamientos profesionales, donde el odontólogo controla su aplicación de manera segura. Su alta potencia permite obtener resultados visibles inmediatos, pero puede causar sensibilidad temporal.
Peróxido de Carbamida
Su acción es más pausada, ya que libera oxígeno de manera gradual, lo que permite un proceso de aclaramiento más controlado y progresivo. Gracias a esta liberación lenta, el riesgo de sensibilidad dental se reduce considerablemente, lo que lo convierte en una alternativa favorable en casos donde se busca minimizar la sensibilidad dental.
Hidroxiapatita
Es un mineral de fosfato de calcio componente principal del esmalte dental y la dentina. Su aplicación en tratamientos de blanqueamiento ayuda a mejorar el color de los dientes sin recurrir a agentes agresivos. No altera la pigmentación interna del diente, como lo hacen los peróxidos, sino que rellena microfisuras y refuerza la estructura del esmalte, proporcionando un efecto óptico de mayor blancura y brillo. Además de su capacidad para mejorar la estética dental, este mineral tiene una función clave en la remineralización del esmalte, protegiéndolo del desgaste y reduciendo la sensibilidad.
LacerBlanc: Una Opción Efectiva
Beneficios de LacerBlanc White Flash+ Pasta Dental Blanqueadora de Menta:
- Elimina las manchas de los dientes.
- Protege de nuevas manchas y las encías.
- Previene la formación de sarro, las caries y la sensibilidad dental.
- Contiene un bajo índice de abrasividad.
- Sabor a menta.
- Sin gluten.
- Blanquea los dientes.
- Tiene efecto inmediato desde la primera aplicación.
- Fácil de usar.
Todo sobre el blanqueamiento dental y sus riesgos
Componentes Destacados de LacerBlanc
- Flúor: Hace que el esmalte dental sea más fuerte, remineraliza el esmalte y es antibacteriano.
- Mentol: Ofrece un aliento fresco y alivia las encías inflamadas.
¿Cómo Actúa el Kit Blanqueador?
El Kit Blanqueador actúa sobre el esmalte del diente. Tras 7 días de uso consecutivo comienzan a notarse los efecto blanqueantes. Contiene percarbonato sódico que se encarga de reaccionar ante los rayos de luz y potencia el blanqueamiento dental.
Las Sílicas de la nueva formulación de LacerBlanc, por su tamaño y forma, pulen y arrastran eficazmente las manchas extrínsecas, devolviendo a los dientes su color natural, brillo y suavidad, sin dañar el esmalte dental. La Polivinilpirrolidona o PVP, crea una capa protectora o película que recubre los dientes, evita la adhesión de nuevas manchas y ayuda a eliminar las ya existentes.
LacerBlanc incorpora en su nueva pasta dentífrica el colorante azul “Blue brilliant” que proporciona a los dientes una apariencia más blanca con efecto inmediato* tras el cepillado dental. Los estudios in vitro demuestran una reducción en el tono amarillo después de estar en contacto con los dientes durante 2 minutos (tiempo recomendado de cepillado dental con un dentífrico). *El efecto es temporal.
El ion Fluoruro (1.400 ppm) de la nueva composición de LacerBlanc fortalece el esmalte dental y previene la caries. La combinación de Cymenol y Zinc previene la formación de placa bacteriana. La acción combinada del Zinc y el Hexametafosfato sódico ayuda a eliminar y previene la formación de sarro. La Vitamina E ayuda a tonificar las encías y a mantenerlas en buen estado. La combinación del Cymenol y la Vitamina E confiere un efecto antioxidante en la cavidad oral. La sal de potasio ayuda a controlar la sensibilidad dental causada por la exposición de la dentina a alimentos o bebidas frías, calientes, ácidas o dulces u otros estímulos externos.
Tipos de Tratamientos de Blanqueamiento Dental
Los procedimientos de blanqueamiento dental pueden realizarse de distintas maneras, y la selección del método adecuado dependerá de la evaluación clínica, el diagnóstico y las necesidades del paciente.
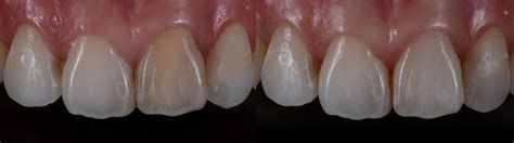
Blanqueamiento en Consultorio
Este procedimiento se lleva a cabo en el consultorio odontológico bajo estricta supervisión profesional y es el método más rápido y efectivo. Generalmente, se utilizan agentes blanqueadores a base de peróxidos en altas concentraciones, activados por fuentes de luz como LED o láser y normalmente, en una o dos sesiones, los dientes pueden aclararse varios tonos.
Al finalizar el blanqueamiento con peróxido, se aplica un gel o pasta que contiene hidroxiapatita. Este compuesto se adhiere al esmalte y penetra en las microfisuras del diente, ayudando a remineralizarlo y a rellenar las pequeñas imperfecciones causadas por el blanqueamiento.
Blanqueamiento Ambulatorio Supervisado
El tratamiento ambulatorio se lleva a cabo bajo la supervisión del odontólogo, quien establece el protocolo adecuado para cada caso. Se confeccionan férulas termoplásticas personalizadas para garantizar una distribución homogénea del agente blanqueador, el cual se emplea en concentraciones reducidas para una liberación gradual del peróxido que debe aplicarse a diario durante el período indicado por el odontólogo, según las necesidades de cada paciente.
Técnica Mixta
La técnica de este tratamiento consiste en la combinación de un blanqueamiento en consultorio con una fase ambulatoria supervisada, optimizando los resultados a corto y largo plazo. En la primera fase, realizada en la clínica, se emplea peróxido de hidrógeno en altas concentraciones (25-40%), activado mediante fuentes de luz como LED o láser, para inducir un aclaramiento dental inmediato.
Blanqueamiento de Dientes No Vitales
El aclaramiento de dientes no vitales es un procedimiento diseñado específicamente para aquellos dientes que han perdido su vitalidad, generalmente debido a traumatismos, caries profundas o tratamientos de conducto. El odontólogo revisa el estado del diente mediante radiografías para asegurarse de que la endodoncia esté bien sellada y sin infecciones. Se coloca un sellado provisional y se deja actuar el agente durante algunos días.

Productos de Venta Libre
Existen diversas opciones para este tipo de blanqueamiento, como pastas dentales blanqueadoras, tiras adhesivas con peróxido o enjuagues. Estos productos son más accesibles y económicos, pero su eficacia es limitada en comparación con los tratamientos profesionales. Son ideales para el mantenimiento de los resultados de procedimientos previos.
Consideraciones Adicionales
Fluorosis Dental en Niños
Algunos de los problemas de la dentadura que se manifiestan en la edad adulta tienen su origen en la infancia. Por ello, los expertos recomiendan cuidar la salud bucal de los más pequeños desde los primeros meses de edad.
La fluorosis dental en los niños no es una enfermedad. Sin embargo, hay casos específicos con alteraciones en el color y la estructura del esmalte dental e incluso manchas en la superficie de los dientes, que se avistan cuando erupcionan los definitivos. Los casos de fluorosis en niños pequeños se producen cuando existe una exposición excesiva antes de los 8 años de edad, especialmente entre los 15 y los 30 meses. La alteración se presenta como consecuencia de haber tragado continuamente los colutorios o cremas dentales que contienen esta sustancia, en una comunidad donde ya el agua está fluorada.
No le suministres a tu hijo esta clase de productos durante la infancia sin consultarlo con un dentista. Es importante también que el consumo de alimentos con una alta concentración de flúor sea moderado. La concentración de flúor en pastas de dientes oscilan entre 1000ppm y 1450ppm (parte por millón) en función de la edad que se use.
Podemos distinguir 5 diferentes tipos de fluorosis dental en los niños atendiendo a su gravedad:
- Ligera: Pequeñas manchas blancas en el esmalte.
- Muy leve: Áreas opacas que no abarcan más del 2 % de la superficie del diente.
- Leve: Manchas opacas en menos del 50% de la superficie.
- Moderada: Cuando el esmalte luce un tono opaco en más del 50% de la superficie.
- Grave: Las manchas ocupan la totalidad del esmalte.
Aparte de la fluorosis dental en los niños, hay otras razones por las que aparecen manchas blancas en sus dientes. Una caries incipiente causa este tipo de lesiones, que parecen una ligera decoloración. La inadecuada higiene origina acumulaciones de biofilm en algunos puntos de la dentadura, que adoptan la apariencia de manchas claras.
En definitiva, recuerda que los dientes afectados por fluorosis dental no están enfermos. Si descubres rayas blancas o manchas en los dientes de tu hijo o si observas que uno o más dientes se decoloran, puede tratarse de fluorosis dental en los niños.
Duración y Mantenimiento de los Resultados
La duración de los efectos del blanqueamiento dental varía según el tipo de tratamiento y los hábitos del paciente. La prolongación de los resultados del blanqueamiento dental consiste en la aplicación de medidas preventivas y de mantenimiento para conservar el tono alcanzado tras el tratamiento. Esto incluye evitar alimentos y bebidas pigmentadas como café, té, vino tinto y tabaco, así como mantener una adecuada higiene oral mediante el uso de pastas y enjuagues blanqueadores.
Consideraciones Finales
Este procedimiento ofrece múltiples beneficios estéticos y emocionales, aunque también conlleva algunas consideraciones que deben evaluarse antes de su realización. Mejora la estética inmediata proporcionando una sonrisa más blanca, brillante y juvenil.
La despigmentación dental es un tratamiento seguro para muchas personas, sin embargo no es adecuado para todos. Existen varias contraindicaciones que deben tenerse en cuenta antes de someterse a este procedimiento. El blanqueamiento no afecta a los dientes postizos, coronas, fundas o rellenos.
Tabla Comparativa de Agentes Blanqueadores
| Agente Blanqueador | Concentración | Ventajas | Desventajas |
|---|---|---|---|
| Peróxido de Hidrógeno | Variable (5-40%) | Resultados rápidos, efectivo en manchas severas | Mayor riesgo de sensibilidad, requiere supervisión profesional |
| Peróxido de Carbamida | Variable (10-22%) | Menor riesgo de sensibilidad, uso ambulatorio | Resultados más lentos |
| Hidroxiapatita | Variable (según producto) | Remineralización del esmalte, reduce la sensibilidad | Efecto de blanqueamiento limitado, más preventivo que correctivo |