Las carillas dentales son una solución estética popular para mejorar la apariencia de los dientes. Este tratamiento consiste en colocar unas láminas de porcelana o composite en la cara frontal de los dientes, mejorando su aspecto estético en color y forma.

¿Qué son las Carillas Dentales?
Las carillas dentales son finas láminas de material restaurador que se adhieren a la superficie frontal de los dientes para mejorar su apariencia estética. Su objetivo principal es corregir problemas estéticos como fracturas leves, cambios de color, tamaño, forma o posición de los dientes.
¿Quiénes son Candidatos para las Carillas Dentales?
Las personas que habitualmente optan por un tratamiento de carillas son aquellas que quieren mejorar su imagen estética, especialmente el color, la forma y la posición de los dientes. Habitualmente, los pacientes que pueden someterse a un tratamiento de carillas son aquellos con una buena salud bucal en general, es importante tener unos dientes y encías saludables y también es importante tener suficiente esmalte dental.
Sin embargo, no todas las personas son aptas para este tipo de tratamiento. Según el objetivo, puede que sea necesario recurrir a tratamientos como el blanqueamiento o la ortodoncia.

Tipos de Carillas Dentales
Existen principalmente dos tipos de materiales para las carillas: composite y porcelana. Cada uno tiene sus ventajas y desventajas, y la elección dependerá de tus necesidades y presupuesto.
Carillas de Composite
Las carillas de composite, o de resina sintética, son una opción más económica que las de porcelana. El trabajo previo con los dientes es mínimo, por lo que no los altera de forma permanente. Las carillas de composite son la opción más económica y accesible y se colocan en una sola sesión. Mediante esta técnica, el/la dentista diseña la fina lámina directamente sobre la pieza del paciente.
Por otra parte, tienen la desventaja de que no imitan tan bien el esmalte de los dientes como las de porcelana. Además, al ser la resina un material poroso, pueden mancharse y son susceptibles de sufrir astillados o fracturas.
Carillas de Porcelana
Las carillas de porcelana son conocidas por su durabilidad y apariencia natural. Además, la porcelana tiene un aspecto muy similar al de los dientes naturales cuando estos están sanos y blancos. Las carillas de porcelana representan el estándar de oro en odontología estética. Son translúcidas, así que dejan pasar la luz, dejando ver el diente real sobre el que van adheridas.
Además, las carillas de porcelana pueden corregir problemas como el desgaste de los dientes, así como cubrir piezas astilladas o rotas. Al utilizar este material, cuentan con la ventaja de que resisten muy bien a las manchas.
Carillas Emax
Las carillas Emax están hechas de disilicato de litio, un material altamente estético y duradero.
Carillas de Zirconio
El zirconio representa la tecnología más avanzada en carillas dentales.

Proceso de Colocación de Carillas Dentales
El proceso de colocación de carillas dentales generalmente sigue estos pasos:
- Evaluación: El odontólogo examinará los dientes del paciente para asegurarse de que es apto para recibir el tratamiento y si es más adecuado realizarlo con carillas de porcelana o composite.
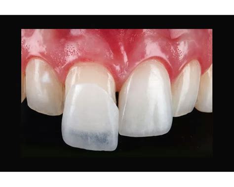
- Preparación: Se preparará el diente a tratar. Esta preparación consiste en eliminar de la superficie del diente parte del esmalte. El tallado es fundamental para que las carillas se integren naturalmente sin parecer voluminosas.
- Impresiones: Se tomarán las impresiones. Olvidate de las incómodas impresiones tradicionales con pasta. Nuestro equipo está formado por odontólogos con formación específica y actualizada en estética dental.
- Colocación: El cuarto paso consiste en colocar las impresiones de las carillas ya terminadas. Para poder hacerlo, hay que preparar el diente, en un proceso que consiste en limpiar, pulir y grabar la pieza dental.
- Ajuste: El quinto y último paso será ajustar esta colocación. Para ello, se eliminará cualquier exceso del cemento especial utilizado.
Las carillas de porcelana requieren solo dos citas una vez el diseño de sonrisa y estudio están definidos.
🚩 Carillas dentales: ¿Negocio o Salud?
¿Duele el Proceso de Colocación de Carillas?
No, el procedimiento de colocación de carillas no es doloroso. Se realiza bajo anestesia local, por lo que no sentirás molestias durante el tallado ni la cementación. Después del tratamiento, puede haber sensibilidad dental leve durante los primeros días, especialmente a temperaturas frías o calientes, pero esta sensibilidad suele desaparecer en una o dos semanas.
Duración de las Carillas Dentales
La duración de las carillas dentales está determinada por diversos factores, como los cuidados que siga el paciente en cuanto a higiene oral, alimentación, tabaco, hábitos, revisiones con el dentista, etc.
Adicionalmente, la durabilidad del tratamiento también depende del material con el que están fabricadas las carillas y de la técnica de colocación (directa o indirecta). Por ello, no resulta posible determinar de antemano cuánto tiempo duran las carillas dentales. Lo que sí podemos decirte es que, con unos cuidados y unos mantenimientos adecuados, son un tratamiento pensado para durar a largo plazo.
Las carillas dentales de porcelana tienen una duración mayor que las de composite, pudiendo resistir en perfectas condiciones hasta 15 años, y además no pierden su color ni se tiñen. En contraposición, la duración de las carillas dentales de composite es de un máximo de cinco años aproximadamente.
¿Las Carillas Dentales se Manchan?
Las carillas de porcelana y zirconio son altamente resistentes a las manchas gracias a su superficie lisa y no porosa. No se tiñen con café, té, vino tinto ni tabaco como los dientes naturales.
¿Qué Hacer si una Carilla se Daña?
Aunque las carillas son resistentes, no son indestructibles. Las carillas de zirconio son las más resistentes a fracturas, seguidas por las de porcelana. Si una carilla se daña, solo esa pieza necesita ser reemplazada.
¿Es un Proceso Irreversible?
El proceso de colocación de carillas es irreversible porque requiere tallar el esmalte dental. Una vez colocadas, los dientes siempre necesitarán algún tipo de restauración (nuevas carillas o coronas).
Precio de las Carillas Dentales
El precio de las carillas dentales puede variar significativamente dependiendo del material, la cantidad de piezas y la clínica dental. En España, el precio de un tratamiento con carillas dentales parte de unos 1.120 euros. Sin embargo, hay que tener en cuenta que el precio del tratamiento varía en función del número de carillas que se necesiten.
Los precios de las carillas dentales varían según el tipo de material y la complejidad del tratamiento. El coste de este tratamiento oscila entre los 290 € y los 430€ por carilla. El precio de las carillas dentales estéticas puede parecer dispar si comparas entre diferentes opciones. Como hemos comentado anteriormente, podemos elegir entre el composite y la porcelana para confeccionar las carillas. Sin embargo, la calidad y beneficios del segundo material supera con creces al composite.
En la siguiente tabla se muestran los precios estimados:
| Tipo de Carilla | Precio Estimado por Carilla |
|---|---|
| Composite | 250 € - 430 € |
| Porcelana | 2.930 € (de canino a canino superior, incluyendo mock up) |
Factores que influyen en el precio:
- Material de la carilla (composite, porcelana, zirconio)
- Número de carillas necesarias
- Complejidad del caso
- Experiencia y reputación de la clínica dental
- Ubicación geográfica de la clínica
¿Cómo Elegir la Clínica Dental Adecuada?
Después de comprender toda la información sobre precios, tipos de carillas, procesos y consideraciones, es fundamental elegir la clínica dental adecuada para tu tratamiento.
Aspectos a considerar:
- Diseño Digital de Sonrisa (DSD): Utilizan software especializado que permite visualizar tu nueva sonrisa antes de iniciar el tratamiento.
- Escáneres intraorales 3D: Olvidate de las incómodas impresiones tradicionales con pasta.
- Experiencia y Formación: Nuestro equipo está formado por odontólogos con formación específica y actualizada en estética dental. Cuentan con un extenso portfolio de casos reales que puedes consultar durante tu primera visita.
- Enfoque Personalizado: Entendemos que cada sonrisa es única.
Mantenimiento y Cuidados Posteriores
Al igual que en la mayoría de tratamientos dentales, es imprescindible que el paciente mantenga una buena higiene dental. Dichas indicaciones se centran en cepillarse los dientes después de cada comida, usar la seda dental, evitar el tabaco, utilizar una férula protectora por las noches y acudir al dentista con la regularidad establecida por este (normalmente, entre una y dos veces al año).
Adicionalmente, es aconsejable tener ciertas precauciones al comer alimentos muy duros, disminuir el consumo de comidas o bebidas con mucha coloración y tener cuidado con ciertos movimientos al masticar.
Las carillas son ultrafinas e individuales para cada diente, Imitamos texturas, color e irregularidades de un diente real para evitar que tus dientes parezcan artificiales y conseguir la sonrisa natural que quieres. Nadie notará que llevas carillas dentales. Un tratamiento rápido y muy conservador con el diente.